所屬科目:腎臟科
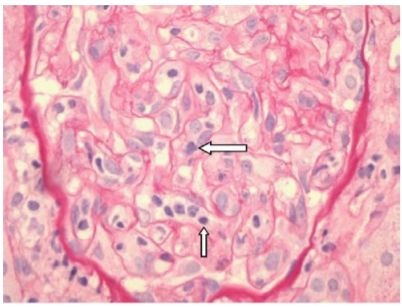
13. 某49歲男性病人因慢性腎絲球腎炎致尿毒症,於血液透析五年後接受由親妹妹捐贈腎臟的腎臟移植手術,但於移植手術三個月後發生尿量減少及血清肌酸酐上升(1.1 mg/dL -> 2.9 mg/dL),在超音波排除無血管或尿道問題後,腎臟穿刺病理如圖(A、B、C) 顯示C4d之螢光免疫染色為陽性,請問最好如何處置? (請選出所有適當組合的答案)(1)Plasmapheresis (2)Immunoglobulin infusion (3)OKT3 monoclonal antibody (4)Daclizumab (5)Anti-CD20 monoclonal antibody(A) (1)+(2)+(3)+(4)+(5) (B) (1)+(2)+(3) (C) (2)+(3)+(5) (D) (1)+(3)+(4) (E) (1)+(2)+(5)
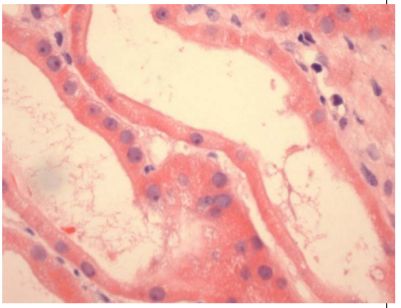
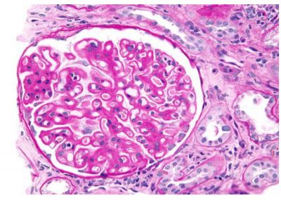
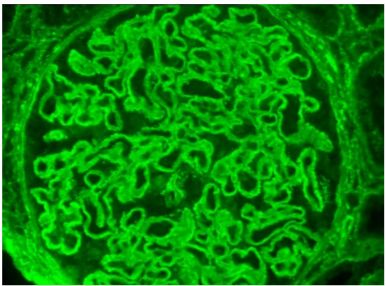
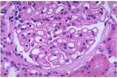
14. 某66歲病人因尿蛋白3+,血清白蛋白2.9 gm/dL,BUN 27 mg/dL, Cre 1.5 mg/dL, 經腎臟穿刺檢查為膜性腎病變,其病理如附圖(A、B、C、D), 請問其腎臟病與下列何者沒有關聯? (A) 梅毒 (B) B型或C型肝炎 (C) 抗Phospholipase A2 receptor抗體 (D) 抗Soluble urokinase plasminogen activator receptor抗體 (E) 惡性腫瘤