所屬科目:牙醫學(二)(包括口腔病理學、牙科材料學、口腔微生物學、牙科藥理學等科目及其臨床相關知識)
1.下圖所標示處,那個診斷是正確的? (A)卡拉貝利咬頭(cusp of Carabelli)(B)爪形咬頭(talon cusp)(C)齒中齒(dens in dente)(D)齒外齒(dens evaginatus)
2.下列何者為新生兒常出現之發育性囊腫? (A)鼻唇囊腫(nasolabial cyst)(B)鼻腭管囊腫(nasopalatine duct cyst)(C)根尖囊腫(periapical cyst)(D)艾泊斯坦氏小珠(Epstein's pearls)
3.下列那個臨床表現與相關病毒或疾病的配對組合是錯誤的? (A)感染性單核白血球增多症(infectious mononucleosis)和巨細胞病毒(cytomegalovirus)(B)手足口病(hand-foot-and-mouth disease)和腸病毒(enterovirus) (C)柯普里克氏斑(Koplik's spots)和麻疹病毒(Morbillivirus) (D)佛斯克海默爾斑(Forchheimer sign)和德國麻疹病毒(Rubivirus)
4.放線菌病(actinomycosis)與葡萄狀黴菌病(botryomycosis)均會產生何種顆粒? (A)硫磺顆粒(sulfur granules) (B)福台斯氏顆粒(Fordyce granules) (C)柏貝克顆粒(Birbeck granules) (D)層板顆粒(lamellar granules)
5.下列物質何者較不易對口腔黏膜造成化學性傷害? (A)hydrogen peroxide (B)silver nitrate (C)phenol (D)warm saline
6.下列黏膜下出血的圖中,何者是瘀斑(petechiae)? (A)(B)(C)(D)
7.病人主訴舌頭腫起來,但並無感覺異常的狀況,切片檢查發現有肉芽組織發炎(granulomatous inflammation),但無異物反應,且細菌學檢查亦無細菌抗酸性(acid-fast)染色反應,血中血管 收縮素轉換酶(angiotension-converting enzyme, ACE)濃度未增高,最可能的診斷為下列何者? (A)結節病(sarcoidosis) (B)梅爾柯森-羅森索症候群(Melkerson-Rosenthal syndrome) (C)血管性水腫(angioedema) (D)結核病(tubercolosis)
8.下列何者是對全身性魏格納氏肉芽腫症(Wegener granulomatosis)較有效的實驗室診斷? (A)PR3-ANCA(proteinase-3 antineutrophil cytoplasm antibodies) (B)VDRL(Venereal Disease Research Laboratory test) (C)RF(rheumatoid factor) (D)anti-SS-A(anti-Sjögren syndrome-A)
9.下列疾病與免疫染色配對中,何者配對最不適當? (A)angiosarcoma-CD31 (B)fibrosarcoma-vimentin (C)schwannoma-c-kit (D)leiomyosarcoma-desmin
10.下列口腔內之軟組織疾病中,惟何者好發於40歲以上之中年人? (A)lipoma (B)neurofibroma (C)oral focal mucinosis (D)pyogenic granuloma
11.關於齒間牙齦病變的鑑別診斷,下列敘述何者最不可能? (A)外觀紫紅色,稍有潰瘍,碰觸時容易流血,則可能為化膿性肉芽腫(pyogenic granuloma) (B)摸起來很硬,外觀呈淡粉紅色,則可能為周邊性骨化纖維瘤(peripheral ossifying fibroma) (C)摸起來很軟,且外表呈現微黃色時,則可能為黏液囊腫(mucocele) (D)用力擠壓時,病變由暗紅色變淡色,則可能為血管性病變
12.關於唾液腺不發育(salivary gland aplasia)的敘述,下列何者正確? (A)是一種罕見的發育異常,主要特徵為上、下唇小唾液腺的發育缺失(agenesis) (B)致病機轉屬於性聯遺傳的模式,主要發生於女性。女性患者與男性患者的比例約為10 : 1 (C)常會導致上下唇異常凹陷的外觀異常 (D)是半邊小臉症(hemifacial microsomia)的臨床特徵之一
13.關於唾液腺的基底細胞腺瘤(basal cell adenoma),下列敘述何者正確? (A)70%以上的病例發生在舌下腺 (B)如果發生於小唾液腺,以上唇及頰黏膜為主要的好發部位 (C)基底細胞腺癌多由基底細胞腺瘤惡性轉變而成 (D)病理組織學亞型中的腺管型(tubular variant)具有高度再發率
14.謝格連氏症候群(Sjögren syndrome)患者相關之淋巴瘤以下列何種最有可能? (A)霍奇金氏淋巴瘤(Hodgkin lymphoma) (B)T細胞淋巴瘤(T cell lymphoma) (C)柏奇特氏淋巴瘤(Burkitt lymphoma) (D)黏膜相關淋巴組織淋巴瘤(MALT lymphoma)
15.霍奇金氏淋巴瘤(Hodgkin lymphoma)患者腫大之淋巴結中,其雷德斯登堡細胞(Reed-Sternberg cells),占總細胞量約多少百分比? (A)0.1%~2% (B)5%~7% (C)8%~10% (D)11%~13%
16.多發性骨髓瘤(multiple myeloma)之患者,約15%於身體軟組織會有類澱粉質(amyloid)堆積, 此類澱粉質為下列何者? (A)中性黏多醣(neutral mucopolysaccharide) (B)酸性黏多醣(acidic mucopolysaccharide) (C)免疫球蛋白之輕鏈(light chain proteins) (D)免疫球蛋白之重鏈(heavy chain proteins)
17.下列出現在顎骨之惡性疾病,按發生率由高到低排列,其次序何者正確?①轉移性癌(metastatic carcinoma) ②軟骨肉瘤(chondrosarcoma) ③骨肉瘤(osteosarcoma) (A)①>②>③ (B)①>③>② (C)③>①>② (D)③>②>①
18.下列何病變之組織病理特徵與其他三者差異最為顯著? (A)天使病(cherubism) (B)褐色瘤(brown tumor) (C)中心型巨細胞肉芽腫(central giant cell granuloma) (D)類骨骨瘤(osteoid osteoma)
19.下列組織特徵中,那些較可能出現在正角化齒源性囊腫(orthokeratinized odontogenic cyst) 的上皮內襯(epithelial lining)?①正角化上皮 ②顆粒層(granular layer)有顯著之角質 透明顆粒(keratohyalin granules) ③顯著的基底層細胞柵狀排列(palisading) (A)僅①② (B)僅②③ (C)僅①③ (D)①②③
20.關於造骨細胞瘤(osteoblastoma)與類骨骨瘤(osteoid osteoma)的敘述,下列何者正確? (A)造骨細胞瘤不會痛 (B)類骨骨瘤引起的痛,吃阿斯匹靈(aspirin)有效 (C)造骨細胞瘤是惡性腫瘤 (D)類骨骨瘤是惡性腫瘤
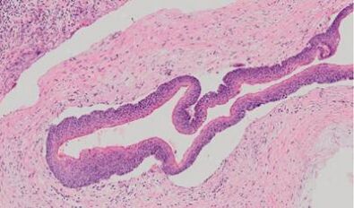
21.病患環口X光攝影顯示有多發性之顎骨破壞區域,各區域切片檢查的發現均見如下圖之病變,則下列何者為最可能之診斷? (A)唐氏症(Down syndrome) (B)伊格爾症候群(Eagle syndrome) (C)克新氏症候群(Cushing syndrome) (D)戈林症候群(Gorlin syndrome)
22.關於大疱性類天疱瘡(bullous pemphigoid)的敘述,下列何者錯誤? (A)好發於老年人 (B)約莫90%的病患口腔黏膜也會有病灶 (C)直接免疫螢光檢查(direct immunofluorescence)可見抗體沉積於基底膜 (D)病程中可能出現間隔性的緩解(remission)
23.關於牛皮癬(psoriasis)的敘述,下列何者錯誤? (A)與角質細胞(keratinocytes)的增殖活性(proliferative activity)增加有關 (B)症狀會隨季節而有變化,夏季通常較輕微 (C)組織學上可觀察到嗜中性白血球(neutrophils)聚集於上層表皮組織 (D)典型的症狀為嘴唇有出血性結痂(hemorrhagic crusting)
24.一位48歲的女性患者,有如圖所示的病灶來求診,她被其他醫師告知說可能是口腔癌。檢查時發現 在對側的頰黏膜也有類似的病灶,紗布並不能擦掉病灶,此病灶最可能的臨床診斷為何? (A)扁平苔癬(lichen planus) (B)上皮變異(epithelial dysplasia) (C)念珠菌病(candidiasis) (D)黏膜類天疱瘡(mucous membrane pemphigoid)
25.下列戈林症候群(Gorlin syndrome)的主要臨床徵象中,何者發生頻率最低? (A)基底細胞癌 (B)分岐肋骨 (C)齒源性角化囊腫 (D)卵巢囊腫
26.對於全身性紅斑性狼瘡(systemic lupus erythematosus)的血清檢查,下列何者正確? (A)只有少數的患者有antinuclear antibodies(ANAs) (B)antinuclear antibodies(ANAs)的存在,對於全身性紅斑性狼瘡的診斷有專一性 (C)Ro/La抗體對於全身性紅斑性狼瘡的診斷有專一性 (D)small nuclear RNA的抗體存在,對於全身性紅斑性狼瘡的診斷有很高的專一性
27.關於口腔黏膜黑色素瘤(melanoma)的敘述,下列何者錯誤? (A)多半發生於口底及下顎齒槽黏膜 (B)少部分口腔黏膜黑色素瘤並不產生黑色素 (C)亞洲人最常見的次型為肢端雀斑性(acral lentiginous)黑色素瘤 (D)臨床分期最低為第三期
28.下列病變中,何者的惡性轉化潛能最高? (A)顆粒型白斑(granular leukoplakia) (B)毛狀白斑(hairy leukoplakia ) (C)增殖性疣狀白斑(proliferative verrucous leukoplakia) (D)扁平苔癬(lichen planus)
29.下列何者是表面張力(surface tension)的單位? (A)N/m (B)N/m2 (C)N/m3 (D)MPa
30.下列物質何者之抗張強度(tensile strength)最大? (A)牙本質(dentin) (B)高強度硬石膏(high-strength stone) (C)牙釉質(enamel) (D)長石系陶瓷(feldspathic porcelain)
31.關於理想蠟型的材料特性,下列敘述何者錯誤? (A)材料在受熱軟化時能整體均勻變軟 (B)雕刻操作時能不易變脆或表面粗糙 (C)需選擇與模型一樣的顏色進行雕刻 (D)脫蠟(burnout)過程後殘留物重量小於0.10%為可以接受的表現
32.下列何者是石膏操作過程中影響材料硬化膨脹(setting expansion)的變因? ①水粉比例 ②調拌時間 ③石膏種類 (A)僅① (B)僅② (C)僅①② (D)①②③
33.石膏製品中,有關β-型半水晶體的敘述,下列何者正確? (A)和α-型相比,調拌需要較少的水 (B)為硬石膏(dental stone)主成分 (C)結晶形狀不規則且具多孔狀 (D)硬度較α-型更硬
34.關於瓊膠印模材的敘述,下列何者錯誤? (A)瓊膠是一種多醣類與水混合之後形成的水膠 (B)加熱(70~100℃)後可回復到溶膠狀態(sol)具有流動性 (C)凝膠化溫度(gelation temperature)低於30℃ (D)瓊膠印模材中的主要組成為水
35.關於聚硫化(polysulfide)印模材的敘述,下列何者正確? (A)聚合後副產物是酒精 (B)黏度(viscosity)較聚乙烯印模材高 (C)催化劑主要是三氧化二鐵 (D)溫度濕度增加會加速聚合反應
36.關於模托(tray)的敘述,下列何者錯誤? (A)模托強度要夠強,才能支撐印模材 (B)模托黏著劑(tray adhesive)使用時應在其未乾前印模 (C)製作模托的光聚合材料不含甲基丙烯酸甲酯(methylmethacrylate) (D)聚硫化印模材需搭配客製化印模托(custom tray)使用
37.牙科合金接合(joining)時可以使用銲接(soldering)與銅銲(brazing)兩種方法,兩者處理 的分界溫度為下列何者? (A)400℃ (B)450℃ (C)500℃ (D)550℃
38.金屬矯正線的回彈能力(springback)和下列那些材料特性的比值有密切相關? (A)抗張強度(tensile strength)/延長率(elongation) (B)韌性(toughness)/延長率(elongation) (C)抗張強度(tensile strength)/彈性係數(elastic modulus) (D)屈伏強度(yield strength)/彈性係數(elastic modulus)
39.超低間隙溶質鈦六鋁四釩(Ti-6Al-4V ELI)為常用的牙科植體材料,下列有關該材料性質的敘述 何者錯誤? (A)抗張強度高於Ti-6Al-4V (B)抗張強度高於第一級商用純鈦 (C)延展性低於所有等級商用純鈦 (D)約含有重量百分比6%鋁(Al)及4%釩(V)
40.關於義齒基底樹脂的過敏或毒性說明,下列敘述何者錯誤? (A)過敏反應通常由殘餘單體(residual monomer)所造成 (B)可以由浸泡水中達17小時來減少殘餘單體(residual monomer) (C)殘餘單體(residual monomer)在血液中的半衰期約20~40小時 (D)操作者的接觸性皮膚炎也是對基底樹脂的一種過敏反應
41.關於利用流質樹脂法(fluid-resin technique)製作義齒床,何者錯誤? (A)屬於化學聚合(chemical-activated)材料 (B)義齒床的牙齒容易位移 (C)操作簡單快速 (D)不容易有氣泡發生
42.關於樹脂修飾玻璃離子黏合劑(RMGI)與生物活性複合樹脂(bioactive composites)Giomer的敘 述,下列何者錯誤? (A)RMGI可以釋出氟離子,並和牙齒中的apatite形成fluorapatite (B)Giomer可以釋出離子,促進牙齒再礦化 (C)RMGI含UDMA 樹脂基質成分提升機械性質 (D)Giomer內含fluoro-boro-alumino-silicate玻璃填料
43.關於塊填流動性複合樹脂(bulk-fill flowable composite)與一般塊填樹脂(conventional bulk-fill composite)的敘述,下列何者錯誤? (A)塊填流動性複合樹脂與一般塊填樹脂相比,有較高的彈性係數 (B)塊填流動性複合樹脂主要作為填補窩洞時底層的襯墊 (C)塊填流動性複合樹脂的填補厚度可以達4 mm (D)塊填流動性複合樹脂與一般塊填樹脂相比,有較低的填料比例
44.關於石膏結合(gypsum-bonded)與磷酸結合(phosphate-bonded)包埋材的敘述,下列何者錯 誤? (A)包埋材的選擇取決於金屬熔融的溫度 (B)石膏結合包埋材成分以β-hemihydrate gypsum為主 (C)磷酸結合包埋材成分包含氧化鎂(magnesium oxide)和磷酸銨(monoammonium phosphate) (D)石膏結合包埋材加熱溫度低於磷酸結合包埋材
45.包埋鑄造後檢視鑄造物表面時發現有粗糙、不規則和缺陷的狀況,推估何者不是造成此現象的原 因? (A)鑄道(sprue)角度 (B)包埋材的水粉比例過高 (C)包埋時在蠟型表面塗佈濕潤劑(wetting agent)後吹乾 (D)鑄造時坩堝(crucible)上有殘留的金屬污染
46.黏著劑(bonding agent)是應用下列那些原理以達成黏著效果?①表面能(surface energy) ② 潤濕性(wetting) ③相互滲透(interpenetration) ④微機械固錨(micromechanical interlocking) ⑤化學鍵合(chemical bonding) (A)僅①②③④ (B)僅①③④⑤ (C)僅②③④⑤ (D)①②③④⑤
47.下列何者可以直接與牙齒產生鍵結? (A)直接複合樹脂復形(direct composite restoration) (B)間接鑄造金合金嵌體復形(indirect cast gold inlay restoration) (C)間接複合樹脂復形(indirect composite restoration) (D)玻璃離子黏合劑復形(glass ionomer cement restoration)
48.關於牙科用陶瓷材料之斷裂韌性(fracture toughness)大小順序,下列何者正確? (A)氧化鋯 > 氧化鋁 > 白榴石(leucite)> 長石系陶瓷(feldspathic porcelain) (B)氧化鋁 > 氧化鋯 > 白榴石(leucite)> 長石系陶瓷(feldspathic porcelain) (C)氧化鋯 > 白榴石(leucite)> 氧化鋁 > 長石系陶瓷(feldspathic porcelain) (D)氧化鋯 > 氧化鋁 > 長石系陶瓷(feldspathic porcelain)> 白榴石(leucite)
49.關於氧化鋯在低溫潮濕環境下的水熱退化(hydrothermal degradation)現象,下列敘述何者錯 誤? (A)長期在口腔環境中亦可能發生水熱退化 (B)使表面特徵改變、晶粒碎裂並產生微裂縫 (C)OH -是破壞原子鍵,進而引起內部相變的主要因子 (D)相變導致四方晶相的含量增加,從而使機械強度下降
50.牙科黏合劑(cement)凝固 24小時後,下列何者抗壓強度(compressive strength)最小? (A)磷酸鋅黏合劑(zinc phosphate cement) (B)玻璃離子黏合劑(glass ionomer cement) (C)樹脂黏合劑(resin cement) (D)矽酸鈣黏合劑(tricalcium silicate cement)
51.關於牙科用樹脂黏合劑的敘述,下列何者正確? (A)黏合氧化鋯瓷冠時,需用氫氟酸酸蝕牙冠內面來增強黏著 (B)所有牙冠要得到最佳黏著,最好選用光聚合樹脂黏合劑 (C)黏合金屬冠時,可用噴砂處理牙冠內面增強黏著 (D)需在黏合劑完全硬化後才能去除多餘樹脂黏合劑
52.關於細胞與支架基質(scaffold matrix)的敘述,下列何者正確? (A)支架基質表面必須非常光滑,毫無孔洞 (B)前驅細胞(progenitor cell)可以播種(seed)在體外(in vitro)支架基質上 (C)支架基質必須以不可吸收的材料製作 (D)支架基質的作用僅限於支撐細胞生長
53.下列對於細菌的敘述何者正確? (A)革蘭氏染色特性是染在細菌的細胞核 (B)革蘭氏陽性細菌呈現粉紅色 (C)革蘭氏陰性細菌比革蘭氏陽性細菌對青黴素更敏感 (D)在革蘭氏陽性細菌的肽聚醣層比革蘭氏陰性細菌厚
54.關於細菌的孢子(spores),下列敘述何者錯誤? (A)通常成脫水(dehydrated)結構 (B)代謝作用不活躍(inactive) (C)通常存在於革蘭氏陽性細菌及革蘭氏陰性細菌 (D)一般的消毒劑無法將孢子殺死
55.下列何種口內淋巴組織有助於 S-IgA 產生? (A)palatine and lingual tonsils (B)salivary gland lymphoid tissue (C)gingival lymphoid tissue (D)scattered submucosal lymphoid cells
56.下列那一種疾病和IgE及肥大細胞(mast cell)活化最有關? (A)氣喘(asthma) (B)腎絲球炎(glomerulonephritis) (C)重症肌無力(myasthenia gravis) (D)溶血性貧血(hemolytic anemia)
57.細菌會利用分泌系統(secretion system)來分泌酵素或蛋白質,下列那一型分泌系統需經由二個 階段才能將產生的蛋白分泌到胞外? (A)第一型分泌系統(Type I secretion system) (B)第二型分泌系統(Type II secretion system) (C)第三型分泌系統(Type III secretion system) (D)第四型分泌系統(Type IV secretion system)
58.下列何種黴菌,同時具有伺機性感染特性,且會產生包括皮膚、黏膜、皮下和系統性感染的情形? (A)黃麴菌(Aspergillus flavus) (B)莢膜組織漿菌(Histoplasma capsulatum) (C)新型隱球菌(Cryptococcus neoformans) (D)念珠球菌屬(Candida species)
59.關於細菌的抗生素抗藥性(resistance),下列敘述何者正確? (A)抗藥性與細菌內生的生理機制(intrinsic resistance)有關,與細菌後天的生長環境(acquired resistance)無關 (B)水平基因轉移(horizontal gene transfer)並非抗藥性的常見成因 (C)牙菌斑生物膜(biofilm)的生成會增加細菌的抗藥性 (D)抗生素主要用來殺害細菌,而不會篩選出具有抗藥性的菌種
60.關於牙周病致病細菌的毒性(virulence),下列敘述何者錯誤? (A)Aggregatibacter actinomycetemcomitans能製造外毒素(exotoxin),如 leukotoxin和Cdt,毒 殺宿主細胞 (B)細菌會分泌胞外蛋白質水解酶(extracellular proteolytic enzymes),破壞降解宿主結締組織 (C)Gingipain是由Porphyromonas gingivalis所分泌的一種蛋白質水解酶,能破壞宿主結締組織中的 膠原蛋白 (D)細菌會誘發宿主免疫細胞基因突變,而導致免疫力下降,甚至可能導致口腔癌
61.常見的口腔微生物分子生物研究方法不包括下列何者? (A)定量聚合酶連鎖反應(quantitative polymerase chain reaction) (B)次世代基因定序(next-generation sequencing) (C)膠體電泳(gel electrophoresis) (D)X光結晶繞射(X ray crystallography)
62.關於金黃色葡萄球菌(Staphylococcus aureus),下列敘述何者錯誤? (A)中毒性休克綜合症狀,是由腸毒素引起的 (B)對β-內醯胺(β-lactam)藥物有抗藥性 (C)無法凝固稀釋的人類血清或兔子血漿 (D)MRSA造成世界性的問題,是因為對methicillin有抗藥性
63.醫療院所最常使用的氣體滅菌法其材料為下列何者? (A)環氧乙烷 (ethylene oxide) (B)二氧化氯(chlorine dioxide) (C)環氧丙烷(propylene oxide) (D)氯乙烯(vinyl chloride)
64.牙科使用高壓滅菌器(autoclave),為確保滅菌效果,使用下列何種指示劑最適當? (A)機器上的溫度壓力計 (B)液態化學指示劑 (C)紙樣化學指示劑 (D)生物指示劑
65.下列何種物質可由肺部肥大細胞(mast cell)所釋出且會誘發氣喘? (A)adrenaline (B)dopamine (C)histamine (D)acetylcholine
66.下列何種抗生素對肝功能的影響最小? (A)Erythromycin (B)Sulfonamides (C)Clindamycin (D)Cephalexin
67.使用Fluoroquinolone可能會導致嚴重不良反應,下列何者最常見? (A)聽力損失 (B)噁心與嘔吐 (C)腎功能衰竭 (D)肝功能不全
68.下列何種化學治療用藥,具有抑制細菌細胞壁mycolic acid生成的作用? (A)Streptomycin (B)Ethambutol (C)Isoniazid (D)Pyrazinamide
69.下列有關非類固醇抗發炎藥(NSAIDs)的敘述,何者錯誤? (A)Ibuprofen、Naproxen sodium、Ketoprofen、Aspirin經美國FDA核可為非處方用藥,病患可自行於 藥局購得 (B)非處方用藥之NSAIDs藥物,單顆劑量與處方用藥相同 (C)非處方用藥之NSAIDs藥物,若用來止痛,不得超過連續10天使用 (D)非處方用藥之NSAIDs藥物,若用來退燒,不得超過連續3天使用
70.有關Acetaminophen的敘述,下列何者錯誤? (A)是周邊組織的COX-1和COX-2抑制劑 (B)其止痛效果與內源性的鴉片、大麻和血清素類藥物交互作用相關 (C)具有解熱和抗發炎效果 (D)可經由口服或IV注射給藥
71.Aspirin與下列何種藥物合併使用,不會造成內出血? (A)Warfarin (B)Heparin (C)Ethanol (D)Methotrexate
72.關於鴉片類藥物(opioids)使用後之現象,下列何者錯誤? (A)噁心嘔吐 (B)咳嗽抑制 (C)欣快感(euphoria) (D)血管收縮
73.下列何種藥物與嗎啡類藥物同時使用,並不會加重呼吸抑制? (A)止痛藥 (B)酒精 (C)鎮定安眠藥(如Benzodiazepines) (D)類固醇
74.下列何者較不會發生運動失調(ataxia)? (A)Propanediol (B)Prototype phenobarbital (C)Diazepam (D)Diphenhydramine
75.下列解痙藥(spasmolytic/antispasmodic drugs)中,何者不是γ-胺基丁酸(γ-aminobutyric acid, GABA)作用劑? (A)Diazepam (B)Baclofen (C)Progabide (D)Idrocilamide
76.關於甲狀腺低下症(hypothyroidism)的藥物治療,下列何者錯誤? (A)Levothyroxine sodium(T 4)是較常使用的替代療法(replacement therapy)藥物 (B)Levothyroxine sodium(T 4)隨餐口服效果較佳 (C)Liothyronine sodium(T 3)有心臟毒性(cardiotoxicity),使用上有爭議 (D)Levothyroxine sodium(T 4)的半衰期大約七天
77.Metronidazole具有下列何種功效? (A)抗病毒(antiviral) (B)抗寄生蟲(antiparasitic) (C)抗瘧疾(antimalarial) (D)抗真菌(antifungal)
78.有關Phenytoin引起牙齦增生(gingival overgrowth)的敘述,下列何者錯誤? (A)發生率約10~30%,但兒童的發生率更高 (B)與發炎、牙菌斑的堆積較無關聯 (C)研究發現可誘導牙齦纖維母細胞增生 (D)研究發現能夠減少細胞凋亡
79.下列何者不是抗代謝性類(antimetabolites)抗癌藥物? (A)Methotrexate (B)6-Mercaptopurine (C)5-Fluorouracil (D)Cyclophosphamide
80.下列體內何種物質於凝血過程後期,具有分解血中纖維蛋白之作用(fibrinolysis)? (A)plasminogen (B)fibronectin(C)thrombospondin(D)prostaglandin