所屬科目:血液科
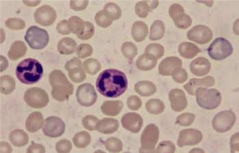
3. 一位37歲女性病患過去無特殊病史,最近因為疲倦、黃疸及深色尿應診,血液檢查顯示Hb 8.7 g/dL,reticulocyte 4.8%,白血球3560/uL,血小板145000/uL,血液抹片如圖所示;bilirubin全量3.7 mg/dL,直接型0.6 mg/dL,AST 75 U/L,ALT 31 U/L,LDH 2350 U/L,Coombs' test陰性;小便如圖所示,潛血反應呈陽性,沈澱物中RBC 0-2/HPF,WBC 1-3/HPF。下列何種檢查對診斷最有幫助? (A) Urine myoglobin (B) Hb electrophoresis (C) Bone marrow examination (D) Hepatitis markers (E) Flow cytometry for CD55 and CD59 expression
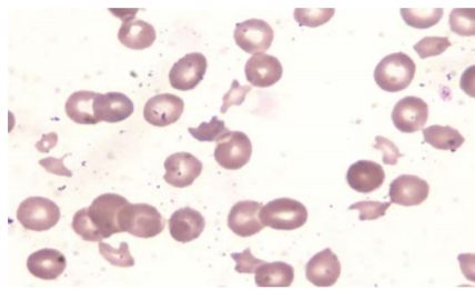
8. 一位31歲女性身體檢查顯示有輕微黃疸,皮膚少許淤青,無其他出血現象。血紅素9.2 g/dL,網狀紅血球(reticulocyte) 4.1%,白血球4750/uL,血小板23000/uL;PT及PTT正常,血液抹片如圖所示,此病人最可能的診斷為何? (A) Thrombotic thrombocytopenic purpura (B) Disseminated intravascular coagulation (C) G-6PD deficiency (D) Evan syndrome (E) Hypersplenism