所屬科目:G
40 70 歳の女性。けいれんのため搬入された。意識レベルは JCSⅡ- 10。体温 36.8 ℃。脈拍 98/分、整。血圧 138/86 mmHg。呼吸数 16/分。SpO2 96 %(room air)。 対光反射と眼球運動とに異常を認めない。左上下肢の不全麻痺を認める。来院時の 頭部 MRI の FLAIR 像(別冊No. 1A)と塞栓術のために施行した外頸動脈造影の写 真(別冊No. 1B)とを別に示す。 診断として考えられるのはどれか。 (A) 髄膜腫 (B) 胚細胞腫 (C) 神経膠腫 (D) 悪性リンパ腫 (E)転移性脳腫瘍
41 32 歳の初産婦。妊娠 33 週。胎児超音波検査で異常を指摘されたため来院した。 胎児 MRI の T2 強調像(別冊No. 2)を別に示す。 この胎児で異常があると考えられる部位はどれか。 (A) 肺 (B) 心 臓 (C) 横隔膜 (D) 腹 壁 (E)脊 椎
46 53 歳の女性。会社の健康診断で心雑音を指摘され来院した。脈拍 72/分、整。血 圧 132/60 mmHg。胸骨左縁第肋間を最強点とするⅡ/Ⅵ度の拡張期雑音を聴取 する。カラードプラ心エコー図(別冊No. 3)を別に示す。 この疾患で拡張期雑音を聴取しやすくするための手法はどれか。 (A) 過換気にさせる。 (B) 下肢を挙上させる。 (C) 右側臥位にさせる。 (D) 頸動脈洞マッサージを行う。 (E)座位で上半身を前傾させる。
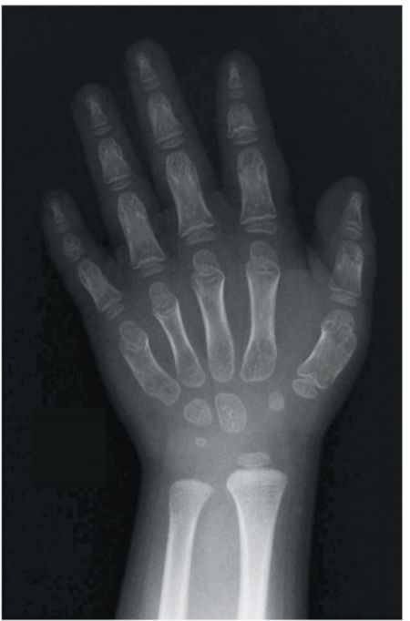
51 歳の男児。背が低いことを心配した母親に伴われて来院した。幼稚園では他の 児に比べて少し背が低い程度であったが、最近、小学校の同級生との身長差が徐々 に拡大してきているという。在胎 38 週、体重 2,780 g、骨盤位で出生した。母子 健康手帳によると、出生時身長 49.0 cm、Apgar スコア点(分)であった。小 学校の成績は普通で、家族歴に特記すべきことはない。意識は清明。活気はある。 身長 106.3 cm(安2.6 SD)、体重 21.0 kg(安0.5 SD)。外表奇形や四肢短縮を認め ない。血液生化学所見:TSH 1.1 μU/ml(基準 0.44〜4.1)、FT3 3.0 pg/ml(基準 2.5〜4.5)、FT4 1.2 ng/dl(基準 0.8〜2.2)。手エックス線写真(別冊No. 4)を別に 示す。 現時点の対応で適切なのはどれか。 (A) 染色体検査を行う。 (B) 心配ないと説明する。 (C) 年後の再診を指示する。 (D) アルギニン負荷試験を行う。 (E)血中ビタミン D 濃度を測定する。
64 喫煙歴を考慮し、呼吸機能検査を実施した。結果を表示するための図を示す。 この患者の検査結果が含まれる領域として予測されるのはどれか。 (A) ①又は② (B) ①又は③ (C) ①又は④ (D) ②又は③ (E)②又は④