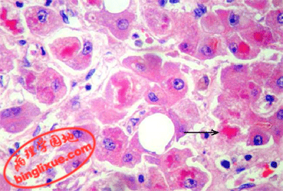
51.下列何種肝臟變化與酒精攝取最不相關?
(A)脂肪肝(fatty liver)
(B)肝硬化(cirrhosis)
(C)Mallory小體(Mallory body)
(D)血色素沉著病(hemochromatosis)
答案:登入後查看
統計: A(54), B(12), C(94), D(1764), E(0) #776440
統計: A(54), B(12), C(94), D(1764), E(0) #776440
