所屬科目:進階專科護理-婦產科
18. 20 歲女性因腹痛、嘔吐和呼吸淺快被家人送來急診,到院時意識清醒,血壓 96/50mmHg、 脈搏 122 次 / 分、SpO2 98 % ( room air ) ;抽血發現血糖 560 mg / dL、血鈉 122 mEq / L、 血鉀 4.5mEq/L、動脈血檢驗結果為pH 7.15、pCO2 20 mmHg、。下列處置何者最不適當? (A) 考慮檢查病人血清酮體(serum ketones) (B) 若該病人為糖尿病酮酸血症,則其動脈血之anion gap應升高 (C) 對此病人的治療應給予normal saline、regular insulin及NaHCO3 (D) 治療後病人血糖降到250mg/ dL 以下,應給予含葡萄糖之靜脈輸液
20. 病人因呼吸急促應診,抽血結果顯示 Hb 8.1 gm/ dL、MCV 118 fL、reticulocyte 0.5%、 白血球 3750 / μL、血小板 115000 / μL。下列何者為此病人最可能的診斷? (A) deficiency anemia (B) iron deficiency anemia (C) thalassemia (D) autoimmune hemolytic anemia
23. 圖(一)為心電圖顯示的波形,下列何者為最有可能的心律? (A) 第二度第一型AV block (B) 第二度第二型AV block (C) 竇性心搏過緩併單型性早期心室收縮 (D) 第三度AV block
41. 一名孕婦懷孕 40 週無產兆入院催生,待產室護理師內診時,發現胎兒的手已經在陰道口,如圖(二),以下敘述何者較不適當? (A) 嘗試將胎兒的上肢往上推回母體的子宮腔內 (B) 此為複合式胎位( compound presentation ) (C) 這也是胎位正常的一種 (D) 胎兒可能有較高的倂發症風險
42. 圖(三),執行腹腔鏡手術時,應採用何種手術姿位? (A) reverse trendelenburg position (B) prone position (C) lithotomy position (D) Fowler’s position
49. 產後哺乳婦表示乳頭一陣一陣地疼痛,檢查時乳頭上有白點特別疼痛,如圖 ( 四),下列的處置建議,何者較適當? (A) 使用抗黴菌藥物治療母親的乳頭和嬰兒的嘴巴 (B) 餵食後冷敷止痛 (C) 用包心菜葉舒緩疼痛 (D) 以溫水或植物性油品濕敷軟化乳頭
61. 懷孕 39 週第一胎孕婦,因早期破水而入院待產,剛入院時子宮頸未開,宮縮不規則,醫囑給予 oxytocin,待產三小時後,fetal monitor 顯示有tachycardia 及 loss of variability,如圖(五),下列初步處置,何者最不適當? (A) 讓產婦採左側躺 (B) 陰道內診 (C) 給予待產婦氧氣吸入 (D) oxytocin點滴加量
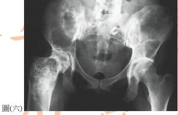
76. 下腹部 X 光雖然不是骨盆腔腫瘤的主要診斷方式,但仍然可以提供一些線索幫助診斷。圖(六)為腹部X光,可見到一個骨盆腔鈣化的組織。下列相關鑑別診斷,何者可能性最高? (A) 畸胎瘤(teratoma ) (B) 輸卵管卵巢膿瘍(tubo - ovarian abscess) (C) 黃體囊腫(luteal cyst) (D) 輸卵管水腫( hydrosalpinx )