所屬科目:牙醫學(四)(包括口腔顎面外科學、牙科放射線學等科目及其相關臨床實例與醫學倫理)
1.進行口內軟組織手術時,下列敘述何者最為適當? (A)以手臂而非手腕運行手術刀,較能夠精準地切開軟組織 (B)刀片應與黏膜表面呈 45 度角切入,方可避免損及傷口邊緣的血液供應 (C)最好避免在犬齒隆突等突出處進行切開 (D)術中以擦拭(wiping)傷口的方式止血最為有效
2.有關手術後組織水腫的形成與處置,下列敘述何者最適當? (A)水腫主因是血管的損傷及纖維蛋白阻塞淋巴,體液滲漏並積蓄在組織間隙內 (B)損傷區域內疏鬆結締組織愈少,水腫反應愈明顯,冰敷效果則極佳 (C)局部注射皮質類固醇,可有效減少發炎反應與體液滲漏 (D)以皮質類固醇降低組織水腫,在術後的第一天給與效果最佳
3.下列何者不屬於直接造成組織受傷的化學性原因? (A)蛋白酶(proteases) (B)輻射線(irradiation) (C)血管收縮劑(vasoconstrictors) (D)使血栓形成的物質(thrombogenic agent)
4.骨折癒合過程中的造骨細胞(osteoblast)不會來自下列何者? (A)periosteum (B)endosteum (C)circulating pluripotential mesenchymal cells (D)monocyte precursor cells
5.在含有適當血管收縮劑濃度下,下列何種局部麻醉劑的作用時間最長? (A)articaine (B)bupivacaine (C)lidocaine (D)mepivacaine
6.有一位因為關節炎導致張口受限,最大張口度 5 mm 的患者,需拔除下顎第一及第二大臼齒殘根,下列何種神 經阻斷術最適用? (A)傳統的下齒槽神經阻斷術及頰神經阻斷術 (B)Gow-Gates technique (C)Vazirani-Akinosi technique 及頰神經阻斷術 (D)門齒神經阻斷術
7.病患於接受下齒槽神經阻斷(inferior alveolar nerve block)幾天後,抱怨仍有下唇麻木及自發性銳痛, 但輕觸及針刺不覺疼痛,此情況屬於下列何者? (A)allodynia (B)hyperalgesia (C)dysesthesia (D)hyperesthesia
8.有關拔牙手術與併發症,下列何者關聯性最低? (A)上顎大臼齒拔除,有牙根斷片掉入上顎竇 (B)下顎第三大臼齒拔除,有牙根斷片掉入舌下間隙 (C)下顎犬齒拔除術後感染,引起海綿竇栓塞(cavernous sinus thrombosis) (D)下顎第一小臼齒殘根移除,發生頦神經(mental nerve)傷害
9.圖中所顯示的阻生齒,是屬於 Pell and Gregory 的那一種分類?
(A)class 2 B (B)class 2 C (C)class 3 B (D)class 3 C
10.圖示之拔牙鉗,適合用於拔除那一種有牙根分叉牙齒?
(A)上顎大臼齒 (B)上顎小臼齒 (C)下顎大臼齒 (D)下顎小臼齒
11.下列四種情況的患者,欲進行相同難度的拔牙處置,何者風險較低? (A)血壓在 140~159 mmHg/90~94 mmHg 之間的成年患者 (B)患有症狀性甲狀腺功能亢進或低下的患者 (C)控制不穩的癲癇患者(每年發作數次) (D)胰島素依賴性糖尿病(IDDM)控制不好的患者
12.有關下顎水平智齒嚴重牙冠周圍炎之敘述,下列何者正確? (A)宜儘速拔除,以減少拔牙後的併發症 (B)若同側上顎智齒有咬到牙冠周圍炎腫脹之組織,可考慮先予拔除 (C)牙冠周圍炎不論嚴重程度,均須先使用抗生素治療 (D)若造成嚴重的張口困難時,應立即拔除
13.關於齒源性感染的處置,下列敘述何者最不適當? (A)必要時需採取措施維持呼吸道暢通 (B)對於嚴重的感染,應儘早進行細菌培養和敏感性測試 (C)靜脈注射抗生素治療可作為控制、侷限感染的一種手段 (D)沖洗引流傷口會造成細菌、膿液擴散至更深的解剖間隙
14.關於口腔黴菌感染,下列敘述何者最不適當? (A)白色念珠菌是最常見的口腔黴菌感染,為伺機性感染 (B)口腔念珠菌與口腔黏膜發育異常(dysplasia)的進展未必呈正相關 (C)口腔念珠菌可用 nystatin,但不可以局部施於病灶處 (D)從口腔白斑病變中分離出的念珠菌可能產生致癌物
15.若未適當處置,下列何者為盧德威氏口峽炎(Ludwig's angina)最常見的併發症? (A)海綿竇栓塞 (B)肺栓塞 (C)呼吸道阻塞 (D)廣泛性血管栓塞
16.關於齒槽嵴牽引(alveolar ridge distraction),下列敘述何者錯誤? (A)潛伏期(latency period)大約 5~7 天 (B)以每天約 1 毫米的速度逐漸牽引 (C)鞏固期(consolidation period)約 3~4 個星期 (D)可以做垂直或水平方向牽引
17.下列何者為人工牙根種植前,進行下顎補骨手術所欲達成的治療效果?①使有足夠長度的植體可以植入 ② 使有足夠寬度的植體可以植入 ③降低術後骨折的風險 ④降低後續重建時神經損傷的風險 (A)僅②④ (B)僅①③④ (C)僅①②③ (D)①②③④
18.影像檢查中,下列何者可以精確測量出齒槽嵴(alveolar ridge)寬度? (A)牙根尖片 (B)側顱 X 光片 (C)核磁共振 (D)錐狀射束電腦斷層攝影(cone-beam CT)
19.若每顆缺失牙齒都以一支人工牙根重建,下列那一區域在植入位置選擇上會最困難? (A)下顎門牙區 (B)上顎門牙區 (C)上顎小臼齒區 (D)下顎小臼齒區
20.齒源性黏液瘤(odontogenic myxoma)為良性齒源性腫瘤,下列敘述何者錯誤? (A)腫瘤的周邊沒有膜包圍(non-encapsulated) (B)放射影像具特異性,可憑之得到正確診斷 (C)腫瘤組織會浸潤入(infiltrate)周圍的骨組織 (D)腫瘤切除時需有適當的邊緣距離(margin),防止復發
21.有關齒瘤(odontoma)的好發部位,下列敘述何者正確? (A)complex odontoma 好發於上顎前牙區 (B)compound odontoma 好發於上顎後牙區 (C)complex odontoma 好發於下顎前牙區 (D)compound odontoma 好發於上顎前牙區
22.下列何者以剜除術(enucleation)處置,復發率最低? (A)鱗狀齒源性瘤(squamous odontogenic tumor) (B)造牙骨質細胞瘤(cementoblastoma) (C)齒源性黏液瘤(odontogenic myxoma) (D)造釉細胞齒瘤(ameloblastic odontoma)
23.根據 American Joint Committee on Cancer(AJCC)第八版對於口腔癌分期的定義,下列分期何者正確? (A)最大徑為 2.5 cm,侵犯深度為 12 mm 之舌癌為 T2 (B)最大徑為 2.5 cm,侵犯深度為 4 mm 並且造成皮質骨表面侵蝕之下顎牙齦癌為 T4a (C)最大徑為 3.5 cm,侵犯深度為 12 mm 之頰黏膜癌為 T3 (D)同側兩顆淋巴結發生轉移,且未有淋巴結外侵犯(extranodal extension)為 N2a
24.下列何者與齒源性角化囊腫(odontogenic keratocyst)的高復發率有關? (A)病灶會穿透皮質骨(cortical perforation) (B)病灶位於下顎骨角(mandible angle) (C)手術時未摘除周邊之衛星囊腫(satellite cysts) (D)其上皮細胞通常較厚且有乳突狀突起
25.放射治療(radiotherapy)對於口腔顎顏面組織的影響,下列敘述何者錯誤? (A)一般來說,第二週後開始會造成口腔黏膜潰瘍與疼痛 (B)由於唾液腺上皮代謝速率快,有高度放射線敏感度(radiosensitive),故常呈現唾液腺萎縮,造成口乾症 (C)會導致照射區域的肌肉慢性發炎進而纖維化,導致病人張口受限 (D)會造成口腔微生物菌叢改變,故在口腔衛生不良病人身上可見口腔念珠菌感染(oral candidiasis)
26.Supraomohyoid neck dissection 為口腔癌手術中常使用的頸部淋巴廓清術,下列何者為該術式所清除的淋巴層?①Level Ⅰ ②Level Ⅱ ③Level Ⅲ ④Level Ⅳ (A)僅①② (B)①②③ (C)②③④ (D)①④
27.關於含齒囊腫(dentigerous cyst)的臨床特徵,下列敘述何者錯誤? (A)為 X 光透射單室性(unilocular radiolucency)病灶 (B)會與一顆未萌發牙齒相關連,會造成病灶區齒槽骨膨脹 (C)X 光影像常會有硬化邊緣(sclerotic border) (D)當 pericoronal radiolucency 介於 0.5~1 cm,可判斷為變大的齒濾泡(dental follicle)而非囊腫
28.下列那一個病變最可能與齒瘤(odontoma)、腺體樣齒源性腫瘤(adenomatoid odontogenic tumor)或造釉 細胞瘤(ameloblastoma)等併存? (A)含齒囊腫(dentigerous cyst) (B)齒源性角化囊腫(odontogenic keratocyst) (C)腺狀齒源性囊腫(glandular odontogenic cyst) (D)鈣化齒源性囊腫(calcifying odontogenic cyst)
29.關於顎骨囊腫剜除術(enucleation),下列敘述何者正確? (A)可以保留伴有含齒囊腫的阻生齒 (B)手術時不可以拔除牙齒,以免妨害囊腫根除 (C)剜除術施行時應儘量將囊腫完整一體移除,以減少殘留囊腫組織及復發之機會 (D)與造袋術相比,可降低病理性骨折的風險
30.下列何者屬於發育性齒源性囊腫?①濾泡囊腫(follicular cyst) ②齒源性角化囊腫(odontogenic keratocyst) ③根尖囊腫(radicular cyst) ④鼻腭管囊腫(nasopalatine duct cyst) (A)①② (B)①③ (C)②④ (D)②③
31.齒源性角化囊腫的患者同時合併發生基底細胞癌,如果患者為女性,則最可能患下列何種婦女病? (A)子宮頸癌 (B)子宮肌腺症 (C)卵巢纖維瘤 (D)乳癌
32.關於下顎枝垂直截骨術(vertical ramus osteotomy)的敘述,何者錯誤? (A)可以從口外皮膚切開,也可以從口內黏膜切開,暴露出下顎枝 (B)口外切線唯一的缺點是會在皮膚上留下疤痕 (C)口外切線視野比較清楚,但較少被採用 (D)口內下顎枝垂直截骨術,可使用有角度的擺動鋸(oscillating saw)
33.關於咬合平面(occlusal plane)的敘述,下列何者錯誤? (A)咬合平面和法蘭克福平面(Frankfort horizontal plane)的夾角,正常範圍為 30 度±2 度 (B)通常手術增加咬合平面角度(occlusal plane angle),也會增加下顎平面角度(mandibular plane angle) (C)高咬合平面顏面形態(high occlusal plane angle facial morphology)的病人較常合併有顳顎關節病變 (D)當上下顎複合體(maxillomandibular complex)以上門牙切端(incisor edge)做逆時針方向旋轉時,後 顏面高度(posterior facial height)將會增加
34.下列何者是造成齒顏面畸形(dentofacial deformity)的可能原因?①遺傳 ②生長過程中的全身性疾病 ③外傷 ④環境 (A)僅①④ (B)僅①②③ (C)僅②③④ (D)①②③④
35.關於帶狀疱疹後神經痛(postherpetic neuralgia, PHN)的敘述,下列何者正確? (A)帶狀疱疹病毒第二次再活化(reactivated)發生率大於 10% (B)疼痛通常發生在出現皮疹之前 (C)PHN 的治療通常使用抗生素 (D)PHN 病例中,三叉神經侵犯的情況比胸神經侵犯更常見
36.病人主述吞嚥時產生尖銳的電擊般疼痛,並感覺下顎區疼痛,最可能為下列那一神經出現問題? (A)動眼神經 (B)顏面神經 (C)舌咽神經 (D)副脊神經
37.病人求診主訴右上後牙區尖銳疼痛,並伴隨同側流鼻涕、流淚和顳部疼痛,最可能是下列何種病症? (A)顳部動脈炎(temporal arteritis) (B)偏頭痛(migraine) (C)叢發性頭痛(cluster headache) (D)緊張性頭痛(tension headache)
38.60 歲男性,有抽菸習慣,因右臉頰腫脹將近 10 年,期間並無明顯疼痛及大小改變的現象,臨床懷疑為右側腮腺瓦新氏腫瘤(Warthin's tumor),下列有關診斷之敘述,何者錯誤? (A)瓦新氏腫瘤觸診之感覺較軟,像麵團(doughy)一般 (B)若想進一步進行病理學檢驗,可考慮進行針刺切片檢查(needle biopsy) (C)瓦新氏腫瘤在氟化去氧葡萄糖正子攝影檢查(FDG positron emission tomography)呈現高代謝活性(high metabolic activity) (D)瓦新氏腫瘤鎝 99m 閃爍檢查(Technetium-99m scintigraphy)信號呈現常為「冷病灶(cold lesion)」
39.有關唾液腺結石的敘述,下列何者錯誤? (A)大部分是單一結石 (B)唾液腺結石成分包含磷酸鈣 (C)腮腺管是較容易發生結石的位置,其原因在於唾液成分偏鹼性 (D)併發症包括急性化膿性唾液腺炎、唾液管擴張或慢性纖維化狹窄
40.有關 Sjögren syndrome 之敘述,下列何者錯誤? (A)是一種自體免疫疾病,通常會侵犯淚腺和唾液腺 (B)女性的發病率遠高於男性 (C)可區分為原發性和繼發性兩種 (D)大唾液腺切片是診斷的主要依據
41.對於顏面軟組織外傷,下列敘述何者錯誤? (A)顏面組織因血液循環好,縫合時效性上較無所謂黃金時間(golden period)的考量 (B)臉頰外傷位置在外眼眥垂線(vertical line from lateral canthus)前方時,可以不需進行顏面神經吻合 修補 (C)為了傷口清潔及去除異物,建議以雙氧水進行沖洗及消毒 (D)顏面軟組織恢復快,但雖經過適當修補,其組織強度即使 1 年也無法完全恢復至受傷前之強度
42.依據附圖,關於病人的臨床症狀或治療考量,下列何者最不可能?
(A)張口時下顎會往左邊偏移 (B)左側後牙咬合會有過早接觸(premature contact)現象 (C)會有左下嘴唇麻木(lip numbness)現象 (D)可經下顎後路徑(retromandibular approach)來進行復位及固定
43.病人發生車禍後,有下唇穿刺傷及左下正中門齒牙冠斷裂,若懷疑下唇傷口中存有斷裂的牙冠碎片時,使用 下列何種放射線檢查來協助診斷最適當? (A)Waters view (B)骨掃描檢查(bone scan) (C)口底放一張咬合片,從頦下(submental)的方向拍攝 (D)下唇內側放一張根尖片,以平時拍攝牙齒根尖片的 1/2~1/3 放射線劑量拍攝
44.圖中箭頭所指的骨折,下列何者正確?①favorable fracture ②unfavorable fracture ③容易錯位 ④ 不容易錯位
(A)②④ (B)①③ (C)①④ (D)②③
45.下列何者不是 naso-orbitoethmoid(NOE)fracture 常見的後遺症? (A)淚溢(epiphora) (B)眼距變寬(telecanthus) (C)咬合不正(malocclusion) (D)馬鞍鼻(saddle nose)
46.下列何者為 compound fracture? (A)骨折只影響到皮質骨、不完全斷裂、沒有位移 (B)多處骨折但未與外界相通 (C)骨折碎裂成多塊 (D)骨折處經由皮膚、黏膜或牙周組織與外界相通
47.關於腭裂修補手術,下列敘述何者正確?①重建吞嚥及發音功能 ②應儘量降低對上顎生長的干擾 ③改善 咽帆功能(velopharyngeal functions) (A)僅①② (B)僅①③ (C)僅②③ (D)①②③
48.唇腭裂病患施予上顎前移手術以改善不足之中臉部時,下列敘述何者錯誤? (A)上顎手術後若導致鼻音更嚴重,可再考慮以其他術式改善 (B)改善鼻音的手術,建議在上顎手術 6 個月後再進行 (C)咽部皮瓣(pharyngeal flap)為改善鼻音常用的術式 (D)上顎手術後,大部分病人需要用其他術式改善鼻音
49.許多患者對於牙科治療會感到焦慮,下列何種急症較不可能被焦慮引發? (A)angina pectoris (B)pulmonary edema (C)hyperventilation (D)severe hypertension
50.關於牙科處置時發生異物吸入(foreign body aspiration)產生呼吸道阻塞,下列敘述何者錯誤? (A)若仍有正常的嘔吐反射且異物為部分阻塞的程度,可以鼓勵患者先嘗試自行咳出 (B)已造成呼吸道完全阻塞(complete obstruction),而且成年病人已意識喪失,此時可用哈姆立克法 (Heimlich maneuver ) 嘗試排出異物 (C)若異物無法自行咳出,也無法經由哈姆立克法使其排出,則可使用喉頭鏡(laryngoscopy)輔助夾出或是氣 管鏡(bronchoscopy)取出 (D)若異物持續無法取出,且無法呼吸,持續呈現缺氧狀態,則可進行緊急環甲切開術(cricothyrotomy)
51.下列血漿中的 plasma factors 何者不會影響 prothrombin time? (A)Ⅱ (B)Ⅴ (C)Ⅸ (D)Ⅹ
52.下列那些藥物可能會誘發氣喘病人的發作?①aspirin ②ibuprofen ③acetaminophen ④corticosteroid ⑤theophylline ⑥epinephrine (A)①②③ (B)④⑤⑥ (C)僅①② (D)③④
53.嚴重顳顎關節病理性破壞造成之症狀,不包含下列何者? (A)嚴重張口受限 (B)髁頭或下顎枝垂直高度改變 (C)咬合不正 (D)開閉口活動時關節內彈響聲
54.關於單側不可復位關節盤前移(anterior disk displacement without reduction),下列何者錯誤? (A)開口時下顎偏向非患側 (B)開口受到限制 (C)開口時不會發生彈響聲(clicking sound) (D)關節盤無法滑動(sliding)
55.下列何者不是手術治療顳顎關節黏連常發生之併發症? (A)復發性之關節黏連(recurrent ankylosis) (B)味覺異常(parageusia) (C)神經損傷(nerve injury) (D)咬合不正(malocclusion)
56.關於 DNR(do not resuscitate),下列何者錯誤? (A)國內的 DNR 法律文件包括有病人自己簽署的「預立安寧緩和醫療暨維生醫療抉擇意願書」和病人無法表達意 見時由家屬代為簽署的「不施行心肺復甦術同意書」 (B)安寧緩和醫療意願書和不施行心肺復甦術同意書的執行條件,都只有在病人已經被兩位相關專科醫師診斷為 「末期病人」,即罹患嚴重傷病不可治癒,且近期內病程會進行至死亡者 (C)成年且具有完全行為能力的人,得預立選擇安寧緩和醫療意願書,可親自簽名或蓋章者,不需在場見證人簽 名即可完成 (D)DNR(do not resuscitate)是「不施行心肺復甦術」的英語縮寫,指的是當末期病人臨終時,不以電擊、 強心劑、心臟按壓、呼吸道插管等措施恢復或維持病人的呼吸心跳
57.關於輻射線(radiation)的敘述,下列何者錯誤? (A)X 光射線(X-ray)和珈瑪射線(γ-ray)皆屬電磁輻射 (B)電磁輻射之能量與波長成反比 - (C)高速β 微粒於組織中之穿透深度最大可達 5 公分 (D)微粒輻射之線性能量轉換(linear energy transfer)與微粒之質量、速度以及電荷有關
58.如果沒有理想的輻射防護下,放射師拍攝 X 光片時,應該要距離多少公尺? (A)1 (B)2 (C)3 (D)4
59.附圖中所示之感應片(sensor plate)上的阿拉伯數字「2」及「4」其意義為何?
(A)表示口內感應片之種類 (B)為產品的序列代號 (C)表示能重複使用的次數 (D)表示產品的生產代數(generation number)
60.下列 X 光影像中,a 與 b 標示分別為何?
(A)a:顴突(zygomatic process),b:上顎竇(maxillary antrum)底部 (B)a:顴突(zygomatic process),b:齒槽嵴尖(alveolar crest) (C)a:上顎竇(maxillary antrum)底部,b:齒槽嵴尖(alveolar crest) (D)a:上顎竇(maxillary antrum)底部,b:顴突(zygomatic process)
61.關於 2-D 牙科放射線攝影的基本原則的敘述,下列何者錯誤? (A)X 光機陽極的焦點(focal spot)愈小愈好 (B)放射源(X-ray source)與接受器(receptor)距離愈短愈好 (C)拍攝物體(object)與接受器(receptor)距離愈短愈好 (D)接受器(receptor)與拍攝物體(object)的長軸應儘量平行
62.關於電腦斷層(computed tomography)的敘述,下列何者錯誤? (A)照射時 X 光管頭以 slip-ring 方式繞病人持續旋轉,可減少檢查時間及最多 75%的輻射劑量 (B)依據組織密度不同,有不同的 X 光吸收量,呈現不同程度的灰階,稱為 Hounsfield unit (C)拍攝時得到 axial 及 coronal section,再由電腦重組出 sagittal section 及 3-D 影像 (D)可藉由調整 window level 及 window width 改變特定組織的識別度
63.關於核磁共振攝影的敘述,下列何者正確? (A)T1 加權(T1-weighted)影像用於描述病理性改變,如發炎及腫瘤 (B)T2 加權(T2-weighted)影像通常用於顯示解剖構造 (C)不同波序(pulse sequence)可加強或抑制特定的組織在影像上的表現 (D)優點為具多重切面技術(multi-plane)、極佳的軟組織表現、掃描快速、檢查時間短
64.下列 X 光影像,是以基線眥耳線(canthomeatal line)與 X 光片(film)呈現多少角度拍攝而得?
(A)平行 (B)負 30 度 (C)10 度 (D)37 度
65.附圖中白色箭頭所指部位為下列何者之影像?
(A)上嘴唇 (B)鼻頭 (C)X 光片刮痕 (D)上顎前牙牙齦
66.圖中箭頭所指的放射線不透過性白線(radiopaque line)為下列何者?
(A)門齒孔(incisive foramen) (B)上顎間縫(intermaxillary suture) (C)鼻中隔(nasal septum) (D)鼻腭管側壁(lateral walls of nasopalatine canal)
67.病人主訴牙齒容易移位及脫落,其局部根尖片顯示如圖,此病人最可能罹患何種疾病?
(A)局部牙齒發育不良(regional odontodysplasia) (B)第一型牙本質發育不良(dentin dysplasia type I) (C)第二型牙本質發育不良(dentin dysplasia type II) (D)牙本質形成不良(dentinogenesis imperfecta)
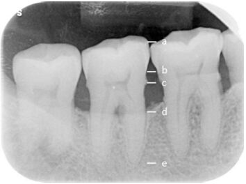
68.附圖 X 光片中 47 近心側齒槽骨流失的比例,應如何計算? (a:近心邊緣嵴,b:牙骨質-牙釉質交界,c:牙骨質-牙釉質交界往牙根 2 mm 處,d:齒槽嵴尖,e:牙 根尖)
(A)(b 至 d 距離)÷(a 至 e 距離)× 100% (B)(b 至 d 距離)÷(b 至 e 距離)× 100% (C)(c 至 d 距離)÷(c 至 e 距離)× 100% (D)(c 至 d 距離)÷(b 至 e 距離)× 100%
69.附圖中,所標示的牙周炎齒槽突(alveolar process)變化,最可能為何?
(A)頰側或舌側皮質板喪失(buccal or lingual cortical plate loss) (B)根叉侵犯(furcation involvement) (C)齒間陷口(interdental crater) (D)水平骨缺損(horizontal bone loss)
70.14 歲病人,其 X 光影像由箭頭所標示的病灶被判斷是內生贅骨(enostosis),而不是硬化性骨炎 (sclerosing osteitis)。下列判斷依據,何者最不適合?
(A)牙齒沒有齲齒 (B)牙周韌帶空間(periodontal ligament space)寬度一致 (C)開放型根尖(open apex) (D)放射線不透過性(radiopaque)區域與周圍正常骨質的交界清楚
71.下列 X 光影像中,何者最符合 hypophosphatasia 的特徵?
(A)1 (B)2 (C)3 (D)4
72.下列何種病變,其發生位置和 X 光影像,與根尖囊腫(radicular cyst)最為相似? (A)硬化性骨炎(condensing osteitis) (B)骨化纖維瘤(ossifying fibroma) (C)早期牙根尖牙骨質-骨質發育不良(early-stage periapical cemento-osseous dysplasia) (D)中期牙根尖牙骨質-骨質發育不良(middle-stage periapical cemento-osseous dysplasia)
73.附圖之下顎後牙區之根尖片影像,最可能之牙齒變異(tooth anomaly)為何?
(A)缺牙(missing tooth) (B)牛型臼齒(taurodontism) (C)牙本質發育不全(dentinogenesis imperfecta) (D)牙釉質發育不全(amelogenesis imperfecta)
74.顎骨中愛溫氏肉瘤(Ewing sarcoma)之放射線影像,最常呈現為下列何者? (A)界線清楚之放射線透過性病變(well-defined radiolucent lesion) (B)界線不清楚之放射線透過性病變(ill-defined radiolucent lesion) (C)混合放射線透過性和不透過性病變(mixed radiolucent and radiopaque lesion) (D)放射線不透過性病變(radiopaque lesion)
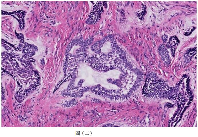
75.28 歲男性因左下顎有一無疼痛的腫脹,經影像檢查如附圖(一)所示,切片後病理鏡檢如附圖(二),結合 影像的發現,此病人最可能罹患下列何種疾病?
(A)腺瘤樣齒源性瘤(adenomatoid odontogenic tumor) (B)造釉細胞瘤(ameloblastoma) (C)鈣化上皮齒源性瘤(calcifying epithelial odontogenic tumor) (D)齒源性角化囊腫(odontogenic keratocyst)
76.43 歲女性因右下顎缺牙想要植牙,經 X 光檢查如附圖所示,此病人最可能罹患下列何種疾病?
(A)麥克滾-阿爾布萊德氏症候群(McCune-Albright syndrome) (B)繁盛性牙骨質骨發育不良(florid cemento-osseous dysplasia) (C)變形性骨炎(Paget disease of bone) (D)家族性巨大畸形牙骨質瘤(familial gigantiform cementoma)
77.附圖為典型之頭頸部軟組織鈣化或骨化的部位示意圖,其中那一編號為扁桃腺結石(tonsilloliths)好發部位?
78.如圖 X 光影像所示,下列敘述何者錯誤?
(A)此 X 光影像所顯示疾病最可能是 Treacher Collins syndrome (B)左側中央,短而細的箭頭指的是 wormian bones in the occipital region (C)此 X 光影像所顯示疾病最可能是 cleidocranial dysplasia (D)右側中上,長而粗的箭頭指的是 open fontanel
79.下列何者為數位影像壓縮(digital image compression)最主要的目的? (A)保留最佳品質 (B)降低數位影像檔案的大小 (C)符合醫院評鑑的需求 (D)降低成本以減少病人負擔
80.下列何者不屬於游離輻射造成的 deterministic effect? (A)皮膚灼傷(skin burns) (B)放射線骨壞死(osteoradionecorsis) (C)輻射引發的白內障 (D)遺傳效應(hereditary effects)