所屬科目:中醫臨床醫學(三)(包括中醫外科學、中醫傷科學、中醫五官科學)
13.某幼稚園大班學童,罹患慢性鼻竇炎反覆不癒,最近卻在鼻唇與臉頰附近長出許多紅疹與膿皰,還會流出黃稠的分泌物,甚至結成厚痂(如圖所示),下列相關敘述何者錯誤?(A)宜服「升麻消毒飲」等祛風涼血清熱藥 (B)痂厚者,用豬油潤之,頻以水洗為宜 (C)熱甚者,外用「青蛤散」敷之 (D)濕盛者,可外用「碧玉散」敷之
23.針對肱骨外上髁炎的檢查,檢查者將受測者前臂旋前(pronation),手腕完全屈曲,手肘伸直,若在肱骨的外上髁產生疼痛感則為陽性反應(如附圖所示),該測試為下列何者?(A)Mill's test (B)Cozen's test (C)Phalen's test (D)Tinel's sign
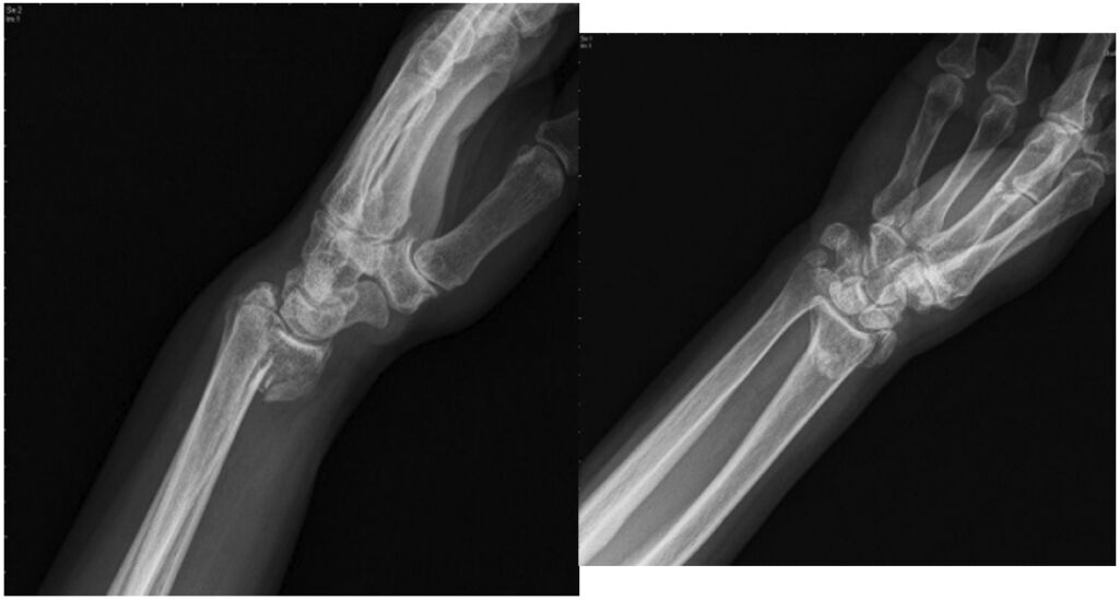
53.68歲女性2日前跌倒左手撐地,因左手腕腫脹瘀青無法用力而就診,X光如附圖所示,下列敘述何者正確?(A)跌倒時左手掌撐地造成 (B)該骨折又稱為反柯力氏骨折(Reverse Colles' fracture) (C)患者手腕外觀可見「餐叉樣」畸形 (D)此為伸直型骨折
57.55歲貨運工人,工作受傷,右踝疼痛腫脹,下圖為踝部的X光片,其可能之病因、骨折機轉為何?(A)外翻型骨折 (B)垂直壓縮型骨折 (C)內翻型骨折 (D)外旋型骨折