所屬科目:獸醫普通疾病學
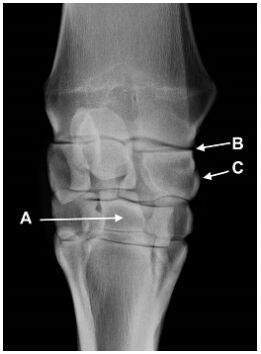
3.下圖為馬前肢放射線影像圖,下列敘述何者正確? (A)圖之右側為外側 (B)A 為 3rd metacarpal bone (C)B 為 carpometacarpal joint (D)C 為 radial carpal bone
4.下圖為馬匹右前肢病灶,觸診無疼痛感,無溫熱感,左前肢無此病灶,下列敘述何者最符合此馬之狀況? (A)右前肢通常無跛行 (B)蜂窩組織炎可能性高 (C)右前肢舟骨病(navicular bone disease) (D)賽前密集訓練的結果
18.新生的小牛兩前肢呈現圖片中的外觀,其最有可能的診斷為下列何項? (A)polyarhtritis (B)flexural deformities (C)septic arthritis (D)rickets
29.以urethral process amputation治療山羊尿道結石時,應切除下圖中那個部位?
(A)A (B)B (C)C (D)D
34.下圖(from Textbook of Veterinary Internal Medicine, Stephen J. Ettinger)為一隻犬以心電圖Lead II, 25 mm/sec, 1 cm = 1 mV所記錄之結果,其心跳數最接近以下那個數值?(A)80/min (B)70/min (C)60/min (D)50/min
63.9歲拉不拉多犬,右前肢負重跛行,觸診右前肢腕部有觸痛反應,X光影像中箭號處骨樣結構為何? (A)撕裂性骨折(avulsion fracture) (B)碎片骨折(chip fracture) (C)長趾伸肌肌腱(long digital extensor tendon)種子骨 (D)外展拇長肌肌腱(abductor pollicis longus tendon)種子骨
68.下列何者非造成此capnography圖形趨勢的原因?(X軸為時間,Y軸為PCO2量) (A)麻醉過深 (B)組織灌流不足 (C)嚴重換氣過度 (D)甲狀腺功能亢進
70.某牧場懷孕280天母牛出現努責現象超過8小時,未見第一水袋破水,外陰部呈現皺摺樣,經陰道檢查無法觸 摸到胎兒,獸醫師診斷後進行倒牛以及母體迴轉(rolling)如下圖,下列何者不適用於母體迴轉成功矯正 之後的下一步處置?(A)帝王切開術 (B)注射PGF2α與 dethamexasone等待24小時確認是否分娩 (C)進行碎胎術取出胎兒 (D)以助產器進行胎兒牽引
79.母犬於陰道抹片採檢,看到下圖細胞相時,最不可能是下列何項?
(A)pro-oestrus (B)early metoestrus (C)vaginitis (D)pyometra