所屬科目:血液科
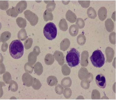
2. 一位72歲病人因為出血傾向及疲倦應診,抽血檢查顯示血紅素為8.2 g/dL,白血球24000/uL,血小板12000/uL;血液抹片如圖所示。這位病人最可能得了何種病? (A) Chronic myeloid leukemia (B) Chronic myelomonocytic leukemia (C) Chronic lymphocytic leukemia (D) Acute myeloid leukemia (E) Acute lymphoblastic leukemia (ALL)
3. 一位23歲病人因呼吸急促應診,血液檢查顯示血紅素為6.3 g/dL,血小板、白血球及分類正常,網狀紅血球(reticulocyte) 3.5%,全膽紅素 (total bilirubin) 3.4 mg/dL,直接膽紅素 (direct bilirubim) 0.7 mg/dL;血液抹片如圖所示。此位病人最可能得了什麼病? (A) Iron deficiency anemia (B) Autoimmune hemolytic anemia (C) Vit B12 deficiency anemia (D) Thalassemia (E) G6PD deficiency