所屬科目:消化科
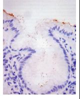
14. 50歲男性因上腹痛接受胃鏡檢查(圖1)並做了病理切片(圖2),下列何者最不適合做為治療藥物? (A)bismuth subcitrate (B)omeprazole (C)cephalexin (D)amoxicillin (E)clarithromycin
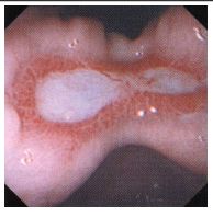
15. 60歲男性肝硬化患者,因吐血解黑便至急診,內視鏡檢查結果之食道表現如圖,下列何者不適用於此位患者的處置? (A)terlipressin (B)antibiotic (C)endoscopic variceal ligation (D)doxazosin (E)octreotide
16. 20歲男性,因吞嚥困難接受上消化道內視鏡檢查,報告結果為正常,其食道攝影結果如圖,下列治療方式可緩解其症狀,除了: (A)isosorbide dinitrate (B)atenolol (C)nifedipine (D)endoscopic botulinum toxin injection (E)endoscopic ballon dilatation
17. 22歲男性,因解血便接受全大腸鏡檢查,結果如圖,病理切片結果為granulomatous inflammation,且acid-fast stain為陰性,下列敘述何者為真? (1)抽煙可減少此病的發生 (2)腸道內厭氧菌,例如Bacteroides,可誘發病人的腸道發炎反應 (3)超過50%以上的患者血中perinuclear antineutrophil cytoplasmic antibodies (PANCAs)呈現陽性反應 (4)此病可合併週邊關節炎(peripheral arthritis)或僵直性脊椎炎(ankylosing spondylitis) (5)可合併膽道疾病的發生,例如primary sclerosing cholangitis (A)(1)+(2)+(3) (B)(2)+(3)+(4) (C)(3)+(4)+(5) (D)(1)+(3)+(4) (E)(2)+(4)+(5)
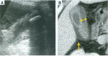
21. 40歲女性,因急性腹痛至急診處求診,理學檢查右上腹有明顯壓痛,體溫38℃,實驗室檢查AST:1070 IU/L, ALT:1810 IU/L, bilirubin (total/direct) 3.2/1.8 mg/dL,WBC:12400/μl,seg:84%,超音波及電腦斷層檢查如圖,下列敘述何者正確? (A)診斷為急性肝炎 (B)常合併肝內膽管結石 (C)Morphine是此患者止痛之首選 (D)內科治療為首選,且90%以上患者均可得到症狀改善 (E)近來之趨勢為儘早手術
22. 37歲男性患者,主訴慢性腹痛一年以上,有止痛藥使用習慣,且最近有腹瀉、體重減輕現象,腹部超音波(圖1)及電腦斷層檢查結果(圖2),此患者可能出現下列的併發症(complication),除了 (A)黃疸 (B)胃腸出血 (C)維生素B1吸收不良 (D)葡萄糖耐受異常(impaired glucose tolerance) (E)皮下脂肪壞死(subcutaneous fat necrosis)