阿摩線上測驗
登入
首頁
>
重症呼吸治療學
> 104年 - 104-1 專技高考_呼吸治療師:重症呼吸治療學#36124
104年 - 104-1 專技高考_呼吸治療師:重症呼吸治療學#36124
科目:
重症呼吸治療學 |
年份:
104年 |
選擇題數:
80 |
申論題數:
0
試卷資訊
所屬科目:
重症呼吸治療學
選擇題 (80)
1.使用呼吸器的ARDS病患,呼吸器設定為ACMV,FiO
2
=1.0,f=16/min,VT=600 mL(體重 為75公斤),PEEP=5 cm H
2
O。動脈血氣體分析為pH 7.42,PaCO
2
35 mm Hg,PaO
2
58 mm Hg。pressure-volume的圖形如下,則下列設定何者較為合理?
(A)調高PEEP到12 cm H
2
O (B)調高PEEP到25 cm H
2
O (C)調為IRV(inverse ratio ventilation) (D)調高f為24/min
2.急性呼吸窘迫症候群(ARDS)會導致肺塌陷,當產生較嚴重之再吸收性肺塌陷 (reabsorption atelectasis)時,需多少之transmural pressure 才足以將塌陷之肺泡打開? (A)15~20 cm H
2
O (B)20~25 cm H
2
O (C)25~30 cm H
2
O (D)30~35 cm H
2
O
3.高頻呼吸器(high frequency ventilation)治療急性呼吸窘迫症候群(acute respiratory distress syndrome)的預後是: (A)比傳統呼吸器更能改善死亡率 (B)與傳統呼吸器有類似的死亡率 (C)效果不如傳統呼吸器 (D)高頻呼吸器不適用於急性呼吸窘迫症候群
4.下列敘述為急性呼吸窘迫症候群(acute respiratory distress syndrome)相關之肺部發炎的 病理生理機轉: ①循環中之嗜中性白血球(neutrophils)活化 ②嗜中性白血球(neutrophils)釋放出蛋白質酵素酶,破壞肺微血管之內皮細胞 ③嗜中性白血球(neutrophils)黏著於肺微血管之內皮細胞 ④肺間質組織浸潤 其發生之順序為何? (A)①②③④ (B)①③②④ (C)①③④② (D)③①②④
5.急性呼吸窘迫症候群(acute respiratory distress syndrome)相關之肺部發炎的病理生理機 轉以嗜中性白血球(neutrophils)活化為主,下列何者為嗜中性白血球相關最主要之發炎細 胞激素? (A)Interleukin-1 (B)Interleukin-6 (C)Interleukin-8 (D)Interleukin-12
6.一位65 歲男性,因急性呼吸衰竭,予以氣管內管插管,並給予呼吸器支持;在加護病房之胸 部 X 光顯示兩側肺部浸潤,呼吸器設定FiO2 : 60%下,PaO2為 60 mm Hg,支氣管鏡檢查之 支氣管肺泡沖洗液(bronchoalveolar lavage)檢驗顯示:嗜中性白血球(neutrophils)佔所 有細胞之80%,蛋白質比值(支氣管肺泡沖洗液/血清)> 0.7,以下為醫師可考慮之治療,何 者錯誤? (A)輸液補充(colloids/crystalloids) (B)呼吸器設定以低潮氣容積,提高吐氣末陽壓「positive end-expiratory pressure (PEEP)」為主 (C)高劑量利尿劑降低肺水腫 (D)病程第7~14 天,可考慮使用 2 to 3 mg/kg/day 類固醇治療
7.有關吸入型一氧化氮(Nitric oxide)於急性肺損傷(acute lung injury)與急性呼吸窘迫症候 群(acute respiratory distress syndrome)之臨床治療,下列敘述何者錯誤? (A)為較昂貴之治療方式 (B)可改善肺動脈壓力(pulmonary artery pressure) (C)可改善氧合(oxygenation) (D)可改善總死亡率(overall mortality)
8.急性呼吸窘迫症候群(acute respiratory distress syndrome)之臨床診斷,下列敘述何者錯 誤? (A)正面胸部 X 光顯示四分之三以上之肺部有實質病變 (B)PaO
2
/ FiO
2
< 200 mm Hg (C)肺順應性(lung compliance)> 40 mL/cm H
2
O (D)肺微血管楔壓(pulmonary capillary wedge pressure, PCWP)≤18 mm Hg
9.急性呼吸窘迫症候群(acute respiratory distress syndrome, ARDS)後的肺重塑(lung remodeling),下列敘述何者正確? (A)每個患者的重塑(remodeling)過程都一樣 (B)每個患者都會有廣泛的肺纖維化(pulmonary fibrosis) (C)每個患者的肺血管(pulmonary vasculature)都會被破壞殆盡 (D)部分患者在六到十二個月後,肺順應性(compliance)與氧合(oxygenation)會恢復到幾 乎正常
10.COPD急性惡化最常見的原因是: (A)呼吸道感染 (B)接觸過敏原 (C)氣胸 (D)服藥不當
11.欲防止氣喘病人auto PEEP之產生,應調整呼吸器之PEEP在何種範圍? (A)>20 cm H
2
O (B)10~20 cm H
2
O (C)5~10 cm H
2
O (D)0 cm H
2
O
12.23歲之年輕女性,因氣喘急性發作掛急診,使用下列何種藥物可最快產生支氣管擴張效果? (A)靜脈注射hydrocortisone 200 mg (B)加入aminophylline 500 mg於500 mL之5% glucose靜脈滴注24小時 (C)使用nebulizer吸入Atrovent (D)使用定量吸入器(metered-dose inhaler)吸入Ventolin
13.有位病患因呼吸喘鳴聲,運動喘,三個月前被診斷為氣喘,接受高劑量類固醇治療後,喘鳴 聲仍持續,對短效支氣管擴張劑反應不好,下列何種處置或診斷錯誤? (A)病患可能為頑固性氣喘,對類固醇反應無效 (B)病患可能是氣管腫瘤 (C)病患可能聲帶功能失調 (D)病患治療應加入長效支氣管擴張劑與白三烯素受體拮抗劑
14.阻塞性肺病的病患運動後肺功能的變化,下列敘述何者正確? (A)FRC下降 (B)IRV下降 (C)Residual volume(RV)下降 (D)ERV下降
15.下列那一種發炎細胞浸潤於呼吸道或表現於痰液的量與氣喘症狀的嚴重度相關性最高? (A)嗜伊紅性白血球 (B)肺泡吞噬細胞 (C)T輔助淋巴球-1型(Th1 lymphocytes) (D)肥大細胞
16.支氣管擴張症病患痰液分泌過量,有效治療可改善病人症狀,下列敘述何者正確?①使用吸 入性Gentamycin可造成嗜中性白血球凋零,減少痰液分泌 ②間歇正壓呼吸(intermittent positive pressure breathing)可以增加肺部換氣,改善痰液清除 ③負壓通氣(negative pressure ventilation)治療,易導致血液回流至胸腔,不適合使用於支氣管擴張症病患之痰 液清除 ④姿位引流(posture drainage)可使痰液由遠端氣道引流至近端氣道,增加病人 痰液清除能力 (A)①②③④ (B)僅①②③ (C)僅②③④ (D)僅①②④
17.成人慢性阻塞性肺疾(COPD)患者,有些患者往往PaCO
2
升高,此表現與成人慢性阻塞性 肺疾的病理與生理變化息息相關,下列那些敘述正確?①動脈血PaCO
2
高的病人,其 alveolar ventilation較差 ②PaCO
2
高的患者往往因ventilation/perfusion mismatching造成 ③Panlobular emphysema患者比較容易發展為高PaCO
2
④PaCO
2
與患者breathing work 成反比 (A)①②③④ (B)僅①②③ (C)僅②③④ (D)僅①③④
18.56歲有抽菸病史之男人,肺功能顯示:TLC及RV增加,DLCO減少,表示: (A)Emphysema (B)Pneumonia (C)Chronic bronchitis (D)Bronchial asthma
19.下列何者可評估疑似氣管腫瘤對氣道之影響? (A)Spirometry with volume-time curves (B)Spirometry before and after bronchodilator (C)Lung volume studies (D)Spirometry with flow-volume loop
20.成人慢性阻塞性肺疾患者急性呼吸衰竭,使用呼吸器,那些處置是恰當?①病患與呼吸器對 抗,先考慮使用鎮靜劑(Sedative) ②病患使用間歇性鎮靜且每日一段時間甦醒,比較起 持續使用鎮靜不需要每日一段時間甦醒,並不能縮短呼吸器使用時間 ③在代謝性酸中毒狀 況,呼吸器的設定由原先快速換氣通氣,突然將呼吸器速率變慢,可能導致有生命危險的嚴 重酸中毒 ④長期持續使用鎮靜劑,一定要考慮病患肌肉萎縮的問題 (A)僅①② (B)②③④ (C)僅③④ (D)①②④
21.對於燒燙傷病人的呼吸照護,下列敘述何者錯誤? (A)使用呼吸器的燒燙傷病人,有很高的機會(40~50%)產生ARDS (B)火場的溫度會高達攝氏500度以上,小支氣管常會因此而燒傷,所以每天作霧氣治療可以 預防肺泡傷害 (C)咽喉部位的傷害及水腫主要是因高溫所造成,有時需使用支氣管鏡來協助插管 (D)因為病人也會一氧化碳中毒,所以100%氧氣治療可以加速排除一氧化碳
22.下列有關門肺高壓(portopulmonary hypertension)的敘述,何者正確? (A)因為肺內分流(intrapulmonary shunt)增加,而導致低血氧 (B)可見於慢性晚期肝病患者,伴隨有門脈高壓 (C)嚴重時需要考慮肺臟移植 (D)長期使用bosentan可以有效改善症狀
23.全身性發炎反應症候群(systemic inflammatory response syndrome,SIRS)的敘述,下列 何者錯誤? (A)外傷可以引起全身性發炎反應症候群 (B)敗血症(sepsis)的定義為全身性發炎反應症候群加上體溫高於攝氏38.5度 (C)全身性發炎反應症候群有可能演變成多重器官衰竭症候群(multiple organ dysfunction syndrome) (D)全身性發炎反應症候群有可能因胰臟炎而引起
24.32歲女性病患因右下肺葉肺炎住院,病患為靜脈注射海洛因之毒癮者,血液培養顯示肺炎鏈 球菌(Streptococcus pneumoniae),目前已接受青黴素(penicillin)治療72小時,卻仍發 燒體溫攝氏39度,下列何者最有可能? (A)病患感染青黴素抗藥性肺炎鏈球菌(penicillin-resistant Streptococcus pneumoniae) (B)病患併發醫院性肺炎(nosocomial pneumonia) (C)病患併發吸入性肺炎(aspiration pneumonia) (D)血液培養為污染,應再重做一次
25.敗血症(sepsis)病人合併呼吸衰竭(respiratory failure),下列敘述何者錯誤? (A)呼吸衰竭和休克是敗血症很常出現的器官衰竭 (B)低血氧(hypoxemia)和高碳酸血症(hypercapnia)皆可能出現 (C)大多數敗血症的病人會增加每分鐘通氣量(minute ventilation),用以獲得足夠氧氣以及 代償代謝性酸中毒(metabolic acidosis) (D)大多數進展至呼吸衰竭的病人,最後都變成呼吸器依賴(ventilator dependent)
26.下列何者為多重器官衰竭最常見的原因? (A)外傷 (B)因醫治而引起的併發症(iatrogenic complication) (C)急性肝炎 (D)敗血症
27.ARDS 的病人導致 multiple organ dysfunction syndrome 時,通常會伴隨有嚴重的 pulmonary edema,關於肺臟在正常的生理狀況下如何清除過多水分之敘述,下列何者錯 誤?①正常情況下,microvascularhydrostatic pressure (P
mv
) + interstitial osmotic pressure (TT
i
) 會大於 microvascular osmotic pressure (TT
mv
) +interstitial hydrostatic pressure (P
i
) ②正常情況下,microvascular hydrostatic pressure (P
mv
) + interstitial osmotic pressure (TTi )會小於 microvascularosmotic pressure (TT
mv
) + interstitial hydrostatic pressure (P
i
) ③lymphatic drainage system is the primary operant system under nonpathologic conditions ④dense connective tissue 位於 peribronchovascular space 可以儲存正常肺內水量2倍的水 ⑤Drainage 會受到呼吸時 intrathoracic pressure 的影響 (A)僅①③ (B)僅②③ (C)僅②④ (D)僅①③⑤
28.76 歲男性,因肺炎住院,在住院期間發生了急性呼吸窘迫症(ARDS)。他本身是個多年的糖尿病患者,原本有四肢感覺異常現象。在插管使用呼吸器後,他使用鎮靜劑和神經肌肉阻斷劑有五天之久。在使用呼吸器三週後,他的肺已復原的差不多,因此準備拔管,然而因為病人太虛弱,拔管過程總是失敗。他四肢輕癱,無法分辨輕觸覺,頸部以下無法分辨冷熱。他對於問題可以適切的點頭來作答,也可以聳肩,肌電圖和神經傳導的檢查顯示近端和遠端的神經節傳導速度變慢,進而導致多塊肌肉的動作電位強度和感覺神經的動作電位減少。下列那一項最有可能是他無法拔管的原因? (A)重症肌無力 (B)Guillan-Barré syndrome(acute idiopathic demyelinating polyneuropathy) (C)麻痺後症狀 (D)重症多發神經病變(critical illness polyneuropathy)
29.於 sepsis 病人中引起 MODS,其中關於 microcirculatory dysfunction,下列敘述何者錯誤? (A)會形成 microthrombi (B)endothelial cell的damage,引起 swelling,導致 capillary lumen 狹窄 (C)紅血球會變形且破裂導致 capillary lumen 狹窄 (D)凝血機制被活化造成蛋白質 C 的增加
30.有關血管收縮劑(vasopressors)在敗血症休克的處理,下列何者最不適當? (A)Dopamine 或 Norepinephrine 均可考慮使用 (B)Dopamine 可增加心臟博出量 (C)Norepinephrine 可造成血管收縮但較不影響心臟博出量 (D)Vasopressin 可造成血管收縮及增加心臟博出量
31.過敏性休克,通常被歸類為下列何種休克? (A)低血容積性休克 (B)分布性休克 (C)心外阻塞性休克 (D)心因性休克
32.下列何者不是慢性嚴重性右心衰竭可能會導致心臟性惡病質(cardiac cachexia)的常見原 因? (A)肝臟與腸子充血導致食慾缺乏 (B)腸繫膜血流灌注不足 (C)脂肪吸收不良 (D)蛋白質吸收不良
33.下列有關病人使用機械通氣(mechanical ventilation)輔助治療之敘述,何者正確? (A)心律不整(arrhythmias)不常見 (B)心律不整(arrhythmias)不會影響病患死亡率 (C)心律不整與使用藥物無關 (D)心律不整與電解值不平衡有關
34.顱內壓(intracranial pressure,ICP)、平均動脈壓(mean artery pressure,MAP)與大腦 灌注壓(cerebral perfusion pressure,CPP)之間的關係,下列何者正確? (A)CPP = MAP - ICP (B)ICP = CPP + ICP (C)CPP = ICP + MAP (D)ICP = CPP - MAP
35.下列何者不是全身麻醉引起肺容積(lung volume)減少的原因? (A)橫膈膜收縮 (B)胸壁放鬆 (C)肺順應性(compliance)減少 (D)細胞外液體從胸腔移到腹腔
36.下列何者最不可能是開胸手術(thoracotomy)後的問題? (A)肺水腫 (B)支氣管血管出血 (C)肺栓塞 (D)腫瘤轉移
37.使用高濃度一氧化氮(NO)吸入治療病患,宜監視血中何種血紅素的變化? (A)CO-Hb (B)Met-Hb (C)Sul-Hb (D)H-Hb
38.Nitric oxide於1980年代被發現時,被認為是由何種細胞所分泌的物質? (A)上皮細胞 (B)中皮細胞 (C)內皮細胞 (D)黏液腺體細胞
39.一氧化氮(NO)吸入可用於治療何種臨床狀況? (A)早產兒合併急性呼吸窘迫症 (B)慢性阻塞型疾病 (C)心肌梗塞 (D)肺葉全切除術
40.若肺部有通氣-灌注不均的現象,有關一氧化氮(NO)治療之敘述,何者錯誤? (A)改善通氣良好部分之肺血流 (B)通氣不好部分之肺血流不受影響 (C)主要治療新生兒之Hypoxic respiratory failure (D)可促使肺部血管收縮
41.當高頻?振盪通氣(HFOV)平均氣道壓力(mPaw)隨著病患換氣而大幅度變動其可能原 因,下列敘述何者錯誤? (A)管路漏氣 (B)病患費力呼吸 (C)吐氣管路積水 (D)氣管內管口徑太小
42.下列何者為新生兒使用吸入性一氧化氮治療的好處? (A)肺部血管收縮 (B)降低全身性血管阻力 (C)增加心輸出量 (D)選擇性肺部血管擴張
43.下列何種非侵襲性陽壓呼吸器設定,最可能造成二氧化碳再吸入(rebreathing of CO
2
)? (A)吐氣呼吸道陽壓大於6 cm H
2
O (B)吐氣呼吸道陽壓小於4 cm H
2
O (C)吸氣呼吸道陽壓大於6 cm H
2
O (D)持續性呼吸道陽壓大於6 cm H
2
O
44.在使用壓力控制型呼吸設定(pressure-control mode)時,下列敘述何者錯誤? (A)壓力設定愈大,潮氣容積(tidal volume)愈高 (B)吐氣末陽壓愈高,潮氣容積(tidal volume)愈小 (C)呼吸系統順應性愈小,潮氣容積(tidal volume)愈小 (D)呼吸系統順應性愈大,潮氣容積(tidal volume)愈小
45.心衰竭病人使用連續性氣道陽壓(CPAP)可降低肺水腫發生機會。下列所述理由何者錯 誤? (A)CPAP可降低左心室的後負荷(afterload) (B)CPAP的效果不一定要插管才看得到 (C)使用CPAP後,病人吸吐胸內壓變化會變大(increased negative swing in intrathoracic pressure) (D)心衰竭病人於使用CPAP後心輸出量有可能增加
46.目前非侵襲性陽壓呼吸器之使用,最具實證醫學佐證的適應症是: (A)肺炎病人 (B)重度但穩定慢性阻塞性肺病病人 (C)慢性阻塞性肺病病人 (D)急性氣喘病人
47.多重器官衰竭病人使用呼吸器時,下列何者不是常用來計算壓力體積曲線的方法? (A)連續膨脹法(continuous expansion maneuver) (B)特大注射器法(super syringe method) (C)吸氣閉塞法(inspiratory occlusion method) (D)低流量法或均勻流量法(low flow or quasi-flow)
48.抽痰前於氣管內管給予部分生理食鹽水,下列敘述何者正確? (A)有效地使痰變稀 (B)對病人沒危險 (C)可能誘發支氣管收縮 (D)容易引起肺水腫
49. 關於 Airway occlusion pressure(P
0.1
)的敘述,下?何者正確? (A)可作為預測脫呼吸器成功的指標之一,正常值為 P
0. 1
> 6 cm H
2
O (B)和呼吸中樞驅?有關,其數值會受到肺部順應性(compliance)的影響 (C)為測上呼吸道關閉第100毫秒的吐氣壓? (D)必須在病人有自發性呼吸下測量
50.全身麻醉且使用呼吸器病人(定流速且容積控制型呼吸器模式 constant flow and volume control ventilation, pressure trigger -4 cm H2O)接受支氣管鏡檢查時,您預期呼吸器最可能 出現何種警告信號(alarm)? (A)高每分鐘換氣量警告信號(High minute ventilation alarm) (B)高潮氣量警告信號(High tidal volume alarm) (C)高呼吸道壓警告信號(High peak airway pressure alarm) (D)高呼吸次數警告信號(High respiratory rate alarm)
51.昏迷指數(Glasgow Coma Scale,GCS)是評估病人意識狀況重要指標之一,試問一位病 人對痛刺激會睜眼(to pain);可應答,但有答非所問的情形(confused);施以刺激時, 可定出疼痛位置(localize),請問此位病人之 GCS 為多少分? (A)10 (B)11 (C)12 (D)13
52.脈動血氧飽和監測儀(Pulse oximeter)所量測血氧飽和度不受下列何種因素的影響? (A)血中甲基藍(Methylene blue) (B)血中膽紅素(Bilirubin) (C)有色素指甲油(Nail polish) (D)血中靛氰綠(Indocyanine green)
53.使用呼吸器且無自主驅動的病人,吸氣期和吐氣期脈搏壓差(pulse pressure variation)可 為判定是否為輸液治療之依據。下列敘述何者錯誤? (A)原則上吸氣期和呼氣期脈搏壓差大於13% 應予輸液治療 (B)使用陽壓呼吸器且無自主驅動的病人吐氣期的脈搏壓差(pulse pressre difference, △PP)比吸氣期脈搏壓差(△PP)大 (C)對有自主呼吸的病人,吸氣期和吐氣期脈搏壓差(pulse pressure variation)無法為判定 是否為輸液治療之依據 (D)呼吸器給予的潮氣量(tidal volume)要夠大,才足以判定吸氣期和吐氣期脈搏壓差 (pulse pressure variation)是否為輸液治療之依據
54.最常造成ventilator-associated pneumonia的感染途徑為何? (A)血行性感染 (B)吸入口咽腔中的病菌 (C)吸入飛沫所攜帶的病菌 (D)抽痰時由空氣傳染
55.關於呼吸器相關肺炎的致病菌,下列敘述何者錯誤? (A)超過60%是革蘭式陰性桿菌 (B)革蘭式陰性桿菌的致病菌中,以pseudomonas aeruginosa最常見 (C)革蘭式陽性球菌以金黃色葡萄球菌最常見 (D)很少是多重致病菌(multiple pathogen)
56.關於呼吸器引起的肺損傷(ventilator induced lung injury, VILI)敘述,下列何者正確? (A)給與的潮氣容積大於10 mL/kg,可以避免VILI (B)給與適當的吐氣末陽壓(PEEP)可以避免VILI (C)給與低潮氣容積時,會引發細胞激素如TNF-α、IL-1β、IL-6等產生 (D)俯臥姿勢(prone position)會加重VILI
57.高PEEP對心血管系統的作用,下列何者正確? (A)升高RA pressure,增加venous return (B)造成pulmonary vascular resistance減低,使RV的afterload下降 (C)對於右心功能不好的病人,造成RV的擴張,造成心室中膈往左心偏移 (D)增加心輸出量(cardiac output)
58.加護病房的病患,下列何者為侵入性黴菌感染(invasive fungal infection)最常見的病原 體? (A)Aspergillosis species (B)Candida species (C)Mucormycosis (D)Cryptococcus species
59.使用呼吸器的病患,最少罹患下列那種院內感染? (A)肺炎 (B)尿道感染 (C)心內膜炎 (D)原發性血流感染(primary bloodstream infections)
60.使用呼吸器病患之呼吸器相關肺炎(ventilator-associated pneumonia)的敘述,下列何者錯 誤? (A)使用鼻胃管不會減少肺炎的機會 (B)病患接受早期餵食(early feeding)較不易產生肺炎 (C)將寄生在口咽與鼻咽部的細菌嗆入肺部為可能的致病機轉之一 (D)平躺病患較易產生肺炎
61.有關院內感染肺炎(nosocomial pneumonia)病患之預後,下列敘述何者正確?①葛蘭氏陽 性菌為最常見之致病菌 ②肺炎病患之菌血症(bacteremia)機會約為 10% ③肺炎病患併 發菌血症,其死亡率會增加 ④葛蘭氏陰性菌引起之肺炎較葛蘭氏陽性菌引起之肺炎死亡率 為高 ⑤院內感染肺炎病患死亡率約為 10% (A)僅②③④ (B)僅①②④ (C)僅①③④⑤ (D)僅③④
62.下列何者不是經鼻氣管內管(nasal endotracheal tube)的併發症? (A)流鼻血 (B)鼻竇炎 (C)嘴唇潰爛 (D)不易抽痰
63.下列何者最易產生自發性吐氣末陽壓(auto-PEEP)? (A)急性呼吸窘迫症候群(ARDS) (B)肺水腫 (C)肺纖維化 (D)慢性阻塞性肺疾(COPD)
64.呼吸器相關肺炎(ventilator-associated pneumonia)與氣管內管管腔容易產生生物薄膜 (biofilm)有關,下列敘述何者錯誤? (A)生物薄膜為細菌滋生的保護膜 (B)抽痰時使用食鹽水用力灌洗,可將生物薄膜沖刷入氣管,減少呼吸器相關肺炎 (C)使用塗銀(silver-coated)的氣管內管,可抑制生物薄膜形成 (D)生物薄膜與細菌產生抗藥性有關
65.一青少年因車禍送至急診,插管後,心搏每分鐘160次、呼吸24次、血壓95/60毫米汞柱, FiO
2
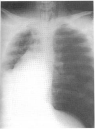
100%時,其血液氧氣飽和度為100%,血比容29%。聽診時左側呼吸音較小聲,胸部X 光如圖,請問立即措施為: (A)立刻放置左側胸管引流 (B)立即輸血紅血球濃縮液(Packed RBC) (C)心包膜切開術 (D)照會外科
66.10歲大的兒童因車禍大量出血導致心跳停止,經心肺復甦術後恢復生命徵象,但隨後在加護 病房發生ARDS,呼吸器參數設定為潮氣容積=6 mL/kg,FiO
2
=0.60,PIP=30 cm H2O, PEEP=6 cm H
2
O,RR=20 bpm,IT=1 second,ABG:pH 7.40,PCO
2
45 mm Hg, PO
2
50 mm Hg,下列何措施最能提高病人的PaO
2
? (A)提高ventilator rate to 25 (B)提高FiO
2
to 0.80 (C)提高PEEP to 8 cm H
2
O (D)提高VT to 10 mL/kg
67.早產兒的neutral thermal environment應維持在何種溫度? (A)29±2℃ (B)31±2℃ (C)33±2℃ (D)35±2℃
68.先天性心臟病兒童術後感染問題,下列敘述何者正確? (A)手術傷口,無論皮膚淺層或深層的感染很常見,所以致病菌必須考慮革蘭氏陰性細菌 (B)先天性心臟病接受手術的兒童,很少有免疫系統的問題,身上也很少抗藥性細菌存在 (C)如果經過多次開胸手術,應該考慮各種抗藥性細菌感染,使用廣效抗生素 (D)長期插管與呼吸器使用,並不會增加感染率
69.造成初生兒持續肺高壓症(persistent pulmonary hypertension of newborn, PPHN)的母體 的肇因中,下列何者最不可能? (A)母親有糖尿病 (B)母親生產時有缺氧現象 (C)母親產後有發燒 (D)剖腹生產兒
70.有關新生兒呼吸窘迫症的諸多肇因中,下列何者最不可能? (A)早產兒 (B)母體有糖尿病 (C)卵圓孔存在 (D)胎盤早期剝離
71.下列關於食道與氣管先天性異常在手術後的合併症,何者發生率最少? (A)食道有漏洞 (B)氣管狹窄 (C)反覆發生瘻管 (D)食道斷裂
72.下列那個地方的採血,代表開放性動脈導管(patent ductus arteriosus)前之血液? (A)右側橈動脈 (B)左側橈動脈 (C)臍動脈 (D)股動脈
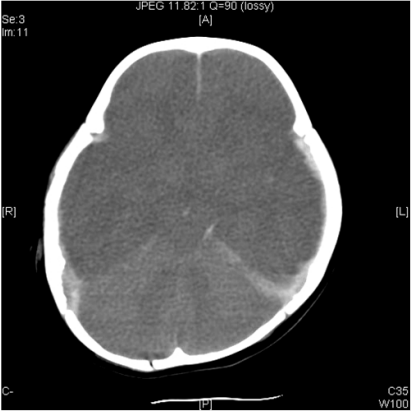
73. 一位 4個月大的嬰兒,因為意識障礙入院,GCS:E2V2M4,主訴昨天曾從40公分床墊滾下, 其頭顱外表無明顯傷痕或血腫,電腦斷層如圖,則下列何者為正確處置? (A)應插管使用呼吸器,將二氧化碳分壓維持在 20 mm Hg 以下以降低顱內壓 (B)查看眼底是否有視網膜出血 (C)考慮通報 115 專線 (D)應立即給予 midazolam 2 mg/kg/hr 以預防痙攣
74.下列那一項因素,在兒童的醫療決策過程中,對於家長的影響最小? (A)個人信仰與文化觀念 (B)醫療科技的普遍性 (C)對於生死的觀念 (D)對於痛苦的認知
75.有關兒童敗血症的治療目標,下列何者錯誤? (A)微血管血液回填時間小於兩秒 (B)意識正常 (C)血中乳酸值下降 (D)混合靜脈氧氣飽和濃度大於 60%
76.欲減少機械性呼吸器治療造成的氣胸,下列何者錯誤? (A)增加吸氣時間(inspiratory time) (B)容許較高的 PaCO
2
(C)及早使用非侵襲性呼吸治療 (D)適當的溼度及溫度
77.急救時之胸部按壓速率應至少為每分鐘多少次? (A)60次 (B)80次 (C)100次 (D)120次
78.下列何者屬於高級心臟救命術(ACLS)?①胸部按壓 ②氣管插管 ③呼吸器使用 ④心 臟電擊術 ⑤強心及升壓劑 (A)僅①②③ (B)僅①②④⑤ (C)僅①②③⑤ (D)①②③④⑤
79 (A)FVC(Forced vital capacity) (B)RV(Residual volume) (C)TLC(Total lung capacity) (D)FRC(Functional residual volume)
80.承上題,用spirometer測不出來的值,下列何項測試仍無法測出? (A)Provocation test (B)Helium dilution test (C)Nitrogen washout test (D)Body plethysmography
申論題 (0)
相關試卷
114年 - 114 專技高考_呼吸治療師:重症呼吸治療學#128961
114年 · #128961
113年 - 113 專技高考_呼吸治療師:重症呼吸治療學#121665
113年 · #121665
112年 - 112 專技高考_呼吸治療師:重症呼吸治療學#115902
112年 · #115902
111年 - 111 專技高考_呼吸治療師:重症呼吸治療學#109880
111年 · #109880
110年 - 110 專技高考_呼吸治療師:重症呼吸治療學#99933
110年 · #99933
109年 - 109-2 專技高考_呼吸治療師:重症呼吸治療學#89157
109年 · #89157
109年 - 109-1 專技高考_呼吸治療師:重症呼吸治療學#82776
109年 · #82776
108年 - 108-2 專技高考_呼吸治療師:重症呼吸治療學#78181
108年 · #78181
108年 - 108-1 專技高考_呼吸治療師:重症呼吸治療學#74588
108年 · #74588
107年 - 107-2 專技高考_呼吸治療師:重症呼吸治療學#70406
107年 · #70406