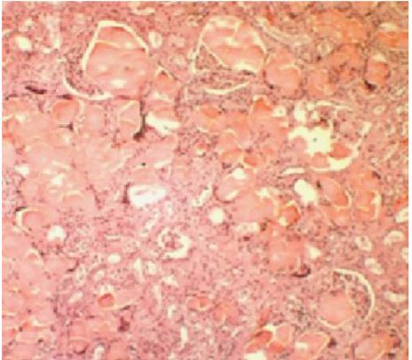
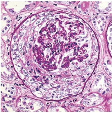
17. 一位54 歲女性,沒有糖尿病或有高血壓,但是有 proteinuria (2.4 g/24 hr), microscopic hematuria, 及polymyalgia。其他實驗室檢查: , Hb 8.6, MCV 90 (fL), MCHC 32 g/dL. serum creatinine 2.2 mg/dL, hypercalcemia ([Ca] 11.8 mg/dL), 及 urinary monoclonal protein。腎臟生檢(renal biopsy,結果如附圖)。病人的診斷最可能是:
(A) Wegener's granulomatosis (B) multiple myeloma (C) Hemolytic Uremic Syndrome (D) systemic lupus erythematosus (SLE) (E) Henoch-Schonlein Purpura