所屬科目:血液科
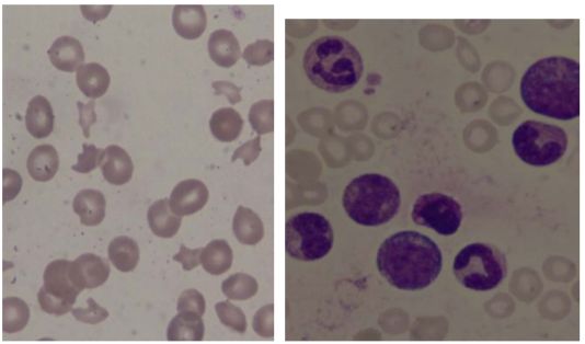
7. 一位 65 歲男性在體驗時無意發現血紅素 10.5 gm/dL,白血球 130810/μ L,血小板 47000/μ L,血液 抹片如圖所示。這位病人最可能的診斷為何? (A) Acute myeloid leukemia (B) Chronic myeloid leukemia (C) Leukemoid reaction (D) Hemolytic anemia (E) Myelodysplastic syndrome
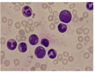
8. 一位 57 歲女性因為虛弱,意識混亂被家人送到急診 處,身體檢查顯示體溫 37.9°C,輕微黃疸,手腳有淤 青,無黏膜出血;對時、地有些混淆,但可以回答問 題,亦無局部感覺及神經學徵狀。血液檢查顯示血紅 素 7.5 gm/dL,網狀紅血球 5.4 %,血小板 11000/μ L, 白血球 8500/μ L,分類有 normoblast,全膽紅素 (bilirubin) 3.1 mg/dL,直接型 0.7 mg/dL,ALT 23 U/L, AST 55 U/L,LDH 1350 U/L,Cr 1.1 mg/dL,PT 及 aPTT 正常,血液抹片如圖。下列那些處置對病人是有幫助 的? (1). platelet concentrate transfusion (2). plasma exchange (3). immunomodulatory therapy (A) (2) (B) (3) (C) (1)+(2) (D) (2)+(3) (E) (1)+(2)+(3)