所屬科目:專技◆神經疾病物理治療學
1.根據基底核在動作控制中扮演的角色,下列何者對巴金森氏病個案較無困難? (A)行走過程同時進行數值加減計算 (B)提物站在不斷加減速的公車車廂 (C)依螢幕顯示的顏色向不同方向跨步 (D)依序跨越地磚接縫間橫向的淺溝
2.透過視覺刺激而引發頭部動作的反應,是經由下列何路徑傳遞? (A)前側皮質脊髓徑(anterior corticospinal tract) (B)外側皮質脊髓徑(lateral corticospinal tract) (C)紅核脊髓徑(rubrospinal tract) (D)四疊體脊髓徑(tectospinal tract)
3.本體感覺神經肌肉誘發技巧(PNF)中的「收縮-放鬆(contract-relax)」技術是利用下列何種神 經肌肉控制機制? (A)肌梭與其感覺神經元Ia負責的牽張反射 (B)抑制性中間神經元負責的交互抑制 (C)高爾基肌腱感受器與其感覺神經元Ib負責的負回饋 (D)關節受器與其感覺神經元負責的負回饋
4.慣化運動(habituation exercises)常用於治療前庭功能障礙患者的眩暈,支持此類動作學習的主 要記憶類型為何? (A)陳敘性記憶(declarative memory) (B)非連結性記憶(non-associative memory) (C)連結性記憶(associative memory) (D)外顯性記憶(explicit memory)
5.情境干擾效應(contextual interference effect)主要解釋下列何種現象? (A)分解動作練習(part practice)比整體練習(whole practice)更有利於動作學習 (B)隨機練習(random practice)比段落練習(blocked practice)更有利於動作學習 (C)固定練習(constant practice)比變異練習(variable practice)更有利於動作學習 (D)串聯練習(serial practice)比隨機練習(random practice)更有利於動作學習
6.籃球校隊練習籃球時,教練常會給予選手各種回饋,下列何種回饋屬於表現的回饋(knowledge of performance)? (A)剛剛那顆球投得很棒 (B)球應該再投高一點 (C)你跳投時,膝蓋彎曲的角度不夠 (D)剛剛那顆球,距離籃框5公分
7.欲透過在平行桿內執行上下階梯的訓練,以協助患者恢復上下樓梯的功能,此運動設計最貼近下列 何原則? (A)可逆性原則(reversibility) (B)超載原則(overload) (C)特殊性原則(specificity) (D)交叉訓練原則(cross training)
8.關於中樞神經可塑性與臨床功能恢復之敘述,下列何者錯誤? (A)應重視訓練任務之特殊性,且訓練次數不管在任何介入時間點皆不宜重複太多次 (B)訓練時要有足夠的強度才能挑戰到個案的能力,但強度大小會和介入的時間點有關 (C)神經迴路有用進廢退的特性,因此需多使用患側 (D)訓練後產生的中樞神經可塑性有助於相似任務的學習
9.中樞神經受損後,下列那一種神經反應或神經塑性的機制出現得最晚? (A)神經官能聯繫不能(diaschisis) (B)安靜突觸的去遮蔽(unmasking of silent synapses) (C)去神經支配後的超敏感(denervation supersensitivity) (D)突觸新生(synaptogenesis)
10.有關特定活動平衡信心量表(activities-specific balance confidence scale),下列敘述何者 錯誤? (A)患者依據自身執行量表中各活動的信心程度填寫 (B)此量表之評估結果,可以讓物理治療師了解患者害怕跌倒的狀況 (C)使用此量表時,若測試項目患者未曾做過,則不須作答,切勿想像作答 (D)此量表之評估結果,得分較高的患者,自我的平衡信心程度較高
11.請一位有語言損傷的患者閉上雙眼,感覺放在手中的10元銅板,然後請患者從一堆物品中選出形狀 一樣的物品。此為執行何種評估? (A)深層感覺評估(deep sensation) (B)皮膚繪畫感(graphesthesia) (C)材質辨認感(recognition of texture) (D)立體感覺(stereognosis)
12.葛拉斯哥昏迷量表中,動作反應得分由低到高的正確排序為何?①局部反應 ②無任何反應 ③肢體異常彎曲 ④肢體異常伸直 ⑤退縮反應 ⑥可依指令動作 (A)②③④①⑤⑥ (B)②④③⑤①⑥ (C)⑥⑤④③①② (D)⑥①⑤③④②
13.迷你心智量表(MMSE)中,項目100減7主要是測試下列何種認知功能?①記憶力 ②計算力 ③訊 息登錄 ④注意力 (A)①②③ (B)①③ (C)②④ (D)②③④
14.為偏癱個案患側肢體進行修正版艾許沃斯氏量表肌肉張力測試之順序,下列何者正確?①確認關節角度 ②偵測肢體在抗地心引力姿勢下掉落的速度 ③被動移動關節並感覺肌肉所產生阻力 ④請個案放鬆肢體 ⑤比較快速與慢速牽拉的角度差別 (A)④→①→③ (B)④→①→② (C)④→②→③→⑤ (D)④→①→③→⑤
15.吳老太太抱怨中風後肌力減退許多,日常生活功能活動顯得吃力,要強化老太太的肌力,下列何者 恰當?①訓練初期,以向心收縮為優先 ②訓練時,先請病患主動維持在主要訓練肌群的中段長度 (mid-range),以產生較大的收縮強度 ③應檢查病患無不正常肌肉張力,再進行訓練 ④為避 免疲乏,不宜進行重量訓練 ⑤訓練時,應先採開鏈式(open-chain)的訓練模式較安全 (A)②③ (B)② (C)①④⑤ (D)②③④⑤
16.中風後常出現肩胛骨下轉(downward rotation)與內縮(retraction),主要是因為下列那塊肌肉之痙攣造成? (A)菱形肌群 (B)下肩胛肌 (C)胸大肌 (D)肱肌
17.站立平衡訓練時,增加訓練難度之原則應包括下列那些項目?①減少支撐底面積 ②由站立於硬板變成站立於軟墊 ③增加上下肢動作與軀幹位移程度 ④張眼變成閉眼 ⑤增加輔具 (A)①③④⑤ (B)①②③④ (C)①③⑤ (D)②⑤
18.45歲的王先生3個月前左側殼核出血,術後一直都有規律地接受物理治療,目前正在治療師的協助 下練習站立行走,下列何種舉動是不適當的? (A)每次進行行走練習前,治療師會先提示行走的注意事項,例如:患側腳要抬高,健側腳要跨大步 (B)行走練習3公尺後,治療師就會暫停練習,並且立即告知王先生剛才的表現如何 (C)行走練習過程中,每走2~3步提醒一次:要注意維持膝蓋彎曲,腳板抬高 (D)行走練習後,讓王先生先坐下休息喝水、量血壓,再告訴王先生剛才的行走狀態是否需要改善
19.使用本體感覺神經肌肉誘發技巧的重複牽張,誘發患側上肢D1屈曲動作模式時,下列敘述何者正 確? (A)起始姿勢應將患側上肢擺在肩關節伸直、外展及外轉,肘與腕關節伸直的起始位置給予牽張 (B)動作過程中,均應持續給予阻力以增加主動動作 (C)動作過程中,若病患的肌肉收縮有減弱的狀態,可再次給予牽張反射刺激 (D)當動作到達D1屈曲的終端位置時,應配合給予快速的輕敲以增強誘發的效果
20.為促進中風偏癱患者軀幹控制以改善其坐姿穩定度,下列何項活動設計較符合玻巴斯的治療原則與技巧?①躺姿下,刺激中心關鍵點以誘發軀幹活動,再進行坐姿訓練 ②坐姿下,治療師由骨盆及 胸骨處誘發軀幹直立擺位,並於肩帶關鍵點提供感覺刺激 ③坐姿下,讓病患雙側前臂支撐於桌面,重複練習骨盆前後傾的動作 ④坐姿下,使病患維持軀幹直立擺位,並於兩側肩帶前後提供交替的阻力訓練 (A)①②③④ (B)僅②④ (C)僅②③ (D)僅③④
21.一位治療師在實施本體感覺神經肌肉誘發技巧時給予患者口令為「放鬆讓我幫你動、現在你跟我動、你繼續動、現在你自己動」,他正在實施的治療技巧為何? (A)複製(replication) (B)節律啟動(rhythmic initiation) (C)等張收縮的組合(combination of isotonics) (D)作用肌反轉(agonist reversal)
22.65歲的張女士左大腦中風3週,右側上肢布朗斯壯分期為第五期,分數接近滿分,手指也可以個別 執行對掌動作,若要練習患側使用湯匙吃飯,下列方式何者正確? (A)利用沙包加強右側上肢肌力 (B)使用左手協助右手動作 (C)將左手綁住,強迫使用右手練習吃飯 (D)先選用拿湯匙用的輔具,再開始練習
23.中風病患行走時,頸部屈曲且眼睛看地面,會導致上肢屈肌及下肢伸肌張力增加,產生不正常動 作。依據玻巴斯理論,下列敘述何者正確? (A)階層理論解釋喪失高階抑制,使得嬰兒時期的對稱性頸張力反射(symmetric tonic neck reflex)在成年患者出現 (B)反射鏈理論解釋喪失高階抑制,使得嬰兒時期的不對稱性頸張力反射(asymmetric tonic neck reflex)在成年患者出現 (C)階層理論解釋喪失低階抑制,使得嬰兒時期的對稱性頸張力反射(symmetric tonic neck reflex)在成年患者出現 (D)反射鏈理論解釋喪失低階抑制,使得嬰兒時期的不對稱性頸張力反射(asymmetric tonic neck reflex)在成年患者出現
24.關於玻巴斯與布朗斯壯兩種治療概念及手法,下列敘述何者錯誤? (A)玻巴斯概念認為動作失調源自於低階層的原始反射及動作模式無法受到抑制 (B)布朗斯壯治療技巧強調要先誘發出肌肉張力,再加以修正為單一關節活動 (C)依國際健康功能與身心障礙分類系統(ICF),布朗斯壯的動作分期評估為活動(activity)失能 的評估 (D)玻巴斯概念強調近端軀幹的姿勢穩定應該優先於遠端動作的訓練
25.下列那一慢性中風患者最適用於限制誘發動作治療(constraint-induced movement therapy)來 恢復患側上肢抓握能力?(A)手肘主動伸直>20°、手腕主動伸直>10°(B)手腕主動伸直>20°、手指主動伸直>10°(C)手肘主動屈曲>20°、手腕主動屈曲>10°(D)手腕主動屈曲>20°、手指主動屈曲>10°
26.一位侯葉氏分期為第三期之巴金森氏病患者,走路時每次一緊張就開始走小碎步。下列那一種任務 取向訓練較有助於病患克服此障礙而跨大步伐?(A)注意跨出每一步時,髖屈曲要達45度(B)注意跨出每一步前,軀幹要挺直(C)把注意力放在兩腳腳尖,每一腳跨出時要超過另一腳的腳尖(D)把注意力放在5公尺遠處的目標物上,想辦法以10~15步走到該目標物
27.有關行走復健機器人科技之敘述,下列何者最不適當? (A)若患者於訓練行走時,需調整體重支持程度,此時使用非穿戴式會比穿戴式行走輔助機器人進行訓 練較為適合(B)非穿戴式、外骨骼型之行走輔助機器人用於早期脊髓損傷患者時,其主要目的之一為刺激神經適應 性變化與復原(C)穿戴式之行走輔助機器人皆屬於雙側外骨骼型機器人(D)使用穿戴式、外骨骼型之行走輔助機器人時,有時仍需配合其他行走輔具來輔助行走
28.腦中風個案進行由坐到站的動作練習中,下列敘述何者不適當? (A)雙足靠近座椅方向能降低屈曲動量期(flexion-momentum phase)的任務難度(B)使用較高座椅可降低伸直動量期(extension-momentum phase)對肌力需求(C)相較於兩腳併攏,兩腳與肩同寬可降低穩定期(stabilization phase)的任務難度(D)典型的坐到站(sit-to-stand)動作順序由穩定期(stabilization phase)開始
29.下列何者不適用於已有肩關節疼痛的腦中風個案? (A)和緩的1~2級的肩關節鬆動術以減輕疼痛(B)鼓勵在不引起肩關節疼痛的狀態下進行主動關節運動(C)避免肩關節周邊組織受重力不當拉扯或擠壓(D)進行全範圍的肩關節被動關節運動以避免關節攣縮
30.下列何者不是橋式運動對腦中風個案的主要益處? (A)促進在床上便盆的使用(B)緩解臀部皮膚的壓力(C)增進下肢承重 (D)破除下肢屈曲協同動作的影響
31.85歲的王先生左側殼核出血(putaminal hemorrage)2週,目前一切穩定,治療師完成床上活動評 估及衛教後,將王先生移至輪椅上繼續評估,他請王先生眼睛看著他的鼻尖,治療師的手指在王先 生的兩眼角外側一個手臂遠的地方活動,然後治療師問王先生「是否看見手指的動作?是那一隻手 有動作?」治療師在執行下列何測試? (A)兩側視野的測試(visual field) (B)專注力的測試(attention) (C)掃視測試(visual scanning) (D)追視測試(visual tracking)
32.張先生為右側偏癱中風病患,其患側手部動作控制處於布朗斯壯第四期且感覺缺損,治療師想使用 鏡像治療改善其手部動作,下列何者錯誤? (A)須將鏡子置於正中矢狀面位置,並讓張先生能透過鏡子看到健側手 (B)讓張先生透過鏡子觀察健側手執行手指彎屈與伸直的動作,患側手可由治療師執行被動動作 (C)患側手僅有布朗斯壯第四期,訓練過程健側手應以執行第四期的關節動作為優先 (D)讓張先生透過鏡子觀察健側手握筆寫字,可想像患側手也正在握筆寫字
33.下列那一個臨床表現較符合中大腦動脈梗塞的症狀? (A)中樞視丘疼痛 (B)對側動作異常且下肢比上肢嚴重 (C)閉鎖症候群 (D)對側感覺障礙且上肢比下肢嚴重
34.有關中風病患的懸吊式跑步機訓練參數設定,下列何者適當?①支撐體重可由100%慢慢降至0% ② 速度設定小於0.22公尺/秒最佳 ③每次30分鐘 ④持續6週以上 (A)①②③④ (B)僅①② (C)僅②③④ (D)僅③④
35.在評估中風患者時發現肢體在整個被動關節活動都可感覺到阻力,但仍容易被移動,依據修正版艾 許沃斯氏量表(0~5分),其分數為何? (A)1 (B)2 (C)3 (D)4
36.一位65歲視丘中風患者,右側肢體動作為布朗斯壯第五期,但動作的協調性很差,這是視丘核的那 個功能分區受損導致? (A)枕核(pulvinar) (B)腹外核(ventral lateral) (C)外側膝狀體(lateral geniculate body) (D)腹後外側核(ventral posterior lateral)
37.脊髓受傷後會發生脊髓休克,若患者開始出現體表反射與延遲蹠屈反射,此為脊髓休克恢復過程的 那一階段? (A)第一階段 (B)第二階段 (C)第三階段 (D)第四階段
38.某中風個案在治療中非常容易分心、對挫折的耐受力差,評估時無法遵照指令或模仿做動作。但當 治療結束,治療師跟他揮手說再見,個案卻可揮動患側手。此病患最有可能是下列何種狀況? (A)左大腦半球頂葉受損、出現動作失用症(motor apraxia) (B)左大腦半球顳葉受損、出現失語症(aphasia) (C)右大腦半球頂葉受損、出現失認症(agnosia) (D)小腦中風、出現運動失調(ataxia)
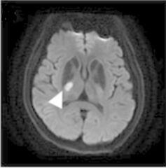
39.小洞梗塞性(lacunar infract)中風病患,呈現左側下肢無力,根據影像檢查(如下圖),其受損位置應為下列何者? (A)內囊後腳 (B)視丘 (C)大腦腳 (D)上小腦腳
40.要運用任務取向的治療模式訓練一名患側下肢已有主動動作,但張力過強的中風患者,達到獨立坐 到站的目標,下列治療活動何者最適當?(A)在平行桿內將健側下肢踏在小板凳上,患側下肢踏在地板上,維持站立20秒鐘(B)先坐在較高位置的治療床上,練習坐到站的動作,之後將治療床調低,再練習坐到站的動作(C)雙手支撐在前方的治療球上,在治療床上維持跪姿20秒鐘(D)治療師透過觸覺刺激引導患者完成橋式運動
41.訓練頸髓損傷患者翻身時,下列何者正確? (A)病患必須利用慢速穩定地擺動手臂來引導整個身體進行翻身(B)C5完全損傷病患可以將手臂勾在床欄或床邊的拉環,利用勾拉的方式協助翻身(C)C6完全損傷且翻身困難的病患,可利用肘部彎曲動作帶動翻身(D)翻身動作起始前將頭部貼緊床面會使翻身更為容易
42.有關脊髓損傷患者的疼痛問題,下列敘述何者正確? (A)神經性疼痛(neuropathic pain)只限於受傷節以下(B)神經性疼痛(neuropathic pain)使用一般的止痛藥如阿斯匹靈、NSAIDS的治療效果良好(C)傷害性疼痛(nociceptive pain)主要是因為肌肉骨骼或內臟系統的傷害或發炎引起(D)患者常描述傷害性疼痛(nociceptive pain)的感覺好像針刺、火燒、刀割、電擊等所造成的疼痛
43.一位50歲的T8脊髓損傷患者在3年前受傷之後定期接受物理治療,最近患者開始抱怨膝部附近疼痛,治療師在觸診後發現膝關節附近有紅腫的現象,患者照了一張X光後結果如下圖。患者可能發生了什麼問題? (A)關節攣縮 (B)骨化性關節炎 (C)異位骨化症 (D)痛風 (E)一律給分
44.對於 C6 完全脊髓損傷患者之功能性預後,下列敘述何者最不適當? (A)可完成在床上翻身的動作 (B)可以獨立由躺到坐 (C)可使用標準輪圈之手動輪椅外出 (D)可使用生活輔具完成進食、刷牙等日常生活活動
45.對於不同受傷位置的完全脊髓損傷患者,下列那一項是合理的治療目標? (A)頸髓第4節損傷患者可獨立駕駛電動輪椅 (B)頸髓第6節損傷患者可獨立在戶外使用手推輪椅 (C)胸髓第4節損傷患者可功能性行走 (D)腰髓第1節損傷患者不需穿長腿支架行走
46.一位脊髓損傷患者其ASIA運動與感覺功能測試結果如下:雙側肱二頭肌5分、右側/左側手腕伸肌分別為2分/1分、右側/左側肱三頭肌分別為1分/0分,其餘雙側上肢關鍵肌皆為0分;而所有雙 側下肢關鍵肌皆為4分。感覺評估結果為:C2~C5之輕觸覺與針刺感均為正常,C6異常,C7~T3感 覺完全缺損,T4(含)以下則為異常。薦髓感覺與自主肛門收縮功能皆存在。請依序回答下列3 題。 該脊髓損傷患者之神經機能部位為何? (A)C6 (B)T4 (C)C5 (D)L1
47.該脊髓損傷患者之AIS機能損傷等級(ASIA impairment scale)為何? (A)A (B)B (C)C (D)D
48.該脊髓損傷患者符合那種臨床症候群? (A)布朗-斯夸症候群 (B)中髓症候群 (C)前髓症候群 (D)後髓症候群
49.對一位瑞秋洛斯阿米哥斯認知功能程度量表(LOCF)第二級的創傷性腦傷個案而言,下列何項治療 較不適當? (A)被動關節活動 (B)橋式動作練習 (C)直立擺位 (D)提供多元的感覺刺激
50.一位老年人在跌倒後24小時之葛拉斯哥昏迷指數(Glasgow coma scale)為E 3M 3V 2。此病患之創傷 性腦傷嚴重度與對刺激的反應為何? (A)中度,給與疼痛刺激,眼睛才張開 (B)中度,給與手部疼痛刺激,整個上肢會縮起來 (C)重度,呈現去大腦姿勢(decerebrate posture) (D)重度,發出無法理解的呻吟
51.頭部創傷後,下列何種狀況產生的腦組織傷害屬於原發性? (A)腦腫脹或顱內血腫引起顱內壓升高 (B)腦血管破裂慢性滲血,形成血腫塊 (C)腦部疤痕組織導致癲癇(seizure) (D)爆炸傷害(blast injuries)
52.20歲的張同學上個月發生嚴重車禍,頭部手術後插管住在加護病房,今天轉入一般病房,評估張同 學目前處於瑞秋洛斯阿米哥斯認知功能程度量表(LOCF)第三級,下列敘述何者最不適當? (A)教導家屬頭部擺位前,應先確認車禍時是否有頸髓傷害 (B)教導家屬正確執行每個關節的被動關節運動 (C)為了讓病人清醒後之動作控制能力快速恢復,家屬可以利用按摩器按摩腳底增加反射動作 (D)如果張力太強,應該教導家屬正確穿著副木,維持關節活動度
53.為創傷性腦傷患者設計居家復能運動,指示家屬要「一個口令、一個動作;一次時間不要持續太 久,但要照表定時間練習」。則個案至少處於瑞秋洛斯阿米哥斯認知功能程度量表(LOCF)的那一 級? (A)四 (B)五 (C)六 (D)七
54.依據新版世界動作障礙學會巴金森氏病綜合評量表(MDS-UPDRS),對震顫(tremor)現象的評 估,下列何者正確? (A)以快節奏反覆動作誘發震顫現象 (B)雙側同時施測以比較震顫程度 (C)觀察震顫的範圍以四肢為原則 (D)包含動作型(action)與靜止型(resting)震顫的評估
55.根據新版世界動作障礙學會巴金森氏病綜合評量表(MDS-UPDRS),拉動測試(pull test)是評估 何種姿勢調節機制? (A)姿勢準備(postural preparation) (B)姿勢伴隨(postural accompaniment) (C)姿勢反應(postural reaction) (D)姿勢反射(postural reflex)
56.下列何者較不常出現於原發性巴金森氏病? (A)垂直注視麻痺(vertical gaze palsy) (B)休息時震顫(resting tremor) (C)動作遲緩(bradykinesia) (D)僵直(rigidity)
57.不識字的金婆婆民國15年出生,兒子懷疑她有失智症,經迷你心智量表(mini-mental status examination)評估為18分。金婆婆最可能的狀況為何? (A)輕度認知功能障礙 (B)輕度失智 (C)中度失智 (D)無失智
58.王先生長期酗酒,最近他發現走路時會搖搖晃晃、東倒西歪,伸手拿東西時距離會抓不準且有震顫 的現象。治療師再進一步評估後發現被動移動王先生肢體時感受到的肌張力降低,且請他反覆做前 臂旋前/旋後動作時動作不流暢。王先生最有可能是下列那個神經系統有問題? (A)臂神經叢 (B)基底核 (C)前庭系統(D)小腦
59.關於小腦病變患者行走時的表現,下列何項敘述最不適當? (A)慢速行走時比快速行走時更不容易停止(B)行走速度通常較慢(C)有運動失調性步態的患者跌倒時,通常跌往後方或與小腦受損同側方向(D)步長通常較短
60.小明的伯父被診斷為脊髓小腦萎縮症已經3年,下列敘述何者與此診斷無直接關係? (A)可維持睜眼的靜態站姿平衡超過30秒,但閉眼的靜態站姿平衡無法超過3秒(B)可以自己走路,但是總是雙腳開開的,像企鵝一樣左搖右擺(C)本體感覺測試時反應較慢,需要大動作變化才知道(D)記性變得很差,總是忘記何時該吃甚麼藥
61.有關多發性硬化症好發的族群,根據目前的研究顯示,下列敘述何者不適當? (A)北歐白人發生率比南非白人的發生率高(B)歐洲人比澳洲原住民發生率高(C)如果爸爸是多發性硬化症的患者,兒子發生相同疾病的機率比其他沒有家族史的人高(D)個案通常在12歲以前就會發病
62.有關運動神經元疾病,下列敘述何者錯誤? (A)肌萎縮性側索硬化症(amyotrophic lateral sclerosis)會引發上、下運動神經元受損(B)進行性延髓麻痺(progressive bulbar palsy)僅上運動神經元受損(C)原發性側索硬化症(primary lateral sclerosis)僅上運動神經元受損(D)進行性肌萎縮症(progressive muscular atrophy)僅侵犯下運動神經元
63.物理治療師在指導患者運動訓練時,下列何者需要立即處置? (A)基蘭-巴瑞氏症候群患者運動後出現短暫疲乏現象(B)肌萎縮性側索硬化症患者抱怨小腿後側痛、熱及腫(C)裘馨氏肌肉失養症患者出現搖擺步態(waddling gait)(D)年輕多發性硬化症患者訓練後出現肌肉張力增強
64.35歲的莊先生是多發性硬化症患者,下列何者與此疾病較無直接相關? (A)因視神經炎導致視力變得模糊(B)因單側殼核損傷造成對側肢體無力(C)疑似小腦損傷造成吞嚥困難(D)因臂神經叢損傷造成上肢無力
65.顱內腫瘤患者若出現失憶、失智、人格改變、步態異常、注視失用症(gaze apraxia)、表達型失 語症、動作無力、局部型或全身型癲癇,可能是那一個部位的腫瘤所引起? (A)頂葉 (B)橋腦 (C)顳葉 (D)額葉
66.有關愛滋病毒感染者之運動訓練效應,下列何者錯誤? (A)有氧運動訓練有助於改善患者之心臟血管功能 (B)阻力運動訓練有助於對抗消耗症候群(wasting syndrome),且能提升肌力與淨瘦肉量(lean body mass) (C)中等強度運動可能抑制無症狀或有症狀個體的免疫功能 (D)運動有助於控制疾病的長期副作用,包括:身體組成改變、高血脂、高血糖、高血壓等
67.有關後小兒麻痺症候群的物理治療介入原則,下列敘述何者錯誤? (A)生活型態需要做一些調整,並教導能量保留技巧,不要過度使用肌肉,避免增加勞累 (B)運動訓練可以維持肌力,應該利用高強度的肌力訓練,讓新的漸進無力的肌肉保持肌力 (C)可以利用水療的浮力與阻力,幫助病患進行適當的訓練 (D)疼痛的問題可以電、熱療或是按摩、徒手療法的方式,依照一般發炎疼痛的處理方式進行治療
68.顏面神經麻痺病患臨床症狀不包括下列何者? (A)流眼淚 (B)舌頭味覺異常 (C)乾眼症 (D)臉部感覺異常
69.病患在周邊神經損傷復原後出現錯誤感覺支配(sensory mismatch),根據桑德蘭氏 (Sunderland)分類法,受傷等級可能為何? (A)I (B)II (C)III (D)II、III
70.關於前庭系統與其功能之配對,下列何者正確?①半規管-偵測頭部直線加速度之動作 ②耳石- 偵測頭部傾斜之靜態姿勢 ③前庭核-整合來自視覺、體感覺及前庭覺之神經輸入 ④前庭眼球反 射-維持視線穩定 ⑤前庭脊髓反射-在失去平衡時產生跨步反射 (A)②③④ (B)①③⑤ (C)①②④ (D)②③⑤
71.黃小姐抱怨半夜睡覺時在床上翻身,突然有一陣天旋地轉的眩暈,大約持續20秒,治療師懷疑其耳 石脫落掉進水平半規管裡,為了確定是那一側的耳石脫落,治療師應執行下列那一項測試以判斷? (A)在躺姿下,將頭擺在頸屈曲約20度並往一側轉90度,接著將頭連續往對側轉90度,直到呈現趴姿, 每一次轉頭皆須觀察是否有眼球震顫或眩暈 (B)在坐姿下,將頭擺在頸屈曲約30度,請患者注視前方一定點,快速的將頭往一側轉約15度,觀察是 否有眼球震顫,再往另一側再執行一次 (C)在長坐姿下,將頭往一側轉約45度後,快速往後仰躺,觀察是否有眼球震顫或眩暈後,坐起再重複 執行另一側的測試 (D)在躺姿下,將頭擺在頸屈曲約20度,快速地將頭往一側轉90度,觀察是否有眼球震顫或眩暈後,將 頭慢慢轉回中線,往另一側再執行一次
72.戴先生在接受右耳膜修補手術後,抱怨行走時要轉彎會有不穩及頭暈的症狀,其冷熱試驗 (caloric test)顯示為50%右半規管功能失調(canal paresis),治療師欲規劃其訓練計畫,下 列何項訓練較合適? (A)平躺,將頭先往右轉90度,再將頭連續往左轉90度,直到臉朝下趴著 (B)坐著專心看電視,同時以每秒一次的頻率左右轉頭 (C)站在平坦的地面上,以雙手拿書並大聲朗讀書中的文字 (D)走路時,在儘量保持頭部不動的情況下,看著遠方一固定目標向前走
73.有關基蘭-巴瑞氏症候群的敘述,下列何者錯誤? (A)為急性免疫系統引發的多發性神經病變 (B)周邊神經與神經根處有病理發炎現象 (C)主要症狀有肢體肌肉無力,且多數病患上肢先出現症狀 (D)多數病患在最初2~4週左右症狀最為嚴重,其後會趨於穩定不再惡化,功能逐漸恢復
74.有關重症肌無力(myasthenia gravis)患者的臨床症狀,下列何者錯誤? (A)症狀初期會有眼皮下垂及複視 (B)肌力受到影響後,深腱反射也會下降 (C)常會出現吞嚥困難、說話聲音降低 (D)症狀嚴重時呼吸肌常會受到影響
75.下列那一項平衡能力無法由柏格氏平衡量表得知? (A)360度轉身 (B)單腳站 (C)跨越障礙物 (D)閉眼站立
76.下列何者不屬於老年人平衡的功能性測試? (A)功能性前伸測試 (B)計時起走測試 (C)柏格式平衡量表 (D)30秒椅子坐立測試
77.在長照機構中,物理治療師為住民進行預防跌倒的處置,下列介入分類何者正確? (A)提供輔具為代償性策略(compensatory strategies) (B)改善室內光線為矯治性策略(remediative strategies) (C)進行肌力訓練為防跌衛教(education) (D)教導正確坐到站的方法為矯治性策略(remediative strategies)
78.對於接受安寧照護的病患,下列敘述何者正確? (A)由於肌力訓練及耐力訓練容易使病患疲乏,故安寧照護的病患不宜進行肌力訓練及耐力訓練 (B)由於患者的活動力下降,故擺位、關節活動運動是安寧照護的治療重點 (C)由於治療團隊的分工,對於患者與家屬在身體與情感上的照護需求,治療師應轉給護理師處理,治 療師不應介入 (D)由於癌症是熱療的禁忌症,故癌末患者的安寧照護,治療師應注意不可使用熱療
79.高齡者功能性體適能(senior fitness)檢測項目,不包括下列何者? (A)原地站立抬膝 (B)坐姿體前彎 (C)3分鐘登階 (D)30 秒單腳站立
80.關於預防老年人跌倒問題,下列敘述何者最不適當? (A)針對個人發展多面向的預防與處置計畫,可有效防治跌倒發生 (B)太極拳為一種有效且符合成本效益之預防老人跌倒的運動 (C)為保持地板乾燥且方便清潔,可放置活動式腳踏墊於浴室外吸水 (D)環境要有明亮與足夠的採光