所屬科目:中醫臨床醫學(三)(包括中醫外科學、中醫傷科學、中醫五官科學)
1.根據《中醫外科講義》的用藥之法,下列何者屬於通絡和營之藥物? (A)五靈脂(B)夏枯草(C)馬勃(D)橘紅
2.明朝醫家陳司成使用砒石治療梅毒,是記錄在下列何本中醫外科著作? (A)《外科準繩》(B)《外科正宗》(C)《瘍科選粹》(D)《霉瘡祕錄》
3.下列有關搭手疽的敘述何者正確? (A)上搭手位於肓門穴(B)上搭手由氣鬱痰熱凝結而成(C)中搭手位於肺俞穴(D)下搭手,由七情失和傷內,憤怒火凝而生
4.有關乳癰之敘述,下列何者錯誤? (A)起因多因肝氣鬱結,胃熱壅滯(B)內吹乳癰於哺乳期發生;外吹乳癰於懷孕期發生(C)男子生者稀少,女子生者較多(D)此病相當於現代醫學的乳腺炎
5.有關背癰之敘述,下列何者錯誤? (A)別名黃瓜癰(B)由脾虛氣滯而成(C)初起宜服仙方活命飲,加羌活、柴胡(D)久而難以收斂者,補之
6.患者有臍癰,潰後臍中不腫不痛,但很癢且常流黃水,則下列敘述何者錯誤? (A)病因是肺經火毒,流入大腸小腸所致(B)病灶處禁鍼(C)屬腸胃濕熱積久,宜服黃連平胃散(D)可外用三妙散乾撒
7.有關鼻疔的敘述,下列何者錯誤? (A)又名白刃疔(B)生發於鼻孔內(C)亦可生於外鼻部(D)係腎經火毒結聚而生
8.依《中醫外科講義》有關胎風,若兒大能食米麵,身熱皮紅者,係腑熱內蒸,濕氣外乘之故,即名 玉爛瘡,宜如意金黃散,蜜水調敷,最宜內服下列何方?(A)導赤湯(B)瀉黃散(C)瀉青散(D)消風散
9.腎囊風係腎囊作癢,多因下列何經濕熱,風邪外襲皮裏而成? (A)腎經(B)脾經(C)肝經(D)膀胱經
10.依《中醫外科講義》,鵝掌風如因血燥生風而起者,宜用桐樹子煎汁薰洗,並用紅油烘熱擦,內服 下列何方?(A)祛風地黃丸(B)搜風解毒湯(C)三妙散(D)三礬湯
11.《內經》有關瘡之敘述,下列何者錯誤? (A)諸瘡癢痛,皆屬於心(B)諸濕腫滿,皆屬於脾(C)濕熱相合,浸淫不休,諸瘡生矣(D)諸瘡癢痛,皆屬於脾
12.一名已婚婦女,平日上班工作壓力大,下班需為家務繁忙且要照顧公婆,臉上出現病灶色如塵垢, 形枯不澤,大小不一,小者如米粒赤豆,大者似蓮子芡實,與皮膚相平。此患者最可能的診斷為下列何者?(A)烏白癩(B)風疹(C)黧黑斑(D)白駁風
13.承上題,宜外用何方加以治療為佳? (A)顛倒散(B)密陀僧散(C)玉容散(D)潤膚膏
14.下列何種疾病在人與人之間的傳染性最低? (A)大頭瘟(B)禿瘡(C)蟲疥(D)奶癬
15.關於蜘蛛瘡的病因,歸屬於下列那一大類? (A)癘疫(B)火鬱(C)暑熱(D)染毒
16.大頭瘟患者治療之內服藥,下列何者最適宜? (A)陽和湯(B)普濟消毒飲(C)人參養榮湯(D)托裏散
17.乳癌,若反復不癒,瘡勢已成,不可過用剋伐峻劑,致損胃氣,最宜下列何方? (A)歸脾湯(B)補中益氣湯(C)益氣養營湯(D)香貝養榮湯
18.成人罹患「蛤蟆瘟」後,經常出現睪丸腫大疼痛,身發高熱的合併症,宜以下列何方內服治療最恰當?(A)牛蒡解肌湯(B)犀角升麻湯(C)五福化毒丹(D)龍膽瀉肝湯合金鈴子散
19.下列中醫外科病名,何者不是西方醫學之「梅毒」? (A)廣瘡(B)姤精瘡(C)梅花毒(D)楊梅瘡
20.梅瘡由慾毒染或濕熱邪火所化,下列敘述何者正確? (A)氣化者輕,可服防風通聖散(B)氣化者重,可服楊梅一劑飲(C)精化者輕,可服九龍丸(D)精化者重,可服麻黃一劑飲
21.下列足部勞損之定義何者正確? (A)趾骨之間因為舊傷而導致沾黏(B)足部間韌帶慢性疲勞(C)先天性扁平足,產生之痛症(D)足部血循障礙,可以由西醫找到阻塞之血管
22.關於臀部解剖(如附圖所示)之敘述,下列何者正確? (A)A歸屬坐骨大孔而出 (B)B歸屬坐骨小孔而出 (C)股後側皮神經自C分出 (D)胞肓穴較靠近B而非A
23.下列病人的膝蓋問題,何者較能以MRI輔助以確立診斷? (A)內側半月板後角撕裂傷 (B)後縱韌帶拉傷 (C)內側副韌帶拉傷 (D)髕骨下滑囊發炎
24.70歲患者慢性腰痛BMD T score –2.7,抱怨行走一段時間後,左右下肢疼痛,後側肌肉痙攣、灼 熱刺痛感,必須坐下休息後才能繼續行走,下列敘述何者最適宜? (A)此現象稱為「神經性跛行」,常見於第五腰椎、第一薦椎間,椎間盤向單側突出壓迫神經根形成 (B)主要仰賴不同體位角度的一般X光影像學檢查,做出診斷 (C)依經絡循行,患者可取井穴「至陰」穴針刺,以協助改善症狀 (D)椎弓解離症(spondylolysis)也會形成此症,可藉由腰部「斜扳法」進行整復,以解除症狀
25.關於膝關節理學檢查,下列敘述何者正確? (A)Apley氏壓迫測試,病人仰臥 (B)McMurray,病人仰臥 (C)Reduction Click,病人俯臥 (D)Distraction Test用以區分前十字韌帶斷裂否
26.關於腕隧道症候群的描述,下列何者正確? (A)腕隧道內含屈拇長肌腱及正中神經 (B)常見第2、3、4、5四個手指麻木、刺痛 (C)病程長者可有小魚際肌的萎縮 (D)活動後及入睡前症狀可減輕
27.施行Yergason Test時,醫師一手抓住患者屈曲之肘部,另一手握住其腕部,令患者用力屈肘同時 外旋前臂,醫師給予阻力,若患者肩前外側產生明顯疼痛,則極可能是下列何者產生病變? (A)胸大肌 (B)喙肱肌 (C)三角肌 (D)肱二頭肌長頭肌腱
28.檢查網球肘時會觸及伸腕肌群(Wrist Extensors),不包含下列何者? (A)旋前圓肌 (B)肱橈肌 (C)橈側伸腕長肌 (D)橈側伸腕短肌
29.關於神經根支配的感覺區域描述,下列何者錯誤? (A)T4感覺區域通過乳頭 (B)T7感覺區域通過劍突 (C)T11感覺區域通過肚臍 (D)T12感覺區域通過鼠蹊部
30.關於髕腱反射的描述,下列何者錯誤? (A)是一種深腱反射(deep tendon reflex) (B)由L2-L4神經根分出的神經主導 (C)若L4神經完全受損,此反射仍會存在,但會明顯減弱 (D)若發生前角神經細胞疾病(anterior horn cell disease)時,此反射仍會存在,但會明顯減弱
31.肛門周圍的感覺皮節(dermatome)不涵蓋下列何者? (A)S4-S5 (B)S3 (C)S2 (D)S1
32.針對頸椎病拍攝的頸椎X光片要注意之變化中,下列何者並非重點? (A)頸椎生理弧度減小或消失(B)椎體邊緣骨質增生(C)椎體骨質密度的改變(D)椎間孔的變化
33.關於「急性損傷性腰痛」,下列何者正確? (A)因腰部經常負重,該處活動範圍大,故急性發作時壓痛點多集中於腸骨薦椎關節面上及薦椎兩側(B)軀幹若因猛烈屈曲,造成脊椎棘上韌帶撕裂,除可在棘突上發現局部壓痛點外,同時軀幹轉體動作 亦無法完成(C)急性腰痛需與泌尿道結石或感染鑑別(D)可藉由X光片確認腰椎是否出現滑脫或椎間盤的髓核突出
34.有關傷筋的描述,下列何者正確? (A)若以挫傷為名,係指間接暴力引起關節及關節周圍的軟組織損傷或撕裂傷(B)若出現筋位異常情況,將完全喪失正常的肌肉功能(C)小骨片的撕脫常發生在肌腱附著點的牽拉(D)嚴重傷筋的主要症狀亦為疼痛、瘀腫和功能障礙,須以X光片作筋斷的鑑別診斷
35.22歲男性於羽球運動後出現養老穴處腫痛,手腕屈伸旋轉則疼痛加重,下列診斷何者最不適宜? (A)下尺橈關節損傷(B)三角纖維軟骨損傷(C)腕部扭傷(D)其原文名為de Quervain氏病
36.下列疾患相對應之現代醫學病名,何者最不適宜? (A)錘狀指:屈指肌腱斷裂(B)扳機指:屈指肌腱腱鞘發炎(C)高爾夫球肘:肱骨內上髁炎(D)礦工肘:尺骨鷹嘴滑囊炎
37.關於手肘部的損傷,下列敘述何者最不適宜? (A)肘關節後脫位可見肘後部空虛,靴型畸形(B)肱骨外上髁炎會在扭轉毛巾加重疼痛(C)肘關節前脫位可能在肘後觸到游離的鷹嘴骨折片(D)肱骨內上髁炎主要在尺澤穴出現腫痛及壓痛
38.Cozen試驗,患者握拳、前臂旋前,橈偏腕背伸抗阻檢查為陽性時,如下圖所示何部位可觸發疼痛?(A)①(B)②(C)③(D)④
39.棘上肌肌腱炎的治療方法含有手法治療、固定方法、功能鍛鍊及藥物治療,下列敘述何者錯誤? (A)手法治療根據急、慢性不同病期,病情輕重,選其所宜,隨證施治,以增強肌肉張力,恢復關節運 動功能(B)手法治療中的搓肩手法:患者坐位,兩掌分放患肩前後,掌心相對旋揉,適量,撥動肩前絡(C)急性發作,較重病例,可用頸腕吊帶,配合適當休息(D)急性期,宜避免作肩內收、內旋動作
40.患者因打球導致中指受傷,其手指外觀如圖,最可能之損傷部位為何? (A)伸指總肌肌腱中央自中指骨基部(middle phalanx base)止端斷裂(B)遠端指骨骨折(C)屈指肌腱之撕裂(D)指間關節之脫位
41.21歲男性搶籃板時起跳,聽到啪一聲後,當場倒地左腳跟劇痛無法站起,懷疑阿基里斯腱 (Achilles Tendon)斷裂,下列敘述何者正確?(A)依據《醫宗金鑑.正骨心法要旨》阿基里斯腱俗名為腳攣筋(B)阿基里斯腱是由腓腸肌與脛骨後肌肌腱共同構成(C)Thompson’s test可檢查阿基里斯腱連續性,操作方法為患者俯臥擠壓腓腸肌,足部無法背屈為陽 性反應(D)阿基里斯腱是身體最強韌的肌腱,從小腿下側二分之一處到跟骨都可觸摸到
42.關於出血的論述,下列何者正確? (A)血液流出時,血色鮮紅且呈現噴射狀,並隨心臟搏動增強,較像靜脈之出血(B)血色鮮紅,來勢較緩,從傷口組織間緩慢滲出,為動脈出血(C)局部急救止血的原則,是立即壓迫出血之血管或阻塞出血之傷口(D)止血帶是對出血控制最有效的方式且無太大副作用,應第一時間使用
43.50歲患者,自述3年前頭部撞傷後,開始記憶力較為衰退,但當時相關影像檢查皆無顯著異常。問 診後發現,患者除健忘外,還有耳鳴頭暈、視物模糊、腰痠無力、怕冷、四肢涼等表現。治以下列 何方最適宜?(A)赤芍、川芎、紅花、桃仁、生薑、老蔥、紅棗、麝香(B)黨參、白朮、茯苓、炙甘草、川芎、當歸、白芍、熟地黃、生薑、大棗(C)生地黃、五味子、當歸、天冬、麥冬、柏子仁、酸棗仁、黨參、玄參、丹參、茯苓、遠志、桔梗(D)熟地黃、淮山藥、山萸肉、枸杞子、菟絲子、杜仲、鹿角膠、當歸、附子、肉桂
44.關於損傷內證,下列敘述何者正確? (A)《素問.陰陽應象大論》云:氣傷腫,形傷痛(B)《醫宗金鑑.正骨心法要旨》:今之正骨科,即古跌打損傷之證也。專從氣論,須先辨或有氣鬱, 或為氣虛,然後施以內治之法,庶不有誤也(C)損傷早期是以氣滯血瘀為主,治法以行、活、攻、破法應用較多(D)損傷後期,氣血雖治而未順,臟腑雖調而未和,經絡雖通而未舒,治法當以調、和、消、散為主
45.健忘之症,依《丹溪心法》之論,與下列那些臟腑之關係最為密切?①心 ②肝 ③脾 ④肺 (A)②③(B)②④(C)①④(D)①③
46.依《醫宗金鑑.正骨心法要旨》記載:「王好古云:登高墜下撞打等傷,心腹胸中,停積瘀血不散 者,則以上、中、下三焦,分別部位,以施藥餌」,但若虛人不可下者,宜用下列何方治之?(A)四物湯加穿山甲(B)復元活血湯(C)抵當湯(D)桃仁承氣湯
47.下列那些情況可能造成麻木?①損傷後失於治療、或治不得法,使瘀血未能散盡 ②損傷之後腠理 不固,風寒濕邪入侵經脈 ③汗出當風、或驟遭寒邪 ④臟腑氣滯,波及經脈(A)①②③④(B)僅①②③(C)僅①④(D)僅②④
48.患者損傷後出現身熱口乾渴、小便淋濇情形,而患者在受傷當時,有大量出血情形,依《醫宗金 鑑.正骨心法要旨》,宜處以下列何方?(A)地黃丸(B)八珍湯(C)十全大補湯(D)柴胡四物湯
49.若腰椎L4-L5椎間盤突出而壓迫神經根,最有可能影響到那個部位的感覺? (A)小腿外側(B)小腿內側(C)小腿後側(D)小腿前側
50.關於成人股骨幹骨折,下列敘述何者錯誤? (A)下1/3骨折,骨折遠端往往向後移位(B)直接暴力引起骨折屬不穩定骨折(C)股骨幹骨折內出血可多達500~1500毫升(D)中1/3骨折遠端斷端多向後外成角
51.關於距骨骨折敘述,下列何者正確? (A)距骨後唇骨折常見踝關節背伸外翻暴力(B)距骨主要血液供應由距骨頭進入(C)距骨骨折後易產生創傷性關節炎(D)距骨頸骨折整復後,應將踝關節固定在背屈內翻位
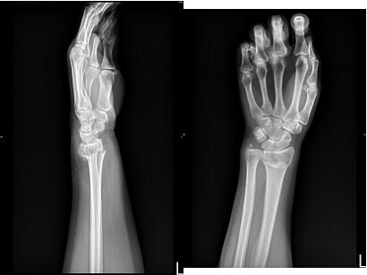
52.50歲女性昨日騎車摔倒後,左手疼痛腫脹變形瘀青明顯且無法用力,X光如附圖所示,今日就診, 下列敘述何者正確?(A)X光所示骨折處為左手遠端橈骨骨折合併尺骨莖突骨折(B)該骨折暴力機轉為跌倒時左手背先著地造成骨折(C)可依骨折分期用藥使用桂枝茯苓丸治療(D)該處骨折一般成人癒合時間為14週
53.關於肱骨外科頸骨折,下列敘述何者正確? (A)肱骨外科頸位於解剖頸下1公分處(B)嚴重位移的肱骨外科頸骨折可能常會損傷尺神經(C)嵌插型肱骨外科頸骨折常發生於骨質疏鬆症的老年人(D)中年以上患者,易併發肱二頭肌短頭肌腱炎
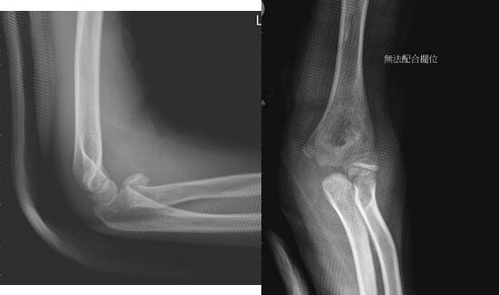
54.10歲男童今日下午爬樹時不慎掉落左手撐地,因左手肘腫脹且無法正常屈伸,其X光如附圖所示, 下列敘述何者正確?(A)X光顯示左側橈骨幹骨折且位移明顯(B)骨折受傷機轉為手掌著地,肘伸直且前臂為旋後位,橈骨頭擠壓肱骨造成(C)該骨折為關節內骨折,該患者需良好復位才能維持肘關節活動角度(D)復位後夾板固定且保持肘關節屈曲45度固定約3週
55.關於肋骨骨折的敘述,下列何者正確?①好發於胸前第8至第10肋骨 ②只有單一肋骨骨折通常不需手法復位 ③多處肋骨骨折必須密切追蹤是否發生氣血胸 ④通常呼氣時比吸氣痛(A)②③(B)①④(C)②④(D)①③
56.關於肘關節前脫位之敘述,下列何者正確? (A)患者跌撲時,肘關節過度伸直,前臂旋後,掌面觸地,而形成前脫位(B)肱骨下端向前位移,尺骨喙突和橈骨頭同時滑向後方(C)傳達暴力由前向後(D)常將尺骨鷹嘴突推移至肱骨前方
57.關於失欠頰車,下列何者正確? (A)老年人發生機率較低(B)「後脫位」較多見(C)前脫位常見於合併關節窩後壁嚴重骨折者(D)按下頜骨的髁狀突移位於顳頜關節窩的前方或後方界定為前、後脫位
58.關於髕骨脫位的敘述,下列何者正確?①依《正骨心法要旨》用白布纏於杉籬外固定 ②習慣性脫 位多發生於年輕女性 ③習慣性脫位主要為內側脫位 ④常見股四頭肌斷裂引起(A)①②③④(B)僅①②③(C)僅③④(D)僅②
59.肩關節脫位,以肩前脫位最常見,臨床上常用拔伸足蹬法復位。其操作過程:患者仰臥位,右肩脫位者,術者立於患者右側,術者握住患者患側手腕,一足抵於患者腋窩內,腋下墊有捲如拳大的軟絹,沿著患肢縱軸方向,用力緩緩拔伸,利用槓桿原理,復位成功。其支點為何?(A)軟絹(B)足跟(C)患腕(D)術者肘部
60.有關髕骨周圍之相連肌肉,下列敘述何者錯誤? (A)上緣與股四頭肌肌腱相連(B)下緣藉髕韌帶接於脛骨結節上(C)股四頭肌肌腱直上延伸為股直肌(D)使髕骨維持在正常位置的是股中間肌
61.關於中醫眼部名稱相對應於西醫名稱,下列何者正確? (A)睛珠為玻璃狀體(B)黃仁為角膜(C)黑睛為晶狀體(D)神水為房水
62.胞瞼不能自控的搐惕瞤動,《眼科菁華錄》稱之為胞輪振跳,下列何者為其病因病機? (A)心脾血虛,筋肉失養(B)肺肝風熱,血熱壅滯(C)脾濕生痰,痰鬱化火(D)肝鬱氣滯,氣鬱化火
63.關於胞腫如桃,下列相關敘述何者錯誤? (A)肝火熾盛,乘脾土,肝火與脾濕搏結於胞瞼(B)胞瞼高腫,瞼閉不開,皮色紅赤,伴有眼脹頭痛(C)胞腫虛軟,怔忡健忘,治宜銀翹散加減(D)熱入營血,皮色暗紅,心煩不寐,治宜清營湯加減
64.有關於風赤瘡痍之敘述,下列何者正確? (A)胞瞼灼癢腫痛,皮色紅赤,起泡,滲出黏液,內治宜以除風清脾飲加減治之(B)瞼弦紅赤,睫毛根部有糠皮樣脫屑,自覺灼熱刺癢,乾澀不適,內治宜以銀翹散加減治之(C)瞼弦紅赤潰爛,痛癢並作,眵淚膠黏,睫毛成束,或倒睫,睫毛脫落,內治宜以除濕湯加減治之(D)眦部瞼弦紅赤糜爛,灼熱刺癢,甚者眦部瞼弦破裂出血,內治宜以導赤散加減治之
65.關於暴風客熱,下列敘述何者錯誤? (A)兩眦赤脈淡紅微癢不適,舌紅脈細數,此為心經虛熱,宜滋陰清熱(B)胞瞼腫脹,白睛紅赤,癢痛兼作,風重於熱,羞明多淚,可以羌活勝風湯加減治療(C)白睛浮腫,赤痛較甚,熱重於風者,怕熱畏光,苔黃脈數,宜瀉肺飲加減治療(D)可以黃連西瓜霜或千里光眼藥水外用
66.患者目內乾澀,視物變形,眼底檢查發現黃斑部輕度水腫,兼見頭暈耳鳴,夜眠多夢,腰膝痠軟, 脈細,則用下列何方治療最適宜?(A)三仁湯加減(B)石決明散加減(C)駐景丸加減(D)四順清涼飲子加減
67.患者受外力撞擊導致眼瞼青紫腫脹,重墜難睜,兼白睛溢血,眼底亦有些微出血。現階段此患者選 用下列何方治療最適宜?(A)桃紅四物湯(B)十灰散(C)血府逐瘀湯(D)通竅活血湯
68.有關「化學性眼外傷」的治療,下列何者正確? (A)初期治以消翳湯(B)後期治以犀角地黃湯(C)石灰傷用10%抗壞血酸注射液中和(D)除內服藥外,還可外點八寶眼藥
69.歷代醫家有關腫瘤的記載很多,根據不同型態和部位命名,下列何者屬於惡性腫瘤? (A)舌菌(B)耳蕈(C)喉瘤(D)痰包
70.鼻咽癌早期的症狀包括鼻塞、鼻衂、耳鳴、聽力減退、頭痛及頸項惡核,關於上述症狀下列何者錯 誤?(A)初期鼻衂的出血量少,涕中帶血絲(B)可出現一側的音低聲大之耳鳴(C)常為雙側的持續性頭痛(D)頸項惡核會逐漸擴大融合成塊,且逐漸堅硬
71.患者眩暈係因痰濁中阻,治療一段時間後症狀減輕,可用下列何方調理其後? (A)半夏天麻白朮湯(B)陳夏六君子湯(C)六味地黃丸(D)炙甘草湯
72.某患者耳內流膿不暢,耳痛、頭痛劇烈、嘔吐、發熱、神志不清、抽搐及項強等症狀出現,其所患 何病?(A)耳根毒(B)膿耳口眼喎斜(C)黃耳傷寒(D)耳聾
73.耳鳴耳聾並見下肢覺冷,陽痿,舌質淡,脈虛弱,最宜用何方治之? (A)四逆湯(B)歸脾湯(C)補骨脂丸(D)益氣聰明湯
74.鼻病,鼻塞持續不減,鼻內肌膜腫脹暗紅,鼻甲凹凸不平,其病機如何? (A)風寒外邪侵襲(B)氣血凝滯所致(C)膽經火熱引起(D)風熱外邪侵襲
75.病患尾牙與朋友飲了烈酒,今早發現棉被染了一大片血跡,鼻腔也殘有血塊,前來求診,診其脈洪 大而數,舌質紅苔黃厚乾,平常有口乾、口臭、便秘之情形,依此症狀,該病患鼻衂之病因為何?(A)肝火上逆(B)胃熱熾盛(C)肺經熱盛(D)脾不統血
76.急喉風是一種發病急速,病情急重的咽喉急症,下列關於急喉風的敘述何者錯誤? (A)本病是屬於急性喉阻塞的範圍(B)如出現牙關拘急,口噤如鎖等危急症狀,名為急喉瘖(C)本病可由咽喉癰及各種急性咽喉病發展而致(D)此乃痰涎火毒或疫癘之邪熾盛,結聚於喉所導致
77.慢喉瘖是指久病聲音不揚,甚至嘶啞失音,診斷上需與喉癬和喉菌作區別,下列何者正確?①慢喉瘖可見聲帶有小結節或息肉 ②喉癬可見聲帶有潰瘍 ③喉菌可見聲帶上腫物較大,多呈菜花樣 ④喉菌除了聲帶上的異樣外,在頸部可有惡核(A)僅①②③(B)僅①③④(C)僅②④(D)①②③④
78.梅核氣和虛火喉痹均有異物感症狀,在臨床上需加以鑑別,下列敘述何者正確? (A)梅核氣多見咽部顆粒增生,狀如簾珠(B)虛火喉痹在咽喉局部無異常改變(C)梅核氣常隨情志之波動而變化,時輕時重(D)梅核氣以中年男子居多
79.病後患口糜,證見口乾少津,不欲飲,泄瀉,體倦的脾虛濕盛者,應用何方治療最適合? (A)參苓白朮散(B)香砂六君子湯(C)連理湯(D)胃苓湯
80.口齒唇舌病的辨證,在辨膿血上的要點,下列何者最正確? (A)齦肉紅腫出血,量較多,為心火(B)膿多稠黃有臭味,為肝火(C)膿稀無味或流膿日久滲滲而出,多為肺氣虛(D)齦肉潰爛,血液時時滲出,多屬腎虛