阿摩線上測驗
登入
首頁
>
醫學四:80題 ( 包括小兒科,皮膚科,神經科,精神科等科目及其相關臨床實例與醫學倫理 )
> 100年 - 100-1 專技高考_醫師(二):醫學(四)(包括小兒科、皮膚科、神經科、精神科等科目及其相關臨床實例與醫學倫理)#36806
100年 - 100-1 專技高考_醫師(二):醫學(四)(包括小兒科、皮膚科、神經科、精神科等科目及其相關臨床實例與醫學倫理)#36806
科目:
醫學四:80題 ( 包括小兒科,皮膚科,神經科,精神科等科目及其相關臨床實例與醫學倫理 ) |
年份:
100年 |
選擇題數:
80 |
申論題數:
0
試卷資訊
所屬科目:
醫學四:80題 ( 包括小兒科,皮膚科,神經科,精神科等科目及其相關臨床實例與醫學倫理 )
選擇題 (80)
一位 2 歲大的男童,自出生 6 個月後反覆有中耳炎、細菌性鼻竇炎及肺炎,雖然施打卡介苗,直至 目前並無任何關於卡介苗的併發症,除了一般常規的 CBC/DC 檢查之外,你認為下列何種檢測最能 查出病因? (A)Lymphocyte proliferation test including antigens and mitogens stimulation (B)Immunoglobulins level(IgG, A, M, E)& lymphocyte subsets (C)PMN function tests, including chemotaxis, nitroblue tetrazolium test, CD11/CD18 expression及phagocytosis (D)HIV 1+2 Ab
2 有一對夫婦生下一位有染色體構造異常(不平衡轉位)的小孩,醫師在詢問病史時發現母親已經有 三次於懷孕早期自然流產。因此醫師決定要進行這對夫婦的染色體分析(他們都沒有智能不足或是 先天性畸形的現象)。你覺得醫師對這對夫婦最可能的懷疑是下列何者? (A)父母親之一或許有和小孩一樣的核型(karyotype),這樣就可以解釋他們的流產及異常的小孩 (B)父母親可能各帶有一半的染色體異常,小孩如果同時遺傳到兩種異常便會發病 (C)父母親其中一人可能有染色體平衡轉位 (D)父母親的染色體不合
3 臨床上 Prader-Willi 症候群及 Angelman 症候群是不一樣的疾病,但是檢驗時發現兩個不同診斷的病 人卻有相同的 15 號染色體微小缺損。最有可能是什麼原因? (A)因為兩位患者在其他染色體上有不同的變化 (B)Prader-Willi 症候群患者之缺損染色體是遺傳自父親;Angelman 症候群患者之缺損染色體是遺傳自 母親 (C)偵測染色體缺損之技術不精確 (D)這兩個疾病和這個缺損的區域無關
4 下列何者不是臺灣目前新生兒篩檢有檢驗的項目? (A)先天性甲狀腺低功能症 (B)苯酮尿症 (C)乙型地中海型貧血 (D)甲基丙二酸血症(methylmalonic acidemia)
5 一位唐氏症(Down syndrome, trisomy 21)寶寶,經身體診查發現有收縮期心雜音(grade II/VI), 胸部 X 光片顯示心臟擴大,心電圖呈現兩心室肥大及向上之 QRS 軸向(superior QRS axis)。最可 能的先天性心臟病為何? (A)心內膜墊缺損(endocardial cushion defect) (B)第二型心房中隔缺損(secundum atrial septal defect) (C)主動脈幹(truncus arteriosus) (D)主動脈弓窄縮(coarctation of aorta)
6 下列心臟疾病之女性病患由於懷孕生產之危險性極高,應建議不要懷孕,但何種女性除外? (A)有厲害之肺高壓 (B)有厲害之主動脈瓣狹窄 (C)有 Marfan 症候群且主動脈根部大於 40 mm (D)曾接受過開心手術之法洛氏四重症
7 有關川崎症(Kawasaki disease)之敘述,下列何者錯誤? (A)亞洲國家(例如日本、臺灣、韓國等)發生率比歐美國家高 (B)目前病原尚不清楚 (C)急性期可能造成膽囊水腫(hydrops of gallbladder) (D)屢次復發會導致永久性心臟瓣膜病變
8 一位 8 個多月大的男嬰,因左前胸藍色腫瘤來診,病理顯示為類卡波西血管內皮細胞瘤(Kaposiform hemangioendothelioma),白血球數目(WBC count)為 8,700/mm3 ,血紅素濃度(Hb)為 10.5 g/dL, 血小板(platelets)數目為 32,000/mm3 ,其他理學檢查無異常;數天後男嬰身上發現出血點,且血小 板(platelets)數目降為 12,000/mm3 ,前凝血酵素時間(prothrombin time)及活化凝血酵素時間(partial thromboplastin time, PTT)皆延長,經檢查無感染或休克情況。病人最可能發生下列那一種情況? (A)免疫性紫斑症(immune thrombocytopenic purpura) (B)類過敏性紫斑症(Henoch-Schönlein purpura or anaphylactoid purpura) (C)Kasabach-Merritt 症候群 (D)腫瘤骨髓轉移
9 一位 9 歲男童因最近時常瘀青且臉色蒼白來就診,並有周邊血液白血球過高、貧血及血小板下降的 情況,周邊血液抹片如下,箭頭所指血球內含物為何?
(A)Basophilic stippling (B)Auer’s rod (C)Heinz body (D)Howell-Jolly body
10 有下列何種染色體異常的兒童急性骨髓性白血病的預後最差? (A)第 8 及 21 對染色體轉位;t(8;21) (B)第 16 對染色體倒位;inv(16) (C)第 15 及 17 對染色體轉位;t(15;17) (D)第 7 對染色體缺失;Del(7q), -7
11 一位 6 歲的女生,罹患彌漫增生型狼瘡性腎炎(diffuse proliferative lupus nephritis),已接受每天 30 mg 口服 prednisolone 2 個月,最近學校通知要施打疫苗(vaccination),下列何者易發生嚴重副作用, 不宜施打? (A)Haemophilus influenza type b conjugate vaccine (B)Influenza vaccine (C)Measles, mumps 及 rubella vaccine (D)Tetanus 及 diphtheria toxoid vaccine
12 甲型血友病(hemophilia A)病童未治療時,下列何種偵測結果為真? (A)白血球趨化作用(chemotaxis)異常 (B)hypoxanthine guanine phosphoribosyltransferase 缺乏 (C)第九因子缺乏(factor IX deficiency) (D)活化凝血酵素時間(partial thromboplastin time, PTT)延長
13 化膿性關節炎是兒科病人的急症之一,需要快速診斷及治療。下列那一種關節炎若未迅速診斷引流 與抗生素治療,易引起缺血性骨頭壞死(Avascular necrosis)? (A)Hip (B)Elbow (C)Knee (D)Ankle
14 在罹患性早熟的男童中,下列那一項的致病機轉與其他三項不同? (A) 21-羥酶缺乏所致先天性腎上腺增生(congenital adrenal hyperplasia due to 21-hydroxylase deficiency) (B)分泌人類絨膜性促素顱內腫瘤(HCG-secreting intracranial tumor) (C)腎上腺皮質腫瘤(Adrenocortical tumor) (D)腎上腺初徵提早出現(Premature adrenarche)
15 下列關於 JRA(Juvenile rheumatoid arthritis)三種 subtypes 的敘述,何者正確? (A)Pauciarticular onset 合併 uveitis 較常發生在女孩身上 (B)Polyarticular onset 是最常見的型態 (C)最常發作的年齡介於 4~6 歲間 (D)Polyarticular onset 流行率,男孩和女孩一樣多
16 關於幼兒持續性高胰島素症(hyperinsulinism)臨床表徵的敘述,下列何者錯誤? (A)低血糖時血清胰島素濃度大於 10 μU/mL(正常值 5-10 μU/mL) (B)血液酮體(ketone body)濃度高 (C)血清 C-peptide 值高 (D)於低血糖時施行升糖素刺激試驗(glucagon test),可使其血糖值上升 40 mg/dL 以上
17 10 歲大女童發生甲狀腺低能症,最常見的原因為: (A)橋本氏甲狀腺炎(Hashimoto thyroiditis) (B)手術後 (C)電療後(irradiation) (D)長期服用 lithium,amiodarone 等藥物
18 6 歲小孩 5 天來逐漸出現走路困難,手腳末端有麻木感,理學檢查發現顱神經正常,四肢肌力約為三 級(滿分五級),肌腱反射均降低。最近並無打過預防針,但 1 週前曾有輕微感冒症狀,並無服藥。 住院後脊髓液分析細胞數為 0,蛋白質 90 mg/dL,血中肌肉酵素檢查為正常。最可能的診斷為: (A)腦炎 (B)腦瘤 (C)Guillain-Barré 症候群 (D)多發性肌炎
19 下列那一種 autoimmune disease 最常見於第一型糖尿病(type 1 diabetes mellitus)病童? (A)Chronic lymphocytic thyroiditis (B)Celiac disease (C)Atrophic gastritis (D)Addison disease
20 12 歲小孩因頭痛、嘔吐 10 天未癒而接受腦部電腦斷層掃描(如圖,顯影後)。他的理學檢查最可能 會出現何種眼睛症狀?
(A)無法向內看 (B)無法向上看 (C)無法向下看 (D)無法適應光線強弱
21 下列何種神經皮膚症候群(neurocutaneous syndrome)之遺傳模式為偶發型(sporadic)? (A)Neurofibromatosis I(NF-I) (B)Tuberous sclerosis (C)Sturge-Weber syndrome (D)Von Hippel-Lindau disease
22 急性橫斷性脊髓炎最常出現病變之脊髓位置為何? (A)頸部 (B)胸部 (C)腰部 (D)薦部
23 一位 13 歲的男童這 2 週來有上眼皮浮腫、下肢水腫現象,體重增加 5 公斤。男童過往無類似病史。 尿液常規檢查發現 Protein >300 mg/dL; WBC 0-2/HPF; RBC 0-2/HPF。血中的血清白蛋白值為 0.9 g/dL。 下列相關處置或敘述,何者錯誤? (A)不需先作切片診斷,可直接使用類固醇治療,治療無效再作腎切片 (B)連續使用 6 週之每日類固醇治療比連續使用 4 週之每日類固醇治療的疾病復發率低 (C)利尿劑有可能會增加血栓併發症(thromboemboli complication)的可能性 (D)對類固醇倚賴(steroid dependent)是指在類固醇改隔日劑量時或停用 28 日內復發
24 一位 8 歲男童主訴自 1 週前開始有紅棕色尿。兩週前他有輕微的上呼吸道感染,但是過去兩週當中 他沒有發燒、咳嗽、腹痛或腰痛的症狀。實驗室檢查發現他有輕微貧血(血色素值 10.5 g/dL)。尿 液常規檢查顯示 Occult blood 強陽性(4+);Protein >300 mg/dL; WBC 50-100/HPF; RBC 100-150/HPF。血 中 C3 補體下降、C4 正常。下列何者為最可能之診斷? (A)B 型肝炎相關之膜性腎病變(hepatitis B associated membranous nephropathy) (B)IgA 腎炎(IgA nephropathy) (C)泌尿道感染(urinary tract infection) (D)鏈球菌感染後之急性腎炎(poststreptococcal glomerulonephritis)
25 (A)14.2 mmol/L (B)11 mmol/L (C)18 mmol/L (D)數據不足,無法計算
26 承上題,若其進一步診斷為第一型腎小管酸血症(Type I renal tubular acidosis),女童可能會有下列 何種臨床或實驗室表現? (A)女童的腎超音波可能會有腎鈣化(nephrocalcinosis) (B)女童會有高血氨症(hyperammonemia) (C)女童的尿液 anion gap 值會呈現負值 (D)小便的 pH 值會<5.5
27 一位 12 歲男童主訴過去半年來一再有腹痛發作。其父親、祖父及外祖父過去均有消化性潰瘍之病史。 男童父母強烈要求你為男童作檢查是否有消化性潰瘍。下列何項檢查最能確定男童是否有幽門螺旋 菌所致之消化性潰瘍? (A)檢查糞便是否有該菌之抗原 (B)內視鏡檢查並作胃生檢 (C)氫氣呼氣試驗 (D)檢測血清中該菌之抗體
28 一位 12 歲男童主訴突發性腹痛及輕微發燒,理學檢查發現腹部壓痛明顯(guarding)。生化檢查顯 示血清澱粉酶(amylase)為 620 U/L。為了確定診斷,你下一步應作下列何項檢測? (A)再測一次血清澱粉酶 (B)糞便脂肪(fecal fat) (C)血糖(blood sugar) (D)血清解脂酶(lipase)
複選題
29 一位 1 歲小男孩被父母帶至急診,家屬陳訴小孩過去都還好,昨天開始會一陣一陣哭鬧不安,並有 嘔吐的情形,打開尿布發現有紅色黏液狀糊便,下列那一項為最適當的處置? (A)給抗生素治療 (B)作大便培養並住院治療 (C)作腹部超音波檢查 (D)打點滴並在急診室留觀
30 一位 3 歲男童因為持續咳嗽 3 週與發燒 1 週就診,有時會因為劇烈咳嗽而引起嘔吐,身體檢查發現 右側結膜炎並有些分泌物,肺部聽診雙側有細囉音(fine crackles)。下列那一項是最可能的病原? (A)流感 (B)百日咳 (C)黴漿菌 (D)腺病毒
31 下列那一項不是腸病毒七十一型重症病患的特點? (A)容易侵犯腦幹部位 (B)死亡病例九成以上有病毒性心肌炎 (C)大多表現為手足口病 (D)致命病例常出現肺水腫
32 (A)口服 azithromycin 10 mg/kg/day QD (B)靜脈注射 oxacillin 100 mg/kg/day Q6H (C)ofloxacin 耳部滴劑 (D)靜脈注射含有 amoxicillin 100mg/kg/day 的 amoxicillin-clavulanic acid Q8H
33 承上題,下列那一項檢查最有助於診斷? (A)電腦斷層檢查 (B)Bartonella henselae 抗體檢驗 (C)IgG、IgA、IgM 檢驗 (D)咽部細菌培養
34 (A)contact dermatitis (B)seborrheic dermatitis (C)asteatotic dermatitis (D)stasis dermatitis
35 承上題,該患者最適當的處置不包括下列何項? (A)塗抹凡士林 (B)塗抹含尿素的軟膏 (C)塗抹類固醇軟膏 (D)浸泡稀釋的優碘藥水
36 關於異位性皮膚炎(atopic dermatitis)的敘述,何者錯誤? (A)皮膚的屏障功能(skin barrier function)會降低 (B)在成人的病灶好發於四肢伸側(extensor)部位 (C)患者易伴隨金黃色葡萄球菌皮膚感染 (D)大部分患者血清 IgE 值升高
37 (A) Scabies (B)Staphylococcal infection (C)Pediculosis corporis (D)Demodicidosis
38 承上題,關於給予該孩童的衛教與處置,下列何項不適當? (A)給予 γ-benzene hexachloride 外用藥 (B)給予 crotamiton 外用藥 (C)給予 permethrin 外用藥 (D)衣物與床單以 60℃熱水煮過
39 一位 67 歲男性,從兩年前開始在右臉上出現大片凹陷性的斑塊(depressed plaque),且其中合併許 多小塊的深色區域。皮膚切片檢查顯示硬斑型基底細胞癌(morpheaform basal cell carcinoma)。最適 當的治療方式是: (A)雷射手術 (B)冷凍治療(cryosurgery) (C)電燒手術(electrosurgery) (D)莫氏手術(Mohs micrographic surgery)
40 一位 80 歲男性,自三年前在腳底長出如圖所示的皮膚病灶,最可能的診斷為:
(A)黑色素細胞痣(melanocytic nevus) (B)黑色素細胞瘤(melanoma) (C)卡波西氏肉瘤(Kaposi’s sarcoma) (D)基底細胞瘤(basal cell carcinoma)
41 一位 20 歲女性,主訴最近數週兩側臉頰有紅斑,陽光曝曬後症狀會加劇,合併有口腔潰瘍及手指關 節腫痛,實驗室檢查發現 anti-nuclear antibody 抗體價為 1:1280 (+),anti-ds DNA 抗體價為 1:20 (+), 此病人的診斷為: (A)全身性紅斑性狼瘡(systemic lupus erythematosus) (B)硬皮症(scleroderma) (C)多形性紅斑(erythema multiforme) (D)皮肌炎(dermatomyositis)
42 一位 25 歲女性,於七年前小腿出現多處疼痛的紅色結節,而在二年前開始於陰唇部位出現劇痛性潰 瘍,患者也經常出現口腔潰瘍,曾因虹彩炎(uveitis)在眼科就診。這位患者最有可能之診斷為何? (A)疤痕性類天疱瘡(cicatricial pemphigoid) (B)克隆氏病(Crohn’s disease) (C)貝塞特氏病(Behçet’s disease) (D)多形性紅斑(erythema multiforme)
43 一位 20 歲男性,最近數月有反覆性腹部絞痛(colic pain),理學檢查發現嘴唇、口腔黏膜及手指、掌 處有黑色素斑,如圖所示。消化道內視鏡檢查發現有多處息肉,針對此一疾病,下列敘述何者正確? (A)息肉好發於空腸(jejunum) (B)息肉有超過 50%會轉為惡性 (C)最常合併的惡性腫瘤為胃癌 (D)為體染色體隱性遺傳疾病
44 一位 50 歲男性,這十年來在軀幹及四肢長出如圖所示的紅色斑塊,病灶上可見銀白色極厚的鱗屑, 以外力撥開時出現小出血點。最可能診斷是:
(A)尋常性魚鱗癬(ichthyosis vulgaris) (B)扁平苔癬(lichen planus) (C)尋常性乾癬(psoriasis vulgaris) (D)尋常疣(verruca vulgaris)
45 下列何者為重症肌無力(myasthenia gravis)最常見之臨床症狀? (A)diaphragmatic weakness (B)ocular muscle weakness (C)dysphagia (D)wrist drop
46 下列關於威爾遜氏病(Wilson’s disease)治療的敘述,何者正確? (A)所有的病人都會在開始治療後惡化 (B)在整個療程中,飲食可以不必忌諱含銅食物 (C)在以 D-penicillamine 治療初期患者對藥過敏時,可重新減量或合併 prednisolone 之使用 (D)所有的病人都可使用 D-penicillamine 治療而得改善
47 下列關於癲癇失神型小發作(absence, petit mal)的敘述,何者最正確? (A)首次發作通常發生於 15 歲到 20 歲之間 (B)發作中不會有自動症(automatism) (C)發作時腦電圖(EEG)呈現局部性棘波(focal spikes) (D)過度換氣(hyperventilation)會引起發作
48 一般認為 Alzheimer’s disease 主要是因何種神經傳導物質(neurotransmitter)減少所致? (A) dopamine (B)serotonin (C)acetylcholine (D)norepinephrine
49 3 歲小孩在定期健康檢查時,聽到心雜音,強度 II/VI,位於胸骨緣左側中間之短暫收縮期雜音。該 雜音並未輻射至頸部,沒有震顫(thrill),小孩過去無重大病史,身高及體重在五十百分位,生長 發育正常,血壓 90/70 mmHg。脈搏 84 次/分,且規律,其它理學檢查均正常。接下來該如何處置? (A)立即照會小兒心臟科醫師 (B)不要告訴小孩的母親有關心雜音的事,以免引起緊張 (C)告訴小孩的母親,這種心雜音在小孩很常見,定期觀察追蹤即可 (D)告訴小孩的母親,所有的心雜音都必須進一步做心臟超音波檢查
50 24 歲女性這 3 星期斷斷續續出現複視症狀,用餐一段時間後會覺得咀嚼無力及吞嚥困難,必須休息 半小時才能繼續用餐,今天因為呼吸困難至急診室就診,下列有關的敘述,何者較適當? (A)此病在冬季時會更加嚴重 (B)若欲快速診斷,使用 pyridostigmine 試驗會比 edrophonium 試驗為佳 (C)若病患罹患急性腎盂炎時,可給予 gentamicin (D)使用藥物治療中的病患,若出現流涎、喘鳴呼吸音(wheezing)、緩脈(bradycardia)時可用 atropine 治療
51 一位 39 週新生女嬰兒,出生體重為 2400 公克,身長為 47 公分,頭圍為 33 公分。根據所附的胎兒 成長曲線,下列那一項敘述最可能是這嬰兒的特色?
(A)胎兒後期生長遲滯 (B)嬰兒生長潛力較低 (C)可能有染色體異常 (D)可能有先天性感染
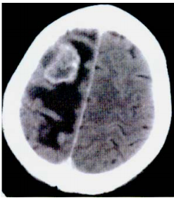
52 65 歲女性,十天來逐漸發生左側肢體無力,講話困難。根據此注射含碘顯影劑 CT 影像,最可能的 診斷是:
(A) Acute infarction with hemorrhage(hemorrhagic infarction) (B)Acute infarction with gyral pattern enhancement (C)Metastasis (D)High grade astrocytoma
53 (A)亨丁頓氏舞蹈症(Huntington’s chorea) (B)辛登南氏舞蹈症(Sydenham’s chorea) (C)高甲狀腺性舞蹈症 (D)中風性半邊舞蹈症
54 承上題,最有診斷價值的檢查是: (A)腦部核磁共振造影(magnetic resonance imaging) (B)腦波(electroencephalogram) (C)抗鏈球菌溶血素 O 抗體(anti-streptolysine O, ASLO) (D)腦脊髓液(cerebrospinal fluid)
55 郭先生今年 56 歲,半年前開始肌肉逐漸萎縮無力,先是從手掌開始,然後漸漸擴展到上臂,接著兩 下肢也受到侵犯。理學檢查發現四肢肌肉萎縮;但肌腱反射反而增強,下顎反射(jaw jerk)也增強; 另外,肌肉偶爾會有小小的不規則跳動,到處都有,連舌頭也會。說話時有一點鼻音,喝水偶爾會 嗆到。感覺系統則沒有任何異常。郭先生最有可能罹患下列那一項疾病? (A)肌萎縮脊髓側索硬化症(amyotrophic lateral sclerosis) (B)慢性發炎性脫髓鞘型多發神經病變(chronic inflammatory demyelinating polyneuropathy) (C)多發性硬化症(multiple sclerosis) (D)脊髓空洞症(syringomyelia)
56 26 歲女性病人,間歇性頭痛已有 3 年,尤其在月經來之前更容易發生;頭痛之前常有眼前黑影的現 象大約持續 5 至 10 分鐘,頭痛的位置以右眼窩後面最嚴重,有脈搏跳動感,同時有畏光的現象,通 常痛一整天,到隔天睡醒才會好;門診理學檢查無異常之發現。此病人最可能患有: (A)右眼球後腫瘤 (B)偏頭痛 (C)鼻竇炎 (D)右側內頸動脈狹窄
57 一位 19 歲男性,早上全身無力被送至急診。病人過去沒有肌肉無力的病史,且前一天晚上在同學的 生日會上還可跳舞,吃了很多蛋糕也都沒有嗆到;雖然最近食量大增,體重也沒有增加。參加宴會 的其他人及家人也都沒有肌肉無力的症狀,病人的肌腱反射下降,感覺系統則正常。下列那一個器 官的功能異常與病人的症狀最相關? (A)甲狀腺 (B)胸腺 (C)腎上腺皮質 (D)肝臟
58 視丘性疼痛症候群(thalamic pain syndrome)不常伴隨下列何症狀? (A)半側偏盲(homonymous hemianopia) (B)分離性感覺喪失(dissociated sensory loss) (C)偏癱(hemiplegia) (D)半側感覺喪失(hemihypesthesia)
59 楊小姐今年 27 歲,最近每天晚上服用巴比妥鹽類藥物(Barbiturate)幫助睡覺,幾天之後開始肚子 劇痛,且偶爾會有幻覺產生,今天因為癲癇發作而被送至急診。她的血壓 172/116 mmHg、心跳每分 鐘 134 次,一直喊肚子痛;兩腳不斷的踢來踢去掙扎,但兩手卻垂在床緣不太會動。楊小姐接受了 腹部超音波、腹部電腦斷層、腦脊髓液檢查都完全正常,但神經傳導速度檢查顯示週邊神經有明顯之 軸突病變(axonopathy)。家屬表示楊小姐的媽媽也曾經因為吃巴比妥鹽類藥物而產生類似的症狀。 下列何者診斷最有可能? (A)蜱麻痺(tick paralysis) (B)混合型冷凝蛋白血症(mixed cryoproteinemia) (C)急性發炎性脫髓鞘型多發神經病變(acute inflammatory demyelinating polyneuropathy) (D)紫質症(porphyria)
60 Wallenberg’s 症候群最常發生於下列那一條動脈阻塞? (A) Middle cerebral artery (B)Anterior inferior cerebellar artery (C)Posterior inferior cerebellar artery (D)Superior cerebellar artery
61 下列關於抗精神病藥物的敘述,何者錯誤? (A) Clozapine 可用以治療其他抗精神病藥療效不佳的患者 (B)Aripiprazole 為多巴胺的部分作用劑(dopamine partial agonist) (C)Risperidone 比起 clozapine 更易引起癲癇 (D)第二代抗精神病藥比傳統抗精神病藥較易引起代謝症候群(metabolic syndrome)
62 根據佛洛依德的心性發展(psychosexual development)理論,在 3~5 歲的幼童處於那一個發展階段? (A)口慾期(oral stage) (B)肛門期(anal stage) (C)性蕾期(phallic stage) (D)潛伏期(latency stage)
63 用以治療廣泛性焦慮症(generalized anxiety disorder)之抗焦慮藥物中,buspirone 之主要藥理作用機 轉為下列何者? (A)血清素 1A受體部分作用劑(5HT1A receptor partial agonist) (B)血清素 1A受體拮抗劑(5HT1A receptor antagonist) (C)血清素 2A受體部分作用劑(5HT2A receptor partial agonist) (D)血清素 2A受體拮抗劑(5HT2A receptor antagonist)
64 治療創傷後壓力症候群(posttraumatic stress disorder)的第一線用藥,下列何者最適合? (A)苯二氮平類藥物(benzodiazepines, BZDs) (B)三環類抗鬱劑(tricyclic antidepressants, TCAs) (C)選擇性血清素再吸收抑制劑(selective serotonin reuptake inhibitors, SSRIs) (D)單胺氧化酶抑制劑(monoamine oxidase inhibitors, MAOIs)
65 下列何種精神疾患與自殺的關聯性最高? (A)精神分裂症 (B)失智症 (C)情感性疾患 (D)強迫症
66 (A)情緒低落症(dysthymic disorder) (B)強迫症(obsessive compulsive disorder) (C)雙極性疾患(bipolar disorder) (D)創傷後壓力症候群(posttraumatic stress disorder)
67 承上題,如果你是她的門診醫師,下列那種處置最為適當? (A)立即給予抗精神病藥以防病情惡化 (B)建議個案立即接受精神分析導向心理治療以求改變其人格 (C)給予抗憂鬱劑,並輔以短期之抗焦慮劑治療以期症狀之改善 (D)給予鋰鹽(lithium)治療
68 王小弟今年 8 歲,從小好動,連看卡通也坐不住,5 歲上幼稚園,上課時老是作弄同學,下課時常推 倒同學,7 歲上小學,上課仍無法專心、愛講話,並開始出現頻頻眨眼、乾咳、清喉嚨的現象,3 個 月前由老師建議去求診,醫師處方 ritalin-SR,王小弟上課的規矩明顯改善,功課進步,同學關係較 少衝突,但最近 1 個月,王小弟卻常常出現不自主扮鬼臉抽搐的現象,又惹得同學不時譏笑,王小 弟因此常常氣得哭了,王小弟最可能的診斷是什麼?①妥瑞氏症(Tourette’s Disorder) ②慢性運動 或語言抽搐症(chronic motor or vocal tic disorder) ③強迫症(obsessive-compulsive disorder) ④注 意力不足症(attention-deficit disorder) (A)①③ (B)②④ (C)①④ (D)③④
69 有關鴉片類成癮(opioid dependence)治療之敘述,何者錯誤? (A)美沙冬(methadone)戒斷症狀較輕微,過量也不會抑制呼吸 (B)丁基原啡因(buprenorphine)可減弱或阻斷海洛因及嗎啡的作用,且可帶回家自行服用 (C)臨床上已不再使用 levomethadyl 是因為可能引起心電圖 QT 間隔延長及 Torsades de pointes (D)Naltrexone 可阻斷欣快感而減少病患尋求海洛因之行為,但較缺乏使病患願意連續使用之機制
70 一位 18 歲高中畢業生,自小朋友很少且獨來獨往,功課普通可符合學校要求,對於天文學非常投入, 有超乎同儕的天文常識,只要上課提及天文學可以侃侃而談,但他因為人際關係差,以致於難以就 業。此個案最可能的診斷是: (A)智能發展障礙(mental retardation) (B)社交畏懼症(social phobia) (C)亞斯伯格症(Asperger’s disorder) (D)類精神分裂人格障礙症(schizoid personality disorder)
71 一位 40 歲男性患者被家人送至精神科就醫,據家人描述患者近 1 個月心情沮喪、焦慮,失眠、坐立 難安。其胃口也明顯變差,體重減輕 5 公斤,時時感到疲倦,提不起勁,雖可勉強上班,但曾多次 提及輕生意念,經常感到無助、無望。此患者之臨床診斷最有可能為下列何者? (A)廣泛性焦慮症(generalized anxiety disorder) (B)恐慌症(panic disorder) (C)重度憂鬱症(major depressive disorder) (D)慮病症(hypochondriasis)
72 下列何者不屬於酒精戒斷症候群的可能表徵? (A)幻覺 (B)癲癇發作 (C)焦慮 (D)縮瞳
73 隨著老年人口之增加,失智症(dementia)之患者已越來越多,下列有關失智症之預後及治療之敘述, 何者正確? (A)與較早發作之阿茲海默症相比,較晚發作之阿茲海默症之病程惡化速度較快 (B)腦外傷及心跳停止所引起之失智症,其病程是漸進性地惡化 (C)失智症患者在病發之前的智力及教育程度較高者,其較能補償失智症所引起之智力缺損 (D)對於血管性失智症之血壓控制,通常控制在比正常範圍稍低一些,以免繼續惡化腦血管疾病
74 一位 46 歲男性,因酒精性肝炎住院,個案已酒精依賴超過 20 年,每天約飲 2 瓶高梁酒,住院當時仍 有酒味。住院第一天晚上抱怨入睡困難且出現手抖、冒冷汗、心悸與坐立難安,下列敘述何者正確? (A)第一線用藥為抗精神病劑 (B)投以 benzodiazepine,但此藥非以改善睡眠為主要標的 (C)投以 non-benzodiazepine 的安眠藥以改善睡眠 (D)不得給予抗癲癇藥物 carbamazepine
75 王君,男性 25 歲,第一次搭摩天大樓的電梯時,恐慌發作,以後王君不敢再搭任何密閉式電梯,但 王君搭飛機來往國內外多趟,並未發生恐慌發作,也可勝任密閉式實驗室的工作,逛百貨公司搭扶 手電梯也都沒有問題。王君最適合的診斷是什麼? (A)恐慌症(panic disorder) (B)懼高症(acrophobia) (C)電梯畏懼症(specific phobia of elevator) (D)懼曠症(agoraphobia)
76 5 歲男童有心雜音,MRA(Magnetic resonance angiography)如圖示,則最正確的診斷應為:
(A)主動脈弓窄縮(coarctation of aorta) (B)主動脈瓣狹窄(aortic stenosis) (C)主動脈瓣閉鎖不全(aortic regurgitation) (D)主動脈剝離(aortic dissection)
77 下列關於胎兒磁振造影的敘述,何者錯誤? (A)胎兒磁振造影不適用顯影劑 (B)胎兒磁振造影不適合應用於胎兒體部的異常偵測 (C)懷孕前期 3 個月胎兒不適合施行胎兒磁振造影 (D)目前關於高磁場與噪音對於胎兒的影響仍有疑慮
78 (A)硬腦膜下出血 (B)腦膜腦炎 (C)蜘蛛膜下出血 (D)腦部血管炎合併出血
79 承上題,該醫師同時以眼底鏡檢查眼底顯示如附圖,下列敘述何者正確?
(A)該嬰兒眼底呈現多處血管瘤,應考慮腦內也有血管瘤(Von-Hippel Lindau Disease)導致顱內出血 (B)該嬰兒呈現視網膜出血,應考慮凝血異常疾病 (C)應通報 113 家庭暴力防治中心懷疑兒童受虐 (D)該嬰兒眼底呈現視網膜血管炎現象,應考慮自體免疫疾病合併腦部血管炎
80 單親媽媽阿慧的小兒子瑞祺(4 歲)罹患遺傳性大腦白質硬化症(adrenoleukodystrophy,以下簡稱 ALD)癱瘓在床,由於數年前瑞祺的哥哥因罹患同樣疾病過世,故阿慧知悉此病除骨髓移植外,沒 有其他治本療法,且即便移植成功,先前不可逆的病變也無法回復。 眼見愛子來日無多,阿慧決定攜子返家,以溫暖家居生活伴其度過生命中最後一段旅程,為控制疾 病所帶來的疼痛與不適,瑞祺的主治醫師羅醫師提供一套自主式疼痛控制系統,教導阿慧使用方式 及劑量,交談過程中,阿慧數次向羅醫師吐露以藥物協助兒子快速、平靜死亡的想法,羅醫師於是 在解說當中,另悄悄透露麻醉藥劑致死劑量之多寡。 出院數日後,無法忍受再見到瑞祺痛苦難耐景象的阿慧,終於選擇為兒子施打致死劑量的麻醉藥, 讓瑞祺永遠脫離 ALD 的折磨。 在上述的事例中,羅醫師的行為可能違反了那一項倫理原則? (A)行善原則,因為他沒有將瑞祺轉介給專業的安寧療護人員,且讓阿慧孤單無依地作決定 (B)尊重自主原則,因為他沒有尊重瑞祺本人的意願 (C)正義原則,因為羅醫師的行為等於是間接殺人 (D)不傷害原則,因為生命至高無上,絕對不可以剝奪
申論題 (0)
相關試卷
115年 - 115-1 專技高考_醫師(二):醫學(四)(包括小兒科、皮膚科、神經科、精神科等科目及其相關臨床實例與醫學倫理)#137336
115年 · #137336
114年 - 114 專技高考_醫師(二):醫學(四)(包括小兒科、皮膚科、神經科、精神科等科目及其相關臨床實例與醫學倫理)#127921
114年 · #127921
114年 - 114-1 專技高考_醫師(二):醫學(四)(包括小兒科、皮膚科、神經科、精神科等科目及其相關臨床實例與醫學倫理)#125091
114年 · #125091
113年 - 113-2 專技高考_醫師(二):醫學(四)(包括小兒科、皮膚科、神經科、精神科等科目及其相關臨床實例與醫學倫理)#120661
113年 · #120661
113年 - 113-1 專技高考_醫師(二):醫學(四)(包括小兒科、皮膚科、神經科、精神科等科目及其相關臨床實例與醫學倫理)#118722
113年 · #118722
112年 - 112-2 專技高考_醫師(二):醫學(四)(包括小兒科、皮膚科、神經科、精神科等科目及其相關臨床實例與醫學倫理)#114975
112年 · #114975
112年 - 112-1 專技高考 _醫師(二):醫學(四)(包括小兒科、皮膚科、神經科、精神科等科目及其相關臨床實例與醫學倫理)#113170
112年 · #113170
111年 - 111-2 專技高考_醫師(二):醫學(四)(包括小兒科、皮膚科、神經科、精神科等科目及其相關臨床實例與醫學倫理)#108728
111年 · #108728
111年 - 111-1 專技高考_醫師(二):醫學(四)(包括小兒科、皮膚科、神經科、精神科等科目及其相關臨床實例與醫學倫理)#106182
111年 · #106182
110年 - 110-2 專技高考_醫師(二):醫學(四)(包括小兒科、皮膚科、神經科、精神科等科目及其相關臨床實例與醫學倫理)#99891
110年 · #99891