所屬科目:進階專科護理-婦產科
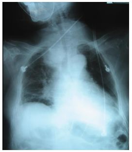
15. 李先生,70歲,罹甲狀腺癌,身體檢查時呈現呼吸喘、急促及窘迫,胸部X光(如附圖), 聽診時最可能發現下列何種狀況? (A) crackles (B) mediastinal crunch(Hamman’s sign) (C) stridor (D) pleural friction rub
39. 下述圖形所顯示的為哪一種胎方位? (A) 右枕前位 (right occiput anterior position) (B) 右枕後位 (right occiput posterior position) (C) 左枕前位 (left occiput anterior position) (D) 左枕後位 (left occiput posterior position)
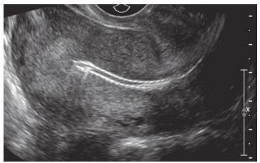
78. 45歲女性,因下腹痛、陰道分泌物多且有異味,到急診求診。照會婦產科,施行陰道 超音波如下圖,下列何者為最有可能之診斷? (A) 內膜鈣化 (B) 避孕器導致之骨盆腔發炎 (C) 子宮內膜增生 (D) 懷孕