所屬科目:進階專科護理-婦產科
27. 在加護病房中一位 60 歲女性,突然喪失意識,量不到血壓,心電圖如下(圖一),以下治療 步驟何者錯誤?(A) 傳統電擊器(monophasic )給予 100 焦耳電擊(B) 給予體外心臟按摩,進行 CPR 程序(C) 抗心律不整藥物可以優先考慮 amiodarone(D) 可放置 waveform capnography(ETCO2 )來增加 CPR 品質
65. 若產前胎心音監測出現正弦曲線胎心率 (Sinusoidal Fetal Heart Rate),表示胎兒窘迫, 請問下列有關於正弦曲線胎心率敘述何者為非?(A) 存在胎心率加速期 (accelerations)(B) 基礎胎心率在每分鐘 120~160 之間(C) 上下震盪幅度為 5~15 bpm (次/每分鐘)(D) 週期為一分鐘 2~5 次
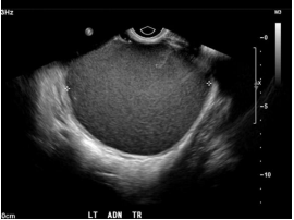
67. 王女士 35 歲,因下腹悶痛至婦科門診檢 查,超音波發現一個 6 公分單側卵巢附屬器官腫瘤 (如右圖),依照圖示特徵最為可能之診斷為何?(A) 黃體囊腫 (Corpus luteum cyst)(B) 卵巢癌 (Ovarian cancer)(C) 畸胎瘤 (Teratoma)(D) 巧克力囊腫 (Chocolate cyst)