所屬科目:牙醫學(四)(包括口腔顎面外科學、牙科放射線學等科目及其相關臨床實例與醫學倫理)
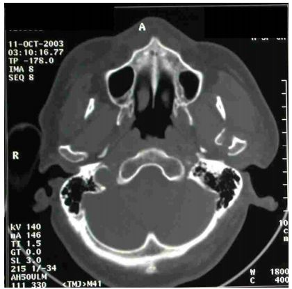
22. 下圖是頭部電腦斷層影像,其診斷應是: (A) 右側上顎骨骨折 (B) 右側下顎骨髁突(condylar process)骨折 (C) 左側上顎骨骨折 (D) 左側下顎骨髁突骨折
54. 如下圖所示,當我們懷疑中臉部有骨折而做這項理學檢查時,則下列敘述何者錯誤? (A) 病人的頭部必須有所依靠,不得懸空。左手用來固定頭部,並且可以感覺到鼻樑及外眼 眶部位是否有鬆動 (B) 病人的頭部必須有所依靠,不得懸空。右手拇指、食指抓住上顎門牙,適度搖晃 上顎骨是否有移動 (C) 病人的頭部必須有所依靠,不得懸空。右手拇指、食指抓住上顎前牙的齒槽骨,適度搖 晃來測試上顎骨是否有移動 (D) 若右手察覺到上顎骨有搖動,左手卻感覺不出鼻樑及外眼眶部位有鬆動時,則可能是 LeFort I fracture
66. 若 X 光片中牙齒的長度為 a ,X 光片中伸入根管之器械(instrument)長度為 b ,實際的伸入根管之器械長度為 c ,下列何者最接近實際牙齒長度? (A) (B) (C) (D) a × b × c