所屬科目:牙醫學(四)(包括口腔顎面外科學、牙科放射線學等科目及其相關臨床實例與醫學倫理)
1.下列那一個敘述符合口內皮瓣設計的原理?①皮瓣的高度最好是底部寬度的兩倍②最好能夠包含中軸血液供應(axial blood supply) ③皮瓣根部最好不要扭曲 (A)僅①② (B)僅②③ (C)僅①③ (D)①②③
2.有關神經損傷及修復的敘述,何者正確? (A)neurotmesis,為損傷造成神經部分切斷,通常自發性復原機會極高,預後較好 (B)axonotmesis,為最嚴重的神經損傷,通常神經功能將持續異常,預後最差 (C)neuropraxia,為神經髓鞘及軸索的損傷,功能修復可在3~6個月內復原 (D)Wallerian degeneration,為神經在損傷後,髓鞘及軸突的近心端會進行變性,遠心端會進行分解
3.下列對於penicillins抗生素的敘述,何者正確? (A)penicillins會抑制細菌細胞壁的合成,對staphylococci特別具有療效 (B)6%的人對此藥會有過敏反應,首選的替代用藥為metronidazole (C)penicillin V通常為口服,penicillin G則為注射使用 (D)amoxicillin在血清的半衰期比ampicillin短,不適合作為細菌性心內膜炎的預防用藥
4.下列有關傷口止血的敘述,何者正確? (A)可用局部塗敷凝血酶(thrombin)止血 (B)大血管出血需使用可吸收線材綑綁,以免造成異物反應 (C)不可使用epinephrine止血 (D)使用電刀止血必須保留出血點上及周圍之血液與液體,以利形成血栓
5.45歲的男性病人,1個月內曾有心肌梗塞發作的病史,因局部牙齦發炎及腫痛來院求診,經醫師診斷為蜂窩性組織炎合併有下顎囊腫及阻生智齒。下列對此病人的處置,何者正確?(A)欲安排進行較大型的手術與重建治療,應延後至病人心肌梗塞發作後滿3個月再施行(B)病人看診前半小時,需常規使用硝化甘油(nitroglycerin)做預防性治療較安全(C)施行口腔局部治療時,需給與足夠的局部麻醉劑,腎上腺素的用量不要超過0.004 mg(D)看診應減輕病人焦慮,治療時可給與笑氣
6.下列有關麻醉藥注射針斷針之敘述,何者錯誤? (A)麻醉藥注射前不要折彎注射針,以免增加斷針機會(B)注射後上齒槽神經(posterior superior alveolar nerve)較下齒槽神經(inferior alveolar nerve),易發生斷針(C)病人無預期的轉頭,易增加斷針機會(D)注射針用力碰撞骨骼,易增加斷針機會
7.在使用局部麻醉劑前,下列何種狀況應特別考量添加血管收縮劑的必要性及風險?①甲狀腺機能亢進 ②sulfite過敏 ③長期服用tricyclic antidepressants(A)僅①②(B)僅②③(C)僅①③(D)①②③
8.下列有關牙齒拔除後傷口癒合的敘述,何者錯誤? (A)第二週的特徵,為齒槽內充滿了肉芽組織,並且類骨質(osteoid)沉積其內(B)第一週為發炎期,纖維組織開始增生(C)完整上皮覆蓋(epithelialization)通常完成於第二週(D)拔牙6個月後,由X光影像上,可看到原來清晰易辨的齒槽骨板(lamina dura)消失
9.有關多生牙,下列敘述何者錯誤? (A)阻生正中贅齒妨礙恆門齒萌發時,可於恆門齒牙根形成至2/3時拔除(B)阻生多生牙無妨礙正常恆齒萌發時,可以暫時追蹤觀察(C)多生牙仍有可能萌發至口腔中(D)阻生多生牙不可能併發含牙囊腫
10.下列有關翻瓣拔牙後傷口縫合處理之敘述,何者正確? (A)使用8字結(figure-of-eight)可使出血中之傷口完全止血(B)皮瓣覆蓋齒槽骨可以避免骨質壞死(C)傷口縫合越緊越好,以利止血(D)縫合線結必須置於切線上,以利皮瓣兩邊張力平衡
11.Triangular elevator拔牙所使用的原理為下列何者? (A)wheel-and-axle (B)wedge (C)third-class lever (D)second-class lever
12.上顎阻生第三大臼齒最常出現的角度是: (A)mesioangular (B)vertical (C)distoangular (D)horizontal
13.關於壞死性筋膜炎,下列何者最有療效? (A)單次膿液抽吸,送細菌學檢查 (B)切開引流手術(incision and drainage),繼續抗生素治療 (C)反覆膿液抽吸,送細菌學檢查 (D)筋膜切開術(fasciotomy)合併清創(debridement),繼續抗生素治療
14.下列何種抗生素,較不易造成偽膜性腸炎(pseudomembranous colitis)腹瀉之副作用? (A)amoxicillin (B)clindamycin (C)metronidazole (D)cephalexin
15.頭頸部感染的病人,下列何種情形最不需要住院治療? (A)發高燒,體溫到攝氏40度 (B)頰間隙(buccal space)感染 (C)吞嚥困難,呼吸急促 (D)有脫水現象
16.下列手術何者又稱為唇轉位(Lip switch)? (A)Dean technique (B)transpositional flap vestibuloplasty (C)submucosal vestibuloplasty (D)Clark vestibuloplasty
17.以同種異體骨移植(allografts)來重建齒槽骨的優點,不包括下列何者? (A)避免額外的供體部位(donor site) (B)較容易取得 (C)病人在門診即可接受此類手術 (D)具有幹細胞
18.有關顴骨植體(zygomatic implants)的敘述,下列何者錯誤? (A)當上顎骨嚴重萎縮或缺損時,所採取的特殊植牙方式 (B)顴骨植體長度可由35~55 mm,是一般植體的4~5倍長 (C)手術置入植體可能穿越上顎竇,到達顴骨體處 (D)植體通常由上顎犬齒區露出,結合後上顎的植體,成為固定的贋復體
19.有關上顎竇增高術的敘述,下列何者錯誤? (A)出現多個頰-腭方向的中隔時,即無法採用側方開窗術 (B)側方開窗術通常適用於上顎竇底部的齒槽嵴不足4 mm時 (C)以transcrestal approach所進行的手術,通常增高超過4 mm時,會增加上顎竇黏膜穿孔的風險 (D)若遭遇小於5 mm的上顎竇黏膜穿孔時,可使用吸收性的生物膜修補
20.下列何者不是施行冷凍切片(frozen section)的適應症? (A)鑑別診斷大型單囊性顎骨病灶(large unilocular jaw lesion) (B)鑑別診斷多室型放射線透射病灶(multilocular radiolucent lesion) (C)診斷口腔黏膜的類天皰瘡(pemphigoid)病灶 (D)骨膜(periosteum)切片檢查以判斷腫瘤是否有髓質侵犯(medullary invasion)
21.關於痣樣基底細胞癌症候群(nevoid basal cell carcinoma syndrome)病人的頭部特徵,下列何 者錯誤? (A)前額隆起(frontal bossing) (B)眼距過寬(hypertelorism) (C)大腦鐮鈣化(calcified falx cerebri) (D)上顎前突(maxillary protrusion)
22.造釉細胞瘤(ameloblastoma)的組織型態分類,包括下列何者? (A)非角化型(non-keratinizing type) (B)濾泡型(follicular type) (C)多形性型(pleomorphic type) (D)黏液型(mucous type)
23.發生在舌前2/3之鱗狀細胞癌,其同側頸部淋巴轉移的機會,下列分區中何者最高? (A)level Ⅴ (B)level Ⅱ (C)level Ⅲ (D)level Ⅳ
24.下列藥品中,何者與誘發口瘡性口腔炎(aphthous stomatitis)最有關? (A)Cox-2 inhibitors (B)acyclovir (C)nystatin (D)denosumab
25.關於顎骨肉瘤(sarcoma of jaw)的敘述,下列何者正確? (A)對於骨肉瘤(osteosarcoma)的手術治療,雖然臨床及影像學檢查未發現淋巴轉移,仍應進行選擇 性頸部淋巴廓清術(elective neck dissection) (B)低度惡性纖維肉瘤(low-grade fibrosarcoma)應以廣泛性切除手術搭配輔助性放射治療 (adjuvant radiotherapy),以求好的疾病控制 (C)對於手術治療後發現高度惡性脂肪肉瘤(liposarcoma),則應加入輔助性放射治療(adjuvant radiotherapy) (D)細胞型態對於橫紋肌肉瘤(rhabdomyosarcoma)是一個重要的預後指標,在10歲以上兒童族群,以 胚胎型橫紋肌肉瘤(embryonal rhabdomyosarcoma)最為常見
26.頸部淋巴群介於二腹肌(digastric muscle)之前後二腹間,屬於下列何者? (A)level ⅠA (B)level ⅠB (C)level Ⅱ (D)level Ⅲ
27.下列何者在手術時或術後的病理檢查,最可能發現epithelial lining? (A)traumatic bone cyst (B)median mandibular cyst (C)aneurysmal bone cyst (D)Stafne's bone cyst
28.齒源性角化囊腫(odontogenic keratocyst)與下列何基因突變最相關? (A)SMO (B)PTCH (C)BCL (D)SHH
29.以環口放射線影像診斷顎骨囊腫時,通常可發現下列何種特性? (A)經常出現牙根吸收現象 (B)周邊骨質常出現緻密反應,可與正常骨質有明顯區別 (C)絕大多數是多房性 (D)囊腫中心通常呈現毛玻璃樣(ground glass)影像
30.顎骨囊腫的治療,下列敘述何者正確? (A)單房性(unilocular)囊腫不可使用剜除術為治療術式 (B)多房性(multilocular)囊腫,手術前建議先進行切片檢查確定診斷 (C)如囊腫過大或鄰近重要神經組織,應先使用剜除術後再使用造袋術 (D)含齒囊腫剜除時,通常會將阻生齒保留
31.下列顎骨囊腫中,若囊腫大小皆為類似,且未造成任何組織與器官的沾黏,更無造成病理性骨折的 疑慮,何者最需要剜除術(enucleation)合併刮除術(curettage)? (A)含齒囊腫(dentigerous cyst) (B)齒源性角化囊腫(odontogenic keratocyst) (C)鼻腭囊腫(nasopalatine cyst) (D)根尖囊腫(radicular cyst)
32.關於下顎枝垂直截骨術(vertical ramus osteotomy)的敘述,下列何者錯誤? (A)可以從顎下(submandibular)切線暴露出下顎枝 (B)可以從口內切線暴露出下顎枝 (C)遠心段(distal segment)是指包含髁(condyle)的骨段 (D)可以使用顎間固定(IMF),也可以用鋼線、骨板或骨釘作內固定
33.有關正顎手術的併發症,下列何者錯誤? (A)施行下顎枝垂直截骨術,術中可能造成上顎動脈(maxillary artery)或咬肌動脈(masseteric artery)出血 (B)施行矢向分裂截骨術,可能會造成下齒槽神經、舌神經或顏面神經的損傷 (C)矢向分裂截骨術後,可能發生顳顎關節障礙的併發症 (D)矢向分裂截骨術,骨段接觸面積大且有內固定,術後不會有復發(relapse)
34.關於口內下顎枝垂直截骨術(intraoral vertical ramus osteotomy)的敘述,下列何者錯誤? (A)Bauer retractor是要用來避免手術中傷害到下齒槽神經 (B)antilingular eminence可作為下顎孔(mandibular foramen)位置的參考標記之一 (C)骨切線可距離下顎骨後緣6~7 mm (D)與矢向分裂截骨術(sagittal split osteotomy)相比,對於神經的傷害較少
35.下列因素何者可能導致牙齒拔除後的疼痛持續存在?①傳入性神經(afferent nerve)損傷導致局 部神經過度活躍 ②中樞神經系統的過度活躍 ③交感神經系統活性異常 (A)僅①② (B)僅①③ (C)僅②③ (D)①②③
36.Ramsay Hunt綜合症主要影響那一條腦神經? (A)三叉神經 (B)舌咽神經 (C)顏面神經 (D)迷走神經
37.關於偏頭痛(migraine)的敘述,下列何者錯誤? (A)患者以女性為多,通常單側頭痛,部分患者在發作前會有前兆(aura) (B)一般症狀持續4~72小時,大多數患者發作時會噁心、畏光 (C)誘發因子包括生理期、壓力、影響血管作用的食物或藥物、肌肉骨骼障礙造成三叉神經區域的疼痛 (D)預防勝於治療,平日應以曲坦類(triptans)藥物控制
38.有關唾液腺惡性腫瘤,下列敘述何者錯誤? (A)常見包含mucoepidermoid carcinoma、adenoid cystic carcinoma、adenocarcinoma (B)主唾液腺中parotid gland最常發生 (C)mucoepidermoid carcinoma是主唾液腺中最常見的惡性腫瘤 (D)adenoid cystic carcinoma最常發生在submandibular gland
39.腮腺的副交感神經支配源自於何處? (A)上唾液核(superior salivatory nucleus) (B)舌咽神經的鼓室分支(tympanic branch of the glossopharyngeal nerve) (C)鼓索神經(chorda tympani) (D)顏面神經(facial nerve)
40.下列何者不適用於腮腺腫瘤的處置? (A)enucleation (B)superficial parotidectomy (C)total parotidectomy (D)modified Blair incision
41.下列facial buttress何者不是用來提供垂直方向的支撐(vertical support)? (A)nasomaxillary buttress (B)zygomatic buttress (C)pterygomaxillary buttress (D)frontal buttress
42.附圖中箭頭所指的骨折屬於下列何者? (A)condylar neck (B)diacapitular (C)subcondylar (D)sigmoid notch
43.對於外傷脫落開放根尖的牙齒,下列處理何者錯誤? (A)脫落時間小於2小時,應該儘速做根管永久性充填 (B)可以保存在牛奶或是Hanks溶液 (C)重新植入後,需固定(splinting)7~10天 (D)必要時可用氫氧化鈣幫助根尖成形(apexification)
44.下列情況中,何者最容易造成前牙開咬? (A)勒福一型骨折(Le Fort Ⅰ fracture) (B)顴骨骨折 (C)下顎骨喙狀突(coronoid process)骨折 (D)鼻骨骨折
45.關於下顎骨骨折的敘述,下列何者錯誤? (A)柳條狀骨折(greenstick fracture)是指未完全骨折,或是骨折只影響到單側皮質骨 (B)雙側下顎骨角骨折,不會造成前牙開咬,也不會影響呼吸道 (C)下顎骨開放性骨折是指經由皮膚、黏膜或牙周組織等與外界相通的骨折 (D)下顎骨骨折可依照部位、生物力學、骨折型態來分類
46.關於牙齒側向脫位(lateral luxation),下列敘述何者最不合理? (A)一般而言,要儘快予以復位固定 (B)牙齒復位後應固定4週 (C)脫位嚴重伴隨齒槽骨斷裂時,可能合併牙齦軟組織外傷,硬組織復位固定後需縫合牙齦組織 (D)一般而言,側向脫位的牙齒通常不需要根管治療處理,因為牙髓組織壞死的機率很低
47.關於唇腭裂手術後殘留腭瘻管的敘述,下列何者正確? (A)原本腭裂越嚴重,術後發生腭瘻管的比例越高 (B)腭瘻管最常發生在門齒孔之前的硬腭區 (C)腭瘻管第二常見發生在軟硬腭交界處 (D)通常都是在施行正顎手術時做殘留腭瘻管修補
48.有關唇腭裂修補手術,下列敘述何者正確? (A)Von Langenbeck operation是一種唇縫合手術(cheilorrhaphy) (B)硬腭裂手術關閉需包括軟組織及硬組織修補 (C)Vomer flap可用於軟腭裂修補 (D)軟腭裂修補需包含鼻黏膜、肌肉及口腔黏膜
49.在牙科治療過程中,對於發生過度換氣(hyperventilation)的敘述,下列何者最不適當? (A)可能會發生在對治療感到焦慮的病人,會有呼吸急促並自覺難以呼吸 (B)應暫停牙科治療,使病人採取坐姿 (C)因為有呼吸困難的現象,應使用張口器使其維持呼吸道暢通 (D)若經由基本處置後(包括吸入二氧化碳比例高的空氣),症狀仍然持續,可給與diazepam
50.關於牙科治療異物吞入的敘述,下列何者最不適當? (A)發生異物吞入應拍攝胸部X光及腹部X光進行確認 (B)使用橡皮障(rubber dam)能減少異物吞入的發生 (C)平躺(supine)的姿勢較容易發生異物吞入 (D)進入氣管的異物一定會引起強烈的咳嗽
51.下列何者不屬於牙科診間急救箱中的常備藥物? (A)抗生素 (B)類固醇 (C)抗組織胺 (D)抗痙攣藥
52.病人聲稱近來有顫抖、心跳過速、體重減輕、血壓升高、易怒、不耐熱及眼球突出,最可能原因為 何? (A)甲狀腺功能亢進症(hyperthyroidism) (B)後天免疫缺乏症候群(acquired immunodeficiency syndrome) (C)糖尿病(diabetes mellitus) (D)腎上腺功能不足(adrenal insufficiency)
53.當右側不可復位顳顎關節盤前移合併左側可復位顳顎關節盤前移時,最不可能出現下列何者? (A)右側顳顎關節沒有彈響聲(clicking sound) (B)側方運動時,下顎往右側比往左側受限 (C)左側顳顎關節彈響聲(clicking sound) (D)張口度最大時下顎向右側偏移
54.醫師請病人於患側對側犬齒處咬壓舌板,藉此觀察患側的顳顎關節處是否有明顯痛感,關於此臨床 檢查的敘述,下列何者錯誤? (A)此臨床檢查名稱為Mahan's sign (B)若感覺疼痛,則表示患側的顳顎關節可能有病變 (C)若感覺疼痛,可診斷病人之患側關節於Wilkes分級常為Ⅱ、Ⅲ、Ⅳ (D)若病人不感覺到疼痛,則可以診斷此關節Wilkes分級為Ⅰ
55.關於顳顎關節全置換,視野最佳的手術切線(surgical approach)為下列何者? (A)僅耳前切線即可(preauricular incision alone) (B)耳前切線加下顎後切線(preauricular incision + retromandibular incision) (C)僅需要顎下切線(submandibular incision alone) (D)僅需要冠狀切線(coronal incision alone)
56.有關人類免疫缺陷病毒(human immunodeficiency virus, HIV)陽性病患接受牙科治療,下列敘 述何者錯誤? (A)治療時依照感控標準程序做預防處理 (B)病患沒有主動告知醫師其已感染HIV的義務 (C)病患提供其感染事實後,醫師不得拒絕提供治療 (D)HIV病患可以接受拔牙等侵入性治療
57.β射線之LET(linear energy transfer)比α射線小,因此它的組織穿透力與α射線的比較結果 為何? (A)較大 (B)較小 (C)一樣 (D)不一定,因不同組織而異
58.牙科X光檢查,除了要提高管電壓,增加濾片厚度以外,常使用長方形的瞄準儀(collimator), 其主要的目的是為了減少病人的: (A)不適感 (B)暴露時間 (C)暴露面積 (D)移動
59.下列何者不是傳統X光底片中鉛薄片(thin lead foil)的主要功能? (A)防止後向散射(backscatter radiation) (B)減少病人的輻射暴露 (C)發現拍攝時底片的方向錯誤 (D)降低影像的對比(contrast)
60.下列口外片的拍攝方法,何者的底片匣最靠近頭頂? (A)submentovertex projection (B)Waters projection (C)cephalometric projection (D)reverse Towne projection
61.關於拍攝根尖片(periapical film)的步驟,下列何者為正確排序?①調整X光機的拍攝條件 ② 請病人進行拍攝前準備並坐上位置 ③完成拍攝 ④開啟X光機並準備設備 ⑤將接受器 (receptor)放入病人口中 (A)④①②⑤③ (B)④②①⑤③ (C)④②⑤①③ (D)④⑤①②③
62.下列何種2D影像攝影較適合用於檢查病人的顱底腫瘤或顴骨弓骨折? (A)lateral cephalometric projection(B)posteroanetrior cephalometric projection(C)submentovertex projection(D)reverse Towne projection
63.照X光時使用之鉛裙,其鉛的厚度至少為幾mm? (A)0.10(B)0.15(C)0.20(D)0.25
64.側顱X光片可用於評估呼吸道的狀況,下列何者最有可能是附圖中黑色箭頭所指的部位? (A)鼻腔(nasal cavity)(B)鼻咽(nasopharynx)(C)口咽(oropharynx)(D)下咽腔(hypopharynx)
65.附圖X光影像中,星號所標示的解剖構造為何? (A)鼻腭管(nasopalatine canal)(B)鼻淚管(nasolacrimal canal)(C)鼻腭囊腫(nasopalatine cyst)(D)根尖囊腫(radicular cyst)
66.上顎門齒區之根尖X光片中,下列何者最不常見? (A)門齒孔(incisive foramen)(B)前鼻棘(anterior nasal spine)(C)上顎間縫(intermaxillary suture)(D)鼻唇皺摺(nasolabial fold)
67.附圖X光片中,右上側門齒的牙根異常為何? (A)牙根內吸收(internal root resorption)(B)牙根外吸收(external root resorption)(C)牙根齲齒(root caries)(D)牙根斷裂(root fracture)
68.關於圖中36、37齒間牙周炎破壞區域的X光攝影特徵,下列敘述何者錯誤? (A)有垂直骨缺損(vertical bone defect)(B)有齒間陷口(interdental crater)(C)有牙結石(D)有反應性骨硬化(reactive bone sclerosis)
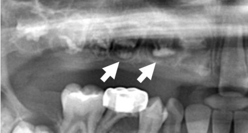
69.38歲女性,主訴右側牙齦持續腫脹、咬痛數週,口檢時發現右下第二小臼齒頰側黏膜牙齦連接 (mucogingival junction)附近有膿腫(abscess),電髓試驗結果10/10。環口放射線攝影 (panoramic radiography)與牙根尖放射線攝影(periapical radiography)結果如附圖。有關 箭頭所標示的放射線透過性(radiolucent)區域,下列敘述何者正確?(A)a是根尖炎性疾病(periapical inflammatory disease)造成的;b是頦孔(mental foramen)(B)a與b都是根尖炎性疾病(periapical inflammatory disease)造成的(C)a是頦孔(mental foramen);b是根尖炎性疾病(periapical inflammatory disease)造成的(D)a與b都是頦孔(mental foramen)
70.依據附圖X光片,最不可能的診斷為何?(A)osteoporosis(B)osteomyelitis(C)osteoradionecrosis(D)medication-related osteonecrosis(MRONJ)
71.環口X光影像中靠近第3、4節頸椎處,箭頭所指軟組織中的鈣化物,最可能的診斷為下列何者? (A)calcified atherosclerotic plaque(B)osteophytes of cervical spine(C)sialoliths(D)tonsilloliths
72.關於下顎骨骨折的評估,下列敘述何者最不適當? (A)懷疑下顎骨角骨折,可以拍攝咬合片評估(B)懷疑下顎骨骨體骨折,可以拍攝oblique lateral評估(C)懷疑下顎骨髁頭骨折,可以拍攝環口片評估(D)懷疑下顎骨聯合骨折,可以拍攝咬合片評估
73.附圖所示之X光影像是由何種拍攝方式所產生? (A)posteroanterior projection(B)Waters projection(C)reverse Towne projection(D)oblique lateral projection
74.承上題,這種影像,最不適合評估下列何者? (A)慢性鼻竇炎(B)下顎骨髁頭骨折(C)眼眶骨骨折(D)顴骨骨折
75.下列疾病何者不具有如圖之影像學特徵?(A)腺瘤樣齒源性瘤(adenomatoid odontogenic tumor) (B)平伯氏腫瘤(Pindborg tumor) (C)齒源性角化囊腫(odontogenic keratocyst) (D)戈林氏囊腫(Gorlin cyst)
76.下列何種疾病最可能導致顎骨整體性骨密度偏低(generalized rarefactions of the jaw bones),類似骨質疏鬆(osteoporosis)的影像特徵? (A)克新氏症候群(Cushing's syndrome) (B)戈林氏症候群(Gorlin syndrome) (C)阿爾培可欣堡病(Albers-Schonberg disease) (D)嘉德耐氏症候群(Gardner's syndrome)
77.附圖箭頭所指之牙齒影像被稱為下列何者? (A)殼狀牙齒(shell teeth) (B)影子牙齒(ghost teeth) (C)鏟形牙齒(shovel teeth) (D)牙中牙(dens in dente)
78.下列何者最不會呈現多發性放射線透過性病變(multifocal radiolucencies)? (A)繁盛性牙骨質骨發育不良(florid cemento-osseous dysplasia) (B)天使病(cherubism) (C)蘭格罕氏細胞組織細胞增多症(Langerhans cell histiocytosis) (D)甲狀腺機能亢進(hyperthyroidism)
79.關於牙科數位X光影像與傳統X光影像之敘述,下列何者正確? (A)數位X光影像所需之初期建置成本較低(B)數位X光影像較容易被複製與傳遞(C)傳統X光影像輻射劑量暴露較少(D)傳統X光影像需使用photostimulable phosphor(PSP)technology
80.關於頭頸部癌症放射線療法副作用之敘述,下列何者錯誤? (A)可造成急性黏膜炎及皮膚炎(B)黏液性唾液腺較漿液性唾液腺更具放射線敏感性(C)下顎骨發生放射線性骨壞死的機率較上顎骨為高(D)治療開始前三週以上完成牙科治療,可大幅降低發生放射線性骨壞死之機會