所屬科目:牙醫學(四)(包括口腔顎面外科學、牙科放射線學等科目及其相關臨床實例與醫學倫理)
42.圖示之下顎骨骨折,單純使用骨內固定時的考量,下列敘述何者錯誤? (A)必須考慮以load bearing osteosynthesis的概念來進行固定 (B)可以使用數片2.0 mm的迷你骨板進行骨塊的復位及固定 (C)進行骨塊固定前需先確認咬合 (D)在骨體中間及靠牙齒區域不合適使用雙皮質骨釘(bicortical screws)進行固定
45.對於附圖的骨折說明,何者最適當?①compound fracture ②complex fracture ③simple fracture (A)僅① (B)①② (C)①③ (D)②③
61.下列何者不屬於咬翼片(bite-wing film)所使用之接受器裝置(receptor-holding device)? (A)(B)(C)(D)
64.附圖CT影像中,何者為鼻淚管(nasolacrimal duct)? (A)1 (B)2 (C)8 (D)22
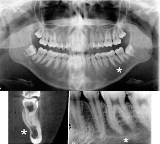
65.附圖X光影像中,星號所指之放射線透過性區域為何? (A)顎下窩(submandibular fossa) (B)創傷性骨囊腫(traumatic bone cyst) (C)單純性骨囊腫(simple bone cyst) (D)骨質疏鬆症(osteoporosis)
66.所附電腦斷層影像中,白色箭頭所指為下列何者? (A)篩竇(ethmoid sinus) (B)蝶竇(sphenoid sinus) (C)上顎竇(maxillary sinus) (D)乳突氣房(mastoid air cells/mastoid process)
67.病人左下第二小臼齒處腫脹疼痛,X光檢查結果如圖,其左下第二小臼齒有何形態異常? (A)第一型牙本質發育不良(dentin dysplasia type I) (B)雙生齒(gemination) (C)齒中齒(dens invaginatus) (D)齒外齒(dens evaginatus)
68.附圖X光片中,左下門齒有何形態異常? (A)雙生齒(gemination) (B)融合齒(fusion of teeth) (C)連合齒(concrescence) (D)巨齒症(macrodontia)
69.病人被診斷有牙周病,故每日清潔牙齒5次,每次皆用牙線清潔10分鐘。因牙齒對冷熱水敏感,就診時拍攝根尖X光片如下,其齒頸部異常為何? (A)磨耗(abrasion) (B)咬耗(attrition) (C)齒腐蝕(erosion) (D)內吸收(internal resorption)
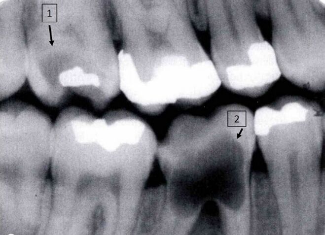
70.病患因右邊牙齒對冷熱食物刺激有疼痛感而來檢查,臨床檢查發現牙齒顏色變化,根尖X光片如附圖,標示1 與2處最可能的診斷為何? (A)1為齲齒(dental caries);2為內吸收(internal resorption) (B)1為內吸收(internal resorption);2為齲齒(dental caries) (C)1、2皆為齲齒(dental caries) (D)1、2皆為內吸收(internal resorption)
71.附圖之錐束電腦斷層掃描(cone beam computed tomography)片中,黑色箭頭所指牙齒異常為何? (A)咬耗(attrition) (B)磨耗(abrasion) (C)齲齒(dental caries) (D)內吸收(internal resorption)
72.左下側門齒為活性牙且無臨床症狀,經過長時間追蹤的影像如附圖,其最可能的診斷為何? (A)sclerosing osteitis (B)periapical cemento-osseous dysplasia (C)fibrous dysplasia (D)dense bone island
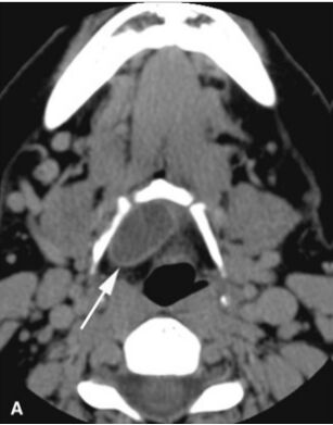
74.一位中年女性因前頸部出現不痛的腫塊而就醫,該腫塊的電腦斷層影像如白色箭頭所指,下列何者為最可能之臨床診斷? (A)branchial cleft cyst (B)lymphoepithelial cyst (C)thyroid goiter (D)thyroglossal duct cyst
75.附圖為唾液腺疾病於使用顯影劑的電腦斷層影像,下列何者為最可能之診斷? (A)obstructive sialodochitis (B)chronic sialadenitis (C)autoimmune sialadenitis (D)tumor displacement of salivary gland
78.附圖兩張X光片所呈現的影像,其臨床診斷最可能是下列何者? (A)纖維性發育不良(fibrous dysplasia) (B)淋巴結(lymph node) (C)造釉細胞瘤(ameloblastoma) (D)涎石病(sialolithiasis)