所屬科目:中醫臨床醫學(三)(包括中醫外科學、中醫傷科學、中醫五官科學)
1.依《中醫外科講義》下列何者不是多血少氣之經?(A)手少陰心經(B)足厥陰肝經(C)手太陽小腸經(D)足太陽膀胱經
2.40歲陳先生,因肝膿瘍住院,中醫師診其脈為洪數之脈,依《中醫外科講義》辨膿,此病人肝膿瘍的目前狀態為何?(A)尚未成膿(B)部分膿成(C)膿已大成(D)膿已消散
3.依據《中醫外科講義》,侵腦疽將潰之時宜服下列何方最適當?(A)托裏透膿湯(B)荊防敗毒散(C)內疏黃連湯(D)托裏排膿湯
4.關於臀癰及坐馬癰的描述,下列何者最適當?(A)臀癰生於臀部皮膚常摩擦處的急性化膿性疾病(B)坐馬癰為生於腹股溝處的化膿性疾病(C)臀癰發生處常有瘡癤史,初起紅腫疼痛,中心明顯,逐漸擴大而有硬結(D)坐馬癰發病前通常無徵兆,發時結如雞卵,腫脹發熱,隨後迅速化膿
5.疔瘡治療大致可分為外治及內服兩部分,下列敘述何者最不適當?(A)雖所患之處不同,但性質相近,治法大致相同(B)面部疔瘡大部分能自行排膿,手足因肌肉堅厚,多數需要切開引流(C)患疔可行刺,無論何疔,均可刺委中穴使出血少許(D)生黃耆於外科中用之恰當,但在疔瘡屬慎用或禁用藥
6.依疔瘡的部位與定名,下列選項何者完全正確?①釘腦疔生於百會穴處 ②鎖口疔生於嘴角 ③斷指疔生於大指,其他較少 ④蛇頭疔生於手指指甲基部 ⑤蜣螂蛀多生於體虛人之手指關節 ⑥手 丫疔生於大指與食指間,位於合谷穴處(A)①②⑤(B)②③⑤(C)②⑤⑥(D)③④⑤
7.王先生在二個月前發現足底一處突然堅腫且隱隱作痛,而後漸漸潰破,滲流腐臭滋水而無膿血,繼則皮爛日大,瘡口凹陷,色如雞肝。根據《中醫外科講義》,下列敘述何者錯誤?(A)最可能的診斷為漏底風(B)可內服萆薢滲濕湯兼服知柏八味丸(C)本症病情纏綿,即調理得宜,也得數月始癒(D)若病灶潰爛流膿,肌肉紅活者,又名顱眼疽,病情較本患者嚴重,更不易收口
8.周小姐,20歲學生,本學期以來課業壓力大,經常熬夜,最近幾個月開始出現月經不規則,而且常突然大量掉髮,以至於頭皮出現幾個錢幣樣禿髮,但是不癢也不痛,下列何者是最合適的中醫診斷?(A)禿瘡(B)錢癬(C)髮際瘡(D)油風
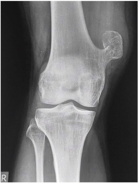
9.根據《中醫外科講義》關於虛證鶴膝風的敘述,下列何者正確?(A)由足三陰虧損,風寒濕入絡化熱所致(B)初起膝腫而如棉,皮色微紅,焮熱光亮(C)疼痛日增,及至數月以後,漸感屈伸不利,行走無力(D)如腫潰後時出白漿膿,可用硇砂散蓋貼,不難平復而癒
10.根據《中醫外科講義》,下列何者不是破傷風的症狀?(A)有創傷,瘡口周圍燥起白痂(B)牙關緊閉,口撮唇緊(C)身體強直,角弓反張(D)遍身麻木不仁