阿摩線上測驗
登入
首頁
>
胸腔暨重症專科
>
100年 - 100 重症專科醫師口試:外科2#104942
> 申論題
題組內容
(後續發展)
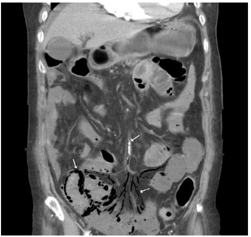
病人的腹部電腦斷層如下:
問題3: 腹部斷層影像中顯示的現象為何?臨床診斷為何?(20 %)
相關申論題
問題1: 請問最可能的鑑別診斷有哪些? (10 %)
#444971
問題2: 你要做哪些立即處理? (40 %)
#444972
問題4:依據腹部電腦斷層影像中顯示的現象,請問接下來的處置為何及其風險及須注意 事項? (15 %)
#444974
(後續發展)病人接受緊急腹部探查手術,手術中發現病患大小腸有三分之二都已壞死,家屬拒絕切除壞死腸道,腹部傷口縫合後病人立即送回加護病房進一步處理。第二天病人生命徵象不穩定,病人體溫34.5℃、血壓80/60 mm、心跳每分鐘140下、呼吸每分鐘26下,在呼 吸器VC/ACMV模式、潮氣量600ml、氧氣分壓0.5、末端吐氣正壓10cm-H2O使用下,動脈血氣體分析為 pH 7.256, PaO2 76 mm Hg, PaCO2 25 mm Hg。抽血檢驗結果:WBC 800/£L,PLT 3.2x10 3 /£L,Albumin 2.1 g/dL,Bun 38 mg/dL,creatinine 3 mg/dL,胸 部X光顯示雙側肺部浸潤。 問題5: 依上述病情,請問接下來的術後的處置為何,包括呼吸器的設定、止痛要及鎮靜 劑的使用及其預後?(15 %)
#444975
33. 43 y/o female with S.O.B for months
#456533
32. 72 y/o male with back pain for 3 months
#456532
31. 61 y/o male, physical check up
#456531
30. 50 y/o Male, with chest pain
#456530
29. 33/F Mild shortness of breath for three days
#456529
28. 68/F Cough for 3 days
#456528
相關試卷
112年 - 112 台灣胸腔暨重症加護醫學會「胸腔暨重症醫學」專科醫師考試#122321
112年 · #122321
112年 - 112 重症醫學專科醫師筆試考題#117420
112年 · #117420
111年 - 111 重症醫學專科醫師筆試考題#117456
111年 · #117456
111年 - 111 台灣胸腔暨重症加護醫學會「胸腔暨重症醫學」專科醫師考試#113452
111年 · #113452
110年 - 110年胸腔暨重症專科醫師甄審_影像學#107076
110年 · #107076
110年 - 110 台灣胸腔暨重症加護醫學會「胸腔暨重症醫學」專科醫師考試#106878
110年 · #106878
109年 - 109胸腔暨重症專科醫師考試:影像學#104236
109年 · #104236
109年 - 109 台灣胸腔暨重症加護醫學會「胸腔暨重症醫學」專科醫師考試#102825
109年 · #102825
109年 - 109 年重症醫學專科醫師筆試考題#93677
109年 · #93677
108年 - 108 胸腔暨重症專科醫師考試:影像學#104523
108年 · #104523