所屬科目:牙醫學(二)(包括口腔病理學、牙科材料學、口腔微生物學、牙科藥理學等科目及其臨床相關知識)
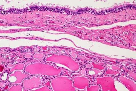
1.下圖是那一種囊腫的組織切片影像? (A)甲狀腺舌管囊腫(thyroglossal duct cyst) (B)表皮樣囊腫(epidermoid cyst) (C)淋巴上皮囊腫(lymphoepithelial cyst) (D)鼻腭管囊腫(nasopalatine duct cyst)
2.下列何者不是造成牙齒磨耗(abrasion)之因素? (A)刷牙 (B)抽菸斗 (C)嚼檳榔 (D)服用維他命C片
3.下列那個症狀在原發性及繼發性疱疹(primary and secondary herpes)都有可能發生? (A)急性疱疹性口齦炎(acute herpetic gingivostomatitis) (B)疱疹性指頭炎(herpetic whitlow)(C)咽喉扁桃腺炎(pharyngotonsillitis)(D)腦膜炎(meningitis)
4.下列何種病變和EB病毒感染較無關係? (A)鼻咽癌(nasopharyngeal carcinoma)(B)卡波西氏肉瘤(Kaposi sarcoma)(C)柏奇特氏淋巴肉瘤(Burkitt lymphoma)(D)感染性單核白血球增多症(infectious mononucleosis)
5.病人在接受牙科治療後,發現口內有黑色黏稠狀的分泌物,經採樣檢體於顯微鏡下發現如附圖所示。下列疾病何者最有可能?(A)肌小球病(myospherulosis)(B)組織漿菌病(histoplasmosis)(C)根尖膿瘍(periapical abscess)(D)放射線菌病(actinomycosis)
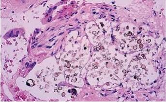
6.在高倍鏡下有如附圖之發現,依此推斷該病灶發生的部位,下列何者可能性最高? (A)下顎臼齒區域(lower molar area)(B)上顎前牙區域(upper anterior area)(C)副鼻竇(paranasal sinus) (D)頰黏膜(buccal mucosa)
7.類肉瘤病(sarcoidosis)鏡檢,呈現具多核巨細胞(multinucleated giant cell)之發炎反應, 巨細胞內可能具有許曼氏體(Schaumann bodies)或星狀體(asteroid bodies),對許曼氏體與星 狀體之敘述,下列何者正確? (A)前者為膠原蛋白碎片,後者為退化之溶小體(lysosome) (B)前者為退化之溶小體(lysosome),後者為粒線體(mitochondria) (C)前者為退化之溶小體(lysosome),後者為膠原蛋白碎片 (D)前者為膠原蛋白碎片,後者為粒線體(mitochondria)
8.50歲婦女,右側頰黏膜出現如下圖之白色病灶,臨床上無症狀,但偶爾會有黏膜腐蝕(erosion)之 情形,口腔檢查,除此部位外無其它黏膜病灶,圖中可見大臼齒有銀粉填補復形材,下列何者錯誤? (A)可能是類扁平苔癬接觸性口炎 (B)確切診斷可做皮膚敏感測試 (C)可以用樹脂填補物取代銀粉填補物 (D)不可用黃金冠來取代銀粉填補物
9.下列疾病何者最不好發於牙齦? (A)oral focal mucinosis (B)traumatic neuroma (C)pyogenic granuloma (D)giant cell fibroma
10.下列何者以梭狀(spindle cell)為主要的腫瘤細胞特徵且最好發於下顎骨? (A)纖維性組織細胞瘤(fibrous histiocytoma) (B)肌纖維瘤(myofibroma) (C)神經纖維瘤(neurofibroma) (D)孤立性纖維瘤(solitary fibrous tumor)
11.病患口腔中出現如附圖箭頭所示之軟組織突起,他抱怨假牙一戴上就痛。下列圖片中,何者與他的症狀最相符?(A)(B)(C)(D)
12.下列何種疾病或狀況,與唾液腺瘤病(sialadenosis)的成因最具相關性? (A)暴食症(bulimia) (B)一週內拔牙的經歷(tooth extraction within one week) (C)人類乳突瘤病毒(human papillomavirus)感染 (D)白色念珠菌病(candidiasis)
13.關於口腔軟組織轉移癌的敘述,下列何者錯誤? (A)牙齦及舌頭是最常轉移的部位 (B)女性出現口腔軟組織的轉移癌以乳癌最常見 (C)如果沒有肺臟轉移的發生,可能經由Batson plexus路徑轉移至口腔內軟組織 (D)女性比男性更常發現口腔內的軟組織出現轉移癌
14.關於涎腺炎(sialadenitis)的敘述,下列何者錯誤? (A)急性細菌性涎腺炎(acute bacterial sialadenitis)最常發生於腮腺(parotid gland) (B)病毒性涎腺炎常侵犯顎下腺,稱為"mumps" (C)慢性涎腺炎(sialadenitis)和涎腺結石(sialoliths)有關 (D)慢性腮腺炎(chronic parotitis)在唾液腺造影(sialography)檢查時,可見 Stensen duct 呈 現香腸狀影像(sausaging pattern)
15.地中海型貧血(thalassemia),為下列何種型式之貧血? (A)高血色素(hyperchromic)、小細胞(microcytic) (B)低血色素(hypochromic)、小細胞(microcytic) (C)高血色素(hyperchromic)、大細胞(macrocytic) (D)低血色素(hypochromic)、大細胞(macrocytic)
16.柏奇特氏淋巴瘤(Burkitt lymphoma)呈現星空樣組織病理變化,其中細胞質豐富而淡染之細胞為 下列何者? (A)淋巴球 (B)嗜中性球 (C)巨噬細胞 (D)自然殺手細胞
17.老年人如果罹患骨肉瘤(osteosarcoma),則與下列何種疾病最有關係? (A)纖維性發育不良(fibrous dysplasia) (B)骨之柏哲德氏病(Paget disease of bone) (C)骨化纖維瘤(ossifying fibroma) (D)造牙骨質細胞瘤( cementoblastoma)
18.局部骨質疏鬆性骨髓缺陷(focal osteoporotic marrow defect)通常是怎麼被發現的? (A)下顎骨腫大、X光檢查發現、切片確認診斷 (B)下顎骨腫大、X光檢查不易發現、切片確認診斷 (C)無症狀、X光檢查意外發現、切片無法確認診斷 (D)無症狀、X光檢查意外發現、切片確認診斷
19.下列疾病中,何者會有亮細胞(clear cell)存在?①腺泡細胞癌(acinic cell carcinoma) ②骨內黏液表皮樣瘤(intraosseous mucoepidermoid carcinoma) ③鈣化上皮齒源瘤 (calcifying epithelial odontogenic tumor) ④轉移腎臟癌(metastatic renal cell carcinoma) (A)①②③④ (B)僅①③④ (C)僅①② (D)僅②③④
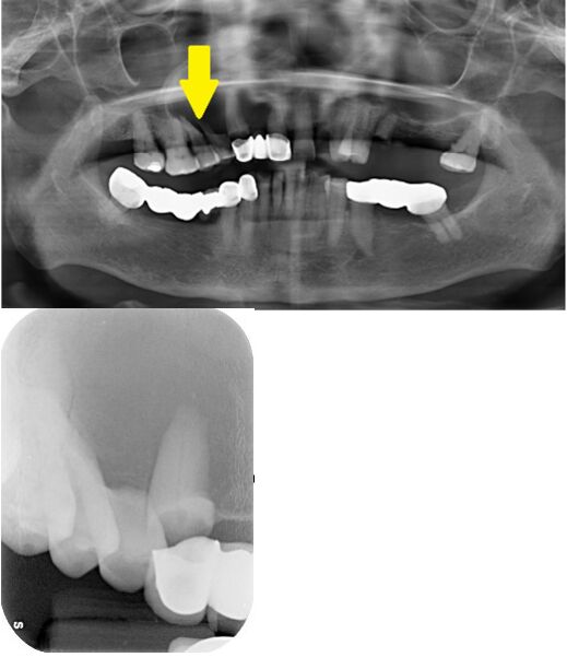
20.69歲女性,因為右側鼻翼區域腫脹就診。病人自述此腫脹出現約數月,其影像學檢查如圖所示。病人在接受手術移除病灶前,拔除右上犬齒與第一小臼齒時,有液體自拔牙後傷口流出。下列鑑別診 斷何者最不可能? (A)頰側雙叉囊腫(buccal bifurcation cyst) (B)單囊性造釉細胞瘤(unicystic ameloblastoma) (C)齒源性角化囊腫(odontogenic keratocyst) (D)根尖囊腫(periapical cyst)
21.關於造牙骨質細胞瘤(cementoblastoma)之敘述,下列何者錯誤? (A)多發生於下顎 (B)組織學上可見鈣化的物質 (C)與牙齒有相連 (D)手術後復發率超過一半以上
22.關於黏膜類天疱瘡(mucous membrane pemphigoid)與大疱性類天疱瘡(bullous pemphigoid)的 比較,下列敘述何者正確? (A)前者以黏膜病灶居多,後者以皮膚病灶居多 (B)前者以皮膚病灶居多,後者以黏膜病灶居多 (C)前者組織學特徵為上皮下裂解(subepithelial cleft),後者組織學特徵為上皮內裂解 (intraepithelial cleft) (D)前者組織學特徵為上皮內裂解(intraepithelial cleft),後者組織學特徵為上皮下裂解 (subepithelial cleft)
23.含齒囊腫(dentigerous cyst)最好發於下列何部位? (A)上顎小臼齒區 (B)下顎第三大臼齒區 (C)下顎第一大臼齒區 (D)下顎中門齒區
24.TNM臨床分期為T1N2M0之口腔癌屬於第幾期之口腔癌? (A)第一期(stage Ⅰ) (B)第二期(stage Ⅱ) (C)第三期(stage Ⅲ) (D)第四期(stage Ⅳ)
25.下列有關類澱粉病(amyloidosis)的敘述,何者錯誤? (A)系統性類澱粉病可造成巨舌畸形 (B)造成類澱粉堆積的物質多半為具有α螺旋之蛋白質 (C)在常規性組織病理玻片中,類澱粉呈現為細胞外無定型之嗜伊紅性物質沉積 (D)類澱粉以剛果紅染色後,在偏極光下會呈現蘋果綠之雙折射現象
26.有關免疫螢光染色(immunofluorescence)的敘述,下列何者正確? (A)間接型免疫螢光染色(indirect immunofluorescence)呈陽性,代表在患者的血液裡有循環抗體 (circulating antibodies) (B)類天疱瘡(pemphigoid)在間接型免疫螢光染色(indirect immunofluorescence)下,於基底膜 (basement membrane)會有一不連續顆粒狀染色 (C)扁平苔癬(lichen planus)在間接型免疫螢光染色(indirect immunofluoresence)下,於基底 膜(basement membrane)會有一連續線狀染色 (D)類天疱瘡(pemphigoid)在直接型免疫螢光染色(direct immunofluoresence)下,會有表皮細胞 間(intercellular)的染色
27.下列何種疾病的主要致病人類乳突病毒(HPV)次型與其他三者不同? (A)口腔鱗狀乳突狀瘤(oral squamous papilloma) (B)復發性呼吸道乳突瘤病(recurrent respiratory papillomatosis) (C)尋常疣(verruca vulgaris) (D)尖狀濕疣(condyloma acuminatum)
28.下列有關疣狀癌(verrucous carcinoma)的敘述何者錯誤? (A)主要致病因子為人類乳突病毒 (B)癌化細胞之分化良好 (C)推擠邊緣性組織侵犯而非浸潤性組織侵犯 (D)可於病灶中暗藏鱗狀細胞癌
29.下列機械性質對應其常用單位何者正確? (A)應變(strain):mm (B)應力(stress):N (C)彈性係數(elastic modulus):GPa (D)黏度(viscosity):Pa/s
30.韋伯模數(Weibull modulus)常用來表示材料的何種特性? (A)剛性(stiffness) (B)同質性(homogeneity) (C)強度(strength) (D)可彎曲性(flexibility)
31.少量添加(1%)何種物質可以使石膏固化膨脹增加且反應時間縮短? (A)氯化鈉(sodium chloride) (B)硫酸鉀(potassium sulfate) (C)四硼酸鈉(borax) (D)檸檬酸鈉(sodium citrate)
32.下列何者不符合牙科嵌體蠟(inlay wax)的必要性質? (A)加熱時均勻軟化 (B)溫度由37℃至25℃收縮要小於0.10% (C)有良好的雕刻性 (D)在口腔溫度時不能產生變形及流動性(flow)
33.關於多硫化物印模材(polysulfide)的敘述,下列何者錯誤? (A)催化劑中含有二氧化鉛 (B)反應後會產生副產物酒精 (C)增加濕度會加速印模材固化 (D)剛性(stiffness)比矽膠印模材低
34.關於傳統印模材的基本性質,下列敘述何者錯誤? (A)印模過程需有足夠強度抵抗撕裂或折斷 (B)具有觸變性(thixotropy)的印模材在足夠的剪應力下,黏度(viscosity)才會降低 (C)在口內由流動至固化的時間需大於10分鐘,以便臨床操作 (D)需有足夠的黏稠度以避免流出印模托
35.下面關於藻膠印模材(alginate)的成分與反應敘述,那些正確?①粉末主成分為不溶性藻酸鹽 ②粉末中含有二水硫酸鈣(calcium sulfate dihydrate) ③藻酸鈣(calcium alginate)為不 可溶鹽類 ④反應完全後的產物是磷酸鈣(calcium phosphate) (A)①② (B)①③ (C)②③ (D)③④
36.關於汞齊(amalgam)材料的敘述,下列何者正確? (A)球型(spherical)與切削型(lathe-cut)汞齊的抗張強度皆高於抗壓強度 (B)低銅汞齊具有較高的潛變(creep) (C)高銅汞齊具有較大的體積變化 (D)為獲得足夠強度,球型(spherical)較切削型(lathe-cut)汞齊所需的填充壓力高
37.鈷鉻(cobalt-chromium)合金應用於製作局部可撤式義齒(RPD)時,下列敘述何者錯誤? (A)需減少牙鈎(clasp)厚度,以獲得適當的彈性 (B)鈷含量的增加有助於提高材料強度 (C)鉻小於10%時晶體結構將轉為具有脆性的σ相 (D)鉬(molybdenum)和錳(manganese)的添加有助於提高合金的抗腐蝕能力
38.下列何者最不可能是純鈦金屬內含的微量雜質元素? (A)鐵 (B)碳 (C)鋁 (D)氧
39.關於顎顏面贋復(maxillofacial prosthetics)物,下列敘述何者錯誤? (A)合成乳膠材質(synthetic latexes)的缺點是透明度較低,顏色不自然 (B)乙烯基塑料溶膠(vinyl plastisols)缺點是隨著時間變硬 (C)矽橡膠(silicone rubbers)的缺點是黴菌滋生及邊緣容易磨損 (D)聚氨酯聚合物(polyurethane polymers)缺點是容易染色及變質
40.純MMA單體聚合成PMMA的反應後,其體積收縮(volumetric shrinkage),大概落在多少區間? (A)1~3 % (B)4~8 % (C)9~15 % (D)16~26 %
41.關於塊填複合樹脂(bulk-fill composite)的敘述,下列何者錯誤? (A)通常有較高的透明度 (B)其填料和樹脂基質,具有相近的折射率 (C)通常有比較高的聚合深度 (D)通常有較高的聚合收縮應力
42.對微填料複合樹脂(microfilled composite)的描述,下列何者錯誤?①表面易磨光 ②常用於 填補二級窩洞 ③臨床上修整選用凹槽碳化鎢車針較鑽石車針合適 ④比混合複合樹脂(hybrid composite)有較低之熱膨脹係數 (A)①③④ (B)僅②③ (C)僅②④ (D)②③④
43.關於複合樹脂光聚合(light curing)的敘述何者錯誤? (A)微混合型(microhybrid)樹脂的填料顆粒比微填料(microfilled)樹脂大且量少,需要光照時間 較長 (B)顏色愈不透明的樹脂,需要光照的時間愈長 (C)光源儘量貼近樹脂表面 (D)顏色愈不透明的樹脂,分層填補時每層的厚度也應減小
44.那一種型態的石英添加到包埋材中,在300~500℃間增加膨脹量最多? (A)白矽土(cristobalite) (B)熔融石英(fused silica) (C)鱗石英(tridymite) (D)石英(quartz)
45.在包埋鑄造過程中,下列何種因素會影響修復物的精確性?①蠟脫離模型放置過久 ②鑄道 (sprue)植立位置 ③包埋材水粉比例(W/P ratio) (A)僅①② (B)僅②③ (C)僅①③ (D)①②③
46.關於牙本質黏著劑(dentin bonding agent)中底劑(primer)、黏著劑(adhesive)的敘述,下 列何者錯誤? (A)底劑常用的溶劑是水、乙醇和丙酮 (B)黏著劑主要目的在形成混合層(hybrid layer)以提供微機械固持力(micromechanical retention) (C)黏著劑的成分以親水單體為主,並含有少量疏水單體 (D)黏著劑中添加填料(filler)可以強化黏著強度
47.臨床上黏著二氧化矽類(silica-based)全瓷嵌體時,下列敘述何者錯誤? (A)建議搭配樹脂黏合劑(resin cement)黏著 (B)通常會使用較高濃度的磷酸去酸蝕嵌體 (C)可使用矽烷(silane)來改善黏著 (D)酸蝕處理主要是溶解瓷體的玻璃相(glass phase)
48.下列成型技術中,何者無法製作出全瓷冠(all-ceramic crown)的陶瓷冠心(core)? (A)離心鑄造(centrifugal casting) (B)熱壓鑄造(hot-pressing) (C)電腦輔助切削(computer-aided milling) (D)滑漿鑄造(slip casting)
49.氧化鋯材料具有四方晶相(tetragonal phase)與單斜晶相(monoclinic phase)的變化,關於晶 相變化的敘述,下列何者錯誤? (A)如果裂痕產生,氧化鋯會從四方晶相變成單斜晶相 (B)單斜晶相變成四方晶相會伴隨著體積膨脹以阻擋裂痕的繼續延伸 (C)研磨(grinding)可能會導致四方晶相變成單斜晶相 (D)表面燒瓷時的熱處理可使氧化鋯從單斜晶相變成四方晶相
50.樹脂黏合劑(resin cement)相較於玻璃離子黏合劑(glass ionomer cement, GIC),下列敘述 何者正確? (A)較易溶於水中 (B)彈性係數(elastic modulus)較高 (C)斷裂韌性(fracture toughness)較高 (D)硬化時間較長
51.關於金屬補綴物黏合時的表面處理,下列敘述何者正確? (A)電解酸蝕(electrolytic etching)是最常用於金屬表面處理的方法 (B)使用氧化鋁噴砂金屬表面通常對固持力沒幫助 (C)使用黏著劑(bonding agent)含有10-MDP及 4-META,能增加金屬補綴物的固持力 (D)黏著劑(bonding agent)配合玻璃離子黏合劑(glass ionomer cement)是常用的組合
52.下列何種奈米顆粒(nanoparticle)加入牙科樹脂中,防止表面生物膜(biofilm)生成的效果最 佳? (A)silver (B)silica (C)titania (D)alumina
53.下列何者與內毒素作用之直接相關性最低? (A)暈眩 (B)發燒 (C)休克 (D)產生急性期蛋白質
54.關於牙齦溝液的敘述,下列何者最正確? (A)最多的白血球成分為淋巴球 (B)在組織發炎時,流量比組織健康時減少 (C)只有先天的免疫物質可被發現在牙齦溝液內 (D)溶菌酶(lysozyme)和蛋白酶可被檢測到
55.下列何者是腸桿菌(Enterobacteriaceae)脂多醣(lipopolysaccharide)最主要的有毒成分? (A)脂質A(lipid A) (B)脂質B (lipid B) (C)核心多醣(core polysaccharide) (D)O 抗原(O antigen)
56.關於脂磷壁酸(lipoteichoic acid)的敘述,下列何者錯誤? (A)為革蘭氏陽性菌細胞壁外膜的組成成分 (B)可增加附著於宿主組織的能力 (C)可減少宿主的免疫攻擊 (D)毒性比脂多醣(lipopolysaccharides)大
57.關於登革熱病毒(dengue virus)的敘述,下列何者錯誤? (A)乃RNA病毒,病毒顆粒(virion)內含有製造病毒RNA所需之酵素 (B)宿主被感染後,可能會出現類似感冒的症狀 (C)宿主被感染後,可能會得到登革出血熱(dengue hemorrhagic fever) (D)宿主內不具中和能力之抗體(non-neutralizing antibody)可以幫助病毒感染巨噬細胞 (macrophage)
58.下列何種細菌不屬於牙周病致病菌中的red complex的組成細菌? (A)Treponema denticola (B)Porphyromonas gingivalis (C)Tannerella forsythia (D)Prevotella intermedia
59.口腔菌種的分子鑑定技術,最常使用何種標的基因(target gene)? (A)16S rRNA gene (B)methyl-accepting chemotaxis protein gene (C)23S rRNA gene (D)DNA-dependent RNA polymerase gene
60.在口腔中,下列何者屬於生物膜(biofilm)移植(colonization)相對較少的地方? (A)cheek mucosa (B)tooth fissure (C)tongue (D)tooth surface
61.關於身體上正常菌落,下列敘述何者最不適當? (A)以共生方式存在身體中的特定區域 (B)可以促進宿主免疫系統的成熟 (C)不參與疾病發生 (D)可以合成許多維生素
62.下列何者最不可能製造免疫球蛋白A分解酶(IgA protease),破壞免疫球蛋白A的防禦功能? (A)緩徵鏈球菌(Streptococcus mitis) (B)口腔鏈球菌(Streptococcus oralis) (C)變異型鏈球菌(Streptococcus mutans) (D)血鏈球菌(Streptococcus sanguinis)
63.下列何者是巴斯德滅菌法(Pasteurization)? (A)用殺菌劑清潔表面 (B)63~66℃,30分鐘 (C)在滅菌鍋121℉,20分鐘 (D)用酒精擦拭
64.除了Legionella之外,還有那二種菌存在於牙科治療檯的水源內,最可能引起感染並危害人體? (A)Streptococcus and Pseudomonas (B)Fusobacterium and Micrococcus (C)Micrococcus and Mycobacterium (D)Pseudomonas and Mycobacterium
65.藥物的半衰期(half-life)主要取決於清除率(clearance)和分布體積(volume of distribution)。下列那一項與藥物的半衰期無關? (A)肝臟酵素的活性(activity of liver enzymes) (B)藥物的溶解度(solubility of the drug) (C)藥物的顏色(color of the drug) (D)藥物的分子量(molecular weight of the drug)
66.下列那一項是手術預防性使用抗生素的基本原則之一? (A)盡量選擇具有最廣抗菌譜的抗生素,以防止所有可能的感染 (B)抗生素應在手術期間保持足夠濃度 (C)預防性抗生素應在手術後24小時內完全停止 (D)預防性抗生素應持續使用至少一週,以確保沒有感染發生
67.有關抗生素使用後重複感染(superinfection)的機制,下列敘述何者最為正確? (A)抗生素會增加細菌的生長速度 (B)抗生素降低了腸道中有益細菌的數量,使病原菌有機會增殖 (C)抗生素通過改變細菌的DNA來誘發重複感染 (D)抗生素會減少細菌對其他抗生素的敏感性
68.有關Aminoglycosides的作用機制,下列敘述何者正確? (A)為可逆性的蛋白質合成抑制劑 (B)與Penicillin合併使用時,會抑制細胞膜的通透性 (C)依賴氧氣的主動運輸進入細胞質 (D)細胞外酸性環境能促進主動運輸
69.關於caffeine用來止痛的敘述,下列何者錯誤? (A)單純服用caffeine即有止痛效果 (B)可與Acetaminophen或Ibuprofen搭配增強止痛效果 (C)caffeine每次使用劑量為65~100 mg (D)caffeine的中樞性血管收縮效果可以緩解偏頭痛
70.有關NSAIDs藥物Naproxen之敘述,下列何者錯誤? (A)Naproxen與Nabumetone結構相似,皆為非酸性NSAIDs (B)Naproxen為單一鏡像異構物(single enantiomer) (C)Naproxen非處方用藥劑量造成腸胃道出血的發生率低,但是仍然高於Ibuprofen非處方用藥劑量兩 倍 (D)肝功能不全病患為使用Naproxen之禁忌症
71.下列有關水楊酸鹽類(Salicylates)的敘述,何者錯誤? (A)可能會不可逆的將COX-2上的serine 530甲基化,抑制前列腺素生成 (B)可能會造成細胞表面的細胞粘附分子L-selectin脫落 (C)可能會抑制iNOS和NF-Kappa B生成 (D)可能會抑制嗜中性白血球活化
72.關於鴉片類藥物(opioids)拮抗劑,下列敘述何者正確? (A)naloxone治療以靜脈注射及肌肉注射為主 (B)naloxone也可治療酒精中毒 (C)naloxone是長效型藥物 (D)用以治療嗎啡(morphine)的戒斷症狀(withdraw syndrome)
73.在臨床助眠(sleep aids)上,醫師最常使用下列何種藥物? (A)Benzodiazepine and Benzodiazepine-like drugs (B)Chloral hydrate (C)Barbiturate (D)Antihistamine
74.關於巴比妥酸鹽(Barbiturate)的特性,下列敘述何者錯誤? (A)會增加GABA氯離子通道的開啟時間 (B)會跟AMPA受體結合,提高glutamic acid傳遞的興奮性訊號 (C)與Benzodiazepines相比,其具有較顯著的中樞神經抑制作用 (D)會誘發劑量依賴性的呼吸抑制作用
75.關於降鈣素(calcitonin)、vitamin D以及副甲狀腺素(parathyroid hormone),下列何者錯 誤? (A)三者皆可調節體內鈣離子濃度 (B)降鈣素直接作用於osteoclast上 (C)vitamin D作用於osteoblast以及osteoclast上 (D)於持續性高劑量時,副甲狀腺素能增加骨質沉積
76.有關雙磷酸鹽藥物引起之顎骨壞死(medication-related osteonecrosis of jaw)的風險,下列 何者最無關? (A)藥物的吸收能力 (B)藥物的用量 (C)藥物的持續時間 (D)藥物的給藥途徑
77.下列何者為中樞性抗高血壓藥物(centrally acting antihypertensive agents),使用時會出現 唾液分泌減少的現象? (A)Amlodipine (B)Benazepril (C)Diazoxide (D)Guanabenz
78.下列何種毒蕈鹼受體蛋白亞型(muscarinic receptor protein subtypes)可於唾液腺體內發現? (A)M1 (B)M2 (C)M3 (D)M4
79.有關Nivolumab藥物,下列敘述何者錯誤? (A)用於頭頸癌免疫治療外,亦可用於轉移性惡性黑色素細胞瘤之治療 (B)為抗CTLA-4藥物 (C)副作用包括大腸炎、肝炎、腎臟炎(D)Pembrolizumab為與其同機轉作用之藥物
80.有關第八凝血因子缺乏患者進行拔牙手術,下列敘述何者正確? (A)第八凝血因子缺乏又稱B型血友病(B)一般人只要有大於40%的正常第八凝血因子,血液凝固通常正常(C)第八凝血因子製劑半衰期約4~6小時,因此除術前輸注外,術後6小時應再輸注半量,以避免延遲 性出血(D)目前獲得第八凝血因子製劑的來源主要為血液冷凍沉澱物(cryoprecipitate)