所屬科目:G
4 妊娠初期の経腟超音波像別冊No. 1 ①〜⑤を別に示す。 分娩予定日を決定するために有用な計測部位はどれか。 (A)① (B) ② (C)③ (D) ④ (E)⑤
15 手の写真別冊No. 2を別に示す。 この症候を呈するのはどれか。 (A)肺 癌 (B) 結核腫 (C)胸腺腫 (D) 肺分画症 (E)自然気胸
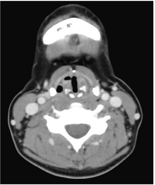
26 頸部造影 CT別冊No. 3を別に示す。 このスライスレベルで確認できないのはどれか。 (A)喉 頭 (B) 甲状腺 (C)外頸静脈 (D) 総頸動脈 (E)胸鎖乳突筋
32 眼位および眼球運動の診察を行っている。方向の眼位別冊No. 4を別に示す。 診断はどれか。 (A)外転神経麻痺 (B) 滑車神経麻痺 (C)顔面神経麻痺 (D) 三叉神経麻痺 (E)動眼神経麻痺
35 法医解剖開始時に撮影した背部の写真(別冊No. 5)を別に示す。 紫赤色を呈する部分について正しいのはどれか。2つ選べ。 (A)死の確徴である。 (B) 皮下出血である。 (C)急死の場合には発現が弱い。 (D) 死後経過時間推定に利用される。 (E)腹臥位で死亡したことを示している。
41 38 歳の女性。子宮頸部の細胞診で異常を指摘されたため来院した。初経 12 歳。 月経周期 28 日、整。内診で子宮は前傾前屈で正常大である。両側付属器は触知し ない。腟鏡診で分泌物は褐色少量である。コルポスコピィの写真別冊No. 6を別 に示す。 次に行う検査はどれか。 (A)骨盤部 MRI (B) 子宮内膜組織診 (C)血中 SCC 値測定 (D) 子宮頸部狙い組織診 (E)腟分泌物の細菌培養
42 58 歳の男性。右中咽頭癌で放射線化学療法のため入院中である。終了予定線量 66 GyGy/日で放射線治療を開始したが、40 Gy 照射した時点で口腔内の痛み のため食事の摂取が困難になった。便通は正常である。栄養サポートチーム ÎNST×に相談して食事形態の見直しと十分な痛管理とを行ったが改善しない。 身長 172 cm、体重 56 kg。脈拍 84/分、整。血圧 134/80 mmHg。口腔内の写真別 冊No. 7を別に示す。 最も適切な対応はどれか。 (A)胃瘻を造設する。 (B) 腸瘻を造設する。 (C)末Ó静脈栄養を行う。 (D) 経鼻経管栄養を行う。 (E)中心静脈栄養を行う。
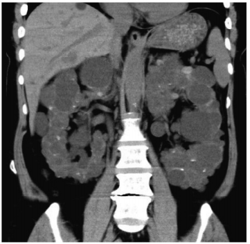
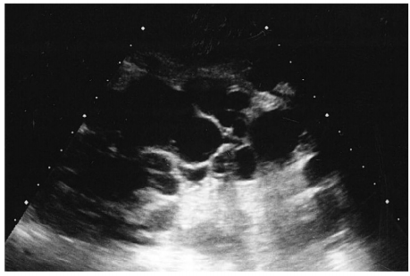
44 32 歳の女性。腹部膨満感を主訴に来院した。母親が慢性腎不全で血液透析を受 けている。両側季肋部から両側側腹部に腫瘤を触知し、軽度の圧痛を認める。血圧 146/92 mmHg。尿所見:蛋白案、潜血 安。血液生化学所見:尿素窒素 20 mg/dL、クレアチニン 1.2 mg/dL。左の側腹部の腹部超音波像別冊No. 8Aと腹 部 CT の冠状断像別冊No. 8Bとを別に示す。 次に行うべき検査はどれか。 (A)腎生検 (B) 頭部 MRA (C)排泄性尿路造影 (D) 下部消化管内視鏡 (E)ガリウムシンチグラフィ
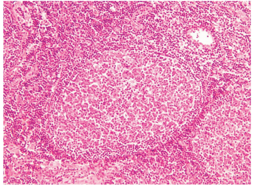
50 42 歳の男性。頸部のリンパ節腫大を主訴に来院した。数年前から風邪をひきや すいと感じていた。年前から両側の頸部にリンパ節腫大を自覚していた。自宅近 くの医療機関を受診したところ、右頸部リンパ節の生検で悪性腫瘍が疑われたため 紹介されて受診した。両側の頸部に径cm のリンパ節を数個触知する。右頸部に 生検跡を認める。両側の腋窩に径cm のリンパ節を個触知する。脾を左肋骨弓 下にcm 触知する。血液所見:赤血球 302 万、Hb 9.2 g/dL、Ht 30 %、白血球 30,500桿状核好中球%、分葉核好中球%、単球%、リンパ球 88 %、血小板 19 万。リンパ節生検組織の H-E 染色標本別冊No. 9を別に示す。 この患者のリンパ節の触診所見として最も考えられるのはどれか。 (A)(B)(C)(D)(E)
52 88 歳の女性。発熱、咳、痰および呼吸困難を主訴に来院し、胸部エックス線写 真と胸部 CT とで特発性間質性肺炎の急性増悪と気道感染症の合併が疑われて入院 した。症状は抗菌薬と副腎皮質ステロイドとの投与を受けて軽快した。入院後 10 日に、体温 37 ℃台の発熱があり、咳嗽も増悪した。胸部エックス線写真で両側肺 野の浸潤影と網状影とを認めたため抗菌薬を変更し、副腎皮質ステロイドの投与を 続けたが奏効せず、呼吸不全で入院後 23 日に死亡した。死因や肺病変の診断を目 的に病理解剖を行った。病理解剖の肺組織の H-E 染色標本別冊No. 10A、Bを 別に示す。 診断として考えられるのはどれか。 (A)肺結核症 (B) 肺ムーコル症 (C)ニューモシスチス肺炎 (D) 肺クリプトコックス症 (E)サイトメガロウイルス肺炎
65 薬剤を中止したところ状態は改善した。 今回の経過に関連したのはどれか。 (A)薬物相互作用 (B) 薬物排泄の低下 (C)薬物代謝の低下 (D) 薬物吸収の低下 (E)服薬アドヒアランスの低下 29 DKIX-01-GH-35
69 喫煙の肺癌に対する影響について調べるために、男性地域住民 3,000 人から構成 されるコホート集団を 10 年間にわたり観察し、表のような結果が得られた。 この集団における喫煙の肺癌に対する人口寄与危険度割合を求めよ。 ただし、小数第位以下の数値が得られた場合には、小数第位を四捨五入する こと。