所屬科目:進階專科護理-一般外科
1. 有關腸道營養( enteral nutrition )的一般原則,下列敘述何者正確?
①假如病人情況允許,靜脈營養應優先於腸道營養
②管路灌食有腹瀉情形時,應使用止瀉藥及減少纖維素含量
③鼻胃管放置錯位,包括插進氣管、支氣管,常發生在昏迷的病人
④有長期管灌需求的病人,可以建議放置胃造廔管 (A) ①② (B) ②③ (C) ③④ (D) ①④
2. 一位58歲男性罹患糖尿病15年,目前口服藥物控制,下列何者 不是 營養狀態評估的指標? (A) BMI (B) albumin (C) HbA1c (D) hemoglobin
3. 有關嚴重高血鉀合併心電圖改變的醫療處置,下列敘述何者 不適當 ? (A) 靜脈輸注葡萄糖酸鈣( calcium gluconate ),可以有效降低血清鉀離子濃度 (B) 胰島素(regular insulin )與葡萄糖靜脈注射,可以使鉀離子移入細胞 (C) 以NaHCO3等滲溶液靜脈輸注,可以改善代謝性酸中毒 (D) 以 β2腎上腺素促效劑,可以促進細胞對鉀的攝取
4. 有關成年人的營養需求,下列敘述何者不適當? (A) 蛋白質攝取量每日0.8 g/ kg,可以滿足97%成年人的需求 (B) 對於重症病人,蛋白質攝取量至少每日1.2g/kg,以減少瘦體身體(lean body)質量流失 (C) 身體質量指數25 - 29 kg/m2的成年人,其熱量需求為21 - 25kcal/kg/ day (D) 某些組織(如骨髓、眼睛等)不能代謝脂肪酸,需以葡萄糖(每日約40g)作為能量來源
5. 有關病毒性腦炎( encephalitis)感染,下列敘述何者 不適當 ? (A) 第一型單純皰疹病毒(HSV- 1)為最常見和最重要的病原 (B) 臨床表現為發燒、意識狀態改變,合併性格改變或癲癇 (C) 腦脊髓液分析應包括單純皰疹病毒和腸病毒聚合酶連鎖反應檢測 (D) 磁振攝影常發現枕葉病灶,為HSV- 1最敏感的影像檢查
6. 有關胺基糖苷類( aminoglycosides)藥物,下列敘述何者 不適當 ? (A) 透過與細菌核糖體(ribosome )結合,在mRNA轉譯過程,抑制細菌蛋白質合成 (B) 常與細胞壁活性藥物(如 β 內醯胺類)併用,用於治療嚴重感染 (C) 在膿瘍( abscesses)的低 pH值/低氧環境中,仍保有良好的活性 (D) 使用需注意發生不可逆腎毒性( nephrotoxicity)和耳毒性( ototoxicity)
7. 磺胺類藥物(trimethoprim/sulfamethoxazole:Baktar® ),是廣效性抗生素,臨床 無法 治療 下列何種病原? (A) 人類肺囊蟲(Pneumocystis jiroveci) (B) 大腸桿菌(E. coli) (C) 金黃色葡萄球菌( Staphylococcus aureus) (D) 綠膿桿菌(Pseudomonas aeruginosa )
8. 病人生命徵象為體溫 38.5 ℃、脈搏 120 次 / 分、呼吸 22 次 / 分、血壓 120 / 65 mmHg、 WBC15000μL (seg 84.7%)、CRP 19.8mg/dL、指甲夾板出血及主動脈瓣區舒張期心雜音, 下列何者為最可能的診斷? (A) bacterial peritonitis (B) myocarditis (C) pericarditis (D) bacterial endocarditis
9. 一位 70歲女性因暈厥被送至急診,圖(一)是此病人的心電圖,最有可能是下列何種心律?
(A) 一度房室傳導阻滯(first- degree AV block ) (B) 二度房室傳導阻滯(second - degree AV block ),Mobitz type I (C) 二度房室傳導阻滯(second - degree AV block ),Mobitz type II (D) 完全性房室傳導阻滯( complete AV block )
10. 一位 60 歲女性因腹痛、噁心與嘔吐來急診。此病人有剖腹產與膽囊切除手術病史,其 KUB如圖(二),請問最有可能的診斷為何?
(A) 沾黏性小腸阻塞( adhesive small bowel obstruction ) (B) 大腸阻塞(large bowel obstruction ) (C) 缺血性大腸炎(ischemic colitis) (D) 小腸憩室炎(small bowel diverticulitis)
11. 下列實驗室檢查結果,何者 不符合 腎前性急性腎損傷(prerenal acute kidney injury)的診斷? (A) 排鈉分率(fractional excretion of sodium,FENa )>1% (B) 尿液滲透壓( urine osmolality)>500mOsm/kg (C) 尿素氮和血清肌酸酐的比值(BUN:Cr ratio )>20 (D) 尿素排出分率(fractional excretion of urea nitrogen ,FEUrea )<35%
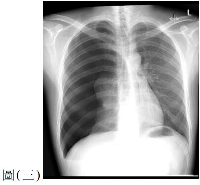
12. 一位 25歲男性因呼吸困難至急診就醫,主訴2天前工作撞擊到右側胸部,胸部X光檢查如圖(三),下列處置何者較適當?
(A) 立即給予右側胸管置入引流 (B) 觀察呼吸困難狀況並給予肌肉鬆弛劑 (C) 立即安排胸腔鏡手術治療 (D) 安排胸部電腦斷層檢查確立診斷
13. 一位 68 歲男性因右上腹悶痛 3 天加劇,伴隨噁心,出現黃疸與發燒 ( 38.5 ℃ ) 而就醫。 抽血檢查結果 WBC 16200 / μ L ( neutrophil 87 %,band form 9 % )、CRP 12.8 mg / dL、 AST 38 U / L、ALT 45 U / L、total bilirubin 4.5 mg / dL。最有可能之診斷為何? (A) 病毒性肝炎 (B) 細菌性膽管炎 (C) 肝硬化急性發作 (D) 急性胰臟炎
14. 一位 38 歲男性,罹患第二型糖尿病未規則治療,因意識改變就醫。抽血檢查結果血糖980mg / dL、血清滲透壓350 mOsm/ kg、ketone (定量) 0.1 mmol/L、lactate 1.9mmol /L, 動脈血液氣體分析結果pH 7.36、PaCO₂ 41mmHg、 22mmol/L。根據以上數據, 最可能的診斷為何? (A) 高滲透壓高血糖狀態 (B) 糖尿病酮酸中毒 (C) 高乳酸酸中毒 (D) 正常代謝性酸中毒
15. 下列哪項檢驗最常用於判斷心衰竭嚴重程度的血清指標? (A) Troponin T (B) Myoglobin (C) BNP (D) Lactate
16. 一位 80 歲男性因肺炎併急性呼吸衰竭使用機械通氣 ( mechanical ventilation ) ,護理師 發現呼吸器異常警示音、頸部可觸及皮下氣泡聲( crepitus)、呼吸音右側變弱,SpO ₂降至86 %。最可能的併發症及最恰當的處置為何? (A) 呼吸器相關肺炎;給予經驗性抗生素治療 (B) 氣壓性傷害( barotrauma );通知醫師評估是否需胸管引流 (C) 呼吸器脫落導致肺不張;立即重新連接呼吸器 (D) 呼吸器異常同步( ventilator dyssynchrony);增加鎮靜劑改善病人適應度
17. 一位 65 歲男性因泌尿道感染併發寒顫與發燒入院,生命徵象為血壓 85 / 50 mmHg、 體溫 37.8 ℃、心跳 110 次 / 分、呼吸速率 24 次 / 分,尿量明顯減少。 SpO ₂為 98 %, 乳酸值為4.2mmol/L。此時,作為專科護理師,下列哪項處置應優先執行? (A) 盡快安排病人立即接受腎臟超音波檢查,查明是否有水腎( hydronephrosis) (B) 給予退燒藥以降低病人不適 (C) 快速給予靜脈輸注晶體溶液( crystalloid fluid ) 30mL/ kg以穩定血壓 (D) 等待醫師評估後再決定是否使用升壓劑
18. 有關 4 種休克類型的病理機轉,下列敘述何者最適當? (A) 低血容量性休克是因血管阻塞,造成心臟無法有效射出血液 (B) 心因性休克的主要機轉是心肌收縮力不足,導致心輸出量下降 (C) 阻塞性休克常見於嚴重感染,造成微血管滲透性上升 (D) 血管擴張性休克的特徵是前負荷增加,導致周邊灌流過度
19. 一位72歲男性因嚴重感染合併意識改變至加護病房治療,平均動脈壓 52mmHg,依體重 給予生理食鹽水輸注30mL/kg後仍呈現低血壓。此時最適合的第一線升壓劑為何? (A) epinephrine (B) dopamine (C) norepinephrine (D) vasopressin
20. 院內心跳停止(in - hospital cardiac arrest ,IHCA)後成功ROSC(恢復自發性循環)之病人, 下列處置何者 不適當 ? (A) 常規給予lidocaine防止再次心律不整 (B) 維持PaCO₂在35 - 45mmHg (C) 對STEMI病人或高度疑似STEMI病人做PCI治療 (D) 將平均動脈壓控制在65mmHg以上
21. 一位58歲男性主訴胸悶、盜汗到急診,十二導程心電圖如圖(四)。目前血壓90/60mmHg、 心跳52 次/分,無明顯肺部濕囉音。在等待心導管檢查的同時,下列處置何者 不適當 ?
(A) 監測生命徵象、建立靜脈路徑 (B) 給予低流量氧氣支持(若SpO₂<90%) (C) 給予硝酸甘油( nitroglycerin )緩解胸痛 (D) 安排右側心電圖以排除右心心肌梗塞
22. 有關嚴重外傷病人復甦的敘述,下列何者正確? (A) 鹼基缺乏( base deficit)和乳酸值(lactate )可評估急救復甦是否充足作為病人預後指標 (B) 依大量輸血準則,輸血成分比例( plasma:platelets:PRBC-1:2:2 )可提高存活率 (C) 低血容量性休克為外傷常見休克,應優先使用升壓劑維持血壓,爭取急救時效 (D) 出血量達10%血壓會明顯下降
23. 因創傷導致骨盆骨折的病人到達急診時,呈現出血性休克 (血壓65 / 32 mmHg ),評估後 預置放REBOA(主動脈復甦性血管內氣球阻斷術)以控制出血。有關REBOA的適應症與 處置原則,下列敘述何者 錯誤 ? (A) 通常不建議置放於Zone II區域 (B) 放置於Zone III區域可控制骨盆出血 (C) 控制出血後仍應盡速進行手術處置 (D) 合併大量血胸,REBOA可作為首選止血手段
24. 具有甲狀腺亢進病史的病人因重大外傷接受急診手術,術後懷疑出現甲狀腺風暴。有關 此病人的診斷與處置,下列哪一個選項最適當? (A) 甲狀腺風暴的診斷主要依據血中T4及TSH濃度 (B) Thionamides類藥物( propylthiouracil、methimazole )可直接抑制腺體釋放T4和T3 (C) 若常規治療12至24小時後無明顯改善,可考慮進行甲狀腺切除術 (D) 急性期應立即使用放射性碘以迅速抑制甲狀腺激素作用
25. 車禍病人因右側肩胛及胸壁鈍挫傷送入急診,體溫35.8℃、脈搏150次/分、呼吸38次/分、 血壓85 /56mmHg、血氧89%。評估為右側張力性氣胸,下列敘述何者正確? (A) 聽診左側呼吸音降低或消失 (B) 扣診左胸部會出現過度反響音( hyperresonance ) (C) 病人出現氣管左移,因靜脈回流減少而出現低血壓 (D) 應先給予輸液穩定低血壓後,再放置胸管引流
26. 病人因車禍造成雙下肢大面積壓輾傷,血壓為80 / 40mmHg,需進行氣管插管及全身麻醉 誘導手術。有關鎮靜及肌肉鬆弛劑的選擇,下列何者最適合? (A) etomidate+rocuronium (B) ketamine+succinylcholine (C) midazolam+succinylcholine (D) propofol+rocuronium
27. 有關腹部腔室症候群( abdominal compartment syndrome ,ACS)的敘述,下列何者 錯誤 ? (A) 為加護病房床邊緊急開腹手術之適應症 (B) 原發性腹部腔室症候群常見於大量輸液後腸水腫和腹腔積液 (C) 依腹腔高壓分級:第IV級腹腔內壓>35mmHg (D) 大量輸液後,出現心衰竭、寡尿、肺順應性降低,應區辨是否為腹部腔室症候群
28. 有關急性腎損傷( acute kidney injury,AKI)的敘述,下列何者 錯誤 ? (A) 併發有低血鉀、低血磷、高血鈣及代謝性酸中毒等 (B) 尿量<0.5mL/ kg/小時,持續6小時 (C) 48小時內血清肌酸酐升高≥0.3mg/ dL (D) 腎內性急性腎損傷最常見的原因是急性腎小管壞死
29. 有關肝臟移植的禁忌症,下列何者 錯誤 ? (A) HIV感染病人 (B) 平均肺動脈壓高於50mmHg (C) 不可逆的神經系統損傷 (D) 無法控制的敗血症或感染
30. 有關活體腎臟捐贈者的禁忌症,下列何者 錯誤 ? (A) BMI(身體質量指數)大於20kg/m2 (B) 顯著的白蛋白尿 (C) 具活動性惡性腫瘤 (D) 嚴重的精神疾病障礙
31. 骨內針(intraosseous,IO)使用注意事項,下列何者 錯誤 ? (A) 可注射部位包含胸骨、遠端股骨、遠端肱骨及脛骨 (B) 可做為緊急輸液復甦建立管道 (C) 插入後必須在72小時內儘快移除 (D) 併發症為藥物和液體滲入軟組織、骨髓炎等
32. 膽囊炎腹痛發燒病人,超音波顯示膽囊壁增厚與積膿。有關劃刀前給藥時間點及術前 抗生素選擇之敘述,下列何者最適當? (A) 60分鐘,vancomycin (B) 30分鐘,cefazolin (C) 60分鐘,ceftriaxone合併metronidazole (D) 60分鐘,vancomycin,術後合併使用clindamycin 24小時
33. 病人開完冠狀動脈繞道手術後,意識清楚、覺得心悸、胸悶、血壓118/72mmHg,心電圖 顯示如圖(五),有關其藥物處置建議,下列何者最適當?
(A) adenosine (B) diltiazem (C) lidocaine (D) metoprolol
34. 有關嗎啡在術後疼痛管理的使用,下列何者正確? (A) 當出現呼吸抑制時,僅能提供支持性治療,無解毒劑可用 (B) 術後使用嗎啡仍應擔心增加成癮風險 (C) 出現耐受性時,不應考慮調高劑量,而應改用其他止痛藥物 (D) 術後慢性疼痛可搭配抗憂鬱劑或抗癲癇藥物作為輔助治療
35. 有關術前評估的敘述,下列何者 最不適當 ? (A) 病人口服Bokey® ,手術前須先停藥5天 (B) 美國麻醉師協會指出緊急手術且ASA 5級者,術後早期死亡率接近20% (C) 手術前4週戒菸,可降低術後肺部併發症風險 (D) 營養風險評估包含營養嚴重度與疾病嚴重度,兩者加總分數越低風險越高
36. 病人因穿透性頸部外傷就醫,下列何者屬於應立即手術探查的「hard sign」? (A) 聲音沙啞 (B) 吞嚥困難 (C) 少量咳血 (D) 頸部血管雜音
37. 有關口咽鱗狀細胞癌的人類乳突病毒(HPV)為陽性時的臨床表現,下列何者最常見? (A) 聲音沙啞 (B) 吞嚥困難 (C) 頸部無痛性腫塊 (D) 明顯口腔潰瘍
38. 眼部鈍傷病人疑似眼球破裂,下列何者徵象 較不支持 眼球破裂的診斷? (A) 水晶體脫位 (B) 眼球突出 (C) 瞳孔呈淚滴狀 (D) 大範圍結膜下出血
39. 有關結腸癌術前必要影像評估,下列何者較適當? (A) 腹部超音波 (B) 正子攝影 (C) 核磁共振 (D) 胸腹骨盆電腦斷層
40. 有關副甲狀腺功能亢進症的敘述,下列何者 錯誤 ? (A) 原發性常見於停經後女性 (B) 原發性可見於多發性內分泌腫瘤(MEN) 1型和2A型 (C) 續發性最常見的原因是腎衰竭 (D) 續發性病人副甲狀腺素及血鈣均增加
41. 有關多發性內分泌腫瘤第一型(MEN- 1)的敘述,下列何者正確? (A) 副甲狀腺機能亢進症是次發性副甲狀腺腺瘤 (B) 自體顯性症候群,因RET基因突變造成 (C) 腦下垂體腫瘤最常見為良性的催乳素腺瘤 (D) 胰臟島細胞腫瘤以胰島素瘤最常見
42. 乳癌的各種組織型態中,下列何者最常見? (A) 小葉癌(lobular carcinoma ) (B) 粘液癌(mucinous carcinoma ) (C) 管狀癌(tubular carcinoma ) (D) 浸潤性導管癌(invasive ductal carcinoma )
43. 有關病態肥胖(morbid obesity)的敘述,下列何者 錯誤 ? (A) 育齡女性在手術時不應懷孕,建議手術後至少1年保持使用避孕措施 (B) 在接受胃袖狀手術的病人術前須檢測幽門螺旋桿菌 (C) 在減重手術前的體重減輕,並不會造成術後有更明顯的體重減輕 (D) Roux - en -Y胃旁路手術之減重是結合了限制性和吸收不良性機制
44. 有關肝臟腺瘤(liver cell adenoma )的敘述,下列何者 錯誤 ? (A) 通常是單個、圓形、界限清晰、無包膜的病變 (B) 常見於年輕女性,而男性使用同化激素( anabolic hormone )也可能誘發其發展 (C) 病理檢查類似正常肝臟組織排列,此與局部性結節增生(FNH)區別 (D) 10個以上腺瘤稱肝腺瘤病(liver adenomatosis),與口服避孕藥無關且無明顯性別差異
45. 有關全膝關節置換術(total knee arthroplasty,TKA)之手術適應症,下列何者 錯誤 ? (A) 嚴重障礙性疼痛 (B) 日常生活受阻 (C) 具活動性敗血症,但膝蓋患處無發炎感染症 (D) 無法以保守性治療控制疼痛
46. 下列何者是檢測睪丸腫瘤重要的腫瘤標記? (A) 前列腺特異抗原(PSA) (B) 癌胚抗原(CEA) (C) 甲型胎兒蛋白(AFP) (D) CA 125
47. 42歲病人因反覆左下腹痛、腹脹與發燒就醫,電腦斷層影像顯示乙狀結腸旁膿瘍與增厚, 診斷為憩室炎併膿瘍,直徑4.5公分。下列何者是最適當治療選項? (A) 緊急手術切除病灶 (B) 經皮引流與抗生素 (C) 僅觀察與口服抗生素 (D) 腸切除與人工肛門造口
48. 有遺傳性大腸息肉症 ( familial adenomatous polyposis , FAP ) 的年輕病人,何時開始接受 大腸鏡篩檢最為適當? (A) 12歲 (B) 18歲 (C) 30歲 (D) 40歲
49. 直腸癌病人接受低前位切除術(low anterior resection ,LAR)後,經常出現便意急迫與頻繁 排便等症狀,下列何者是最可能診斷? (A) 吻合口滲漏 (B) 骨盆腔感染 (C) 低前位切除術症候群 (D) 直腸癌復發
50. 直腸癌臨床分期的影像檢查中,下列何者是針對腫瘤與局部淋巴結的評估最適當的方法? (A) 電腦斷層 (B) 核磁共振 (C) 正子攝影 (D) 骨盆腔超音波
51. 下列何者是外痔最常見的症狀? (A) 疼痛性腫塊 (B) 無痛性出血 (C) 黏液分泌 (D) 肛門搔癢
52. 下列何者是肛門廔管最常見的原因? (A) 手術併發症 (B) 克隆氏病 (C) 肛門腺感染 (D) 感染性腸炎
53. 左側結腸癌的臨床表現,下列何者最常見? (A) 腹部腫塊 (B) 貧血 (C) 體重減輕 (D) 腹脹與腸阻塞
54. 影響左側大腸癌與右側大腸癌的預後差異,下列何者是主要因素? (A) 腫瘤大小 (B) 基因表現與分化 (C) 年齡 (D) 肝功能
55. 有關單腔膝關節置換術(unicompartmental knee arthroplasty,UKA)之敘述,下列何者正確? (A) 比全膝關節置換術(total knee arthroplasty,TKA)的恢復期較長,通常術後疼痛更明顯 (B) 發炎性關節炎為其手術禁忌症 (C) 主要適用於膝關節內側或外側單一腔室退化,並且韌帶功能異常的病人 (D) 最常見 UKA 為外側膝關節腔
56. 膝關節外翻畸形最可能造成哪條神經損傷? (A) 股神經 (B) 坐骨神經 (C) 腓總神經 (D) 閉鎖神經
57. 有關髖關節骨壞死( ostenecrosis of the hip )之敘述,下列何者 錯誤 ? (A) 女性多於男性 (B) 常發生在40多歲的病人 (C) 常和酗酒及類固醇使用有關 (D) 在X光正常情況下,但臨床上有懷疑時,核磁共振為標準的影像診斷
58. 有關全髖關節置換術(total hip arthroplasty,THA)術後脫位( dislocation )的風險因子,下列 敘述何者 錯誤 ? (A) 因骨壞死( osteonecrosis)所做的THA (B) 較小的股骨頭 (C) 手術時採用後側式( posterolateral approach ) (D) 男性病人
59. 有關外傷骨折敘述,下列何者正確? (A) 間膈腔症候群( compartment syndrome )可能出現在壓輾傷、脛骨骨折石膏固定及肢體 燒燙傷處 (B) 骨盆骨折安排骨盆腔側位照X光( pelvic lateral view)是重要外傷基本檢查 (C) 骨盆骨折病人出現血壓不穩常見於神經性休克,可下肢使用彈性繃帶固定,並保持 病人平躺 (D) 間膈腔症候群最早出現的症狀為腫脹無力;晚期為對止痛藥物無效的劇烈疼痛
60. 第七節頸椎神經根病變( cervical radiculopathy C7 )最常發生的臨床症狀為何? (A) 後枕部痠麻痛 (B) 上臂外側痠麻痛 (C) 肩胛骨中間與肩膀痠麻痛 (D) 前胸痠麻痛
61. 頭部外傷病人,GCS: E 3 VE M 5、體溫 36.2 ℃、脈搏 70 次 / 分、呼吸 20 次 / 分、 血壓109 /70mmHg,測得ICP 22mmHg,下列敘述何者正確? (A) 應維持腦組織灌流壓( cerebral perfusion pressure ,CPP)小於60mmHg (B) 腦組織灌流壓61mmHg (C) 呼吸器設定維持血中PaCO2 30mmHg以下,可降低顱內壓 (D) 如為急性硬腦膜下血腫,臨床上會有 lucid interval,電腦斷層影像呈現雙凸狀、 高密度病灶
62. 下列何者為顱內出血導致腦疝脫( herniation )時,最常見的瞳孔變化? (A) 雙側瞳孔縮小,且對光反射正常 (B) 同側瞳孔散大,且對光反射消失 (C) 同側瞳孔縮小,且對光反射消失 (D) 對側瞳孔散大,且對光反射消失
63. 有關自發性蜘蛛網膜下腔出血(spontaneous subarachnoid hemorrhage )的敘述,下列何者 較不適當 ? (A) 常見於動脈瘤破裂出血 (B) 也可能見於動靜脈畸形破裂出血 (C) 主要症狀是嚴重的頭痛、脖子僵硬、畏光、意識不清 (D) 如果病人意識昏迷(GCS:E1V 1M1 ),需要在24小時內立即手術,以避免情況持續 惡化
64. 有關成人良性腦瘤中,下列何種腫瘤最常見? (A) 腦膜瘤(meningioma ) (B) 腦下垂體腺瘤( pituitary adenoma ) (C) 聽神經瘤( acoustic neuroma ) (D) 脂肪瘤(lipoma )
65. 下列何種藥物最常用於治療良性攝護腺肥大症狀? (A) 非類固醇抗發炎藥 (B) α-阻斷劑 (C) 抗膽鹼藥 (D) 5α-還原酶抑制劑
66. 有關良性攝護腺肥大的敘述,下列何者 錯誤 ? (A) 常見於年長男性 (B) 為良性組織增生 (C) 發生於攝護腺周邊區( peripheral zone ) (D) 發生原因不明
67. 下列何者是膀胱癌最重要的危險因子? (A) 感染 (B) 吸菸 (C) 老年 (D) 放射線暴露
68. 有關皮瓣移植失敗的外在機械性因素,下列何者正確? (A) 出血 (B) 植皮區溫度高 (C) 皮瓣設計較小 (D) 加壓敷料過緊
69. 依據血液供應及血管型態分類,下列何者屬於第三類肌皮瓣? (A) gastrocnemius (B) tensor fascia lata (C) gluteus maximus (D) latissimus dorsi
70. 皮膚移植區術後最先恢復的感覺為何? (A) 癢 (B) 疼痛 (C) 觸覺 (D) 冷熱感
71. 下列何者是形成壓力性損傷( pressure injury)的外在因素? (A) 皮膚潮濕度 (B) 年齡 (C) 營養 (D) 吸菸
72. 有關靜脈性下肢潰瘍病人有潰瘍傷口及水腫出現時,下列何種型態的加壓治療(compression therapy)最適當? (A) short-stretch bandages (B) paste bandages (C) layered ulcer stocking systems (D) multicomponent
73. 有關縱膈腫瘤的診斷工具,下列何者最常使用? (A) 肺灌流掃描 (B) 心導管檢查 (C) 胸部電腦斷層 (D) 經食道超音波
74. 有關張力性氣胸(tension pneumothorax )的敘述,下列何者正確? (A) 氣體可自由進出胸膜腔,壓力不會升高 (B) 常見於肥胖患者 (C) 無需緊急處理即可緩解 (D) 會導致肺與縱膈腔被壓迫,造成血液回流減少
75. 有關轉移性肺部腫瘤,行肺轉移瘤切除術,下列敘述何者正確? (A) 通常僅限於原發癌症為肺癌之病人 (B) 評估能否接受手術時,需確認病人肺功能足以承受 (C) 若原發腫瘤尚未獲得控制,仍可先切除肺轉移瘤以減少腫瘤負荷 (D) 胸腔電腦斷層通常可完整評估肺內轉移病灶數量
76. 有關肺腺癌的治療,下列何種藥物 不是 標靶藥物? (A) osimertinib (Tagrisso® ) (B) alectinib (Alecensa® ) (C) nivolumab (Opdivo® ) (D) ceritinib (Zykadia® )
77. 有關晚期食道癌治療與疾病特性,下列敘述何者 錯誤 ? (A) 部分病人即使接受積極治療,仍有腫瘤轉移的現象 (B) 現階段已有標準化分子標靶療法,可廣泛使用於晚期食道癌治療 (C) 食道癌屬於異質性腫瘤,未來可能需個人化治療 (D) 臨床試驗以及標準化手術前後之照護,有助提升總體療效與安全性
78. 心臟手術後病人血液動力學監測數值如下:血壓 98 / 60 mmHg、心跳 110 次 / 分、 RAP 10 mmHg、PAWP 22 mmHg、SVR 1020 dynes ·sec / cm5、心輸出量 2.2 L / min、 四肢冰冷、意識遲鈍。依上列數值所呈現的問題,應優先給予下列何項藥物治療? (A) nitroprusside (B) dobutamine (C) furosemide (D) labetalol
79. 有關人工瓣膜置換術的敘述,下列何者正確?
①機械性瓣膜適用於育齡婦女
②機械性瓣膜易致凝血異常而引發腦中風
③術後心音出現粗糙的雜音,表示有感染
④人工瓣膜引發的早期心內膜炎多由金黃色葡萄球菌導致 (A) ①③ (B) ①④ (C) ②③ (D) ②④
80. 有關主動脈瓣狹窄( aortic stenosis,AS )接受經導管主動脈瓣膜置換術(transcatheter aortic valve replacement,TAVR)適應症之敘述,下列何者最適當? (A) 血液動力學不穩定的嚴重AS (B) 年紀65歲,中度AS無明顯症狀 (C) 有症狀的嚴重AS,手術風險中等者 (D) 術後存活期>12個月、有症狀的重度AS