所屬科目:一般醫學
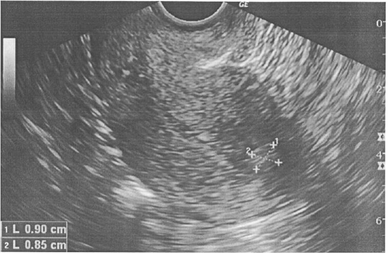
96 46 歲的女性育有一男一女,月經規則,大多 5 天結束,沒有量多或經痛的困擾;最近 2 個月發現月經 時間拉長為 8 至 10 天,而至婦產科求診,初步超音波檢查如附圖,下列何者判讀錯誤?(A)這是張腹部超音波 (B)這是張子宮矢狀切面(sagittal view) (C)標記處可能是子宮肌瘤 (D)標記處可能是內膜息肉