所屬科目:醫學四:80題 ( 包括小兒科,皮膚科,神經科,精神科等科目及其相關臨床實例與醫學倫理 )
1.下列有關嬰兒安全睡眠環境安排的敘述,何者最為適當? (A)床欄杆要圍一圈軟墊或棉被防撞 (B)嬰兒床擺在媽媽房間,但嬰兒需與媽媽不同床 (C)給寶寶睡枕頭,以維持頭型 (D)放一些填充玩偶陪伴,以增加安撫感
2.有關卡介苗(Bacille Calmette-Guérin vaccine, BCG 疫苗)的接種,下列敘述何者最不適當? (A)卡介苗是以牛的分支桿菌(Mycobacterium bovis)製成之活性疫苗 (B)目前我國政策建議出生滿 5~8 個月接受預防接種,但長住高發生率地區或即將前往結核病高盛行國家,可 考慮提早接種 (C)接種卡介苗主要是避免結核性腦膜炎或瀰漫性感染(disseminated and meningeal tuberculosis)等併發 症 (D)卡介苗接種後,約 4~6 個月皮膚結核菌素測試(tuberculin skin test),才會轉為陽性
3.足月新生兒因分娩延長,婦產科醫師以真空吸引協助娩出。出生後兩小時頭圍增加 1 公分,膚色蒼白,心跳每分鐘 190 次,血壓 42/20 mmHg。附圖為頭部剖面圖,最可能造成大量出血的位置為圖中何處? (A)圖中位置① (B)圖中位置② (C)圖中位置③ (D)圖中位置④
4.嬰兒使用呼吸器時,下列何種設定調整無法增加氧合(oxygenation)? (A)調高最高吸氣壓力(peak inspiratory pressure) (B)調高吐氣末端正壓(positive end-expiratory pressure) (C)調高氣流流量(gas flow) (D)調高吐氣時間(expiratory time)
5.依現行衛生福利部疾病管制署建議,媽媽為 B 型肝炎表面抗原(HBsAg)陽性之 B 型肝炎帶原者之新生兒,最 遲需於出生後幾小時內注射 B 型肝炎免疫球蛋白(hepatitis B immunoglobulin, HBIG)? (A)24 小時 (B)36 小時(D)72 小時 (C)48 小時
6.下列何種先天性心臟病或是心臟手術後,最不會被聽到連續性的心雜音(continuous murmur)? (A)接受 central shunt 人工分流管術後 (B)冠狀動脈竇破裂到右心室(ruptured sinus of Valsalva aneurysm to right ventricle) (C)大型的主動脈到肺動脈側枝血管(major aortopulmonary collateral arteries, MAPCAs) (D)肺動脈-肺靜脈瘻管(pulmonary arteriovenous fistula)
7.在兒童先天性心臟病的自然病史(natural history),下列何種先天性心臟病最不會出現肺動脈高壓 (pulmonary hypertension)的併發症? (A)心房中隔缺損(atrial septal defect) (B)開放性動脈導管(patent ductus arteriosus) (C)大血管轉位(dextro-loop transposition of the great arteries) (D)法洛氏四重症(tetralogy of Fallot)
8.若嬰幼兒時期對下列食物產生過敏,何種食物的過敏最不容易隨年紀增長而消失? (A)牛奶 (B)黃豆 (C)海鮮 (D)蛋
9.下列何者不是 Langerhans cell histiocytosis 的特色? (A)CDla:positive (B)Birbeck granule:positive (C)hemophagocytic histiocyte:positive (D)eosinophilic granuloma
10.1 歲小朋友診斷細支氣管肺炎,下列何者是呼吸作功增加的現象? (A)頸部僵硬 (B)鼻翼搧動 (C)頭部轉動 (D)呼吸暫停
11.15 歲男孩,身體診察發現右上肢血壓為 190/95 mmHg、背後兩肩胛骨間有收縮期雜音、右側橈(radial)動 脈脈搏清楚,但兩側股動脈之脈搏摸不清楚。下列何種疾病應優先列入鑑別診斷? (A)主動脈弓縮窄(coarctation of aorta) (B)主動脈瓣狹窄(aortic stenosis) (C)上主動脈瓣狹窄(supravalvular aortic stenosis) (D)下主動脈瓣狹窄(subaortic stenosis)
12.有關嬰兒腸絞痛診斷,下列何者最不適當? (A)發生在小於 5 個月的嬰兒 (B)照顧者的主訴可以當診斷的依據 (C)病人呈現生長遲滯現象 (D)臨床診斷標準為嬰兒每天哭鬧時間大於 3 小時,一星期發生 3 天以上
13.3 個月大的足月產男嬰,每天排便一次。今天因反覆嘔吐與腹脹,嘔吐物呈綠色,而至急診室求診。抽血檢驗結果 pH=7.15,PaCO2=28 mmHg,HCO3-=16.5 mmol/L,BE=-8.5 mmol/L,[Na+]=114 mEq/L,[K+]=5.1 - mEq/L,[Cl-]=68 mmol/L,BUN/creatinine=52/1.5 mg/dL;最有可能的診斷為何? (A)腸道旋轉不良(malrotation)併中腸扭結(midgut volvulus) (B)肥厚性幽門狹窄(hypertrophic pyloric stenosis) (C)先天腎上腺增生(congenital adrenal hyperplasia) (D)先天巨腸症(congenital aganglionic megacolon)
14.關於急性胰臟炎(acute pancreatitis)的敘述,下列何者最不適當? (A)造成孩童急性胰臟炎的主因,包括外傷、感染及膽道或胰管結構異常 (B)引起兒童急性胰臟炎最常見的藥物是 ibuprofen (C)嚴重急性胰臟炎身體診察時,肚臍周圍皮膚可能會有藍紫色瘀血出現(Cullen sign) (D)實驗室血液檢驗中,脂肪酶(lipase)的特異性(specificity)比澱粉酶(amylase)高
15.3 歲幼兒(懷孕週數 31 週,出生體重 1450 公克),主訴身高及體重皆小於第 3 百分位,過往病史有反覆肌 肉無力、痙攣及多尿。其血液檢查呈現低血鉀、低血氯、高腎素和高醛固酮濃度、高 pH 值與高碳酸根離子; 尿液檢查為高尿鈣症。下列診斷何者最為可能? (A)腎小管酸血症(renal tubular acidosis) (B)慢性腹瀉(chronic diarrhea) (C)巴特氏症候群(Bartter syndrome) (D)吉特曼氏症候群(Gitelman syndrome)
16.關於兒童慢性腎臟病(chronic kidney disease, CKD),下列敘述何者最不適當? (A)小於 5 歲的孩童,發生的主因為先天腎臟與尿路異常(congenital abnormalities of kidney and urinary tract) (B)身材矮小是兒童慢性腎臟病的重要表現,主因生長激素(growth hormone)與胰島素樣生長因子 1 (insulin-like growth factor 1)缺乏導致 (C)CKD 病童高血壓的首選藥為血管張力素轉化酶抑制劑(ACEI)或血管張力素受體阻斷劑(ARB) (D)鈣、磷電解質失調與 CKD 病童的血管鈣化有關
17.關於夜尿(nocturnal enuresis),下列敘述何者最不適當? (A)依照臨床上的定義,「夜尿」是指大於 5 歲的小孩在睡眠期間膀胱發生不自主排尿 (B)口服或鼻噴(nasal spray)抗利尿激素(ADH)的類似物如 desmopressin acetate,是夜尿的首選治療方 式 (C)兒童夜尿宜詳細病史詢問、理學檢查與實驗學檢查來排除器質性的疾病如糖尿病、尿崩症、慢性腎臟病 (D)導致孩童夜尿的原因很多,包括生理、心理或遺傳等因素
18.有關 A 群鏈球菌感染(group A streptococcus infection)的猩紅熱與川崎氏症(Kawasaki disease),下 列敘述何者最不適當? (A)都會發燒、起疹子、草莓舌 (B)都有可能於指尖脫皮(desquamation) (C)都好發於 5 歲以上病童 (D)鏈球菌感染用抗生素治療;川崎氏症急性期用 intravenous immunoglobulin(IVIG)與 aspirin
19.關於氣喘運動誘發測驗,下列敘述何者最不適當? (A)持續有氧運動或跑步 6~8 分鐘 (B)一般兒童運動後可以增加 FEV1(一秒內用力吐氣容積)5~10% (C)未經適當治療的氣喘兒童,在運動誘發測試後,其 FEV1 通常會下降>15% (D)學齡兒童運動誘發氣喘,通常在 20 分鐘開始,於 30 分鐘後達到最嚴重狀況
20.下列何者不屬於大球性貧血(macrocytic anemia)? (A)硫胺素反應性貧血(thiamine responsive anemia) (B)鉛中毒(lead poisoning) (C)范可尼貧血(Fanconi anemia) (D)葉酸缺乏(folate deficiency)
21.關於兒童腫瘤可能造成的臨床徵象與實驗室檢查結果,下列敘述何者最不適當? (A)類卡波西血管內皮細胞瘤(Kaposiform hemangioendothelioma):瘀血、紫斑、血小板下降、微小血管內 溶血性貧血 (B)松果體母細胞腫瘤(pineoblastoma):尿崩(diabetes insipidus)、乳溢(galactorrhea)、甲狀腺機 能亢進(hyperthyroidism) (C)威爾姆氏腫瘤(Wilms tumor):血尿(hematuria)、腹腔腫塊(abdominal mass)、部分凝血活酶時間延 長(elevated partial thromboplastin time) (D)嗜鉻細胞瘤(pheochromocytoma):陣發性高血壓(paroxysmal hypertension)、蒼白(pallor)、冒冷 汗(sweating)、高尿液游離後腎上腺髓素濃度(high urine metanephrine level)
22.足月出生體重 3.1 公斤之新生兒,剛出生時哭聲宏亮,Apgar score 於第一分鐘及第五分鐘為 8 分及 9 分。 出生一小時後出現呼吸喘及發紺。聽診時發現其右邊呼吸音減弱,無腹部凹陷。下列何者為最可能的診斷? (A)右側自發性氣胸 (B)發紺型先天性心臟病 (C)左側橫膈膜疝氣 (D)病毒性細支氣管炎
23.下列何者不是兒童腸病毒重症發生的前兆? (A)呼吸急促 (B)持續嘔吐 (C)結膜出血 (D)肌躍型抽搐(myoclonic jerk)
24.下列何者不是目前臺灣健保給付生長激素治療的適應症? (A)腦瘤導致生長激素缺乏症(growth hormone deficiency) (B)羅素-西弗氏症(Russell-Silver syndrome) (C)普瑞德威利氏症候群(Prader-Willi syndrome) (D)透納氏症(Turner syndrome)
25.13 歲男孩被診斷為嚴重糖尿病酮酸中毒(severe diabetic ketoacidosis)而住進加護病房,下列那一個實 驗室檢查結果最可能在此病人身上表現? (A)血鈉(sodium)及血液滲透壓(osmolality)皆低於正常值 (B)血清尿素氮(BUN)及肌酸酐(creatinine)皆低於正常值 (C)血氧(O2)及總二氧化碳(total CO2)皆高於正常值 (D)血液陰離子間隙(anion gap)高於正常值
26.8 歲男童高燒一星期求診,併有頭痛、腹痛和嘔吐的症狀。約在發燒 10 天前到山區掃墓。身體診察發現左側 鼠蹊部淋巴結腫大、腹股溝發現約 1.5cm×1.0cm 的焦痂(eschar)。抽血報告顯示 Hb 13.6 g/dL,WBC 13300/μL,platelet 275000/μL,GOT 212 U/L,GPT 359 U/L,CRP 7.535 mg/dL。最有可能的診斷為下列 何者? (A)登革熱(dengue fever) (B)鉤端螺旋體病(leptospirosis) (C)恙蟲病(scrub typhus) (D)炭疽熱(anthrax)
27.12 歲男童,因發燒與咳嗽 4 天就診,診斷為非典型肺炎,並給與 azithromycin 10 mg/kg/day QD 3 天治療。治療後一天隨即退燒,兩次抽血檢驗 Mycoplasma pneumoniae 的 IgG 與 IgM 抗體均為陰性。下列何者是 最可能的病原? (A)Streptococcus pneumoniae (B)Chlamydia trachomatis (C)Chlamydia pneumoniae (D)Mycoplasma hominis
28.關於嬰兒玫瑰疹(roseola infantum)的敘述,下列何者最不適當? (A)引起玫瑰疹的病毒是 human herpesvirus 6(HHV-6)和 HHV-7 (B)皮膚紅疹通常與發燒同時出現,多分布在軀幹,燒退後 2~3 天逐漸消失 (C)亞洲病童常可在懸壅垂兩側發現稱之為永山斑(Nagayama spots)的潰瘍 (D)可併發痙攣,但日後再發生癲癇的機率不會比一般人高
29.關於自閉症類群障礙症(autism spectrum disorder)的描述,下列何者最適當? (A)自閉症的語言表達能力通常不會受到影響 (B)自閉症目前已經有抽血的生物標記(biomarker)可以用來診斷 (C)目前對於自閉症的核心症狀已有很有效的藥物治療 (D)自閉症約有 50%病患有智能不足的問題
30.10 個月嬰兒因點頭性痙攣就診,身體診察皮膚有六處鯊魚皮斑(shagreen patch)及五小片褪色白斑 (hypopigmented macules),額頭有血管纖維瘤(angiofibroma),心臟超音波發現一顆橫紋肌瘤 (rhabdomyoma),下列何者為最可能的診斷? (A)Sturge-Weber 症候群 (B)神經纖維瘤(neurofibromatosis) (C)結節性硬化症(tuberous sclerosis) (D)線狀皮脂腺痣症候群(linear nevus sebaceous syndrome)
31.有關熱性痙攣後續發展為癲癇的危險因子,下列何者機率最低? (A)單純性發作(simple type) (B)發燒不到 1 小時就發生熱性痙攣 (C)有神經發展方面的障礙或缺陷 (D)有癲癇的家族病史
32.8 歲女童,高燒 3 天合併喉嚨痛、無法進食、倦怠。身體診察發現雙眼皮浮腫、化膿性扁桃腺炎、脾臟腫 大。下列敘述何者最適當? (A)身體診察可能會發現雙側頸部淋巴結腫大及肝腫大 (B)會表現出嗜中性白血球(neutrophil)增多的現象,診斷標準檢驗為血液培養 (C)需抗生素治療,但若使用青黴素類抗生素(如 ampicillin),可能會有紅疹現象 (D)感染後常出現感染後腎小球腎炎
33.有關 Huntington disease(HD)與 fragile X syndrome 的比較,下列何者最不適當? (A)兩者親代的 premutation expansions 會導致子代 full mutations 的機率增加 (B)premutation alleles 中重複序列的次數:HD 29~35 次;fragile X syndrome 55~200 次 (C)重複序列:CAG in Huntington disease;CGG in fragile X syndrome (D)fragile X syndrome 的重複序列擴增來自父親
34.26 歲的女性患者罹患中重度乾癬(病灶占全身體表面積 30%)且合併有乾癬性關節炎,對於此患者的治療計 畫,下列何者錯誤? (A)建議施打 IL-17A 抑制劑,可同時治療皮膚和關節炎症狀 (B)照光治療建議使用在病灶體表面積小於 10%的患者,所以不是治療選擇 (C)患者有懷孕計畫,口服藥物包括 acitretin、methotrexate 都有致畸胎性(teratogenic),需要避免使用 (D)相較於 IL-17A 抑制劑,IL-23 抑制劑較不會產生發炎性腸道疾病(inflammatory bowel disease)的副作 用
35.關於接觸性皮膚炎(contact dermatitis)的敘述,何者錯誤? (A)雙手反覆碰水若引起刺激性接觸性皮膚炎(irritant contact dermatitis),其病灶通常會在雙手都出現 (B)橡膠手套若引起過敏性接觸性皮膚炎(allergic contact dermatitis),其病灶不一定會在雙手都出現 (C)染髮劑中的 para-phenylenediamine(PPD)若引起過敏性接觸性皮膚炎(allergic contact dermatitis),其病灶只會發生於頭皮,不會發生於額頭或頸部 (D)貼膚測試(patch test)有助於診斷過敏性接觸性皮膚炎(allergic contact dermatitis)
36.關於扁平苔癬(lichen planus)的敘述,下列何者錯誤? (A)病灶為紅紫色、多角型的扁平丘疹或斑塊 (B)病灶常伴隨膿疱 (C)好發部位包括口腔黏膜 (D)可用外用皮質類固醇治療
37.下列關於頭癬(tinea capitis)的敘述,何者錯誤? (A)不注意個人衛生是可能的危險因子之一 (B)若是懷疑頭癬感染,可以考慮伍氏燈(Wood lamp)、KOH 檢查、黴菌培養或切片檢查,以幫助診斷 (C)若是在伍氏燈(Wood lamp)下看到頭髮上有黃綠色螢光,則可確定是髮癬菌屬(Trichophyton species) 的感染 (D)在確定診斷後,口服抗黴菌藥是治療首選
38.55 歲男性因胯下出現搔癢的紅疹來就診,病人提到工作時常流汗,其病灶如圖一所示。伍氏燈(Wood lamp)的檢查結果如圖二所示。最可能的診斷為何? (A)紅癬(erythrasma) (B)股癬(tinea cruris) (C)對磨疹(intertrigo) (D)念珠球菌感染(candidiasis)
39.關於基底細胞癌(basal cell carcinoma),下列敘述何者錯誤? (A)為最常見的皮膚惡性腫瘤 (B)手術切除為治療選擇之一 (C)轉移機率甚高,常需配合化學治療 (D)可能與日光曝曬有關
40.有關皮膚黑色素細胞癌(cutaneous melanoma)的危險因子,下列何者最正確? (A)持續少量日曬的人 (B)深色皮膚的人 (C)天生紅髮或金髮的人 (D)易曬黑不易曬傷的人
41.關於化膿性汗腺炎(hidradenitis suppurativa),下列敘述何者正確? (A)體重過輕是惡化因子之一 (B)臨床上好發於頭頸部,不易發生於腋下與胯下 (C)疾病的最初起因是來自於大汗腺的細菌感染 (D)anti-TNF-α(adalimumab)單株抗體是核准的治療方式之一
42.下列有關男樣多毛症(hirsutism)之敘述,何者錯誤? (A)亦稱為毛髮增多症(hypertrichosis) (B)上唇為常見的位置 (C)檢測血液可能有雄性素升高的現象 (D)若男樣多毛症的症狀在短時間內出現,應考慮腎上腺或卵巢腫瘤
43.25 歲男性,青春期後開始在雙側腋下及胯下出現搔癢刺痛之紅色斑塊,並伴隨皮膚糜爛(erosive erythematous plaques),尤其在夏天時特別嚴重。經詢問後發現其父親及祖父亦有類似症狀。其最有可能 為下列何種疾病? (A)Darier disease (B)Galli-Galli disease (C)Hailey-Hailey disease (D)beriberi disease
44.關於急性缺血性腦中風之血栓溶解治療,下列敘述何者錯誤? (A)常規治療為經動脈內施打組織胞漿素原活化劑(tissue plasminogen activator, t-PA),以減少藥物劑量 並降低出血機率 (B)靜脈血栓溶解治療可增加預後較佳之病人比例,但顱內出血的比例也會顯著上升 (C)由於組織胞漿素原活化劑(tissue plasminogen activator, t-PA)的半衰期較短,因此 t-PA 治療需在部 分藥物快速輸注(bolus)後,於 60 分鐘內將剩餘劑量進行連續性輸注 (D)所有腦中風病人在接受血栓溶解治療前,皆應該進行腦部影像學檢查(如電腦斷層或磁振造影)
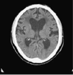
45.82 歲女性病人突然發生右側枕葉頭痛合併左側視野缺損,無顯影劑之腦部電腦斷層(non-contrast CT)檢 查結果如下圖①,磁振造影之磁敏感加權成像(susceptibility weighted imaging, SWI)結果如下圖② ③。下列何者最有可能是此病人的診斷? (A)腫瘤併發腦轉移及腦出血 (B)腦部隱球菌(cryptococcus)感染合併腦出血 (C)大腦類澱粉血管病變(cerebral amyloid angiopathy)合併腦出血 (D)原發性中樞神經系統血管炎(primary angiitis of central nervous system)合併腦出血
46.反覆發生右眼暫時性黑矇症(transient monocular blindness, amaurosis fugax),下列何者是最有可能 的病因? (A)右側內頸動脈狹窄(internal carotid artery stenosis) (B)右側鎖骨下動脈狹窄(subclavian artery stenosis) (C)右側中大腦動脈狹窄(middle cerebral artery stenosis) (D)心房顫動造成心因性血栓(cardiac emboli)
47.37 歲的男性因全身痙攣路倒被救護車送到急診,據路人描述從開始發作到進入急診大約 15 分鐘。標準急救 流程已經建立完成,下列有關癲癇之敘述,何者錯誤? (A)痙攣須持續超過 30 分鐘,才可以診斷為重積癲癇(status epilepticus) (B)立即給與 lorazepam 靜脈注射,若癲癇未停止,5 分鐘後可以再重複一次 (C)開始給與 phenytoin、valproic acid 或 levetiracetam 靜脈注射 (D)若給與靜脈注射之抗癲癇藥物後仍未停止發作,需進行插管,開始給與 propofol、midazolam 或 phenobarbital 靜脈注射
48.下列何者不屬於國際頭痛學會偏頭痛的診斷標準? (A)畏光且怕吵 (B)搏動性 (C)噁心或嘔吐 (D)味覺異常
49.21 歲女性,自 4 年前開始有白日嗜睡的困擾。她生活作息正常,但是 6 個月前和同學開玩笑的時候開始出現 眼瞼和頭部下垂,以及雙膝癱軟的情形,有時因此摔倒,發作時意識正常。晚上睡覺常出現全身不能動彈, 感覺有黑影壓在身上,令她非常害怕。下列何者是最可能的致病機轉? (A)腦部異常放電(癲癇樣波) (B)下視丘泌素(hypocretin)缺乏 (C)神經肌肉交接傳遞異常 (D)血鉀過低
50.患有意想運動性失用症(ideomotor apraxia)的病人,可執行下列何種測試? (A)形容如何寄一封信的步驟 (B)示範刷牙時如何拿牙刷 (C)模仿檢查者使用槌子 (D)用剪刀剪出一直線
51.65 歲男性走路小碎步,容易跌倒。他的太太表示他最近事情常常記不起來,反應遲鈍,有時也會尿失禁。他的腦部電腦斷層掃描結果如下,如果接受腦室腹腔分流術(ventriculoperitoneal shunt)治療,下列敘述何者最恰當? (A)走路比記憶力容易進步 (B)術前腦壓測量通常不正常 (C)尿失禁最容易進步 (D)手術後進步通常可以持續 5 年以上
52.50 歲認知功能正常的巴金森氏病(Parkinson disease)患者之藥物治療,下列何者最不適當? (A)anticholinergics (B)cholinesterase inhibitors (C)dopamine agonists (D)monoamine oxidase type B inhibitors
53.下列有關脊髓症候群(spinal cord syndrome)的敘述,何者錯誤? (A)脊椎性休克(spinal shock)是指在急性脊髓損傷該節以下的肌腱反射會上升 (B)Brown-Sé quard 症候群是指在脊髓損傷該節以下的同側肢體無力及本體感覺(proprioception)的消失 (C)前方脊髓症候群(anterior cord syndrome)本體感覺可以保留 (D)中心脊髓症候群(central cord syndrome)肌肉無力的現象在上肢遠比下肢嚴重
54.31 歲男性,開車停在路口等紅燈時,不幸遭後車追撞,引起兩側上肢麻木疼痛,最可能傷及下列何種神經路 徑? (A)脊髓丘腦徑(spinothalamic tract) (B)脊神經(spinal nerve) (C)椎體徑(pyramidal tract) (D)後柱(posterior column)
55.下列何種周邊神經系統疾病的致病機轉與代謝異常有關? (A)格林–巴利症候群(Guillain-Barré syndrome) (B)運動神經元疾病(motor neuron disease) (C)類澱粉樣神經病變(amyloid neuropathy) (D)皮肌炎(dermatomyositis)
56.關於原發性中樞神經淋巴瘤(primary central nervous system lymphoma, PCNSL)的敘述,下列何者錯 誤? (A)與一般民眾相較,人類免疫不全病毒(human immunodeficiency virus, HIV)感染者有較高罹患 PCNSL 的 風險 (B)與一般民眾相較,接收器官移植的病人有較高罹患 PCNSL 的風險 (C)人類疱疹病毒 6(human herpesvirus 6)在 PCNSL 的致病機制中扮演了重要角色 (D)對於疑似 PCNSL 的病人,在進行病理切片確定診斷前,不宜使用類固醇治療
57.關於貝克氏肌肉失養症(Becker muscular dystrophy)的敘述,下列何者錯誤? (A)是因為 dystrophin 基因發生突變而致病 (B)發病時的臨床症狀常是雙下肢近端肌肉無力 (C)部分病人的發病年齡可以在 20 歲以後 (D)四分之一病人的致病突變是由父親遺傳來的
58.對於病毒性腦炎的敘述,下列何者正確? (A)第一型單純疱疹病毒(HSV-1)通常是造成疱疹病毒腦炎的元凶,也容易在口腔周圍出現疱疹 (B)帶狀疱疹病毒(VZV)和小兒麻痺病毒一樣,常造成運動神經元感染 (C)小時候受過水痘(chickenpox)感染的病童,成年後就不會受到帶狀疱疹的侵犯 (D)疱疹病毒腦炎所侵犯的範圍,侷限在腦幹,尤其是延腦後半部
59.下列何者不屬於僵直症(catatonia)的精神症狀? (A)mannerism (B)mutism (C)nihilism (D)negativism
60.關於雙極情緒障礙症鬱期(bipolar depression)的藥物治療,下列敘述何者最不適當? (A)使用 risperidone (B)使用鋰鹽 (C)使用 lurasidone (D)使用 lamotrigine
61.下列關於精神疾病治療的敘述,何者最適當? (A)與抗憂鬱劑治療重鬱症做比較,電痙攣治療(electroconvulsive therapy)的效果比較快出現,但是療效 則沒有差異 (B)對於抗憂鬱劑沒有療效的重鬱症患者,大約有一半的個案在接受電痙攣治療(electroconvulsive therapy)會出現治療效果 (C)重鬱症患者合併有身體症狀障礙症(somatic symptom disorder)對於電痙攣治療(electroconvulsive therapy)會有比較差的治療反應 (D)當躁期病人對於鋰鹽療效不佳時,可以加上電痙攣治療(electroconvulsive therapy)來促進治療反應
62.吳先生,32 歲男性,因為疲倦嗜睡被家人帶來醫院。吳先生表示今天特別想吃東西,並且在昏睡時會做鮮明 的惡夢。家人表示吳先生有上夜店的習慣,最後一次上夜店是兩三天前。吳先生的臨床表現最可能是下列何 種狀況? (A)Heroin withdrawal (B)Alcohol withdrawal (C)Methamphetamine withdrawal (D)Hypnotic withdrawal
63.有關譫妄(delirium)的描述,下列何者最不適當? (A)相較於失智症,譫妄的發作較快,且波動性較大 (B)某些嚴重的躁症患者會有極度的混亂行為,與譫妄難以區別 (C)如果是 hypoactive 的譫妄,常與鬱症患者難以區別 (D)譫妄的腦波(EEG)典型呈現 generalized paroxysmal fast activity
64.關於抗精神病藥物(antipsychotics)之敘述,下列何者最不適當? (A)不少抗精神病藥物會引發心臟方面副作用,包括心臟傳導異常 (B)抗精神病藥物的其中一種嚴重副作用為抗精神病藥惡性症候群(neuroleptic malignant syndrome),有可 能致命 (C)一旦產生抗精神病藥惡性症候群,使用 dantrolene 治療可能有效 (D)施打長效針劑(long-acting depot)是克服病人不服藥的方式之一,目前臨床上最常使用的是效期一年之 長效針劑
65.有關譫妄(delirium)的敘述,下列何者最適當? (A)應優先使用低劑量抗精神病藥物以快速控制激動和混亂 (B)非藥物介入以身體約束優先,以減少精神科藥物對譫妄的影響 (C)發生譫妄的病人 3 個月後的死亡率約 20~30% (D)使用苯二氮平類藥物可有效緩解譫妄
66.關於強迫症(obsessive-compulsive disorder)大部分的個案其病程之描述,下列何者最適當? (A)急性發作,經積極治療後,快速緩解(rapid remission) (B)陣發性(episodic)發作 (C)持續(continuous)而慢性化(chronic) (D)雖然積極治療,仍急遽惡化(deteriorative)
67.懼曠症(agoraphobia)最常與下列何種疾病共病(comorbid)或共同存在(coexist)? (A)憂鬱症(depressive disorders)或憂鬱症狀 (B)思覺失調症(schizophrenia)或幻覺妄想症狀 (C)雙極情感疾患(bipolar disorder)或躁症症狀 (D)恐慌症(panic disorder)或恐慌症狀
68.關於性別不安(gender dysphoria)的敘述,下列何者最適當? (A)性別不安應該先排除雙性人(intersex)診斷 (B)若欲診斷兒童有性別不安,個案須強烈渴望成為異性,或堅持他或她就是異性(或有別於被指定性別的其他 性別) (C)若為成年人之後才展現之性別與指定性別(birth-assigned gender)之間顯著不一致,期間雖未達 6 個 月,仍可被診斷性別不安 (D)美國精神醫學會建議,改變性別認同或性傾向的心理治療愈早施行愈有效
69.下列何種藥物或物質的定位不屬於中樞神經刺激劑(stimulants)? (A)Cocaine (B)Methamphetamine (C)Methylphenidate (D)Ketamine
70.29 歲男子,大量使用某種物質後出現食慾降低、情緒激躁不安、血壓增高、心跳加速、多疑。下列何者為此 男子最可能使用的物質? (A)安非他命(amphetamine) (B)愷他命(ketamine) (C)大麻(cannabis) (D)幻覺劑(hallucinogen)
71.有關侵擾性情緒失調症(disruptive mood dysregulation disorder)的敘述,下列何者最不適當? (A)是 DSM-5 新納入的診斷,特徵是嚴重,不適切的,且反覆的脾氣爆發至少 1 週 3 次以上 (B)侵擾性情緒失調症需與注意力不足/過動症(ADHD)鑑別診斷,應避免將此兩診斷並存 (C)18 歲以上初次就診的病患不適用此診斷 (D)如果病患的疾病生理與特徵很類似雙極情緒障礙症(bipolar disorder),藥物治療的首選是非典型抗精神 病劑(atypical antipsychotic agents)或情緒穩定劑(mood stabilizers)
72.有關注意力不足/過動症(ADHD)的敘述,下列何者最適當? (A)很大一部分的病因(約 75%)可為基因遺傳所解釋 (B)ADHD 需與特定的學習障礙症(specific learning disorders)鑑別,兩診斷不能同時成立 (C)相較於過動的症狀,注意力不足的症狀通常會較早消失痊癒 (D)1999 年在美國進行的 Multimodal Treatment Study of Children with ADHD(MTA)研究,發現 ADHD 個案 單純接受行為治療,比起單純接受藥物治療,ADHD 的核心症狀改善較為明顯
73.23 歲的小芬,數年以來情緒持續地極不穩定,長期感到空虛,常常覺得自己一無是處,總是擔心家人和男友 會拋棄她,只要覺得別人好像要疏遠自己,就反覆以自殺威脅他們。某次在和男友嚴重爭吵後,行為舉止突 然變得幼稚如小孩,還說耳朵聽到已過世的外祖父在和自己說話,因而被送至醫院急診。關於小芬的人格, 下列敘述何者最適當? (A)為依賴型人格障礙症(dependent personality disorder) (B)對此人格障礙症患者,心理治療和藥物治療各有效果,而兩者合併並無更佳的效果 (C)辯證行為治療(dialectical behavior therapy)對於此人格障礙症患者具有療效,尤其割腕行為 (D)要改善此人格障礙症的自我觀感和社會關係困難的核心症狀,最有效的治療藥物是苯二氮平 (benzodiazepine)
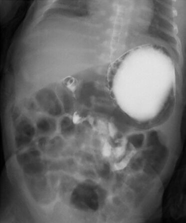
74.出生兩天大的女嬰因嘔吐不止就醫,接受上消化道攝影結果如圖示,下列何者為最可能之診斷? (A)中腸旋轉不良 (B)肥厚性幽門狹窄 (C)胃食道逆流 (D)空腸閉鎖症
75.56 歲男性,主訴近 2 年來雙側視力模糊,頭部磁振造影檢查結果如附圖,下列何者為最可能之診斷? (A)腦下垂體腺瘤(pituitary adenoma) (B)視神經膠質瘤(optic glioma) (C)動脈瘤(aneurysm) (D)松果體腫瘤(pineal tumor)
76.有關癲癇重積(status epilepticus)的描述,何者錯誤? (A)單次抽搐時間≧10 分鐘 (B)兩次或兩次以上抽搐之後意識沒有恢復 (C)癲癇重積可能會造成神經損傷 (D)靜脈注射抗癲癇藥物是必要的
77.針對急性腦中風病人之緊急處置,下列敘述何者錯誤? (A)疑似中風個案在急診應儘速完成國家衛生院腦中風量表(National Institutes of Health Stroke Scale, NIHSS)的評估,以便早期決定施予血栓溶解劑治療 (B)缺血性中風病人,在使用高血壓藥物治療後,病人的血壓維持在 190/116 mmHg 時,可以使用血栓溶解劑治療 (C)NIHSS 評估量表,分數愈高,神經症狀愈嚴重 (D)治療蜘蛛膜下腔出血時,使用 nimodipine 具有保護腦部的作用
78.有關 Naloxone 的敘述,下列何者最適當? (A)可以對抗嗎啡類物質在各種嗎啡類受器的作用,但是對μ受器對抗作用較弱 (B)它可以噴到鼻腔內使用,吸收情形與肌肉注射相當 (C)它的作用時間與大多數嗎啡類藥物相當,所以大多不需要多次給與來對抗嗎啡類藥物中毒 (D)使用後可反轉嗎啡類產生的呼吸抑制,幾乎沒有什麼副作用
79.40 歲的甲先生剛因為自己有心律不整,被診斷有法布瑞氏症(Fabry disease),而了解到法布瑞氏症是一 個 X 染色體遺傳的晚發性疾病,因此他急著帶自己 3 歲活蹦亂跳的女兒乙來進行法布瑞氏症帶因者篩檢,希 望可以儘早為她做後續保險的規劃。下列敘述何者最不適當? (A)此作法將影響乙未來婚姻與生育的規劃,應等乙成年後在知情且同意的狀況下進行 (B)甲的 X 染色體應該會遺傳給乙,所以不需要進行基因檢測 (C)乙成年前不會有症狀,目前進行檢驗非屬必要且可能造成資源浪費 (D)乙檢測後才可以進行各項醫療或意外險的商業投保,可及早開始準備
80.某教學醫院的王醫師是個熱心的老師,他十分注重身體檢查,每兩個月,他就會選一個嬰兒室的新生兒,示 範全身身體檢查,並讓 5 位醫學生用此嬰兒實際演練直到熟練。下列敘述何者最適當? (A)身體檢查非侵入性,不必告知同意步驟 (B)這是很好而值得鼓勵的教學活動 (C)即使告知家長獲得同意,亦屬不適當 (D)可以進行,但應給予同等於「標準化病人」之酬勞