所屬科目:一般醫學
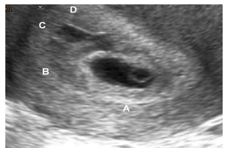
93 於民國 109 年 5 月 17 日,一位 27 歲許姓孕婦 G1P0 到院就診,主訴陰道出血已數天,但目前無腹痛 之情形。其自行檢驗懷孕試驗呈陽性反應,最後一次月經為三個月前,但是月經週期不規則 30~60 天 才來一次。許姓孕婦接受陰道超音波檢查,下圖為陰道超音影像,證實為子宮內懷孕並且有 subchorionic hematoma 之情形。據此陰道超音影像,此次妊娠之 decidua basalis 會位在子宮內膜腔 A、 B、C、D 之何處? (A) A (B) B (C) C (D) D
99 圖為初產婦生產時之子宮頸擴張進展示意圖(partogram),正常的子宮頸擴張進展曲線標示為 normal dilation curve,曲線 A(青色曲線)之圖形應歸屬於那一種產程異常(dysfunction labor)? (A) Prolonged latent phase (B) Protracted active-phase dilation (C) Secondary arrest of dilation (D) Prolonged deceleration phase