阿摩線上測驗
登入
首頁
>
醫學三:80題 ( 包括內科,家庭醫學科等科目及其相關臨床實例與醫學倫理 )
> 99年 - 99-2 專技高考_醫師(二):醫學(三)(包括內科、家庭醫學科等科目及其相關臨床實例與醫學倫理)#36859
99年 - 99-2 專技高考_醫師(二):醫學(三)(包括內科、家庭醫學科等科目及其相關臨床實例與醫學倫理)#36859
科目:
醫學三:80題 ( 包括內科,家庭醫學科等科目及其相關臨床實例與醫學倫理 ) |
年份:
99年 |
選擇題數:
80 |
申論題數:
0
試卷資訊
所屬科目:
醫學三:80題 ( 包括內科,家庭醫學科等科目及其相關臨床實例與醫學倫理 )
選擇題 (80)
1 病人無高血壓家族病史,每次到醫院看病時量血壓都在 170/90 mmHg 左右,但在家中自己測量血壓 時則正常,約在 124/76 mmHg 左右,最可能的情形是: (A)家中血壓計不準確 (B)自己量血壓技術不良 (C) White coat hypertension (D)生理上的 diurnal blood pressure change
2 一位 63 歲男性病患,來急診室求診,主訴心悸有 3 小時之久。心電圖如下,正確診斷為何?
(A)心房撲動(atrial flutter) (B)心房顫動(atrial fibrillation) (C)陣發性上心室心搏過速(paroxysmal supraventricular tachycardia) (D)心室心搏過速(ventricular tachycardia)
3 一位 50 歲男性,患有高血壓 5 年,從不治療。今日早晨去泡溫泉,突感劇烈撕裂性胸痛,冒冷汗。送至 急診處,上臂動脈血壓 200/120 mmHg,左下肢動脈血壓 130/96 mmHg,右下肢動脈血壓 210/120 mmHg。 心電圖、troponin-I 正常。病人胸痛應最優先考慮那一種? (A) Non-ST elevation 之急性心肌梗塞 (B)肺栓塞(pulmonary embolism) (C)主動脈剝離(aortic dissection) (D)氣胸(pneumothorax)
4 就心肌酵素於診斷急性冠狀動脈症候群而言,下列敘述何者錯誤? (A) Cardiac troponin 適用於診斷近期發生之心肌梗塞 (B) CK-MB 尖峰值出現時間有助於偵測心肌再灌流之發生 (C) CK-MB 在急性冠狀動脈症候群之臨床病程中,無法用於偵測再梗塞(reinfarction) (D) Cardiac troponin 可助於急性冠狀動脈症候群之風險分級 代號:1102 頁次:12-2
5 關於心包填塞(cardiac tamponade),下列敘述何者錯誤? (A)頸靜脈鼓脹 (B)低血壓 (C)奇脈(paradoxical pulse) (D)常有 Kussmaul’s sign
6 有關冠心症(coronary artery disease)之抗血小板藥物治療,下列敘述何者錯誤? (A) Aspirin 可有效改善病人預後 (B) Clopidogrel 可提供類似 aspirin 之療效 (C)合併使用 aspirin 和 clopidogrel 治療慢性穩定性冠心病較單一治療可提供更大療效 (D)使用氫質子幫浦(proton pump)抑制劑可有效減少使用 aspirin 或 clopidogrel 所導致之腸胃出血
7 抗高血壓藥物的使用方式何者最正確? (A)長期持續性服藥 (B)等血壓控制後即可停藥 (C)間斷性服用以減少副作用 (D)只要改善生活飲食習慣即可免服抗高血壓藥物
8 竇房結(SA Node)之正確解剖位置為何? (A)下腔靜脈及右心房交界處 (B)三尖瓣環及下腔靜脈夾角處 (C)肺靜脈及左心房交界處 (D)上腔靜脈及右心房交界處
9 下列那一心臟疾病不屬於感染性心內膜炎的中度或高度危險群? (A)機械瓣膜置換手術後病患 (B)存開性動脈導管(patent ductus arteriosus) (C)二尖瓣(僧帽瓣)脫垂合併二尖瓣閉鎖不全 (D)心房中隔缺損(secundum type atrial septal defect)
10 78 歲的林先生最近 10 年內因慢性阻塞性肺病之急性發作多次住院。最近 3 天因呼吸逐漸窘迫而被家 屬送至急診就醫。理學檢查呈現輕度嗜睡狀態,肺部聽診有瀰漫性喘鳴、痰量不多,動脈血氣體分 析pH = 7.33、PCO2 = 72 mmHg、PO2 = 47 mmHg,家屬主張積極治療,則下列何者為最優先之處置 方式? (A)由鼻管給予氧氣,流速 1-2 公升/分鐘 (B)使用Venturi mask,FIO2 = 28% (C)使用非侵襲性呼吸器治療(Bi-PAP) (D)立刻氣切插管,使用呼吸器治療
11 一位 56 歲的男性病人因半夜發生端坐呼吸至急診就診,理學檢查發現血壓為 164/98 mmHg,不規則心 跳 120/min,兩側肺部有囉音,心尖部有III/VI之全收縮期雜音及S3奔馬音,抽血檢查Na+ : 120 mEq/L, K+ : 4.5 mEq/L, Cl- : 92 mEq/L。下列何種處置最不適當? (A)再驗其尿中Na+ 濃度以釐清病因 (B)立即給予靜脈滴注 3% saline以矯正其血中Na+ 濃度 (C)立即給予靜脈注射 furosemide (D)立即給予靜脈注射 digoxin
12 一位 70 歲男性抽菸病人主訴運動性氣促,其肺功能檢查顯示FEV1/FVC = 60%,FEV1只有預期值的 56%,下列處置何者錯誤? (A)吸入長效型支氣管擴張劑 (B)長期口服低劑量類固醇 (C)戒菸 (D)肺部復健
13 一項有關甲疾病及乙檢驗的研究顯示有甲疾病且乙檢驗陽性者 90 人,有甲疾病但乙檢驗陰性者 10 人,無甲疾病但乙檢驗陽性者 10 人,無甲疾病且乙檢驗陰性者 190 人。則乙檢驗診斷甲疾病之特異 性(specificity)為: (A) 10% (B) 80% (C) 90% (D) 95%
14 降膽固醇之 Statin 類藥物有時會造成肌肉傷害致血中肌肉酵素如 CK 上升。若同時服用下列何種藥物最可能增加 Statin 產生肌肉病變的比率或嚴重度?(A) Fibrate 類降血脂藥(B)亨氏環利尿劑(loop diuretics)(C) Sulfonylurea 類降血糖藥(D) Warfarin 抗凝血藥
15 關於 A 型肝炎,下列何者錯誤? (A) A 型肝炎在第二次世界大戰期間稱為「傳染性肝炎」 (B)基因體為單股 RNA,分類為小 RNA 病毒科(Picornaviridae),並定為第 71 型腸病毒 (C) A 型肝炎病毒主要是經口傳染,潛伏期為 2-6 週。成年人感染 A 型肝炎病毒之症狀較年幼者明顯 (D) A 型肝炎可用疫苗接種預防
複選題
16 關於 C 型肝炎的自然病史,下列何者錯誤? (A)慢性 C 型肝炎經過 20-30 年後,約有 10-20%的帶原者會發展成肝硬化 (B)肝硬化病例每年有 3-5%生成肝細胞癌的危險性 (C)男性酗酒及 40 歲以後感染是慢性 C 型肝炎快速進展之危險因子 (D)慢性 C 型肝炎是我國肝臟移植最主要的適應症
17 一位 60 歲男性因消化性潰瘍出血接受過胃部分切除手術(Billroth II procedure)後發生飯後腹痛、脹 氣、腹瀉合併脂肪和維生素B12的吸收不良情形,治療上下列何項藥物最適當? (A)質子幫浦抑制劑(proton pump inhibitor) (B)抗生素(antibiotics) (C)胃腸蠕動促進劑(prokinetics) (D)制酸劑(antacid)
18 一位 30 歲男性主訴長期有胸痛、食物逆流及吞嚥困難現象,食道攝影檢查如圖,且上消化道內視鏡 檢查顯示食道黏膜正常,其最佳治療方式為何?
(A) Proton pump inhibitor (B) Calcium channel blocker (C) Laparoscopic fundoplication (D) Laparoscopic myotomy
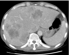
19 一位 73 歲男性病人因腹瀉 2 個月並體重減少 10 公斤而由門診住院。門診超音波檢查顯示有多個肝 腫瘤。大腸鏡檢查發現上行結腸有突起之腫瘤,病理檢查證實為腺癌。病人之 B 型肝炎、C 型肝炎 標記陰性,胎兒蛋白正常,但癌胚胎抗原(CEA)為 1160 ng/mL。病人腹部電腦斷層如附圖。下列 何者為此病人之最適合之 Dukes 分期? (A) B (B) C (C) D (D) E
20 蒲小姐,40 歲,診斷為 HBe 抗原陰性之慢性 B 型肝炎,目前考慮接受抗病毒治療。下列敘述何者錯 誤? (A)干擾素或口服抗病毒藥物皆可使用 (B)干擾素較口服抗病毒藥物有較多的副作用和抗藥性 (C)干擾素使用 48 週,口服抗病毒藥物一般要使用 1 年以上 (D)行政院衛生署中央健康保險局對干擾素及口服抗病毒藥物均有給付
21 一位 65 歲病人最近 1 個月疲倦、走路呼吸急促、食慾不佳、體重減輕 5 公斤;30 年前診斷為成人型 多囊性腎疾,當時的血清肌酐(creatinine)是 1.2 mg/dL。他的血清肌酐 15 年前為 2.2 mg/dL,2 年前上 升至 7.2 mg/dL。此次檢查肌酐 12 mg/dL, BUN 120 mg/dL,血紅素 8.5 g/dL,電解質(單位 mmol/L): Na 139, K 5.5, Cl 103, Ca 1.95, P 8.9 mg/dL;有關此病人的處置下列何者較為適當? (A)這次可能是急性的腎功能惡化,觀察 2 個月後再測定腎功能 (B)病人維生素D製造不良,可先用 1-alpha-vitamin D3控制磷離子 (C)予胰島素降低血鉀濃度 (D)開始透析治療
22 一位 55 歲男性,尿素氮(BUN)130 mg/dL,肌酐(creatinine)為 12 mg/dL,兩邊腎臟在超音波呈 現萎縮至 6.5 公分,他有慢性肺氣腫,曾經作過胃切除,有一長疤自上腹至下腹。他最好選擇那一種 長期透析療法? (A)間歇性腹膜透析(intermittent peritoneal dialysis) (B)血液透析(hemodialysis) (C)連續可活動性腹膜透析(continuous ambulatory peritoneal dialysis) (D)自動化腹膜透析(automated peritoneal dialysis)
23 一位 56 歲男性因噁心、食慾不佳 3 天,至急診處就診。病人無糖尿病史。生化檢查發現 BUN 118 mg/dL, 肌酐 8.1 mg/dL。下列有關此病人是急性或慢性腎衰竭的診斷,那一項比較具鑑別診斷價值? (A)病人下肢有明顯水腫 (B)病人的血紅素為 8 g/dL (C)病人的尿液有蛋白 300 mg/dL,以及高倍鏡下有 15-25 RBC (D)病人的血清鈣 1.95 mmol/L,磷離子 7.0 mg/dL,鉀離子 6.0 mmol/L
24 下列關於 Liddle’s syndrome 的敘述,何者錯誤? (A)為自體顯性遺傳,amiloride-sensitive sodium channel 發生 activating mutations (B)臨床表現有高血壓,低血鉀及代謝性鹼中毒 (C)血清 renin 濃度高,aldosterone 濃度高 (D)低鈉飲食及 amiloride 可矯正其高血壓及電解質異常
25 下列何者是糖尿病腎病變的早期指標,同時也是心血管疾病的早期指標? (A)微蛋白尿(microalbuminuria) (B)血尿(hematuria) (C)腎臟肥大(enlarged kidney) (D)肌酐上升
26 下列情況使用血管張力素受器阻斷劑(angiotensin II receptor blockade)何者最容易引起急性腎衰竭? (A)合併使用利尿劑 (B)鬱血性心臟衰竭 (C)原發性皮質醛酮症 (D)雙側腎動脈狹窄
27 下列何者為正常陰離子隙代謝性酸中毒(normal anion gap metabolic acidosis)? (A)乳酸中毒(lactic acidosis) (B)糖尿病酮酸中毒(diabetic ketoacidosis) (C)第一型腎小管性酸中毒(type1, 即 distal RTA) (D)水楊酸中毒(salicylate poisoning)
28 下列臨床或實驗室之檢查皆為評估類風濕性關節炎活性之指標,那一項最無法反應疾病活性(disease activities)? (A) Rheumatoid factors (B) C-reactive protein (C) Number of tender joints (D) Patient’s global assessment of pain
29 一位 30 歲女病人因嚴重右肩疼痛,10 分鐘前至一家診所接受一針劑止痛。回家途中,忽然感到胸悶, 呼吸困難,喉嚨有異物感及冒冷汗,而立即被轉送至急診處,發現有休克現象;此時最適當的藥物 治療為何? (A) Dopamine (B) Antihistamine (C) Glucocorticoid (D) Epinephrine
30 (A) Acute septic arthritis (B) Acute gouty arthritis (C) Tendon rupture (D) Palindromic rheumatism
31 承上題,上述的疾病在急性發作時,下列何種藥物最有效? (A) Non-steroid anti-inflammatory drugs (B) Cold packing (C) Local anesthetics injection (D) Analgesics
32 根據右圖雙腳的照片,最可能罹患下列那一種風濕病?
(A)類風濕性關節炎 (B)乾癬性關節炎 (C)痛風性關節炎 (D)細菌性關節炎
33 減白的血小板(leucocyte-depleted platelet),可降低藉輸血發生下列那一種傳染疾病的機率? (A) Cytomegalovirus (B) Hepatitis A virus (C) Human immunodeficiency virus type 1(HIV-1) (D) Hepatitis C virus
34 一位患者的淋巴瘤被發現有染色體轉位 t(11;14)並有 BCL1 的表現,此淋巴瘤最可能的分類為何? (A) Follicular lymphoma (B) Mantle cell lymphoma (C) Diffuse large B-cell lymphoma (D) Burkitt’s lymphoma
35 病人輸血時發燒到 38℃以上,若臨床上已經完全排除溶血反應或感染,關於此類病人的輸血反應, 下列敘述何者錯誤? (A)常發生於過去多產的女性受血者 (B)因受血者對捐贈者血漿中的蛋白過敏 (C)選擇使用減白的血液製品(leucocyte-depleted RBC or platelet),可以減少發生的機率 (D)對經常發生的受血者,輸血前先口服 acetaminophen 可改善發燒反應
36 一位 56 歲男性發現右側腎細胞癌合併多處肝轉移,經腎臟切除後,下列治療何者最不適當? (A)使用 Interleukin-2 治療 (B)使用 Sunitinib 治療 (C)使用 Temsirolimus(mTOR inhibitor)治療 (D)使用放射治療
37 一位 53 歲男性有體重減輕及貧血的情形,經大腸鏡檢查後,發現降結腸處有一 2×1 公分大的腫瘤, 切片證實為腺癌,其他檢查發現單一肝轉移(3×3 公分位於 segment 7),但無局部組織侵犯、腹膜 及淋巴結轉移。下列治療何者最為適當? (A)手術切除大腸病灶,再合併術後化學治療 (B)同步化學與放射治療 (C)手術切除大腸腫瘤與肝轉移病灶,再合併術後化學治療 (D)手術切除大腸腫瘤,再合併經導管動脈化學栓塞肝腫瘤
38 一位 55 歲身體狀況一向良好的女性因左腳腫脹 1 週就醫。理學檢查發現左下肢腫脹,溫度比右邊稍 高且靜脈明顯,但無紅疹或壓痛。此外,左鎖骨上窩處淋巴腺腫大,稍硬且固著。驗血時那一項為 陽性的可能性最高? (A) Alpha-fetoprotein (B) Beta-hCG (C) CEA (D) CA-125
39 一位 35 歲女性罹患血栓症,下列何者尚不能符合抗磷脂症候群(antiphopholipid syndrome)的診斷 條件之一? (A)曾有 1 次測得 anticardiolipin IgM antibody 呈中度陽性反應 (B)過去曾 2 次在懷孕第 28-30 週,因子癇症(eclampsia)造成早產 (C)罹患肝門靜脈血栓 (D)罹患腦動脈血栓
40 一位病人因為胃痛應診,內視鏡檢查發現胃竇(antrum)有一直徑 3 公分的腫瘤,其切片經病理檢查 顯示為 mucosa-associated lymphoid tissue(MALT)lymphoma,全身性檢查發現其他部位並未有異常。 下列何者為對此病人最適當的處置? (A) Gastrectomy (B) Local irradiation (C) Systemic chemotherapy (D) Eradication of Helicobacter pylori
41 一位 63 歲男性,主訴這 3 個月來有疲倦及運動後呼吸急促現象,理學檢查除貧血及心跳較快外無特殊異 常。抽血檢查發現血紅素為 7.6 g/dL,MCV 67 fl,白血球 5,280/µL,分類正常,血小板 436,000/µL;小 便檢查正常。病人過去無全身性疾病之病史,兩年前體檢時並無異狀,血液相亦為正常。下列何項檢 查對病人的診斷最有幫助? (A)血色素電泳分析 (B)骨髓檢查 (C)大便潛血 (D)胸部 X 光
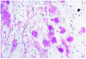
42 肝硬化病患在肺臟可能會有如同皮膚 spider angiomata 的血管變形,在氣體交換的生理效應不會有何種表現?(A)肺泡二氧化碳分壓(PACO2)下降(B)肺泡氧氣分壓(PAO2)上昇(C)動脈血氧氣分壓(PaO2)下降(D)肺泡-動脈氧氣分壓差(PAO2-PaO2)下降
43 下列何者並非 allergic bronchopulmonary aspergillosis 之主要診斷的要件(main diagnosis criteria)? (A) Bronchial asthma (B) Peripheral eosinophilia (C) Central bronchiectasis (D)暴露史
44 下列有關 chylothorax 之敘述,何者錯誤? (A)顏色為乳白色,像牛奶狀 (B) Triglyceride 含量高(> 110 mg/dL) (C)外傷是引起 chylothorax 最常見之原因 (D)如肋膜腔持續積水,可使用胸管長期引流至外,減少症狀
45 下列何者不是急性呼吸窘迫症候群(ARDS)之原因? (A)瀰漫性肺炎 (B)敗血性休克 (C)吸入化學性毒氣 (D)左心室衰竭併肺水腫
46 一位 60 歲男性患者,因胸痛就診後發現有左側肋膜腔積水,抽水檢查發現為exudative effusion, WBC 6200/mm3 , neutrophil 20%, lymphocyte 78%,檢測其積水內有高濃度之interferon γ(> 149 pg/mL)。 最有可能之診斷為下列何者? (A)結核性肋膜腔積水 (B)惡性肋膜腔積水 (C)肺炎性肋膜腔積水 (D)肺栓塞引起之肋膜腔積水
47 一位 70 歲男性,因為COPD急性惡化住院,住院 1 週後原本病情改善,但突然發生急性呼吸喘促與 低血壓。動脈血氣體分析結果pH 7.45,PCO2 35 mmHg,PO2 55 mmHg(使用氧氣 2 L/min)。V/Q scan 判讀為高可能性,雙下肢血管超音波都沒有看到靜脈血栓,此時應該如何處理最為適當? (A)安排肺動脈攝影 (B)考慮馬上給予血栓溶解劑 (C)安排胸部電腦斷層 (D)進行外科手術
48 一位 70 歲男性病患,抽菸 45 年,被診斷為 COPD 已經超過 10 年,平常用吸入型長效性支氣管擴張 劑(long-acting bronchodilator)治療。這次因為發燒、咳嗽加劇有黃痰、呼吸困難加劇住院治療。胸 部 X 光片無新增變化,病人痰液抹片呈現 Gram(-) small diplococci,下列敘述何者錯誤? (A)這次 acute exacerbation 的原因可能是 tracheobronchitis (B)最可能感染的 pathogen 為 Hemophilus influenzae (C)如果病人出現新的心雜音,要考慮 infective endocarditis (D)適當的抗生素選擇為 β-lactamase-stable antibiotics,例如 amoxicillin-clavulanate
49 一位 26 歲男性患者,因左胸痛前來就診,身體檢查發現觸診時左胸震顫減少,敲診時有左胸迴音增 加(hyperresonant)之情形,聽診時左胸呼吸音減弱,最有可能之診斷為下列何者? (A)肺氣腫 (B)左上肺葉大葉性肺炎 (C)左側氣胸 (D)左側肋膜腔積水
50 下列藥物中,那一項比較不會引起血糖升高? (A) Propranolol (B) Glucagon (C) Thiazides (D) Nicotinic acid
51 下列那一項有關甲狀腺分化癌的敘述是正確的? (A)甲狀腺濾泡癌的發生率比乳突癌多 (B)碘缺乏可能增加甲狀腺濾泡癌的發生 (C)年紀介於 20-45 歲之間的病人預後不佳 (D)女性病人的預後較差
52 下列何者不是第 2 型糖尿病之危險因素? (A)第 2 型糖尿病之家族史 (B)缺乏身體活動(physical inactivity) (C)肥胖 (D)多囊腎(polycystic kidney syndrome)
53 Addison’s disease 的病人,常見下列那一項變化? (A)血糖增高 (B)色素缺乏 (C)血鈉增加 (D)嗜伊紅性白血球增加
54 一位 46 歲男性病人至內科門診,主訴 2 週前至某健診中心驗血,發現飯前血糖 201 mg/dL,飯後 285 mg/dL。病人身高 165 公分,體重 60 公斤。5 年前經診斷為肢端肥大症接受腦下垂體手術治療。 家族史沒有糖尿病病史。下列何種敘述正確?(A)病人沒有胰島素抗性(insulin resistance)(B)病人需減輕體重 (C)病人非第 2 型糖尿病,口服降血糖藥是禁忌 (D)檢測生長素(growth hormone)及類胰島素生長因子-I(IGF-I)
55 一位 26 歲女性,因 9 個月來次發性無月經、口渴多尿(尿量每天 6000 毫升)來診,FSH 1.0 mIU/L, LH 1.2 mIU/L,estradiol < 20μg/dL,下列那一個診斷最有可能: (A)下視丘腫瘤 (B)腦垂腺腫瘤 (C)多囊泡卵巢症 (D)長期工作壓力
56 一位 65 歲男性病人,有腎衰竭並接受血液透析多年。血液檢查顯示血鈣值為 2.75 mmol/L,i-PTH 值 為 650 pg/mL,下列那一項敘述正確? (A)已有腎衰竭,考慮血鈣之高低時,不需以血液中之白蛋白值加以調整 (B)治療高血鈣急症,使用 bisphosphonate 比使用 calcitonin 之效果較慢出現 (C)副甲狀腺之增生腫大屬代償性,不應考慮手術切除 (D)腎衰竭是做 Sestamibi parathyroid scan 檢查的禁忌症
57 一位 28 歲婦女,父親有糖尿病,目前懷第 2 胎已 10 週,3 年前順利產下 1 位健康女嬰,其出生體重 為 3500 公克,如果該婦女目前血糖值為 89 mg/dL,下列那一項建議最適當? (A)等預產期前 1 個月再回來複診就可以 (B)懷孕第 24-28 週時宜再檢驗血糖 (C)請病人儘量休息不要運動 (D)安排口服葡萄糖耐性測驗
58 對於人類免疫不全病毒(human immunodeficiency virus)感染者,下列那一種情形不符合愛滋病 (acquired immunodeficiency syndrome)診斷的定義? (A)卡波西肉瘤(Kaposi’s sarcoma) (B)肺囊蟲肺炎(Pneumocystis jiroveci pneumonia) (C)李斯特菌感染(Listeriosis) (D)食道念珠菌感染(esophageal candidiasis)
59 有關盤尼西林(penicillin)過敏反應與皮膚測試之敘述,下列何者錯誤? (A)給予盤尼西林類藥物前,應詳細詢問病人過敏史並記載在病歷之中 (B)若以前用過盤尼西林,但無過敏情形,可不需做皮膚測試 (C)在給予盤尼西林過程中及之後半小時內應注意是否發生過敏反應,若發生嚴重過敏現象, epinephrine 是最重要的急救藥物 (D)為避免發生過敏性休克,每一個病人使用盤尼西林前一定要做皮膚測試
60 2009 年 4 月於北美開始爆發新型流感的流行,使得全球對於流感更加重視,下列關於流感的敘述何 者錯誤? (A)流感病毒可以分成 A、B、C 三種 type,此次新型流感是 A 型 H1N1 (B)此新型流感病毒的基因是由人、豬、禽三種流感病毒之基因重組而成 (C)病毒的抗原改變是造成流感大流行的主要因素 (D)抗病毒藥物 Amantadine 作用於 hemagglutinin,而 Oseltamivir 是 neuraminidase 的抑制劑,二者對 A 及 B 型流感均有效
61 在愛滋病毒感染的檢驗中,若受檢者經篩檢呈現陽性,通常需經何種方法才能確認有愛滋病毒感染 (confirmation test)? (A) Enzyme immunoassay(EIA) (B) Particle agglutination(PA) (C) Western blot (D) Viral load
62 一位 16 歲患者,因發燒、喉嚨痛及全身倦怠來診,理學檢查顯示口腔黏膜水泡,另外於手掌及臀部亦 發現相同水泡病灶,病史詢問後發現家中另一孩童亦有類似症狀被診斷為疱疹咽峽炎(herpangina)。 關於此病症下列敘述何者錯誤? (A)此病症之潛伏期約為 10-14 天 (B)重症者可發生腦炎、心肌炎 (C)此病症家中之傳播率高達 90%以上 (D)死亡原因以肺水腫或肺出血為主要原因 代號:1102 頁次:12-9
63 一位 58 歲男性農夫,在工作時腳被木枝刺傷,5 天後開始出現牙關緊閉、肌肉痙攣及僵硬的症狀。 有關此種疾病的敘述,下列何者最不恰當? (A)此種疾病可能是由一種嗜氧革蘭氏陽性菌所造成 (B)此種疾病若持續進展,可能會出現角弓反張(opisthotonos),甚至是呼吸衰竭等情形 (C)此種疾病的治療可以使用特定的免疫球蛋白(immune globulin)來中和細菌的毒素 (D)此種疾病可以藉由施打類毒素(toxoid)疫苗來做為預防
64 一位 22 歲學生發燒咳嗽有痰,肺部聽診有囉音,痰液鏡檢如下圖,最可能的致病菌為:
(A) Staphylococcus aureus (B) Klebsiella pneumoniae (C) Streptococcus pneumoniae (D) Haemophilus influenzae
65 一位 51 歲男性公務員,體重 84 公斤,身高 162 公分,因要身體檢查而前來求診,2 年前曾經有過一 次的血液檢查,發現有高脂血症及血糖稍高,但並不在意,也未曾藥物治療。此外,病人有高血壓及 糖尿病之家族史。理學檢查:血壓 146/100 毫米汞柱,脈搏 86/分,腰圍有 113 公分,血液檢查:飯前 血糖 130 mg/dL,總膽固醇 220 mg/dL,高密度脂蛋白膽固醇 30 mg/dL,三酸甘油脂 356 mg/dL,尿 酸 8.6 mg/dL,最適當的處置為何? (A)教導改變生活型態並給予運動處方,3 個月後再評估 (B)飲食限制並給與 ibutramine 藥物 (C)投與 ACE-inhibitor 藥物 (D)投與 fenofibrate 及 allopurinol 藥物
66 下列何者是有青少年子女的家庭(adolescent family)發展階段的課題(developmental issue)? (A)親密與自主(intimacy and autonomy) (B)性(sexuality) (C)依賴(dependency) (D)自我的完整性(ego integrity)
67 一位 62 歲家庭主婦因下背痛而就診。病人陳述其背痛通常在從事家務之後發生,沒有轉移痛、發燒 或體重減輕情形。過去並無外傷或重大疾病史,停經 12 年未曾補充動情素。骨密度檢查腰椎BMD 值為 0.785 g/cm2 ,T-score為-2.6;股骨頸BMD為 0.789 g/cm2 ,T-score為-1.2。從證據醫學觀點,下列 何者對預防此病人因骨質疏鬆導致的骨折是利多於弊? (A) Bisphosphonate (B)鈣補充劑 (C)動情激素補充治療 (D)維生素 D
複選題
68 與病人進行醫療會談(medical interview)時,病人出現憤怒生氣之行為,最常導致病人憤怒生氣之 潛在原因為下列何者? (A)憂鬱(depression) (B)焦慮(anxiety) (C)挫折(frustration) (D)害怕(fear) 代號:1102 頁次:12-10
69 一位 64 歲女性最近 2 年背痛逐漸嚴重而就診。疼痛位置在胸椎中間,為隱隱作痛。症狀從 2 年前在家 中滑倒傷到背部即開始。身體移動時或脊椎側彎時會加重。理學檢查發現有駝背(kyphosis)現象,在 第 7、8 胸椎處有明顯壓痛點。身高 156 公分,體重 46 公斤。其它理學檢查無特殊異常。胸椎 X 光檢 查發現第 8 胸椎有壓迫性骨折。下列針對病人疼痛之起始治療(initial treatment)何者較適當? (A) Calcium gluconate (B) Bisphosphonates (C) Estrogen replacement therapy (D) Nasal spray calcitonin
70 一位 74 歲女性在開始安寧療護之前被診斷為結腸腺癌(adenocarcinoma of the colon)已有 3 年而且 證實已轉移至肝臟和骨盆腔。病人主訴腹部疼痛和鼠蹊部有深層疼痛。現接受每 6 小時嗎啡 10 毫克 (睡覺中除外)和口服 acetaminophen 650 毫克每天 3 次治療。病人描述疼痛指數是 4/10,過去病史 包括 4 年前曾因胃潰瘍引發大量出血,活體切片呈現幽門桿菌陰性。下列的疼痛控制策略對此病人 是最適當的? (A)疼痛是屬於神經性的(neuropathic pain),因此可加入 gabapentin (B)在現有處方中加入強效 non-steroid anti-inflammatory drugs(NSAIDs)例如 ketoprofen (C)可加入 Cox-2 抗炎劑以維持止痛效果 (D)嗎啡可加量至每 4 小時 10 毫克(睡覺中除外)
71 旅遊者的疫苗注射可分為例行性(routine)、必須性(required)及建議性(recommended)疫苗,下 列何者是世界衛生組織唯一法定必須施打的疫苗(required immunization)? (A)小兒麻痺疫苗 (B)黃熱病疫苗 (C)霍亂疫苗 (D)傷寒疫苗
72 下列有關瀕死病人的臨床問題,何者正確? (A)孤獨與被拋棄往往比身體的痛苦更可怕 (B)病人常常不希望知道自己得到了什麼病,免得害怕 (C)病人希望有人代替他去做所有的選擇與決定,自己可以什麼都不管 (D)給予病人任何的希望是不切實際的
73 78 歲張三老先生因為咳嗽多痰、胸悶而到醫院求診。醫師診察後為他做胸部 X 光照相,發現縱膈腔 異常,進而做上消化道鋇劑 X 光攝影。胃和食道情況如下圖所示。則張老先生最有可能罹患: (A)食道裂孔胃疝氣(hiatal hernia of stomach) (B)食道重複(esophageal duplication) (C)胃靜脈曲張(gastric varices) (D)食道靜脈曲張(esophageal varices)
74 一位 58 歲男性病患,近 3 個月出現易疲累及經常性肢體疼痛,接受影像檢查,如圖所示,左圖為顱骨 (skull)側面X光攝影,右圖為MRI of lumbar spine(T1WI, sagittal view),請問最可能的診斷為何?
(A) Hypercalcemia (B) Multiple myeloma (C) Multiple bone infection (D) Amyloidosis
75 對於民眾操作 CPR 之敘述,下列何者錯誤? (A)為好學、好記及願意做,不論是 1 人或 2 人操作,不論是執行大人或小孩的 CPR,壓與吹的比均 是 30:2 (B)只要看起來是瀕死的喘息(agonal gasps),就要做 CPR (C)不須檢查脈搏,只要沒有呼吸,就直接給人工呼吸及胸外按壓 (D)在 5 個循環的 CPR 後,先檢查脈搏,如無脈搏,則從壓胸開始
76 一位 48 歲男性因多次抽搐(seizure)且意識不清被送至急診室,雖然已給予 lorazepam 注射,抽搐 仍舊發生,病患有慢性阻塞性肺疾病病史且長期服藥控制,但最近常覺得呼吸困難、胃口不佳及心 悸。其心電圖監視器顯示如下圖,此時其血液檢驗除一般生化檢查及動脈血氣體分析外,應包括下列 何者?
(A)血鈣值 (B)血鈉值 (C)血鉀值 (D) Theophylline 值
77 25 歲原本健康的小真,暑假和同學一起到綠島去潛水,潛到 20 公尺深後,在海底看到鯊魚,嚇得立即游上岸來,上岸 15 分鐘後,先由腳底開始發麻,後來發生右下肢無力,無法行走。下列何者需最優先考慮?(A)小真可能是發生減壓症(decompression sickness),應儘速轉送至有高壓氧治療的醫院(B)小真可能是發生中風,應儘速轉送至有電腦斷層的醫院(C)小真可能是發生脊髓外傷,應儘速轉送至有磁振造影的醫院(D)小真可能是腰椎骨頭受傷,應儘速轉送至有照射腰椎 X 光的醫院
78 一位 56 歲男性,有糖尿病、高血壓病史多年,因全身倦怠、尿量逐漸減少、下肢無力及水腫而至急 診室就醫。心電圖如下,其最可能的電解質異常為:
(A)低血氯 (B)高血鉀 (C)高血鈣 (D)低血鈉
79 一般而言,下列何者為病患指定代理人之最佳人選? (A)配偶或同居人 (B)子女 (C)兄弟姊妹 (D)病人有決定的能力時親自指定或預立的指定代理人
80 您是實習醫師,在繁忙值班中,不小心將 B 床的靜脈注射抗生素打入 A 床病人身上,下列處置何者 最不適當? (A)委婉向病人說明,並密切追蹤觀察 (B)立刻查藥物資料,若無大礙不必說出來 (C)立即報告負責之主治醫師與院內相關單位 (D)請護士小姐再補給 B 床病人原使用之抗生素
申論題 (0)
相關試卷
115年 - 115 專技高考_醫師(二):醫學(三)(包括內科、家庭醫學科等科目及其相關臨床實例與醫學倫理)#137317
115年 · #137317
114年 - 114-2 專技高考_醫師(二):醫學(三)(包括內科、家庭醫學科等科目及其相關臨床實例與醫學倫理)#127920
114年 · #127920
114年 - 114-1 專技高考_醫師(二):醫學(三)(包括內科、家庭醫學科等科目及其相關臨床實例與醫學倫理)#125089
114年 · #125089
113年 - 113-2 專技高考_醫師(二):醫學(三)(包括內科、家庭醫學科等科目及其相關臨床實例與醫學倫理)#120658
113年 · #120658
113年 - 113-1 專技高考_醫師(二):醫學(三)(包括內科、家庭醫學科等科目及其相關臨床實例與醫學倫理)#118724
113年 · #118724
112年 - 112-2 專技高考_醫師(二):醫學(三)(包括內科、家庭醫學科等科目及其相關臨床實例與醫學倫理)#114972
112年 · #114972
112年 - 112-1 專技高考_醫師(二):醫學(三)(包括內科、家庭醫學科等科目及其相關臨床實例與醫學倫理)#113147
112年 · #113147
111年 - 111-2 專技高考_醫師(二):醫學(三)(包括內科、家庭醫學科等科目及其相關臨床實例與醫學倫理)#108729
111年 · #108729
111年 - 111-1 專技高考_醫師(二):醫學(三)(包括內科、家庭醫學科等科目及其相關臨床實例與醫學倫理)#106186
111年 · #106186
110年 - 110-2 專技高考_醫師(二):醫學(三)(包括內科、家庭醫學科等科目及其相關臨床實例與醫學倫理)#99914
110年 · #99914