所屬科目:進階專科護理
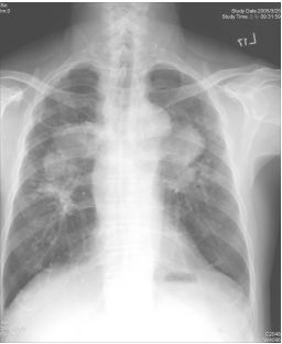
27.葉先生,74 歲,吸菸多年,且有慢性咳嗽病史,因發燒、呼吸喘、咳嗽、濃痰至醫院求診。 胸部 X-光顯示如右圖。下列何者為最有可能的臆斷? (A) 肺炎 (B) 肺癌 (C) 肺結核 (D) 塵肺症
33.甲、乙兩位病人動脈抽血檢查報告如下:
請問甲:乙之單位血液含氧量 ( O2 content = 每 100 毫升血液攜帶多少毫升氧氣 ) 最接近於 下列何者? (A) 1:5 (B) 2:5 (C) 7:5 (D) 7:25