所屬科目:法醫病理與解剖學
22 一位 28 歲男性入院治療時,被診斷有多處肺臟膿瘍,最後不治死亡。解剖時發現他的心臟瓣膜如下圖。下列何者是最有可能的死亡原因? (A)先天性的心臟瓣膜異常 (B)愛滋病 (C)細菌性心內膜炎 (D)瓣膜脫垂
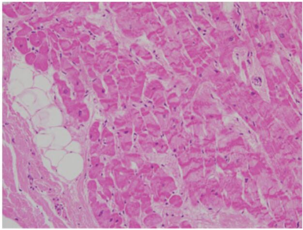
32 下圖是一位中年女性的心肌組織切片,最有可能的診斷是下列何者? (A) Viral myocarditis (B) Acute myocardial infarction (C) Sarcoidosis (D) Churg-Strauss syndrome
33 下圖是一張死者的手掌照片,這個特徵最常見在下列何種情境下發現的大體? (A)外科加護病房 (B)家庭火災現場 (C)河流中 (D)墓地裡
34 假設處於溫帶氣候下,或者臺灣的早春之際,下圖是案發現場大體背部的屍斑,用手指按壓的情況。若你是相驗的法醫師,死者最有可能的死亡後時間為多久? (A) 30 分鐘 (B) 6 小時 (C)2天 (D)1週
35 一位成年男性被發現死亡。假設處於溫帶氣候下,或者臺灣的早春之際,請注意下圖大體的肚臍以下腹部的顏色變化。你是在案發現場相驗的法醫師,死者最有可能的死亡後時間為多久? (A) 2 小時 (B) 12 小時 (C) 36 小時 (D) 72 小時
36 下圖是一張解剖後大腦以福馬林固後的照片,肉眼觀察下的病理診斷最恰當為何? (A)細菌性腦膜炎 (B)水腦症 (C)顳葉腦疝(Uncal herniation) (D)腦膜瘤(Meningioma)
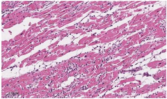
37 一名 58 歲男性在自家後院除草,突然失去意識倒地不起。消防隊員到場急救 30 分鐘後,宣告不治死亡。解剖發現心臟重450 公克,三條冠狀動脈分支都有顯著的動脈粥狀硬化。心臟的病理切片如下圖,下列何者最適合描述它? (A) Contraction band necrosis (B) Myocarditis(心肌炎) (C) Tissue processing artifacts (D) Vasculitis(血管炎)
38 一位 32 歲男性,被發現躺在自家中地板上。上半身赤裸。現場調查發現大門沒有上鎖。他過去並沒有明顯的疾病史,或者抱怨不舒服。若你是負責解剖的法醫師,當你在做外觀檢查時,發現了下圖這個現象表現。下列方法何者最適合你採取,來尋找可能的死因? (A) Anterior neck dissection(頸部前方解剖) (B) Cerebrospinal fluid culture(脊髓液培養) (C) Head and neck X-ray(頭頸部 X 光) (D) Eyeball enucleation for histology(摘取眼球做切片)
39 若你是相驗的法醫師,當你看到如下圖的眼睛變化,下列何者是此現象最恰當的解釋? (A)直接眼球受外傷(Direct eyeball trauma) (B)上吊(Hanging) (C)肝功能不佳(Liver dysfunction) (D)死後變化(Post-mortem change)
40 一位 40 歲女性被發現死亡在家中的地板上。若你是相驗的法醫師,觀察到不規則的紅紫色線條在左大腿後方(見下圖),這個現象代表的意義為何? (A)雷擊傷痕(Lightening injury) (B)低電壓電擊傷痕(Low voltage electrical injury) (C)靜脈瘤(Varicose vein) (D)死後細菌腐敗變化(Post-mortem change)