所屬科目:一般醫學
81 65 歲女性,右膝關節疼痛,X 光片(anterposterior radiograph)檢查如下圖。最可能的診斷為: (A)類風濕性關節炎(rtheumatoid arthritis) (B)乾癬性關節炎(psoriatic arthritis) (C)骨性關節炎(osteoarthritis) (D)痛風性關節炎(gouty arthritis)
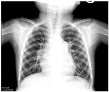
87 3 歲女童,最近半年容易疲倦,上樓梯容易呼吸喘及胸痛。身體診察無明顯發紺,第二心音變大聲, 心電圖檢查顯示有右心肥厚(right ventricular hypertrophy),胸部 X 光如圖所示。其最可能患有何種心臟病?
(A)完全大動脈轉位(d-transposition of great arteries) (B)肺動脈高壓症(pulmonary arterial hypertension) (C)法洛氏四重症(tetralogy of Fallot) (D)肺動脈瓣狹窄(pulmonary valve stenosis)
94 根據美國國家兒童健康與人類發展中心(NICHD)對於胎心音判讀的分類準則,下列胎心音表現屬於何類胎心音? (A)第一類(Category I)胎心音 (B)第二類(Category II)胎心音 (C)第三類(Category III)胎心音 (D)第四類(Category IV)胎心音
96 下列何者為雙子宮畸形(uterus didelphys)? (A) (B) (C) (D)