所屬科目:胸腔暨重症專科
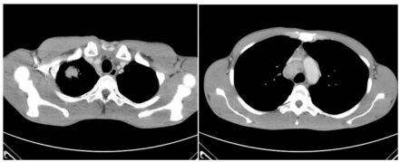
45. 65 歲女性病人,健檢意外發現右上肺有一顆腫瘤,縱膈腔也有數顆淋巴結(N2 multiple station Gr 2,4,7),如下圖,正子掃描無遠端轉移,無對側及鎖骨上淋巴結。腫瘤切 片為肺腺癌,無驅動基因突變,PD-L1(22C3)免疫染色 5%,下列治療方式何者較為適當? (A) 手術切除再接受術後輔助化療。 (B) 前導性化療(Neoadjuvant chemotherapy)後再接受手術切除。 (C) 不適合開刀,化療合併免疫治療是首選。 (D) 同步化放療(concurrent chemoradiotherapy)疾病無惡化再接受一年免疫治療作為鞏固 治療。
53. 下圖為一位 ARDS 病人 airway(a),esophageal(b) pressure tracing,及其相減的圖形 (c),何者正確? (A) 在吐氣時,transpulmonary pressure 約為 4 至 6cmH2O。 (B) 根據 tracing,可以考慮增加 PEEP,以改善 atelectasis。 (C) 可以考慮進一步減少 tidal volume,避免 ventilator-induced lung injury(VILI)。 (D) 根據 tracing,PEEP 大約為 18cmH2O。
72. 患者的肺功能檢查 flow-volume loop 如下,虛線為預測正常值,此病患的可能病灶類型為: (A) Restrictive ventilatory impairment。 (B) Large airway obstruction:extrathoracic obstruction。 (C) Large airway obstruction:fixed obstruction。 (D) Large airway obstruction:variable intrathoracic obstruction。
74. 以下肺功能檢查結果的判讀為?(A) Obstructive ventilatory defect。 (B) Restrictive ventilatory defect。 (C) Mixed obstructive and restrictive defect。 (D) Non-specific ventilatory defect。