所屬科目:牙醫學(四)(包括口腔顎面外科學、牙科放射線學等科目及其相關臨床實例與醫學倫理)
16.病人主訴左下顎骨智齒區域腫痛已經超過半年,且臨床及影像學上皆無明顯變化,如圖所示,下列診斷何者最適當? (A)牙冠周炎(pericoronitis) (B)齒源性腫瘤(odontogenic tumor) (C)鱗狀細胞癌(squamous cell carcinoma) (D)化膿性肉芽腫(pyogenic granuloma)
17.病人主訴其左臉頰有無痛性、具波動感的腫大,有時消失有時出現,已經有幾個月了,如圖示。下列敘述何者錯誤? (A)屬於顏面部感染蜂窩性組織炎階段 (B)齒源性感染的機會最大 (C)切開引流手術是必須的治療 (D)要找出感染源
45.參考附圖,下列敘述何者最不合理? (A)A、B、C分別是鼻上顎,顴骨和翼上顎骨支柱(buttress) (B)A、B、C主要是提供水平支持(horizontal support)的面部支柱(buttress) (C)A、B、C三處是骨質較為厚實處 (D)骨折或正顎手術患者,骨釘及骨板必須置放在A、B等位置以提供支持
66.17歲男孩因上顎右側有一個無疼痛的腫脹而來求診,經X光檢查(如附圖)發現一個放射線不透過性影像如 箭頭所示之區域,根尖片可見到此病變與周圍界線不清楚,此病患最可能罹患下列何種疾病? (A)家族性巨大畸形牙骨質瘤(familial gigantiform cementoma)(B)繁盛性牙骨質骨發育不良(florid cemento-osseous dysplasia)(C)纖維性發育不良(fibrous dysplasia)(D)骨化纖維瘤(ossifying fibroma)
67.45歲男性因下顎右側有一個無疼痛的腫脹而來求診,經影像檢查如附圖所示,右上小圖是左大圖虛線位置的 斷層圖,經切片後病理診斷為纖維骨性病變,結合影像的發現,此病患最可能罹患下列何種疾病?(A)繁盛性牙骨質骨發育不良(florid cemento-osseous dysplasia)(B)局部牙骨質骨發育不良(focal cemento-osseous dysplasia)(C)根尖周圍牙骨質骨發育不良(periapical cemento-osseous dysplasia)(D)骨化纖維瘤(ossifying fibroma)
68.65歲男性因缺牙要求植牙,口內無不適或異常,且無其他系統性疾病。X光檢查發現之左下顎單房性放射線 透過性影像,最可能為下列何者?(A)動脈瘤性骨囊腫(aneurysmal bone cyst)(B)史塔尼氏囊腫(Stafne defect)(C)單純性骨囊腫(simple bone cyst)(D)原基性囊腫(primordial cyst)
72.下列何者為圖中X光影像之最適切診斷? (A)慢性牙周炎(chronic periodontitis) (B)根尖囊腫(radicular cyst) (C)牙根外吸收(external root resorption) (D)牙骨質撕裂(cemental tear)
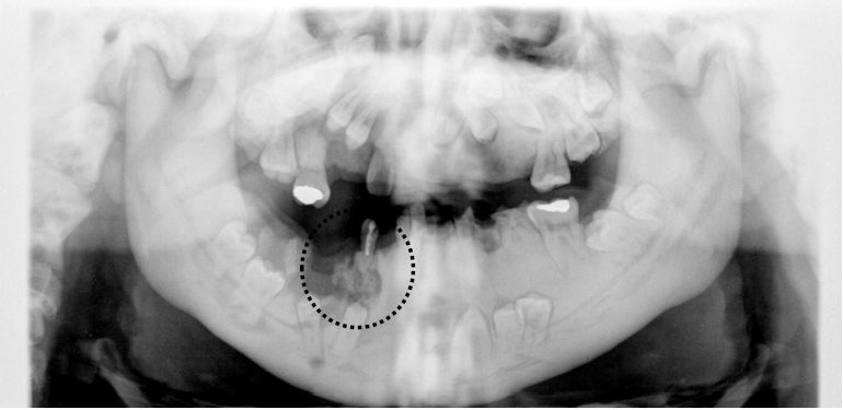
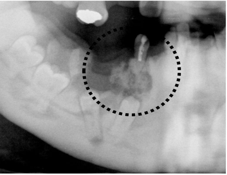
75.一名15歲男孩因下顎右側犬齒附近疼痛而來求診,經X光檢查如附圖所示,發現病患的上下顎骨密度不正 常,其最有可能罹患何疾病?(A)變形性骨炎(osteitis deformans)(B)骨發生不全(osteogenesis imperfecta)(C)骨質石化症(osteopetrosis)(D)骨質疏鬆症(osteoporosis)
76.承上題,此病患之下顎右側犬齒附近疼痛區如附圖黑圈區域所示,下列何者為最可能之診斷? (A)牙骨質骨化發育異常(cemento-osseous dysplasia) (B)慢性骨髓炎(chronic osteomyelitis) (C)纖維發育不良(fibrous dysplasia) (D)增殖性骨膜炎(proliferative periostitis)
77.26歲男性因右臉腫脹而照了一張X光片如附圖,下列敘述何者錯誤? (A)病灶的X光分類屬於多房性透過性影像(multilocular radiolucency) (B)病灶位於右下顎後牙及上升枝,如肥皂泡狀(soap bubble appearance) (C)右下顎第三大臼齒被移位 (D)病灶區的internal oblique ridge及下顎骨板(cortical border)變薄且上下擴張
78.承上題,從其病灶中抽出一管黃色液體(如圖),下列診斷中何者最不可能? (A)造釉細胞瘤(ameloblastoma ) (B)含齒囊腫(dentigerous cyst) (C)戈林氏囊腫(Gorlin's cyst) (D)齒源性黏液瘤(odontogenic myxoma)
79.圖示影像是以何種方法拍攝? (A)magnetic resonance imaging (B)occlusal radiography (C)panoramic radiography (D)computed tomography