所屬科目:一般醫學
37 下列何者為 B 細胞所特有,在次級免疫促使 B 細胞類別轉換(class switch)和親和力成熟(affinity maturation)中扮演重要角色? (A)Terminal deoxynucleotidyl transferase(TdT) (B)Activation-induced cytidine deaminase(AID) (C) recombinase (D)Ku70/Ku80 heterodimer
86 5 歲男童正常發育,過去無特定疾病,且有定期健兒門診及接受預防針注射之紀錄。自今天早上開始 發燒,下午有哭鬧且出現前胸痛,晚間到兒科急診,醫師發現心音聽不太到,且測量脈搏約每分鐘 150 下,血壓 80/50 mmHg,經直立胸部 X 光檢查,結果如下圖,其最可能的診斷為何? (A) 心室中膈缺損疑似合併左心衰竭(ventricular septal defect with left heart failure) (B)心肌炎疑似合併心室頻脈(acute myocarditis with ventricular tachycardia) (C)急性心包膜炎疑似合併心包填塞(acute pericarditis with cardiac tamponade) (D)肺動脈高壓症疑似合併右心衰竭(pulmonary arterial hypertension with right heart failure)
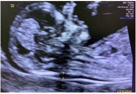
94 37 歲的孕婦第一次懷孕,在 13 週又 1 天時婦產科醫師為她安排了超音波胎兒掃描,檢查結果如下列 圖示。關於這項超音波檢查的敘述,何者最不適當? (A)第一孕期的唐氏症篩檢通常在妊娠 11 至 14 週間進行量測 (B)量測區域為 2.2 mm,有高風險的心臟結構異常、染色體異常,應建議進一步的檢查及遺傳諮詢 (C)量測區域結合母親血清妊娠相關血漿蛋白-A(PAPP-A)及游離性乙型人類絨毛性腺激素(free β-HCG)濃度即是第一孕期唐氏症篩檢的內容 (D)當偽陽率設定為 5%時,第一孕期唐氏症篩檢的偵測率約為 84%,與第二孕期篩檢的血清四指標偵 測率相當
95 32 歲的孕婦 G3P2A0,懷孕 33 週又 3 天,產檢過程被診斷妊娠高血壓,有口服降血壓藥物但沒有常 規監測血壓,近一星期常常覺得頭暈頭痛、體重急速增加、四肢及臉部浮腫,這天因下腹悶痛,來 急診就醫時發現血壓 228/126 mmHg,胎兒監視器監測顯示如下圖。下列敘述何者最不適當? (A)胎心音反覆出現延遲性減速,是胎兒窘迫的表現,需緊急搶救胎兒 (B)沒有陰道出血,腹部超音波下也沒異狀,仍不能排除胎盤剝離的可能 (C)類似的胎心音和宮縮表現,也可能出現在外傷後或早期破水的孕婦 (D)子宮收縮的強度和頻率對於待產的孕婦來說仍屬正常範圍
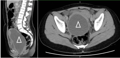
99 15 歲的女性沒有過去病史,尚未來月經,第二性徵發育正常,排便、解尿無異常,這一星期以來感 到一陣陣下腹悶痛,疼痛指數高達 8 分,休息吃止痛藥都無法緩解,越來越痛,沒有發燒或噁心嘔 吐的現象。來急診時,腹部電腦斷層及身體檢查結果如下圖,圖中的病灶(∆)位於子宮,關於她腹 痛的原因,下列敘述何者最不適當? (A)為原發性無月經症(primary amenorrhea) (B)可能合併骨骼及泌尿系統異常 (C)可能是雄性激素失敏症(androgen insensitivity) (D)腹痛原因是子宮內積血(hematometra)或陰道內積血(hematocolpos)