所屬科目:進階專科護理
1. 有關腸道營養( enteral nutrition )的一般原則,下列敘述何者正確?
①假如病人情況允許,靜脈營養應優先於腸道營養 ②管路灌食有腹瀉情形時,應使用止瀉藥及減少纖維素含量 ③鼻胃管放置錯位,包括插進氣管、支氣管,常發生在昏迷的病人 ④有長期管灌需求的病人,可以建議放置胃造廔管 (A) ①② (B) ②③ (C) ③④ (D) ①④
2. 一位58歲男性罹患糖尿病15年,目前口服藥物控制,下列何者 不是 營養狀態評估的指標? (A) BMI (B) albumin (C) HbA1c (D) hemoglobin
3. 有關嚴重高血鉀合併心電圖改變的醫療處置,下列敘述何者 不適當 ? (A) 靜脈輸注葡萄糖酸鈣( calcium gluconate ),可以有效降低血清鉀離子濃度 (B) 胰島素(regular insulin )與葡萄糖靜脈注射,可以使鉀離子移入細胞 (C) 以NaHCO3等滲溶液靜脈輸注,可以改善代謝性酸中毒 (D) 以 β2腎上腺素促效劑,可以促進細胞對鉀的攝取
4. 有關成年人的營養需求,下列敘述何者不適當? (A) 蛋白質攝取量每日0.8 g/ kg,可以滿足97%成年人的需求 (B) 對於重症病人,蛋白質攝取量至少每日1.2g/kg,以減少瘦體身體(lean body)質量流失 (C) 身體質量指數25 - 29 kg/m2的成年人,其熱量需求為21 - 25kcal/kg/ day (D) 某些組織(如骨髓、眼睛等)不能代謝脂肪酸,需以葡萄糖(每日約40g)作為能量來源
5. 有關病毒性腦炎( encephalitis)感染,下列敘述何者 不適當 ? (A) 第一型單純皰疹病毒(HSV- 1)為最常見和最重要的病原 (B) 臨床表現為發燒、意識狀態改變,合併性格改變或癲癇 (C) 腦脊髓液分析應包括單純皰疹病毒和腸病毒聚合酶連鎖反應檢測 (D) 磁振攝影常發現枕葉病灶,為HSV- 1最敏感的影像檢查
6. 有關胺基糖苷類( aminoglycosides)藥物,下列敘述何者 不適當 ? (A) 透過與細菌核糖體(ribosome )結合,在mRNA轉譯過程,抑制細菌蛋白質合成 (B) 常與細胞壁活性藥物(如 β 內醯胺類)併用,用於治療嚴重感染 (C) 在膿瘍( abscesses)的低 pH值/低氧環境中,仍保有良好的活性 (D) 使用需注意發生不可逆腎毒性( nephrotoxicity)和耳毒性( ototoxicity)
7. 磺胺類藥物(trimethoprim/sulfamethoxazole:Baktar® ),是廣效性抗生素,臨床 無法 治療 下列何種病原? (A) 人類肺囊蟲(Pneumocystis jiroveci) (B) 大腸桿菌(E. coli) (C) 金黃色葡萄球菌( Staphylococcus aureus) (D) 綠膿桿菌(Pseudomonas aeruginosa )
8. 病人生命徵象為體溫 38.5 ℃、脈搏 120 次 / 分、呼吸 22 次 / 分、血壓 120 / 65 mmHg、 WBC15000μL (seg 84.7%)、CRP 19.8mg/dL、指甲夾板出血及主動脈瓣區舒張期心雜音, 下列何者為最可能的診斷? (A) bacterial peritonitis (B) myocarditis (C) pericarditis (D) bacterial endocarditis
9. 一位 70歲女性因暈厥被送至急診,圖(一)是此病人的心電圖,最有可能是下列何種心律?
(A) 一度房室傳導阻滯(first- degree AV block ) (B) 二度房室傳導阻滯(second - degree AV block ),Mobitz type I (C) 二度房室傳導阻滯(second - degree AV block ),Mobitz type II (D) 完全性房室傳導阻滯( complete AV block )
10. 一位60歲女性因腹痛、噁心與嘔吐來急診。此病人有剖腹產與膽囊切除手術病史,其 KUB如圖(二),請問最有可能的診斷為何?
(A) 沾黏性小腸阻塞( adhesive small bowel obstruction ) (B) 大腸阻塞(large bowel obstruction ) (C) 缺血性大腸炎(ischemic colitis) (D) 小腸憩室炎(small bowel diverticulitis)
11. 下列實驗室檢查結果,何者 不符合 腎前性急性腎損傷(prerenal acute kidney injury)的診斷? (A) 排鈉分率(fractional excretion of sodium,FENa )>1% (B) 尿液滲透壓( urine osmolality)>500mOsm/kg (C) 尿素氮和血清肌酸酐的比值(BUN:Cr ratio )>20 (D) 尿素排出分率(fractional excretion of urea nitrogen ,FEUrea )<35%
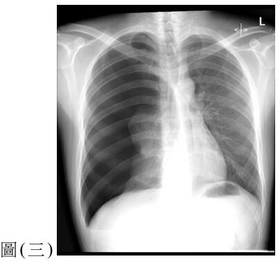
12. 一位 25歲男性因呼吸困難至急診就醫,主訴2天前工作撞擊到右側胸部,胸部X光檢查如圖(三),下列處置何者較適當?
(A) 立即給予右側胸管置入引流 (B) 觀察呼吸困難狀況並給予肌肉鬆弛劑 (C) 立即安排胸腔鏡手術治療 (D) 安排胸部電腦斷層檢查確立診斷
13. 一位 68 歲男性因右上腹悶痛 3 天加劇,伴隨噁心,出現黃疸與發燒 ( 38.5 °C ) 而就醫。 抽血檢查結果 WBC 16200 / μ L ( neutrophil 87 %,band form 9 % )、CRP 12.8 mg / dL、 AST 38 U / L、ALT 45 U / L、total bilirubin 4.5 mg / dL。最有可能之診斷為何? (A) 病毒性肝炎 (B) 細菌性膽管炎 (C) 肝硬化急性發作 (D) 急性胰臟炎
14. 一位 38歲男性,罹患第二型糖尿病未規則治療,因意識改變就醫。抽血檢查結果血糖980mg/ dL、血清滲透壓350 mOsm/kg、ketone (定量) 0.1 mmol/L、lactate 1.9mmol/L, 動脈血液氣體分析結果pH 7.36、PaCO₂ 41mmHg、 22mmol/L。根據以上數據, 最可能的診斷為何? (A) 高滲透壓高血糖狀態 (B) 糖尿病酮酸中毒 (C) 高乳酸酸中毒 (D) 正常代謝性酸中毒
15. 下列哪項檢驗最常用於判斷心衰竭嚴重程度的血清指標? (A) Troponin T (B) Myoglobin (C) BNP (D) Lactate
16. 一位 80 歲男性因肺炎併急性呼吸衰竭使用機械通氣 ( mechanical ventilation ) ,護理師 發現呼吸器異常警示音、頸部可觸及皮下氣泡聲( crepitus)、呼吸音右側變弱,SpO ₂降至86 %。最可能的併發症及最恰當的處置為何? (A) 呼吸器相關肺炎;給予經驗性抗生素治療 (B) 氣壓性傷害( barotrauma );通知醫師評估是否需胸管引流 (C) 呼吸器脫落導致肺不張;立即重新連接呼吸器 (D) 呼吸器異常同步( ventilator dyssynchrony);增加鎮靜劑改善病人適應度
17. 一位 65 歲男性因泌尿道感染併發寒顫與發燒入院,生命徵象為血壓 85 / 50 mmHg、 體溫 37.8 °C、心跳 110 次 / 分、呼吸速率 24 次 / 分,尿量明顯減少。 SpO ₂為 98 %, 乳酸值為4.2mmol/L。此時,作為專科護理師,下列哪項處置應優先執行? (A) 盡快安排病人立即接受腎臟超音波檢查,查明是否有水腎( hydronephrosis) (B) 給予退燒藥以降低病人不適 (C) 快速給予靜脈輸注晶體溶液( crystalloid fluid ) 30mL/ kg以穩定血壓 (D) 等待醫師評估後再決定是否使用升壓劑
18. 有關 4 種休克類型的病理機轉,下列敘述何者最適當? (A) 低血容量性休克是因血管阻塞,造成心臟無法有效射出血液 (B) 心因性休克的主要機轉是心肌收縮力不足,導致心輸出量下降 (C) 阻塞性休克常見於嚴重感染,造成微血管滲透性上升 (D) 血管擴張性休克的特徵是前負荷增加,導致周邊灌流過度
19. 一位 72 歲男性因嚴重感染合併意識改變至加護病房治療,平均動脈壓 52 mmHg,依體重 給予生理食鹽水輸注30mL/kg後仍呈現低血壓。此時最適合的第一線升壓劑為何? (A) epinephrine (B) dopamine (C) norepinephrine (D) vasopressin
20. 院內心跳停止(in -hospital cardiac arrest,IHCA)後成功ROSC(恢復自發性循環)之病人, 下列處置何者 不適當 ? (A) 常規給予lidocaine防止再次心律不整 (B) 維持PaCO₂在35 - 45mmHg (C) 對STEMI病人或高度疑似STEMI病人做PCI治療 (D) 將平均動脈壓控制在65mmHg以上
21. 一位58歲男性主訴胸悶、盜汗到急診,十二導程心電圖如圖(四)。目前血壓90/60mmHg、 心跳52 次/分,無明顯肺部濕囉音。在等待心導管檢查的同時,下列處置何者 不適當 ?
(A) 監測生命徵象、建立靜脈路徑 (B) 給予低流量氧氣支持(若SpO₂<90%) (C) 給予硝酸甘油( nitroglycerin )緩解胸痛 (D) 安排右側心電圖以排除右心心肌梗塞
22. 一位 24 歲男性,無過去病史,但有每日飲酒的習慣。昨天晚上與同事一起吃大餐慶祝 生日,今天早上起床時突然全身無力無法起身,病人意識清楚可以溝通對答,腦神經檢查 無異常,肢體肌力呈現對稱性下降到2分且近端無力大於遠端,無感覺缺失。就這位病人 目前的臨床表現,下列何者為最可能的診斷? (A) 重症肌無力 (B) 多發性肌炎 (C) 格林 - 巴利症候群 (D) 低血鉀週期性麻痺
23. 下列何者 最不可能 引起譫妄( delirium)? (A) 低血鈉 (B) 低血鉀 (C) 低血鎂 (D) 低血鈣
24. fever與 hyperthermia造成病人體溫上升的病生理機轉不同。下列何者病生理機轉為 fever? (A) 中風 (B) 中暑 (C) 惡性高熱 (D) 吸食安非他命
25. 有關以腹痛作為臨床表現的疾病, 不包括 下列何者? (A) 黏液水腫危象 (B) 鐮刀型紅血球疾病 (C) 急性間歇性紫質症 (D) 急性腎上腺機能不足
26. 需要高度警覺可能為嚴重疾病所導致的頭痛,下列何者 較不符合 ? (A) 重複性的頭痛 (B) 第1次發生且為嚴重的頭痛 (C) 頭痛伴隨著發燒 (D) 痛到影響睡眠或讓病人醒過來
27. 暈厥(syncope )指的是因為腦部血流暫時性減少導致短暫意識喪失,隨後即能自動恢復的 現象。下列哪一個疾病 最不可能 以暈厥做為一開始的表現? (A) 肺栓塞 (B) 急性胰臟炎 (C) 主動脈瓣狹窄 (D) 下壁心肌梗塞
28. 一位42歲病人,無過去病史,漸進性上腹痛約1天至急診就醫。表示目前疼痛劇烈且輻射 至背部,伴隨噁心嘔吐。身體診察上腹部壓痛,生命徵象穩定。下列處置何者最不適當? (A) 不可給予嗎啡止痛以免影響後續診斷評估 (B) 安排血液檢驗包括amylase、lipase及發炎指標 (C) 可以安排腹部X光為第一線影像學檢查 (D) 安排床邊腹部超音波檢查,視情況再安排電腦斷層
29. 一位 82 歲病人發燒且意識不清就醫。體溫 38 °C、心跳 117 次 / 分、呼吸 27 次 / 分、血壓122/ 74mmHg、血氧濃度85%,肺音為喘鳴音。動脈血氧分析發現病人顯示呼吸性酸中毒 其PaCO₂84mmHg。下列何者處置最適當? (A) 暫緩給氧治療,避免抑制呼吸中樞 (B) 給予靜脈注射利尿劑減輕肺水腫 (C) 給予非侵襲性正壓通氣以改善換氣 (D) 直接插管給予機械通氣
30. 一位 78 歲病人,因意識混亂及躁動不安由家屬送醫。病人有失智症病史,身體診察無 發燒,因躁動而影響治療,下列何者藥物為目前最適當的處置? (A) diphenhydramine (B) benzodiazepine (C) haloperidol (D) lorazepam
31. 一位72歲病人有慢性腎病第4期,目前服用colchicine 0.5mg q8h治療痛風,有關colchicine 可能發生的副作用, 不包括 下列何者? (A) 腹瀉 (B) 肌肉酸痛並出現茶色尿 (C) 頭痛 (D) 意識變化
32. 一位40歲男性病人,主訴1週前搬家隔天開始感到背部下方和臀部瀰漫性疼痛,臥床休息 後稍有改善,但重訓運動後疼痛又加劇,自行服用 ibuprofen 疼痛有減輕。身體診察顯示 直腿抬高試驗為陰性。根據臨床情境,下列何者為最可能的診斷? (A) 椎間盤突出 (B) 脊髓狹窄 (C) 轉移性癌症 (D) 非特異性背痛
33. 病人主訴逐漸加重的呼吸困難、喘鳴,尤其是在運動後,過去有過敏性鼻炎病史,身體 診察顯示雙側肺部瀰漫性喘鳴音,無發紺或下肢水腫,測量血氧飽和度 96 %。根據上述 臨床情境,下列何者是最重要的診斷性檢查? (A) 胸部X光 (B) 心電圖 (C) 肺功能測試 (D) 腦利鈉肽(BNP)
34. 病人主訴頻繁發作的頭痛、只有單側且是搏動性頭痛,持續約 8 小時,伴有噁心、畏光 和畏聲,嚴重影響日常生活及工作。沒有發燒或近期頭部外傷史。根據上述臨床表現, 下列何者為最可能的診斷? (A) 偏頭痛(migraine ) (B) 緊張性頭痛(tension headache ) (C) 叢集性頭痛( cluster headache ) (D) 顳動脈炎(temporal arteritis)
35. 一位 68 歲女性病人,主訴突然發作的眩暈,伴隨旋轉感,只持續 1 分鐘左右,改變頭部 姿勢時會誘發眩暈。聽力檢查無異常。下列何者為這種眩暈最可能的鑑別診斷? (A) 梅尼爾氏病(Meniere 's disease ) (B) 中樞性眩暈( central vertigo ) (C) 急性前庭神經炎( acute vestibular neuritis) (D) 良性陣發性姿勢性眩暈( benign paroxysmal positional vertigo )
36. 一位8個月男童,因持續高燒(耳溫39.5 °C)伴隨咳嗽、流鼻水、結膜炎3天,由家長帶來 就診。病史詢問得知,發病前2週曾與從國外返台的親戚有密切接觸。身體診察發現口腔 黏膜有灰白色小點,即柯氏斑 ( Koplik spots ) ,臉部、軀幹及四肢出現斑丘疹,部分皮疹 有融合現象。下列敘述何者最為適當? (A) 此為典型麻疹感染,應於24小時內向衛生福利部疾病管制署通報 (B) 由於男童症狀符合一般感冒,無需特別通報,但仍需對症治療 (C) 柯氏斑是此感染典型表現,幾乎所有病人均會發現 (D) 皮疹出現由頭頸開始,以離心式( centrifugally)蔓延的方式,擴散至四肢及掌面
37. 一位 1 歲半男童,因發燒 2 天且活動力下降,有嗜睡及反覆受驚嚇般的肌躍型抽搐,被 帶來求診。身體診察發現男童口腔後部有數個潰瘍,手掌、腳掌及臀部可見散佈性小水泡 與丘疹。針對此病童,下列何項首要處置最為適當? (A) 採集男童糞便檢體進行病毒培養與分型,以利疫情監測 (B) 此為手足口病,為常見兒科疾病,多數預後良好,僅需症狀治療 (C) 出現呼吸急促、意識變化為重症前兆,應考慮靜脈注射免疫球蛋白 (D) 不同時期的紅疹型態,即有水泡樣、丘疹樣、及結痂樣,是此疾病的特色
38. 診間來了一位阿嬤,焦急抱著 1 歲半孫子表示發燒 2 天,僅使用冰枕與溫水拭浴退燒。 有關此幼兒發燒處置,下列敘述何者最為正確? (A) 藥物退燒與物理性退燒均對發炎反應導致的發燒有一定效果 (B) 在無法陳述症狀的幼兒發燒,均要考慮泌尿道感染的可能 (C) 發燒大多是弊大於利,建議常規使用退燒藥 (D) 阿斯匹靈( aspirin )可作為退燒的首選藥物
39. 一位 10 個月大的男嬰,由其母親帶來門診,主訴近 2 週來食慾不佳,活動力下降,且 有間歇性哭鬧不安。母親表示男嬰容易哭鬧,有時會將他放在搖床上搖晃安撫。身體診察 發現男嬰前囟門飽滿,雙側瞳孔不等大,右側肢體活動較差。男嬰過去曾有一次因不明 原因顱骨骨折於他院就醫紀錄。最適當的下一步處置為何? (A) 懷疑為感染性腦膜炎,即進行安排腰椎穿刺並給予抗生素治療 (B) 懷疑受虐性腦傷,立即安排緊急腦部影像學檢查 (C) 考慮先天性凝血功能異常,需做凝血功能檢查並會診血液腫瘤科 (D) 應立即安排核磁共振檢查以排除腦瘤,並請小兒神經外科評估
40. 一位 1 歲半男童,由父親帶至急診,主訴不慎打翻熱水壺導致雙腳燙傷。身體診察發現 男童雙腳呈長襪型、界線清楚的二度燒燙傷,燙傷處無水泡,周圍皮膚顏色正常。男童 過往無特殊疾病,近期因呼吸道感染有接受抗生素治療。針對此男童的傷勢,下列何者 敘述最為適當? (A) 考慮毒性表皮溶解症(toxic epidermal necrolysis),評估男童藥物暴露史並會診皮膚科 (B) 最可能為意外性燒燙傷,應立即進行傷口處理以及會診整形外科評估 (C) 考慮金黃色葡萄球菌皮膚燙傷症候群( Staphylococcalscalded skin syndrome ),需採集 皮膚檢體進行細菌培養 (D) 明顯需高度懷疑為虐待性燒燙傷,應詳細記錄傷勢且通報兒少保護
41. 一位 78 歲男性,10 年前曾經接受次全胃切除手術,1 年前開始吃素,沒有其他全身性 疾病。最近 1 個多月開始出現疲勞、虛弱、平衡感變差及認知功能下降的情形。根據 以上病史,病人可能有維生素 B12 缺乏,在接下來的身體診察及實驗室檢驗發現,下列何者 最不可能 ? (A) 感覺異常( paresthesias) (B) 萎縮性舌炎( atrophic glossitis) (C) 血小板減少(thrombocytopenia ) (D) 小細胞性貧血(microcytic anemia )
42. 一位 70 歲病人,5 年前膽囊炎接受腹腔鏡膽囊切除手術。主訴 2 天前開始嘔吐及腹痛, 嘔吐物最初為食物殘渣後轉為黃綠色液體。病人 3 天未解便,腹部診察時發現鼓脹、 高頻腸音32次/分、無反彈痛。下列何者為最可能的診斷? (A) 急性腸胃炎 (B) 急性膽管炎 (C) 小腸阻塞 (D) 消化性潰瘍穿孔
43. 病人因黃疸、疲倦及右上腹不適前來就診。主訴沒有藥物使用或飲酒習慣,也無輸血史。 身體診察發現鞏膜黃疸,右上腹輕度壓痛,肝臟邊緣可觸及。實驗室檢查肝功能顯示 AST 800U/L、ALT 1200U/L、總膽紅素5.0mg/dL、直接膽紅素3.5mg/dL。根據上述資訊, 下列何者 不是 優先考慮的診斷性檢查? (A) 腹部超音波 (B) 病毒性肝炎血清標記 (C) 自體免疫性肝炎抗體 (D) 內視鏡逆行性膽胰管造影術
44. 病人因劇烈上腹痛,輻射至背部,伴隨噁心、嘔吐和腹脹入院。否認飲酒史,但有膽結石 病史。身體診察發現上腹部明顯壓痛,腸鳴音減弱。實驗室檢查結果顯示白血球細胞 增多,為確立急性胰臟炎的診斷,最具特異性的實驗室指標是? (A) 血清澱粉酶(serum amylase ) (B) 血清脂肪酶(serum lipase ) (C) C反應蛋白(C-reactive protein ) (D) 肝功能指數(liver function tests)
45. 有關肝炎標記之敘述,下列何者正確? (A) anti-HBs陽性代表急性感染 (B) HBsAg陰性代表曾經感染 (C) HBeAg陽性代表病毒複製中 (D) IgM anti-HBc為慢性感染指標
46. 有關食道靜脈曲張出血的急性處置,下列何者最適當? (A) 給予proton pump inhibitor靜脈注射 (B) 優先使用somatostatin降低門脈壓力 (C) 插入鼻胃管沖洗 (D) 立即安排內視鏡逆行性膽胰攝影
47. 根據幽門螺旋桿菌治療指南,下列哪一療法僅在證實菌株對 clarithromycin 敏感時才建議使用? (A) triple therapy-PPI, clarithromycin , amoxicillin (B) optimized bismuth based quadruple therapy-PPI、tetracycline、metronidazole、bismuth (C) rifabutin based triple therapy (D) potassium competitive acid blocker(PCAB)- amoxicillin dual therapy
48. 一位75歲男性病人出現血便1天合併腹痛及頭暈,血壓88 / 55mmHg,過去無慢性病史, 下列敘述何者 錯誤 ? (A) BUN升高是上消化道出血的線索之一 (B) 經由鼻胃管反抽胃液,如果為無血色的胃液,即可排除上消化道出血可能 (C) 雖然血便大部分是下消化道出血之表現,但仍無法排除上消化道出血 (D) 對於此病人的處置,在評估下消化道出血前應先進行上消化道內視鏡檢查
49. 一位 70 歲男性病人,主訴近半年來進食時常感到食物卡在胸口,尤其是固體食物,伴隨 體重減輕及間歇性咳嗽,有胃食道逆流病史。有關此病人的吞嚥困難評估與潛在病因, 下列敘述何者 錯誤 ? (A) 臨床表現顯示存在機械性阻塞的可能性,例如食道狹窄或腫瘤 (B) 間歇性咳嗽可能表示吞嚥功能障礙導致食物或液體誤吸入氣管 (C) 應優先進行胃食道逆流的藥物治療,待症狀改善後再考慮進一步的食道功能檢查 (D) 消化性狹窄( peptic stricture )也是導致吞嚥困難和體重減輕的重要鑑別診斷之一
50. 病人有季節性過敏史,主訴反覆發作性呼吸困難、哮鳴和胸悶,接觸花粉後會加重。 為確診哮喘應進行下列哪項檢查? (A) 支氣管擴張劑反應試驗 (B) 肺部X光檢查 (C) 血氧分析 (D) 細菌培養及其敏感性分析
51. 一位 50 歲女性病人,過去病史有類風濕性關節炎且為 B型肝炎帶原者。近兩週出現全身倦怠、噁心、食慾不振及茶色尿。實驗室檢查顯示ALT 600U/L、AST 500U/L、總膽紅素 bilirubin 3.5mg/ dL。有關此病人的鑑別診斷與初步處置,下列敘述何者 錯誤 ? (A) 急性與慢性B型肝炎可以檢測anti-HBc做為鑑別診斷 (B) 使用高劑量類固醇或免疫抑制劑,容易引發B型肝炎病毒再活化 (C) 自體免疫肝炎常見於女性且常合併自體免疫疾病,抽血檢驗 ANA、ASMA 有助於 評估是否有自體免疫肝炎的可能性 (D) 肝功能指數顯著升高且已出現黃疸,應立即給予廣效性抗生素治療以預防敗血症
52. 一位78歲養護所住民,體溫38.7 °C,呼吸32次/分,血氧91%,意識清楚但虛弱,右下肺 出現囉音。此病人最適當處置為何? (A) 口服azithromycin,追蹤症狀 (B) 立即轉診住院治療並給予靜脈抗生素 (C) 口服amoxicillin - clavulanate,追蹤症狀 (D) 先給予解熱劑觀察,症狀未改善再考慮抗生素治療
53. 一位30歲女性病人,無慢性病史。主訴過去3天咳嗽、發燒、呼吸困難和咳痰症狀就醫, 聽診時發現雙側下肺葉有囉音。根據上述主訴與身體診察發現,該病人最可能罹患的疾病 為何? (A) 慢性支氣管炎急性惡化 (B) 肺結核 (C) 哮喘急性發作 (D) 社區性肺炎
54. 一位 72 歲病人有慢性心臟衰竭病史,主訴發燒、咳嗽、呼吸急促 2 天。咳嗽伴有黃痰。 身體診察體溫 38.5 °C、呼吸 24 次 / 分、血壓 100 / 60 mmHg、脈搏 98 次 / 分。肺部聽診 左下肺葉有濕囉音。胸部 X 光顯示左下肺葉有實質化浸潤。針對這位病人,最適合的 初步經驗性抗生素治療策略為何? (A) 口服amoxicillin (B) 靜脈注射ceftriaxone (C) 靜脈注射ceftriaxone加口服azithromycin (D) 靜脈注射moxifloxacin
55. 一位4歲女童被媽媽帶來就醫,主訴嘔吐及腹痛,生命徵象為體溫36.8℃、心跳140次/分、 呼吸 35 次 / 分、血壓 110 / 70 mmHg、血氧 98 %。身體診察發現代償性深喘,聽診呼吸音 清澈。血糖 550 mg / dL,靜脈氣體分析 pH 7.25,CO 2 16,,接下來的處置何者 最適當? (A) 給予等張溶液,最多可達60mL/ kg (B) 可先考慮給予insulin bolus 0.1U/kg (C) 由於 <15mEq /L,可適時補充NaHCO3做矯正 (D) 注意病童意識變化,小心出現腦水腫狀況
56. 在社區性肺炎常用的CURB65,下列何者 不在 此評分系統中? (A) 意識混亂( confusion ) (B) BUN > 20 mg/ dL (C) 呼吸頻率 ≥30次/分 (D) 血氧飽和度 <95%
57. 大量咳血時( 24小時內有200 - 600mL)的處置, 不包括 下列何者? (A) 可能需要放置氣管內管來保護呼吸道 (B) 側躺讓出血側保持在上方 (C) 血管攝影、栓塞 (D) 支氣管內視鏡
58. 一位40歲男性病人,主訴最近1個月反覆出現喘鳴、呼吸困難、咳嗽,曾到診所就醫服藥 多次,但未見好轉,經門診詳細檢查後,懷疑為中度持續性氣喘,接下來的處置下列何者 最適當? (A) 給予low- dose inhaled corticosteroid及long- actingβ2- agonist (B) 給予moderate - or high dose inhaled corticosteroid及long- actingβ2- agonist (C) 給予抗免疫球蛋白E (D) 給予口服類固醇
59. 病人有第二型糖尿病和高血壓病史,使用血管張力素轉化酶抑制劑( ACEI),門診追蹤時 發現腎小球過濾率 ( GFR ) 持續在 40 mL / min / 1.73 m ²超過 3 個月,且伴有蛋白尿。根據 病人的臨床情況,下列何項處置 最不適當 ? (A) 調整ACEI劑量以降低GFR (B) 轉診至腎臟專科醫師進行共同管理 (C) 建議病人限制蛋白質攝取 (D) 加強血壓控制,將目標設為收縮壓 <120mmHg
60. 一位 25 歲女性病人,抱怨過去 2 天頻尿、尿急和解尿疼痛。沒有發燒、寒顫、腰痛或 噁心嘔吐,沒有泌尿道感染病史。身體診察發現生命徵象穩定,腹部無壓痛,無肋脊角 壓痛。尿液分析顯示:白血球酯酶 ( eukocyte esterase ) 陽性,亞硝酸鹽 ( nitrite ) 陽性, 白血球50-100/HPF,紅血球0-5/HPF。根據上述臨床情境,最可能的診斷為何? (A) 腎盂腎炎( pyelonephritis) (B) 膀胱炎( cystitis) (C) 陰道炎( vaginitis) (D) 腎結石( nephrolithiasis)
61. 一位75歲病人因低血容性休克導致急性腎衰竭入院。有慢性腎臟病史,creatinine 1.4mg/dL。 目前生命徵象:血壓 80 / 50 mmHg,脈搏 110 次 / 分,尿量明顯減少。鑑於其病史和當前 狀況,最緊迫且應優先進行的處理步驟是? (A) 靜脈注射廣效抗生素 (B) 恢復有效循環血容量 (C) 立即給予利尿劑以增加尿量 (D) 進行腎臟穿刺活檢以確診原因
62. 有關腎病症候群( nephrotic syndrome )的實驗室發現, 不包含 下列何者? (A) 嚴重蛋白尿(>3.5 g/ 24 hrs) (B) 高尿糖 (C) 低白蛋白血症 (D) 高膽固醇血症
63. 有關腎結石( nephrolithiasis)的敘述,下列何者 錯誤 ? (A) 高劑量salicylates會造成尿中尿酸過高形成尿酸結石 (B) 鳥糞石結石的危險因子包含先前曾有過泌尿道感染 (C) 低鈣飲食可降低草酸鈣結石的風險 (D) 副甲狀腺機能亢進的病人容易有磷酸鈣結石
64. 下列何種處置可用於預防顯影劑引起的急性腎損傷的發生? (A) 使用acetylcysteine (B) 使用angiotensin -receptor blocker (C) 給予利尿劑 (D) 使用等滲透壓性顯影劑
65. 一位 78 歲男性,有糖尿病病史且約有 30 年的抽菸史,今天早上出現突發性腹痛,疼痛 轉移至左腰側且出現腰側瘀青與左腰敲擊痛,腹部輕觸診發現有搏動性腫塊,下列何者 為最可能的鑑別診斷? (A) 自發性後腹腔出血 (B) 腹部主動脈瘤破裂 (C) 急性壞死性胰臟炎 (D) 腎臟血管肌肉脂肪瘤出血
66. 有關急性心房震顫( atrial fibrillation )的檢查與治療,下列敘述何者 錯誤 ? (A) 可能為甲狀腺毒症(thyrotoxicosis)的臨床表現 (B) 控制心室速率有助於改善病人的症狀 (C) 藥物或介入性治療心房震顫成為竇性節律,有助於改善長期預後 (D) 心房震顫持續超過1週以上,發生心房內血栓和中風的風險即開始增加
67. 一位64歲女性,過去無特殊病史。2年前開始出現exertional dyspnea。半年前症狀加劇,且 費力活動時會出現胸悶。今天提重物時,突然發生暈厥而被送到衛生所。抵達時血壓104 / 86mmHg、心跳114次/分、體溫36.5℃、血氧97 %。心臟觸診發現apical heave,且 在胸骨右緣第二肋間處有收縮期心雜音、僧帽瓣區出現 S3 及 S4 奔馬音;雙下肢凹陷性 水腫。根據上述臨床表現,下列何者為最可能的診斷? (A) 嚴重肺栓塞 (B) 主動脈瓣狹窄 (C) 僧帽瓣閉鎖不全 (D) 急性下壁合併右心壁心肌梗塞
68. 下列哪一種疾病或狀況 不會 造成收縮壓上升和脈搏壓變寬? (A) 懷孕 (B) 甲狀腺毒症 (C) 主動脈瓣狹窄 (D) 開放性動脈導管
69. 有關心衰竭病生理反應的敘述,下列何者正確? (A) 交感神經活化,導致心跳增快與周邊血管收縮 (B) 抗利尿激素分泌減少,造成水分大量流失 (C) 腎素 - 血管張力素 - 醛固酮系統受到抑制導致血鉀上升 (D) 心房利鈉胜肽分泌不足,因此無法有效利尿
70. 一位54歲病人突發劇烈胸痛,疼痛位置於胸骨後並輻射至背部。血壓右臂80 / 55mmHg、 左臂 110 / 70 mmHg,不規則脈搏 120 次 / 分,呼吸 24 次 / 分,SpO ₂ 95 %,身體診察有 頸靜脈怒張。胸部X光縱膈腔輕度變寬。對於這個病人最優先的處置,下列何者適當? (A) 胸痛且縱膈增寬,須優先排除心包膜炎 (B) 疑似急性主動脈症候群,避免過度降血壓 (C) 心律不整伴血壓不穩定,優先給予amiodarone負荷劑量 (D) 頸靜脈怒張顯示右心衰竭,須給予furosemide 40mg IV
71. 病人主訴胸痛、心悸、呼吸困難,十二導程心電圖顯示廣泛性 ST 段上升和 PR 段下降。 根據以上,下列何者為病人最可能的診斷? (A) 急性心肌梗塞(acute myocardial infarction) (B) 心肌炎(myocarditis) (C) 急性心包炎( acute pericarditis) (D) 壓力性心肌病(stress cardiomyopathy)
72. 一位58歲男性主訴胸骨後有壓迫感,疼痛放射至左臂和下顎,尤其是在勞動或情緒壓力下 發生,休息後可緩解。這種胸痛的特徵最符合下列哪種情況? (A) 肋軟骨炎引起的尖銳胸痛,觸壓時加劇 (B) 胃食道逆流引起的灼熱感,服用制酸劑後緩解 (C) 冠狀動脈疾病引起的穩定型心絞痛 (D) 胸膜炎引起的胸痛,深呼吸時加劇
73. 下列何者治療證實可改善射出分率降低型心衰竭(HFrEF)之預後? (A) 高劑量loop diuretics (B) β 阻斷劑 (C) 注射inotropics (D) non-dihydropyridine calcium channel blockers(如:verapamil)
74. 有關ST段上升之心肌梗塞病人治療的敘述,下列何者 錯誤 ? (A) 若無禁忌症,應立即投予aspirin (B) 若考慮使用血栓溶解治療,到院至血栓溶解治療的時間應小於30分鐘 (C) beta阻斷劑可以減少心肌缺氧和減少死亡率,所有心肌梗塞病人皆應儘速投予 (D) 若發生血行動力學不穩定之心室頻脈,應儘快執行電擊
75. 一位 72 歲男性,規則服用降血壓藥物及抗凝血劑。最近 2 週病人出現漸進性頭暈、反應遲鈍、疲倦嗜睡及走路不穩,但沒有嘔吐、發燒、抽搐等症狀。根據上述臨床表現, 下列何者診斷 最不可能 ? (A) 低血鈉(hyponatremia) (B) 硬腦膜外出血(epidural hematoma) (C) 甲狀腺機能低下(hypothyroidism) (D) 慢性硬腦膜下腔血腫(chronic subdural hematoma)
76. 有關各種脊髓病變臨床表現的敘述,下列何者 不正確 ? (A) central cord syndrome:上肢無力,且通常比下肢更嚴重 (B) cauda equina syndrome:下肢疼痛、麻木、無力,以及大小便失禁等症狀 (C) transverse myelitis:脊髓平面以下感覺異常、肢體無力、大小便功能障礙,可合併 自主神經缺失 (D) Brown -Séquard syndrome:受損脊髓同側出現溫度覺和痛覺喪失,對側出現運動功能 喪失和本體感覺、精細觸覺和震動覺喪失
77. 一位 75 歲男性病人,有糖尿病、慢性腎臟病病史,近 10 天出現頭痛、低燒與意識混亂。 身體診察頸部僵硬,無明顯神經缺損發現。腰椎穿刺檢查:白血球320/μL(正常0-5/μL), 淋巴球90 % (正常60 - 70 % )、蛋白質180 mg / dL(正常15 - 45 mg / dL) 、葡萄糖25 mg / dL (正常50-80mg/dL),下列何者為最可能的鑑別診斷? (A) viral meningitis (B) bacterial meningitis (C) tuberculous meningitis (D) autoimmune meningitis
78. 一位45歲病人,雙下肢無力5天。3週前曾有類流感症狀,今日出現吞嚥困難及說話不清, 用力肺活量從入院時80%下降至45%。神經學檢查四肢肌力2 -3。腰椎穿刺檢查:蛋白質180mg/dL(正常15-45mg/dL),白血球5/μL(正常0-5/μL)。此時最優先的處置為何? (A) 立即準備氣道處置並監測呼吸功能 (B) 口服抗病毒藥物並安排復健治療 (C) 給予高劑量類固醇脈衝治療 (D) 安排緊急腦部MRI排除腦幹病變
79. 評估單側顏面無力時,下列哪一項臨床發現比較支持中央病變型中風? (A) 患側上、下半邊臉部肌肉皆無法運動,額頭不會出現皺眉 (B) 患側下半邊臉部癱瘓,但雙側眉毛仍可對稱上抬 (C) 出現聽覺過敏、味覺改變與眼瞼閉合不全 (D) 額頭扁平且無法抬眉,同側眼瞼閉合不全
80. 急性缺血性中風病人接受靜脈血栓溶解治療前之血壓控制原則,下列敘述何者 錯誤 ? (A) 治療前,血壓不能大於185 /110mmHg (B) 治療後,血壓24小時內建議維持小於 160 /90mmHg (C) 當血壓大於220 / 120mmHg須使用降血壓藥物 (D) 治療過程須密切觀察有無高血壓引起的器官損傷