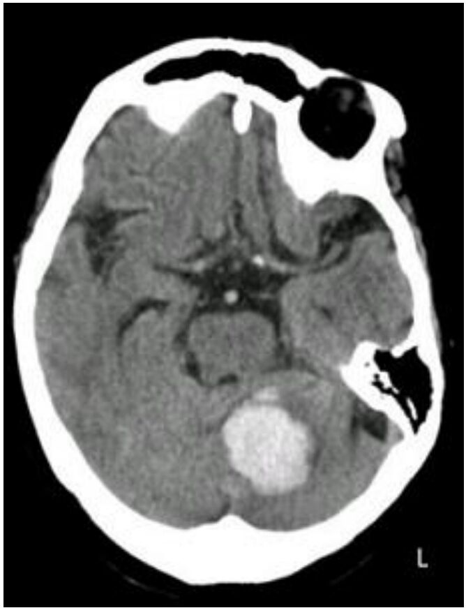
44.一位出血性中風病患入院後的影像檢查如下圖,該病患最不可能出現下列何項臨床檢查結果?
(A)進行追視檢查時,出現眼球震顫
(B)深腱反射降低
(C)執行仿畫測驗時,僅畫出左側的圖像
(D)執行指鼻測試時,出現對不準鼻尖
答案:登入後查看
統計: A(5), B(16), C(16), D(0), E(0) #3816159
統計: A(5), B(16), C(16), D(0), E(0) #3816159
詳解 (共 1 筆)
#7299532
備考三週,114-1平均72.9→打氣or好友→免費提供全科筆記
ㅤㅤ
44.一位出血性中風病患入院後的影像檢查如下圖,該病患最不可能出現下列何項臨床檢查結果?

ㅤㅤ
題目右上角的黑色圓形空洞,是眼睛,切片高度的重要landmark如下圖:

ㅤㅤ
對照可知,白色出血區域是左側小腦
ㅤㅤ
小腦症狀:

ㅤㅤ
錯誤(C) 執行仿畫測驗時,僅畫出左側的圖像
左側小腦CVA,異常的是左側,比較可能是畫左側圖像異常
ㅤㅤ
正確(A) 進行追視檢查時,出現眼球震顫
正確(B) 深腱反射降低
正確(D) 執行指鼻測試時,出現對不準鼻尖
(A)(B)(D)都是小腦症狀
ㅤㅤ
覺得答案有幫助,還請幫忙點個免費的讚,您的掌聲是我解題的動力
ㅤㅤ
圖片來源:https://www.researchgate.net/figure/Performing-Heel-to-Shin-test_fig25_334697259、https://www.verywellhealth.com/dysdiadochokinesia-in-ms-2440863、https://www.imaios.com/en/e-anatomy/brain/mri-axial-brain
2
0