所屬科目:血液科
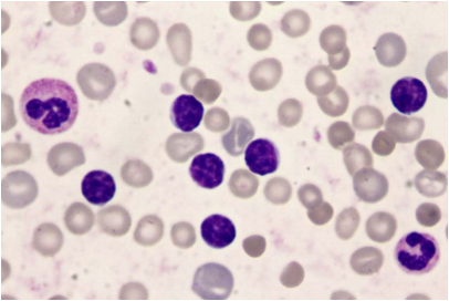
5. 一位52歲病人抽血檢查發現白血球數為25,500/uL,淋巴細胞佔78%,周邊血液抹片如圖所示,流氏細胞儀顯示這些淋巴細胞表現CD19,CD20,CD5,CD23,及κ-輕鏈,但無CD3,CD10及λ-輕鏈表現,此病人最可能得了什麼病? (A) Chronic lymphocytic leukemia (B) Large granular lymphocyte leukemia (C) Reactive lymphocytosis (D) Acute lymphoblastic leukemia (E) Follicular lymphoma