所屬科目:腎臟科
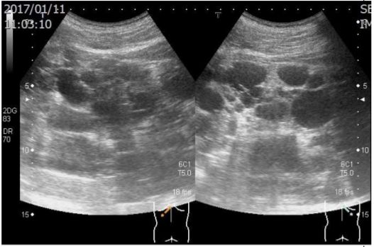
12. 某45歲男性已有高血壓5年,最近檢查有血尿RBC 10-20/HPF、Cre 1.2 mg/dL、超音波檢查發現兩側腎臟長徑超過15公分(如圖)及各有囊腫數目超過十個;家族史為父親自60歲開始血液透析,不曾顱內出血,父親的腎臟超音波亦有雷同的發現。 請問關於其腎臟疾病之敘述,下列何者為正確?(1)每年定期追蹤腎功能,即為預估日後是否需要透析治療之最敏感方法;(2)若其太太懷孕可做產前篩檢,其子女遺傳此腎臟疾病的機會為50%;(3) 以影像學檢查估算其腎臟體積,若超過600立方公分,其腎功能極可能持續逐年惡化;(4) 雖無症狀,應每年安排腦部血管Magnetic resonance angiography的檢查;(5)宜建議停止服用含女性荷爾蒙之避孕藥。 (A) (1)+(2)+(3) (B) (1)+(3)+(4) (C) (2)+(4) (D) (4)+(5) (E) (2)+(3)+(5)
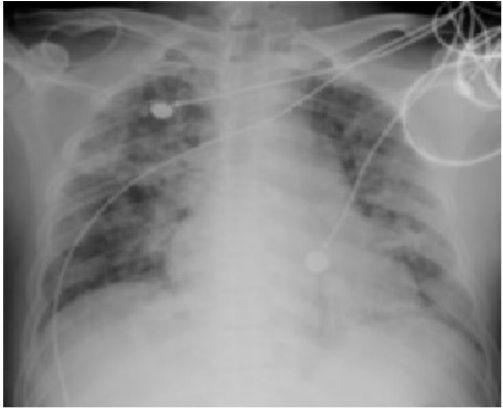
13. 某50歲台電員工於颱風後曾至水災地區處理倒塌電線桿,約10天後出現高燒、頭痛、肌肉痠痛、咳嗽帶血、呼吸急促,住院檢查後發現:結膜下出血(如圖一)、黃疸、腎功能失常、低血鉀等。胸部X光(如圖二)請問下列敘述何者為正確?(1)此病為以動物為宿主之寄生蟲所引起;(2)必須等待病原體之血液培養結果為陽姓,方能確定診斷與開始治療;(3)發病十天後體內已產生抗體,但尿液中仍可能有病原體之存在;(4)此病即Weil's disease,有高死亡率之危險;(5)此病靠臨床診斷,須立即給予抗生素治療。 (A) (2)+(3)+(4) (B) (1)+(2)+(4) (C) (1)+(3)+(4) (D) (3)+(4)+(5) (E) (1)+(4)+(5)
15. 某40歲男性無糖尿病或高血壓病史、過去常有間歇性肢體疼痛、皮膚病變(如圖)、不易流汗、尿蛋白(++)、腎功能失常(Cre 3.0 mg/dL),其家族史為兩位兄長兄分別死於心臟衰竭及腦血管意外及血液透析。請問下列何者不正確?(1) 應為Gaucher disease;(2)宜安排眼科、心臟方面檢查;(3)其姊妹應該都不會有症狀;(4)尿液檢查可出現 "Maltese crosses"的沉澱物;(5) 腎臟病理多為focal segmental glomerulosclerosis(FSGS)。 (A) (1)+(3) (B) (2)+(3) (C) (3)+(5) (D) (1)+(3)+(5) (E) (2)+(4)+(5)