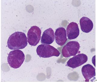
所屬科目:血液科
1. 一位27歲男性病人因發燒、牙齦出血入院,其骨髓抹片如圖所示。此位病人的血球細胞最可能出現何種染色體異常? (A) t(8;21) (B) inv(16) (C) t(15;17) (D) t(9;22) (E) t(8;14)