所屬科目:進階專科護理-婦產科
3. 王先生因意識不清楚而入院,抽血檢查如下:, 下列那些處置最適當? ①0.9% saline靜脈注射②給予calcium carbonate③補充氯化鉀④給予thiazides類利尿劑 (A) ①② (B) ①④ (C) ②③ (D) ③④
5. 陳先生因接受冠狀動脈繞動手術,正在服用plavix,他不斷地抱怨傷口疼痛,讓他整夜 都睡不好,下列哪一種藥物會建議優先投予來改善疼痛問題? (A) (B) (C) (D)
8. 根據WHO階梯式的增強治療建議,癌症病人沒有接觸過鴉片類止痛劑者,建議優先選擇下列哪一種藥物? (A) (B) (C) (D)
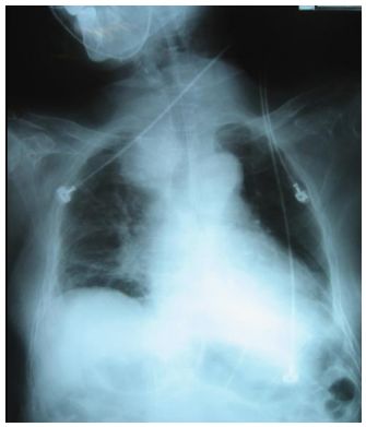
15. 李先生,70歲,罹甲狀腺癌,身體檢查時呈現呼吸喘、急促及窘迫,胸部X光(如附圖), 聽診時最可能發現下列何種狀況? (A) crackles (B) mediastinal crunch(Hamman’s sign) (C) stridor (D) pleural friction rub