所屬科目:進階專科護理-一般外科
2. 下列何者最可能是高血鉀病人的心電圖(lead II)? (A)(B)(C)(D)
13. 80歲女性為長期糖尿病、高血壓及中風不良於行之病人,因急性腹痛來急診就醫,其平躺之腹部X光如圖(一),另一張左側躺之腹部X光檢查如圖(二),下列敘述何者正確?(A) 推測有腹腔積水,可能為腹腔腫瘤導致 (B) 推測有腹部脹氣,可能為腸阻塞導致 (C) 推測有腹腔積氣,可能為腹腔內中空臟器破裂導致 (D) 為正常腹部影像,只須持續追蹤
16. 圖(三)顯示的心電圖波形是何種心律不整? (A) 一度房室傳導阻滯(first degree AV block ) (B) Morbitz type I二度房室傳導阻滯(second degree AV block ) (C) Morbitz type II二度房室傳導阻滯(second degree AV block ) (D) 完全房室傳導阻滯( complete AV block )
19. 中年男性心悸入急診,脈搏154次/分、血壓80/50mmHg、呼吸20次/分、意識E3M6V5, 心電圖如圖(四),下列處置何者正確? (A) 病人心跳過快,應先給予靜脈注射乙型阻斷劑 (B) 心電圖為PSVT,應先給予adenosine 6mg快速靜脈推注 (C) 應先給予強心藥物(inotropic agents) (D) 應先進行雙向電擊器心臟同步整流120焦耳
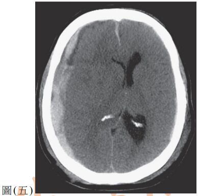
38. 一位摩托車車禍病人送至醫院,其電腦斷層顯示如圖(五),下列敘述何者最適當? (A) 外傷造成中腦膜動脈破裂出血 (B) 病人有發生大腦疝脫情形 (C) 病人症狀為左側上下肢體偏癱 (D) 電腦斷層所見屬於急性硬腦膜下出血