阿摩線上測驗
登入
首頁
>
醫學六:80題 ( 包括麻醉科,眼科,耳鼻喉科,婦產科,復健科等科目及其及相關臨床實例與醫學倫理 )
> 96年 - 96-1 專技高考_醫學(二):醫學(六)(包括麻醉科、眼科、耳鼻喉科、婦產科、復健科等科目及其相關臨床實例與醫學倫理)#38977
96年 - 96-1 專技高考_醫學(二):醫學(六)(包括麻醉科、眼科、耳鼻喉科、婦產科、復健科等科目及其相關臨床實例與醫學倫理)#38977
科目:
醫學六:80題 ( 包括麻醉科,眼科,耳鼻喉科,婦產科,復健科等科目及其及相關臨床實例與醫學倫理 ) |
年份:
96年 |
選擇題數:
80 |
申論題數:
0
試卷資訊
所屬科目:
醫學六:80題 ( 包括麻醉科,眼科,耳鼻喉科,婦產科,復健科等科目及其及相關臨床實例與醫學倫理 )
選擇題 (80)
1 脂肪栓塞症候群(fat embolism syndrome)是長骨或骨盆骨折時發生的併發症,死亡率高,在長骨或 骨盆骨折手術中及手術後在恢復室觀察,如果初期有下列變化,要懷疑可能發生脂肪栓塞症候群, 下列敘述何者錯誤? (A)潮氣容積末二氧化碳(EtCO
2
)上升 (B)血氧濃度下降 (C)肺動脈壓上升 (D)心電圖可能顯現類似缺血般的 ST-segment 變化
2 關於手術中,使用經食道超音波(Transesophageal echocardiography, TEE)作監測之敘述,下列何者 錯誤? (A) TEE 可以用來評估左心室的功能,包括射出分率(Ejection fraction),收縮功能是否異常等 (B) TEE 作為監測手術中是否產生氣體栓塞(Air embolism)是相當敏感的 (C)手術中發生心肌梗塞(Myocardial infarction),並不易藉由 TEE 監測到 (D) TEE 也可以用來評估心臟瓣膜的功能和瓣膜形態的異常
3 關於動脈導管置放(Arterial catherization)之敘述,下列何者錯誤? (A)橈動脈(Radial artery)因為有較好的側枝循環(Collateral flow),而且較表淺,因此是常被選來 置放動脈導管的位置 (B)亞倫試驗(Allen test)是用來測試萬一發生橈動脈栓塞時,是否尺側循環(Ulnar collateral circulation) 能有效維持,以免手掌的血液供應不足的測驗方式之一,是一種可信度百分之百的測驗方式 (C)股動脈置放動脈導管易產生假性動脈瘤(Pseudoaneurysm),且較易發生感染,在嚴重的燒傷病人 是最後所能選擇的位置之一 (D)腋動脈置放動脈導管有可能造成血腫或是神經損傷
4 經由肺動脈導管(Intra-pulmonary artery catheter)取得混合靜脈血,其含氧量下降的原因經常是: (A)心輸出量減少 (B)心輸出量增加 (C)代謝速率降低 (D)由左向右之分流(left-to-right shunt)
5 下列何種類鴉片類(Opioids)藥物因具有較高脂溶性(high lipid solubility),且分子量較小,故可 經皮吸收(transdermal absorption)? (A) Morphine (B) Meperidine (C) Remifentanil (D) Fentanyl
6 局部麻醉劑 xylocaine 中毒最早出現的症狀為何? (A)視覺障礙(visual disturbance)及肌肉抽筋(muscle twitching) (B)失去知覺(unconsciousness)及搐搦(convulsion) (C)舌頭麻木感(numbness of tongue)及頭暈感(lightheadness) (D)昏迷、呼吸及心跳等抑制
7 接受開心手術病人術前評估為風濕性瓣膜性疾病,其術前血壓為 170/35 mmHg,最可能是何種瓣膜 疾病? (A)主動脈瓣狹窄 (B)主動脈瓣閉鎖不全 (C)二尖瓣閉鎖不全 (D)二尖瓣狹窄
8 對於在進行 Epidural anesthesia 時意外造成 dura puncture 後引發頭痛之處理,下列何者最有效? (A)加速靜脈輸液(Intravenous fluid) (B)口服止痛藥 (C)硬脊膜外自體血液凝塊(Epidural blood patch) (D)硬脊膜外注射 bupivacaine
9 一位 65 歲女性,因為頭痛、眼痛且視力突然模糊而就醫,經診斷為急性青光眼,必須接受降低眼壓 的治療。病人的過去病史包括高血壓及氣喘,此外心臟、肝臟及腎臟的功能都正常,也沒有藥物過 敏的情況。在給與降壓治療時,下列何者最應避免使用? (A) Intravenous mannitol infusion (B) Oral acetazolamide (C) Pilocarpine eye drop (D) Beta-adrenergic antagonist eye drop
10 下列那一種症狀或徵兆(symptom and/or sign),較遲才出現在晚期的慢性隅角開放型青光眼? (A)眼壓增高 (B)視力模糊 (C)視野(visual field)缺損 (D)視神經盤凹陷(cup/disc ratio)變大
11 下列有關單純性疱疹角膜炎(Herpes simplex keratitis)的敘述,何者較正確? (A)大多因植物性外傷所造成 (B)與配戴隱形眼鏡有關 (C)病情緩解後,未來仍可能復發 (D)抹片檢查,可以看見有革蘭氏染色(Gram’s stain)陰性之桿菌
12 下列何者不是視網膜黃斑部中央小凹(foveola)之結構特徵? (A)完全無桿狀細胞(rods)之分布 (B)僅含有神經節細胞(ganglion cells)及錐狀細胞(cones) (C)是視網膜最薄之處 (D)完全無視網膜血管之分布
13 威爾遜氏病(Wilson’s disease)是一種銅代謝的先天性異常,角膜會有 Kayser-Fleischer ring,下列敘 述何者正確? (A)該環狀銅質色素沈積於角膜中心 (B)該色素沈積位於角膜上皮層 (C)相同的環狀銅質色素,也會出現於圓錐角膜(keratoconus)的病人 (D)色素沈積於 Descemet’s membrane 該層
複選題
14 有關眼角膜的組織生理,下列敘述何者錯誤? (A)由大小一致之膠原纖維,排列成整齊規則的層狀結構 (B)包曼氏層(Bowman’s layer)是角膜上皮層(epithelium)之基底膜(basement membrane) (C)角膜的氧氣供應來源主要來自大氣層,少量則來自輪部血管 (D)除了輪部(limbus)以外,正常的角膜不含血管及淋巴組織,因此角膜移植時較不易發生排斥現象
15 先天性鼻淚管阻塞的原因是在那一個部位發生阻塞? (A)淚小管 (B)淚囊 (C) Rosenmuller 氏瓣膜 (D) Hasner 氏瓣膜
16 內斜視(esotropia)常與下列何種屈光異常有關? (A)近視眼 (B)遠視眼 (C)老視眼(presbyopia) (D)散光(astigmatism)
複選題
17 一位 40 歲男性病患,主要症狀為右側臉部腫脹疼痛感並合併有右眼複視,除此之外並無合併其他症 狀,病患 15 年前有接受過上頜竇手術的病史;其鼻竇電腦斷層顯示如下圖所示;其較可能的診斷為 何?
(A)急性鼻竇炎 (B)黏液囊腫 (C)鼻竇腫瘤 (D)橫紋肌瘤
18 耳硬化症(Otosclerosis)引起之傳導性聽力障礙,主要是下列何者受到耳硬化症病灶之侵犯? (A)鼓膜 (B)鎚骨 (C)砧骨 (D)鐙骨
19 以下有關單側聲帶麻痺(unilateral vocal palsy)之敘述,何者錯誤? (A)手術外傷是成年人單側聲帶麻痺中最常見的原因 (B)主要為喉上神經(superior laryngeal nerve)受影響 (C)左側發生機率較右側常見 (D)治療可先觀察 6-12 個月再施行手術
20 鼻咽癌病人來看診時之臨床表徵以何者最多? (A)流鼻血 (B)鼻塞 (C)中耳積水 (D)頸部腫瘤
21 有關甲狀舌管囊腫(thyroglossal duct cyst)之敘述,下列何者錯誤? (A)為兒童最常見之先天性頸部腫塊 (B)通常發生在頸部外側 (C)通常無症狀或以反覆發炎為表現 (D)觸診時可發現囊腫隨著吞嚥動作上下移動
22 翼管神經(Vidian nerve)含有下列那一種神經纖維? (A)副交感神經之節後纖維 (B)交感神經之節前纖維 (C)交感神經之節後纖維 (D)前篩神經纖維
23 那一條神經穿經中耳腔鎚骨與砧骨之間,中耳手術若傷及,可能引起味覺障礙? (A)鼓索神經(Chorda tympani nerve) (B) Jacobson’s nerve (C)舌神經(Lingual nerve) (D)舌下神經(Hypoglossal nerve)
24 以下眼振圖所代表的臨床意義,其最可能的診斷是:
(A)良性陣發性姿位性眩暈症(benign paroxysmal positional vertigo) (B)前庭神經炎(vestibular neuritis) (C)小腦橋腦角腫瘤(cerebellopontine angle tumor) (D)美尼艾氏病(Meniere’s disease)
25 一位 55 歲婦女,因子宮脫垂做子宮全切除及雙側卵巢全切除後,擔心術後身體不適,這種情況生理 變化會是那一項? (A) Insulin resistance decrease (B) Serum estrone level increase (C) Serum testosterone level decrease (D) Total cholesterol decrease
26 下列何者不是造成產婦出血(obstetrical hemorrhage)致死的常見原因? (A)胎盤早期剝離(abruption of placenta)和前置胎盤(placenta praevia) (B)植入性胎盤(placenta accreta/increta)和胎盤存留 (C)子宮破裂和子宮無力(uterine atony) (D)子癇症(eclampsia)
27 下列有關生產的第一產程之敘述,何者錯誤? (A)第一產程根據子宮頸的擴張情形可分為兩個時期:潛伏期(latent phase)和活化期(active phase) (B)潛伏期開始於孕婦感覺到子宮規則收縮並伴隨著子宮頸逐漸擴張到 3-5 公分之間 (C)當子宮頸擴張到 2 公分就一定是進入活化期 (D)所謂的延遲性潛伏期(prolonged latent phase)是指潛伏期在初產婦超過 20 小時或是在多產婦超過 14 小時
28 一位 43 歲孕婦,G1P0,妊娠 20 週時接受產前超音波檢查,發現胎兒頭部有「檸檬徵狀」 (lemon sign), 則要高度懷疑胎兒有下列何種疾病? (A)脊柱裂(spina bifida) (B)無腦兒(anencephaly) (C)水腦(hydrocephaly) (D)臍膨出(omphalocele)
29 下列何因素不會增加卵巢癌的危險? (A)初經來得早 (B)停經時間較晚 (C)使用口服避孕藥 (D)低胎次(low parity)
30 婦產科急診有一位 17 歲女生,因月經過期,呈點狀出血,左下腹疼痛,主訴無性經驗,則何種檢查 為第一優先? (A)驗孕試驗 (B)陰道超音波 (C)腹部電腦斷層檢查 (D)抹片檢查
31 有關正常人類囊胚(Blastocyst)之敘述,何者錯誤? (A)開始是在輸卵管窄狹部及壺部相接觸發育 (B)停留在子宮腔的內分泌中約 72 小時再著床 (C)著床前必須由透明帶(Zona pellucida)孵出 (D)囊胚著床前已分化成內細胞團(Inner cell mass)及滋胚外層(Trophectoderm)
32 單精細胞質內注射術(ICSI)其遺傳物質不可由何處取得? (A)活動精蟲(Spermatozoon) (B)副睪(Epididymis)的精蟲(Spermatozoon) (C)精小管(Seminiferous tubules)的精細胞(Spermatids) (D)原精細胞(Spermatogonia)
33 一位 30 歲女性病人,多次人工流產後,月經量變的非常少,子宮鏡檢查如下圖所示,最合適的診斷 及治療為下列何者?
(A) Asherman’s syndrome+觀察及荷爾蒙補充療法 (B)雙子宮(uterus didelphys)+觀察及荷爾蒙補充療法 (C) Asherman’s syndrome+子宮鏡手術切除黏連+觀察及荷爾蒙補充療法 (D)雙子宮(uterus didelphys)+手術切除中隔
34 最常見的子宮腫瘤為: (A)肉瘤(sarcoma) (B)腺肌症(adenomyosis) (C)腺癌(adenocarcinoma) (D)平滑肌瘤(leiomyoma)
35 葡萄胎最常見的症狀為何? (A)視線模糊 (B)呼吸困難 (C)肚子脹痛 (D)陰道出血
36 子宮頸癌最常見的組織類型為何? (A) squamous cell carcinoma (B) adenocarcinoma (C) adenosquamous cell carcinoma (D) small cell carcinoma
37 懷孕時引起母親及女嬰男性化,最常見的原因為何? (A) Dermoid cyst (B) Luteoma (C) Brenner tumor (D) Yolk sac tumor
38 下 列何者原因最不可能? (A)自體免疫疾病 (B)半乳糖血症 (C)香菸成癮 (D)懷孕
39 承上題,下列何者處置最適當? (A)雌激素加黃體素 (B) GnRH agonist (C)流產手術 (D) Gonadotropin
40 肥胖婦女,血液中何者最可能下降? (A) Androgen (B) Insulin (C) Sex hormone binding globulin (D) Estrone
41 多囊性卵巢症候群(PCOS)與下列何者疾病最無關? (A)子宮頸鱗狀上皮癌 (B)子宮內膜癌 (C)乳癌 (D)卵巢癌
42 一位 6 歲小女孩,初經來潮,最可能為何? (A) Turner’s syndrome (B) Kallmann’s syndrome (C) Isolated gonadotropin deficiency (D) 11-β-Hydroxylase deficiency
複選題
43 美國疾病管制局建議下列那種藥物對淋病(gonorrhea)及披衣菌(chlamydia)均有效? (A) Metronidazole (B) Ofloxacin (C) Cefixime (D) Azithromycin
44 目前治療輕度至中度子宮內膜異位症的藥物,下列那一項錯誤? (A) Progestins (B) Dexamethasone (C) Danazol (D) Gonadotropin-releasing hormone GnRH) ( agonist
45 下列不孕症的原因,何者不需要使用人工協助生殖的治療? (A)輸卵管阻塞 (B)不明原因不孕症 (C)男性因素嚴重的少精症 (D)子宮肌瘤
46 子宮外孕輸卵管妊娠,胎囊大於 3.5 公分且有胎心跳,病人狀況良好,這時最適合的治療方式為何? (A)追蹤檢測血中 hCG 濃度 (B)內科療法給與 Methotrexate (C)外科腹腔鏡手術 (D)剖腹切除外孕側的輸卵管及卵巢
47 一位45歲女性,G3P2,妊娠30週,急診就醫,主訴突然大量陰道出血合併劇烈下腹部疼痛,無任何內外科疾病史,血壓180/110mmHg,子宮劇痛硬如木板,最可能的診斷為:(A)葡萄胎(B)胎盤早期剝離(C)植入性胎盤(D)子宮外孕
48 一位 28 歲女性,G1P0,妊娠 38 週,下列各種胎兒檢查,何者為異常?①臍動脈血流波形心舒末期血 流逆流(reverse end-diastolic flow) ②臍動脈血流波形心舒末期血流消失(absent end-diastolic flow) ③臍動脈血流速度波形縮舒比(systolic-diastolic ratio, S/D ratio)=2 ④胎心率早期減速(early deceleration) ⑤胎心率晚期減速(late deceleration) (A)①③⑤ (B)①④⑤ (C)①③④ (D)①②⑤
49 一位 26 歲女性,G1P1,妊娠 38 週,分娩男嬰一名,新生兒心跳 72 次/分,依阿帕格氏計分法(Apgar score),於心跳之分項下得分為何? (A)0 (B)1 (C)2 (D)3
50 產前胎兒監測(antepartum fetal surveillance)的主要目的為何? (A)預防胎兒死亡 (B)找出胎兒畸形 (C)測定胎兒成熟度 (D)預估胎兒性別
51 評估陰道自然生產是否能夠成功,最適當的方法為何? (A)骨盆腔 X 光攝影測量母親骨盆腔的大小 (B)超音波檢查估計胎兒的體重 (C)母親的身高 (D)產程進展的評估包括子宮頸的擴張和胎頭的下降
52 在胎兒循環中,下列何處血液的含氧量最高? (A)上腔靜脈(superior vena cava) (B)主動脈(aorta) (C)右心室(right ventricle) (D)靜脈導管(ductus venosus)
53 一位 19 歲少女,來門診求診,主訴下腹痛合併陰道點狀出血。她敘述 1 個禮拜前曾在家裡自行驗孕, 驗孕試劑呈現陽性反應。醫師安排陰道超音波檢查並沒有發現子宮腔內的妊娠囊。抽血檢查血清 beta-hCG 數值為 1800 mIU/mL。相隔 4 天之後,再次檢查血清 beta-hCG 數值為 2100 mIU/mL。這位 少女的臨床症狀及實驗室數據最符合下列那一個臨床診斷? (A)自然流產(spontaneous abortion) (B)多重懷孕(multiple gestation) (C)子宮外孕(ectopic pregnancy) (D)不完全流產(incomplete abortion)
54 一位病人發生車禍後造成單側足部下垂(drop foot),臨床上最不可能由下列那一種情況所引起? (A)坐骨(sciatic)神經傷害 (B)股(femoral)神經傷害 (C)腓(peroneal)神經傷害 (D)第四第五腰椎間板突出(disc herniation)
55 腦中風病人半側偏癱及感覺受損,患側下肢動作明顯比上肢靈活,則病灶最可能在: (A)前大腦動脈(anterior cerebral artery) (B)中大腦動脈(middle cerebral artery) (C)後大腦動脈(posterior cerebral artery) (D)脊椎動脈(vertebral artery)
56 病人之聽理解力尚可,口語表達很差,但是複誦口語(repetition)能力佳,這是何種失語症(aphasia)? (A)布羅卡(Broca’s) (B)渥尼卡(Wernicke’s) (C)經皮質運動型(transcortical motor) (D)經皮質感覺型(transcortical sensory)
57 有關糖尿病患者發生的神經性膀胱功能障礙(neuropathic bladder),下列何者是最早出現的膀胱功 能障礙? (A)解尿頻率(urination frequency)減少 (B)解尿開始(initiating micturition)困難 (C)無法抑制解尿(voiding uninhibition) (D)溢流性尿失禁(overflow incontinence)
58 下圖所示是病人在紙上畫出的房子、花和時鐘,此病人有何種問題?
(A)左側偏盲(left hemianopsia) (B)左側忽略(left hemineglect) (C)左側失用症(left side apraxia) (D)左眼眼盲(left eye blindness)
59 老年人常伴有退化性頸椎關節炎,發生頸部過度後仰(hyperextension)受傷時,最易發生下列何種 脊髓損傷? (A)中心脊髓症候群(central cord syndrome) (B)前脊髓症候群(anterior cord syndrome) (C)錐狀脊髓症候群(conus medullaris syndrome) (D)布朗西夸氏(Brown-Sequard)症候群
60 接受過骨水泥式全髖人工關節置換術無併發症的病人,手術後最早何時可以開始進行患側肢體的重 量承載訓練? (A) 1 天內 (B) 1 個星期 (C) 1 個月 (D) 3 個月
61 下列各項手部副木(orthosis)圖示,何者最適合使用於尺神經病變(ulnar nerve palsy)所導致的手 部變形?
62 一位 62 歲病人,因下背痛到門診來,發現病人伸背姿勢會明顯造成背痛,兩側下肢無力,蓋印式步 態(steppage gait),則下列何者是最有可能罹患的疾病? (A)第十二節胸椎壓迫性骨折(compression fracture of T12 spine) (B)退化性腰椎關節炎(lumbar spondylosis) (C)僵直性脊椎炎(ankylosing spondylitis) (D)第四與第五腰椎滑脫症(spondylolisthesis)
63 一位 55 歲女性病患,沒有受傷病史,最近 2 個月來常感到肩膀疼痛及穿脫內衣越來越困難,但吃飯 和寫字沒有問題,其最有可能是下列何種疾病? (A)肱骨外上髁炎(lateral epicondylitis) (B)頸神經病變(cervical radiculopathy) (C)肩關節脫臼(shoulder dislocation) (D)冰凍肩(frozen shoulder)
64 陳先生今年 65 歲,因跌坐在地上導致右股骨頸(femoral neck)骨折,接受股後方介入(posterior approach)之髖關節人工關節置換手術,術後 6 週內髖關節擺位應避免下列何者? (A)外展(abduction) (B)外旋(external rotation) (C)內展(adduction) (D)伸展(extension)
65 一位 65 歲慢性阻塞性肺疾(Chronic Obstructive Pulmonary Disease)患者接受 3 個月胸腔復健,下列 何種功能會有顯著進步? (A)肺活量 (B)第一秒吐氣量 (C)休息時之血氧濃度 (D)運動耐力
66 運動測試可以用來評估心肌梗塞後病患能否回到工作崗位。如果受試者想重回辦公室工作、不須負 重或頻繁走動,則運動測試時其最大攝氧量至少須達多少代謝當量(Metabolic Equivalents, METs)? (A) 3-4 (B) 5-7 (C) 8-10 (D) 11-13
67 下圖所示嬰兒頭部經常維持在向右傾斜的姿勢,並在右側頸部摸到一個鴿蛋大的硬塊,則下列何種 方向的頭部活動會受限?
(A)頭部前屈 (B)頭部後仰 (C)頭部轉向右側 (D)頭部轉向左側
68 評估腦性麻痺患者的肢體痙攣,發現被動性關節活動度正常,但是整個活動範圍當中都有顯著增加 的肌肉張力,這是屬於 Modified Ashworth Scale 的第幾級? (A)第 1 級 (B)第 1+級 (C)第 2 級 (D)第 3 級
69 一位出生體重 4600 公克的嬰兒,出生後右上肢癱軟無力,深部肌腱反射(deep tendon reflex)消失, 右側沒有摩洛氏反射(Moro reflex)及掌握反射(Palmar grasp reflex),但其他肢體活動正常,X 光 顯示有右側鎖骨(clavicle)骨折,最有可能的診斷為何? (A)右側臂神經叢傷害(brachial plexus injury) (B)右側偏癱型腦性麻痺(cerebral palsy) (C)脊髓肌肉萎縮症(spinal muscular atrophy) (D)重症肌無力(myasthenia gravis)
70 一位腦中風病患發生明顯吞嚥困難(dysphagia),下列何種診斷檢查對吞嚥復健治療最有幫助? (A)光纖內視鏡檢查(fiberoptic endoscopic examination of swallowing) (B)錄影螢光攝影檢查(videofluorographic swallowing study) (C)口腔咽喉反射檢查(oropharyngeal reflex test) (D)咽喉肌電圖檢查(electromyographic examination of laryngeal muscles)
71 一位 52 歲男性,喉嚨痛、聲音沙啞近 1 個月,根據 CT(如下圖),最適當的診斷是:
(A) Nasopharyngeal carcinoma (B) Oropharyngeal carcinoma (C) Hypopharyngeal carcinoma (D) Laryngeal carcinoma
72 一位 48 歲女性,曾因肺癌及骨轉移接受化學及放射線治療,近日漸漸出現下肢酸麻及無力,接受顯影 劑注射前(左圖)及注射後(中圖及右圖)之磁振造影檢查。其腰椎除了明顯的 Bone metastasis 外,在 第四及第五腰椎部位(箭號所指處)有新的病變,下列何者為最正確的診斷並且能解釋其臨床症狀?
(A) Pathological compression fracture (B) Epidural metastasis (C) Infectious spondylitis (D) Post-irradiation myelitis
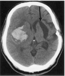
73 一位 54 歲男性,因左側突然半身無力來做 CT,CT 影像如下圖所示,發現右側基底核有一血塊,同 時也看到左側基底核有一病灶(箭頭所指),左側頭蓋骨有開過刀。經追問家屬,病患右側肢體無 力已 5 年,此左側基底核病灶是:
(A) A cyst of brain tissue (B) An arachnoid cyst from Sylvian fissure (C) An old intracerebral hematoma (D) An old infarction
74 一位 21 歲女性,長期右臀及大腿疼痛,近 3 年跛行(limping gait)的情況加重;下圖所示影像為電 腦斷層之冠狀面(coronal plane)重組,病患的右側髖關節(right hip joint)最可能的診斷為何?
(A) Developmental dysplasia of hip (B) Post-traumatic dislocation (C) Post-traumatic arthritis (D) Avascular necrosis of femoral head
75 一位懷孕 28 週的婦女,因喪失意識送入急診,到院時無生命跡象。你立即開始為她做心肺復甦術, 在執行心肺復甦術時,病人的姿勢應以何者最適當? (A)墊高左臀,頭低腳高 (B)墊高右臀,平躺 (C)墊高右臀,頭低腳高 (D)墊高左臀,平躺
76 一位 25 歲女性,因為嚴重腹瀉入急診就醫。症狀自 2 天前就開始,水狀腹瀉(watery diarrhea),1 天約 8 次左右,伴隨有間歇性腹痛以及發燒發冷(fever and chills)的症狀。理學檢查發現腸音加快, 無明顯壓痛(tenderness)與反彈痛(rebounding pain)。糞便檢查高倍鏡下發現有 10-20 顆白血球。若 你懷疑此病人有感染性腹瀉需使用抗生素時,下列何者為最佳的選擇? (A) Trimethoprim/sulfamethexazole (B) Cephalexin (C) Augmentin(amoxicillin with clavulanic acid) (D) Ciprofloxacin
77 一位 60 歲女性,因急性腹痛入急診就醫。主訴陣發性腹痛自 4 天前就開始,吃東西後會加重,有輕微 噁心感,排便習慣無改變。1 天前腹痛加劇且持續,伴隨輕微發燒,體溫為 37.9℃。理學檢查發現右 上腹以及上腹(epigastric)壓痛,無反彈痛(rebounding pain)。血液檢查發現白血球為 18000/mm
3
,血 色素為 13.4 g/dL,AST 為 55 U/L,ALT 為 60 U/L,Total bilirubin 為 6.5 mg/dL,Amylase 為 256 U/L, C-reactive protein(CRP)為 5.8 mg/dL。你認為下列何者最能幫助進一步的鑑別診斷? (A)理學檢查有無 Murphy’s sign (B)直接型膽紅素(Direct bilirubin) (C)腹部 X 光(KUB) (D)超音波(sonography)
78 病人為一名 37 歲,懷孕 22 週之婦女(之前剖腹產 2 次),因有早產現象住進一家大型的醫學中心 安胎。經醫師診斷為雙胞胎妊娠及雙胞胎間輸血症候群、羊水過多、子宮早期收縮。其間該孕婦接 受一系列羊水引流術約有 2 萬 mL 羊水被抽出,孕婦之血色素在 1 個月之間由 10.2 g/dL 降為 7.5 g/dL。 醫師判定該孕婦應接受輸血,以防止胎兒子宮內缺氧、改善胎兒心臟衰竭現象,並為接受手術後易 併發產後大出血之準備。但該孕婦因為乃耶和華見證人會之信徒,故拒絕接受輸血。雖經醫院醫師、 院牧工作人員及社工師基於醫療救人之職責,多次與其溝通,該孕婦仍堅持其不接受輸血之立場。 在這個個案中,那兩個倫理原則互相衝突,而使醫師陷入兩難抉擇? (A)病人自主原則和公平正義原則 (B)行善原則和不傷害原則 (C)病人自主原則和不傷害原則 (D)行善原則和公平正義原則
79 在某些例外的情況下,無需病患的同意即可進行醫療行為,惟下列何者不屬於這些例外的情況? (A)緊急開刀或緊急侵入性檢查 (B)有利於患者的人體試驗 (C)精神疾病患者的強制治療 (D)法定傳染病患者的隔離治療
80 一位住在大學宿舍的 25 歲大學生,從昨日開始眼睛變紅,怕光且右眼容易流淚。宿舍其他人並未發 現有紅眼睛。幾天前,他曾患有喉嚨痛及輕度咳嗽。理學檢查雙眼視力為 20/50,並呈現廣泛性發紅 及流淚,被懷疑是結膜炎。下列有關結膜炎的鑑別診斷,何者錯誤? (A)淋菌性結膜炎會表現有嚴重超急性化膿性分泌物 (B)腺病毒(adenovirus)結膜炎一般先由一隻眼開始,再擴散至另一隻眼 (C)耳朵前出現腫大的淋巴結節是過敏性結膜炎的病徵 (D)局部使用抗生素,抗病毒藥物及其防腐劑亦可引起結膜炎
申論題 (0)
相關試卷
115年 - 115-1 專技高考_醫師(二):醫學(六)(包括麻醉科、眼科、耳鼻喉科、婦產科、復健科等科目及其相關臨床實例與醫學倫理)#137334
115年 · #137334
114年 - 114-2 專技高考_醫師(二):醫學(六)(包括麻醉科、眼科、耳鼻喉科、婦產科、復健科等科目及其相關臨床實例與醫學倫理)#127922
114年 · #127922
114年 - 114-1 專技高考_醫師(二):醫學(六)(包括麻醉科、眼科、耳鼻喉科、婦產科、復健科等科目及其相關臨床實例與醫學倫理)#125090
114年 · #125090
113年 - 113-2 專技高考_醫師(二):醫學(六)(包括麻醉科、眼科、耳鼻喉科、婦產科、復健科等科目及其相關臨床實例與醫學倫理)#120656
113年 · #120656
113年 - 113-1 專技高考_醫師(二):醫學(六)(包括麻醉科、眼科、耳鼻喉科、婦產科、復健科等科目及其相關臨床實例與醫學倫理)#118715
113年 · #118715
112年 - 112-2 專技高考_醫師(二):醫學(六)(包括麻醉科、眼科、耳鼻喉科、婦產科、復健科等科目及其相關臨床實例與醫學倫理)#114980
112年 · #114980
112年 - 112-1 專技高考_醫師(二):醫學(六)(包括麻醉科、眼科、耳鼻喉科、婦產科、復健科等科目及其相關臨床實例與醫學倫理)#113157
112年 · #113157
111年 - 111-2 專技高考_醫師(二):醫學(六)(包括麻醉科、眼科、耳鼻喉科、婦產科、復健科等科目及其相關臨床實例與醫學倫理)#108743
111年 · #108743
111年 - 111-1 專技高考_醫師(二):醫學(六)(包括麻醉科、眼科、耳鼻喉科、婦產科、復健科等科目及其相關臨床實例與醫學倫理)#106188
111年 · #106188
110年 - 110-2 專技高考_醫學(二):醫學(六)(包括麻醉科、眼科、耳鼻喉科、婦產科、復健科等科目及其相關臨床實例與醫學倫理)#99915
110年 · #99915