阿摩線上測驗
登入
首頁
>
牙醫學(四)(包括口腔顎面外科學、牙科放射線學等科目及其相關臨床實例與醫學倫理)
> 102年 - 102-1 專技高考_牙醫師(二):牙醫學(四)(包括口腔顎面外科學、牙科放射線學等科目及其相關臨床實例與醫學倫理)#35975
102年 - 102-1 專技高考_牙醫師(二):牙醫學(四)(包括口腔顎面外科學、牙科放射線學等科目及其相關臨床實例與醫學倫理)#35975
科目:
牙醫學(四)(包括口腔顎面外科學、牙科放射線學等科目及其相關臨床實例與醫學倫理) |
年份:
102年 |
選擇題數:
80 |
申論題數:
0
試卷資訊
所屬科目:
牙醫學(四)(包括口腔顎面外科學、牙科放射線學等科目及其相關臨床實例與醫學倫理)
選擇題 (80)
1.下列何種神經傷害預後最差? (A)植牙造成 neurapraxia (B)手術造成 axonotmesis (C)拔智齒時造成 neurotmesis (D)手術傷口腫脹壓迫造成 dysesthesia
2.下列敘述何者錯誤? (A)疤痕組織摸起來硬硬的,是因為缺乏彈性纖維的關係 (B)為了減少三度燒傷所引起的疤痕攣縮,可以皮膚移植改善 (C)異物與壞死組織的存在、傷口缺氧、傷口張力太大都會干擾傷口癒合 (D)表皮化的過程中,當一端的表皮細胞接觸另一端的表皮細胞即停止migration的現象稱為air inhibition
3.關於肝炎病毒的敘述,下列何者錯誤? (A)A型肝炎通常經由糞口傳染 (B)B型及D型肝炎為體液傳染 (C)以75%酒精擦拭器械,可有效抑制B型肝炎病毒 (D)感染B型肝炎病毒者可在其唾液中發現病毒
4.頸部淋巴廓清術後頸部傷口產生之死腔(dead space)處理,下列何者較不適當? (A)可以放置引流管(drain) (B)填塞混有四環黴素藥膏之碘仿紗布,以免感染,再逐日抽出 (C)傷口應逐層緊密縫合,縫合前應徹底做好止血工作 (D)可以在傷口外,以紗布做壓迫性敷料使用(compression dressing)
5.下列有關牙周韌帶內注射局部麻醉藥物的適應症敘述,何者錯誤? (A)適用於單側下顎多顆牙齒之局部麻醉 (B)可以使用於兒童 (C)可以使用於血友病病人 (D)可以使用於診斷下顎之疼痛
6.下列有關表面(topical)局部麻醉藥的敘述,何者錯誤? (A)噴霧罐裝,因噴出藥物總量控制不易,不宜使用 (B)benzocaine 因吸收快速,不宜使用 (C)可使用於局部洗牙 (D)塗抹後 1 到 3 分鐘後就可發揮作用
7.牙科麻醉劑管(cartridge)玻璃最容易破裂的兩部位為何? (A)頸部與中間部位 (B)頸部與底部 (C)中間部位,相對兩側 (D)底部與中間部位
8.常用局部麻醉劑之中樞神經系統(CNS)及心血管系統(CVS)毒性總和,由大至小排列為何? (A)Bupivacaine, lidocaine, prilocaine, articaine (B)Bupivacaine, lidocaine, articaine, prilocaine (C)Prilocaine, articaine, lidocaine, bupivacaine (D)Lidocaine, bupivacaine, articaine, prilocaine
9.一個健康的小孩,體重20公斤重,若是以2% lidocaine(1:100,000 epinephrine)局部麻醉,按 照製造商的建議,最大劑量不可超過幾支麻藥? (A)1 (B)1.5 (C)2 (D)4
10.下顎第三大臼齒為近心側傾斜(mesioangular impaction)的阻生牙,下列何者可暫時不必拔 除? (A)病人17歲,Pell and Gregory分類的class 3 (B)病人17歲,Pell and Gregory分類的class 1 (C)病人25歲,Pell and Gregory分類的class 2 (D)病人25歲,Pell and Gregory分類的class 1
11.拔除下顎那一牙齒最易造成下齒槽神經傷害? (A)第二小臼齒 (B)第一大臼齒 (C)第二大臼齒 (D)第三大臼齒
12.拔牙後疼痛之高峰約發生於拔牙後多久? (A)8小時 (B)12小時 (C)16小時 (D)24小時
13.關於Rongeur forceps的敘述,下列何者正確? (A)可作拔牙鉗,拔除下顎小臼齒 (B)可作拔牙鉗,拔除上顎小臼齒 (C)可作拔牙鉗,拔除上、下顎小臼齒 (D)只可移除骨質
14.病人體溫變化與齒源性感染的嚴重性相關,下列敘述何者正確? (A)如果體溫超過38℃就會增加心臟血管的負擔 (B)老年的病人即使體溫才上升一些,其對身體的危險性卻很高 (C)補充水分比藥物控制體溫效果較快 (D)體溫每上升一度會增加病人體內代謝速率15%,因此要補充患者的營養
15.齒源性感染的病人有下列徵候(symptoms)時,那一個比較不必急診? (A)吞嚥困難 (B)張口困難 (C)感染快速擴散 (D)呼吸困難
複選題
16.下列何種情況,在治療後不一定需要開立抗生素給予病人? (A)冠周炎(pericoronitis) (B)一次拔除三顆牙齒 (C)有張口困難的感染 (D)體溫有上升的感染
17.過去研究顯示,單一齒源性感染病灶中最常出現之培養結果是: (A)只有嗜氧菌 (B)只有厭氧菌 (C)嗜氧菌與厭氧菌共存 (D)出現只有嗜氧菌或只有厭氧菌之比率相同
18.因上顎犬齒區感染引發蜂窩組織炎,除控制此區域感染外,應嚴密注意感染擴散至何處而造成危 急? (A)深顳肌間隙 (B)後顱窩 (C)脊前間隙及縱膈腔 (D)海綿體靜脈竇
19.下列何者最可減少植牙術後下唇麻木的情況? (A)術前及術後給予Vit. B complex服用 (B)打麻藥時局部浸潤麻醉,比下齒槽神經阻斷麻醉佳 (C)術中若下齒槽神經管穿孔,改種較短的植體 (D)植體底部至少距離神經管上緣 2 mm
20.關於人工牙根骨整合(osseointegration)的敘述,何者錯誤? (A)吻合(engage)兩層皮質骨,以利骨整合 (B)骨內溫度上升超過攝氏44度時,會造成irreversible bone damage (C)避免鑽針左右晃動造成植體與周圍骨頭的間隙超過1 mm (D)使用高扭力、低轉速的手機(handpiece)來鑽孔
21.下列何者是頸部廓清術(radical neck dissection)的主要目的? (A)切除原發腫瘤(primary tumor)及周圍組織 (B)切除內頸靜脈(internal jugular vein)及周圍組織 (C)切除胸鎖乳突肌(sternocleidomastoid muscle)及以下組織 (D)切除已有轉移或可能有轉移癌的頸部淋巴組織
22.有關口腔良性腫瘤的處理原則中,下列何者正確? (A)follicular ameloblastoma 其復發率較低,可以利用curettage來移除 (B)unicystic ameloblastoma復發率高,必須進行composite resection (C)ameloblastic fibroma不易復發,可以施行enucleation (D)odontogenic myxoma復發率低,術後不須密切追蹤
23.有關頸部淋巴廓清術(neck dissection)之敘述,下列何者錯誤? (A)可分為根治性(radical)、選擇性(selective)及改良性(modified) (B)改良性(modified)之術式係保留內頸靜脈、胸鎖乳突肌及副交感神經 (C)全頸部之淋巴結約有三百多個 (D)頸部淋巴節概分為六區
24.口腔癌腫瘤大小分類中,T4a與T4b的差別在於: (A)細胞分化程度 (B)手術可否切除乾淨 (C)腫瘤大小 (D)腫瘤部位
25.下列有關黏液囊腫(mucocele)的敘述,何者正確? (A)以口底的發生機會最高 (B)外滲性(extravasation)者比堵塞性(obstruction)者少 (C)外滲性(extravasation)者為假性囊腫 (D)手術以造袋術為主
26.有關囊腫狀病灶,接受抽吸檢查(aspiration),下列敘述何者錯誤? (A)抽到氣體,可能是鼻竇 (B)抽到清澈液體要懷疑含牙囊腫 (C)抽到 cheesy 液體,最可能是齒源性角化囊腫 (D)抽到血液,最可能是外傷性骨囊腫
27.有關上顎骨截骨術(maxillary osteotomy)往上往前移動後軟組織之變化,下列敘述何者錯誤? (A)鼻翼基底部繫緊術(alar base cinch)主要目的是將鼻肌(nasalis muscle)拉緊,以避免術後 鼻翼基底部變寬 (B)上唇較厚的病患較可預期(predictable)其術後軟組織隨骨頭移動之變化量 (C)通常會造成鼻尖上揚、上唇變短及鼻唇角(nasolabial angle)增加 (D)建議以V-Y縫合法縫合上唇繫帶黏膜
28.病人兩天前因半邊中顏面部及上顎黏膜產生多處水疱並合併劇烈疼痛,下列處置何者最佳? (A)使用較強效的抗生素與止痛藥 (B)使用較強的表面麻醉藥 (C)使用抗病毒藥物、止痛藥、類固醇 (D)周邊自主神經阻斷術
29.Ramsay Hunt Syndrome 是由疱疹病毒所引起的疾病,它會侵犯第幾對腦神經? (A)五及七 (B)五及八 (C)七及八 (D)七及九
30.有關惡性唾液腺腫瘤之敘述,何者正確? (A)以腺樣囊狀癌(adenoid cystic carcinoma)最常見 (B)小唾液腺惡性腫瘤若發生在上顎,最常出現在硬顎前區 (C)高度惡性(high grade)的黏液表皮樣癌有可能轉移到頸部淋巴結 (D)腺樣囊狀癌不易有神經侵犯
31.有關修格蘭症候群(Sjögren's syndrome)的敘述,下列何者錯誤? (A)女性的發生率較男性多 (B)腮腺是最常被侵犯的腺體 (C)小唾液腺活體組織切片極有助於診斷 (D)人工唾液可刺激腺體組織的分泌能力
32. 依下圖,15歲少年訴稱下唇有腫塊存在一個多月,沒有長大趨勢,無痛。下列何診斷最合理?
(A)乳突瘤 (B)肉芽腫 (C)脂肪瘤 (D)黏液囊腫
33.有關唾液腺體內結石的處理,下列方式何者最適當? (A)切開引流 (B)移除結石 (C)切除唾液腺管 (D)切除唾液腺體
34.下列那一種主唾液腺切除後,唾液量減少最多? (A)顎下腺 (B)舌下腺 (C)腮腺 (D)艾勃納氏腺
35.貫穿皮膚與口腔的撕裂傷,未傷及動脈,其處理的順序何者正確?①清潔傷口 ②止血 ③清創 ④縫合口腔黏膜 ⑤縫合皮膚 ⑥縫合肌肉 (A)①②③④⑤⑥ (B)①③②④⑥⑤ (C)③②①④⑥⑤ (D)①③②⑤④⑥
36.造成外傷後病人休克的最常見主要的原因為何? (A)airway obstruction (B)flail chest (C)hypovolemia (D)cervical spine injury
37.有關顎骨骨折治療之敘述,何者錯誤? (A)上下顎骨同時都有骨折存在,第一步先固定下顎骨,然後馬上固定上顎骨 (B)固定顎骨時,應先將咬合恢復到病人原來的咬合 (C)必須先將骨折處的感染情況控制或消除之後,才能固定顎骨 (D)先將斷裂的顎骨復位,再將顎骨固定
38.若一病患,顎骨骨折已發生數天卻未治療,經評估後發現骨折部位有廣泛性移位,斷端可能很難 被即刻推回適當位置作顎間固定,此時可考慮作何種處置? (A)咬合調整 (B)骨外固定裝置(external skeletal fixation appliance) (C)夾板固定術(splinting technique) (D)強力彈性環牽引(heavy elastic traction)
39.顏面部位那一類的骨折,通常會造成外傷性兩眥距過寬(traumatic telecanthus)? (A)勒福(LeFort)I型 (B)顴骨弓(isolated zygomatic arch) (C)顴骨複合體(zygomatic complex) (D)鼻眼眶篩骨複合體(nasoorbital-ethmoid complex)
40.臨床發現一女嬰天生單側唇裂(cleft lip),該病患現年齡11週、體重8磅、血色素10.5 dL/mg。 評估該病患是否適宜進行手術修復裂唇,原因為何? (A)可進行手術,年齡、體重、血色素皆達標準 (B)不可進行手術,須等體重達10磅才能手術 (C)不可進行手術,須等體重達10公斤才能手術 (D)不可進行手術,須等血色素達12 dL/mg才能手術
41.關於黏膜下腭裂(submucous cleft palate)之敘述,下列何者錯誤? (A)病患可能發生咽腭帆關閉不全(velopharyngeal insufficiency)及鼻音過重(hypernasality) (B)約半數病患於童年時無任何症狀 (C)多數病患須手術治療 (D)手術治療之主要目標為修補提腭肌(levator palatal muscle)之缺損
42.病患於全身麻醉下進行下顎埋伏齒齒切術,術後第一天有發燒的現象,最可能是下列何種原因所 引起? (A)尿道感染 (B)傷口感染 (C)肺炎 (D)肺擴張不全
43.牙科所使用的局部麻醉藥物 2% lidocaine with 1:100,000 epinephrine,對一個健康的 70 公斤 成人,在同一次的治療中最多可以注射幾管 (1.8 mL / 管)? (A)5 (B)10 (C)15 (D)20
44.有關全身麻醉時出現的惡性高燒 (malignant hyperthermia)之敘述,下列何者錯誤? (A)是一種罕見的自體顯性遺傳過敏反應 (B)可能會造成橫紋肌溶解 (C)可能會造成鉀離子在骨骼肌內快速累積 (D)解藥是 dantrolene
45.病人每天服用Aspirin 650mg,準備接受拔牙手術,如內科醫師認可停藥,建議病人術前幾天停 藥? (A)1 (B)5 (C)14 (D)21
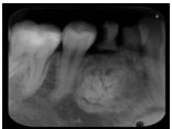
46.一般而言,下列各種病患感覺呼吸困難之原因中,何者在牙科門診中是最常見的? (A)氣喘(asthma) (B)換氣過度(hyperventilation) (C)過敏引發之喉水腫(laryngeal edema) (D)慢性阻塞性肺臟疾病(chronic obstructive pulmonary disease)
47.在顳顎關節重建手術中,下列何種植入物較容易產生異物炎症反應? (A)autogenous cartilage (B)autogenous temporalis fascia (C)autogenous temporalis muscle (D)alloplastic implant
48.一般來說,下列何種顳顎關節疾病必須用手術方法來治療?①囊內骨性關節黏連(intracapsular bony ankylosis) ②類風濕性關節炎(rheumatoid arthritis) (A)只有① (B)只有② (C)①②均是 (D)①②均不是
49. 右側穿顱式攝影可見下顎骨髁頭,從x-ray判讀,下列何者為較不可能之診斷?
(A)骨瘤 (B)骨頭增生 (C)退化性關節疾病 (D)軟骨瘤
50.關於顳顎關節障礙的非手術治療,下列敘述何者錯誤? (A)給予Carbamazepine是最有效的治療藥物 (B)三環抗憂鬱劑(tricyclic antidepressants)可抑制痛覺傳導達到止痛效果 (C)利用生物回饋控制(biofeedback)可訓練患者學習放鬆肌肉 (D)超音波儀(ultrasound unit)可達到比熱敷(surface moist-heat application)更好的效果
51.下列何種咬合板,可藉由改變關節位置使移位之關節盤回復? (A)stabilization splint (B)pivot splint (C)repositioning splint (D)soft splint
52.當口腔癌癌末病人無法繼續治療,根據我國安寧緩和醫療條例,有拒絕施行心肺復甦術的權利, 下列何者錯誤? (A)二十歲以上具有完全行為能力者,可預立意願書 (B)昏迷前未簽署者,可由最近親屬出具同意書 (C)此處所指心肺復甦術,包括氣管內插管、心臟電擊、急救藥物注射、心臟人工調頻 (D)上述意願書,須經過任何一位醫師診斷確定為末期病人,才可依法不予施行心肺復甦術
53 (A)① (B)② (C)③ (D)④
54.承上題,電腦斷層之圖示,如果病患有張口困難,是因下列何種肌膜間隙有發炎腫脹? (A)①② (B)②③ (C)③④ (D)①④
55 (A)一星期 (B)二到三星期 (C)五到六星期 (D)八星期
56.承上題,如果是兒童病人,同樣採用閉合式復位術(closed reduction)來治療,請問應固定多久 較適當? (A)三至五天 (B)十至十四天 (C)二十一天 (D)二十八天
57.牙科根尖放射線攝影時,其皮膚劑量是比一般胸部放射線攝影的劑量高,是因為沒有下列何者? (A)過濾器 (B)增感屏 (C)鋁柵 (D)瞄準儀
58.所謂X光與原子作用中的光電效應(photoelectric effect)是指什麼? (A)pure absorption (B)absorption and scatter (C)pure scatter (D)Compton scattering
59.放射線治療口腔癌造成患者之牙齒齲齒現象,主要特性是: (A)多發性缺牙 (B)多發性齒頸部齲齒 (C)多發性牙冠部變形 (D)多發性牙根吸收
60.下列何種情況最不適合使用唾液腺造影術(sialography)? (A)評估是否有唾液腺結石 (B)評估唾液腺結石之位置 (C)評估口乾症 (D)評估是否有膿自唾液腺主管道流出
61.照前牙根尖片時,通常底片要如何放置? (A)直放 (B)橫放 (C)斜放 (D)無規定
62.環口放射線影像(panoramic radiograph)的前牙區影像呈現尖窄且不清楚,可能的原因為何? (A)病人下顎置放得太前 (B)病人下顎置放得太後 (C)病人下顎向右傾斜 (D)病人下顎向左傾斜
63.當拍攝根尖片時,錯誤之水平角度將使X光片上的牙齒影像產生何種變化? (A)elongation (B)shortening (C)overlapping (D)darkening
64.下列何者為唾液腺造影術(sialography)所使用之水溶性顯影劑(contrast medium)? (A)Urografin® (B)Salagen® (C)Lipidolol® (D)Pantopaque®
65.下圖箭頭所指之帶狀的放射線不透過性(radiopaque)影像是: (A)mylohyoid ridge (B)external oblique ridge (C)mental ridge (D)superior wall of mandibular canal
66. 下圖紅色箭頭指示的地方最可能的診斷為:
(A)Rampant caries (B)Periodontal disease (C)Concrescence (D)Fracture
67.下圖X光影像中,患者的頭蓋骨有多處如棉花團狀放射線不透過性病變,其最可能的診斷為何?
(A)Paget's disease (B)Cleidocranial dysostosis (C)Crouzon syndrome (D)Osteogenesis imperfecta
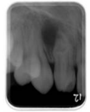
68. 下圖中有何種牙齒相關的病變?
(A)Odontoma (B)Dens evaginatus (C)Dilacerated root (D)Dens invaginatus
69.下圖中有何種牙齒相關的病變?
(A)Odontoma (B)Dens evaginatus (C)Dilacerated root (D)Dens invaginatus
70.下圖中有何種牙齒相關的病變?
(A)Peg lateral (B)Supernumerary tooth (C)Odontoma (D)Taurodontism
71.下圖中有何種牙齒相關的病變?
(A)External root resorption (B)Internal root resorption (C)Dens invaginatus (D)Dens evaginatus
72.下圖上顎後牙區之根尖片,靠近第一大臼齒根尖處之放射線不透過性(radiopaque)影像,最可 能之X光診斷為:
(A)多生牙(supernumerary tooth) (B)竇結石(antrolith) (C)殘根(residual root) (D)牙瘤(odontoma)
73.下列何種囊腫,是位於顎骨內之囊腫? (A)鰓裂囊腫(branchial cleft cyst) (B)甲狀腺舌管囊腫(thyroglossal duct cyst) (C)鼻唇囊腫(nasolabial cyst) (D)鼻腭管囊腫(nasopalatine duct cyst)
74.下圖白色箭頭所指之X光影像,下列何種病變最有可能?
(A)Squamous cell carcinoma (B)Cementifying fibroma (C)Buccal bifurcation cyst (D)Dentigerous cyst
75. 一名45歲男性因牙齒搖動而求診,其根尖X光片檢查如下左圖,病理切片如下右圖。下列敘述何 者正確?
(A)診斷為 odontogenic keratocyst,應儘快安排手術 (B)診斷為odontogenic myxoma,應儘快安排手術 (C)診斷為ameloblastoma,應儘快安排手術 (D)診斷為radicular cyst,已完成根管治療,應先觀察治療效果再作決定
76.有關放射線檢查不能提供牙周完整狀況之敘述,下列何者錯誤? (A)放射線多能提供三度空間情況的二度空間影像 (B)放射線所呈現出來的骨頭破壞(bone destruction)總是比實際來得輕微 (C)放射線可顯示出軟組織與硬組織之間的關係,所以可從X光片上得知牙周囊袋的深度 (D)過度刷耗(abrasion)的牙齒受限於參考點牙骨質牙釉質交界(CEJ)之不易取得,而無法測 量齒槽嵴的高度
77.下圖為部分顎全景X光影像,箭頭所指處為下列何者?
(A)頸椎(cervical vertebrae)之影像 (B)鈣化之莖突舌骨韌帶(stylohyoid ligament) (C)對側下顎骨後緣之複影 (D)攝影時患者手指摸頸部所致
78.一位22歲男性患者之環口X光顯示兩側下顎臼齒下方有周界清晰之放射線透性(radiolucent)影像(圖A如箭頭標示),兩側上顎竇 亦有放射線不透性(radiopaque)影像,手術發現此病變為齒源性角化囊腫(odontogenic keratocysts);進一步檢查發現中面部 有一潰瘍病變(圖B),腳掌有許多黑色凹點病灶(圖C),臉部呈現眼距過寬,頭部X光可見大腦鐮鈣化(calcification of falx cerebri)(圖D),胸部X光片可見到分歧肋骨(bifid ribs)。根據這些特徵,下列何診斷較可能?
(A)Gardner syndrome (B)Nevoid basal cell Carcinoma Syndrome (C)McCune-Albright syndrome (D)Apert syndrome
79.有關數位放射線影像(digital radiography),下列敘述何者錯誤? (A)口內CCD system的pixel size約20 μm (B)PSP system解析度會受感應片的厚度影響 (C)口內數位放射線影像可以提供超過20 lp/mm的解析度 (D)Solid-state數位放射線影像,若有20 μm的pixel size,可以達到50 lp/mm的解析度
80.有關cone beam computerized tomography之敘述,下列何者錯誤? (A)一次照射對患者輻射劑量介於52-1025 μSv (B)一次照射對患者輻射劑量是4-77張數位環口攝影術(digital panoramic radiography)的劑量 (C)一次照射其輻射劑量等於在美國地區200天日照輻射劑量 (D)其輻射劑量是傳統頭部CT輻射劑量的51%~96%
申論題 (0)
相關試卷
115年 - 115-1 專技高考_牙醫師(二):牙醫學(四)(包括口腔顎面外科學、牙科放射線學等科目及其相關臨床實例與醫學倫理)#137358
115年 · #137358
114年 - 114-2 專技高考_牙醫師(二):牙醫學(四)(包括口腔顎面外科學、牙科放射線學等科目及其相關臨床實例與醫學倫理)#128945
114年 · #128945
114年 - 114-1 專技高考_牙醫師(二):牙醫學(四)(包括口腔顎面外科學、牙科放射線學等科目及其相關臨床實例與醫學倫理)#125098
114年 · #125098
113年 - 113-2 專技高考_牙醫師(二):牙醫學(四)(包括口腔顎面外科學、牙科放射線學等科目及其相關臨床實例與醫學倫理)#121679
113年 · #121679
113年 - 113-1 專技高考_牙醫師(二):牙醫學(四)(包括口腔顎面外科學、牙科放射線學等科目及其相關臨床實例與醫學倫理)#118730
113年 · #118730
112年 - 112-2 專技高考_牙醫師(二):牙醫學(四)(包括口腔顎面外科學、牙科放射線學等科目及其相關臨床實例與醫學倫理)#115909
112年 · #115909
112年 - 112-1 專技高考_牙醫師(二):牙醫學(四)(包括口腔顎面外科學、牙科放射線學等科目及其相關臨床實例與醫學倫理)#113155
112年 · #113155
111年 - 111-2 專技高考_牙醫師(二):牙醫學(四)(包括口腔顎面外科學、牙科放射線學等科目及其相關臨床實例與醫學倫理)#109860
111年 · #109860
111年 - 111-1 專技高考_牙醫師(二):牙醫學(四)(包括口腔顎面外科學、牙科放射線學等科目及其相關臨床實例與醫學倫理)#106178
111年 · #106178
110年 - 110-2 專技高考_牙醫師(二):牙醫學(四)(包括口腔顎面外科學、牙科放射線學等科目及其相關臨床實例與醫學倫理)#99925
110年 · #99925