所屬科目:內分泌科
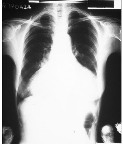
2. 37歲女性主訴進行性呼吸困難、倦怠、便秘但無發燒,身體檢查臉部浮腫、貧血,BP 126/94 mmHg、PR 104/min,胸部X光如圖,最可能的診斷是: (A) 肥胖併代謝症候群 (B) 黏液水腫性心臟病變 (C) 結核性心包膜炎 (D) 充血性心衰竭 (E) 高血壓心臟病
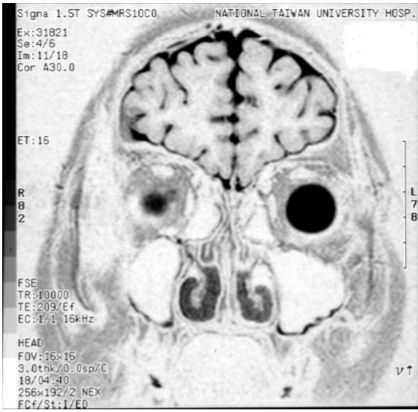
4. 23歲男性兵役體檢發現性器發育不良,MRI如圖,最可能的診斷是: (A) Pseudohermaphroditism (B) Klinefelter syndrome (C) Noonan syndrome (D) Prader-Willi syndrome (E) Kallmann syndrome