阿摩線上測驗
登入
首頁
>
牙醫學(四)(包括口腔顎面外科學、牙科放射線學等科目及其相關臨床實例與醫學倫理)
> 97年 - 97-1 專技高考_牙醫師:臨床牙醫學(二)(包括口腔顎面外科學、牙科放射線學)#49121
97年 - 97-1 專技高考_牙醫師:臨床牙醫學(二)(包括口腔顎面外科學、牙科放射線學)#49121
科目:
牙醫學(四)(包括口腔顎面外科學、牙科放射線學等科目及其相關臨床實例與醫學倫理) |
年份:
97年 |
選擇題數:
80 |
申論題數:
0
試卷資訊
所屬科目:
牙醫學(四)(包括口腔顎面外科學、牙科放射線學等科目及其相關臨床實例與醫學倫理)
選擇題 (80)
1. 關於顎骨骨折的癒合,下列敘述何者正確? (A) 骨折的癒合都屬於「secondary intention healing」(B) 骨折的癒合都屬於「primary intention healing」(C) 骨折的癒合不需要噬骨細胞(osteoclasts),但需要造骨細胞(osteoblasts)(D) 骨折的癒合需要造骨細胞(osteoblasts),其來源有:骨膜、骨內膜、及血液中的多功 間葉細胞
2. 使用氣體滅菌法,欲在 3 小時內將所有微生物殺死,其溫度至少需調至攝氏多少度? (A) 30 度 (B) 50 度(C) 70 度(D) 90度
3. 上顎的所有牙齒中那一顆牙最容易造成阻生齒?(A) 第三大臼齒(B) 第二大臼齒(C) 第二小臼齒(D) 犬齒
4. 欲拔除的上顎第一大臼齒,X 光片顯示其牙根與上顎竇相當接近,下列欲採用的策略中, 何者錯誤?(A) 考慮使用手術方法拔除,翻開皮瓣以取得較好手術視野(B) 使用拔牙挺時,須避免有根尖方向的施力(C) 如欲分開牙根,使用 chisel method 比 bur method 還安全(D) 術後注意事項包括避免使用吸管及擤鼻涕
5. 若阻生智齒拔除後三天腫脹仍持續增加,最有可能的原因是: (A) 術後組織水腫(B) 術後細胞激素(cytokine)釋放所引發的正常發炎反應(C) 有殘留齒根或牙濾泡(dental follicle)(D) 感染
6. 拔除阻生的第三大臼齒之最佳時機為牙根發育到多少時? (A) 0-1/2 共 16 頁,第 1 頁 (B) 0-1/3 (C) 1/3-2/3 (D) 3/5-4/5
7. 在進行拔牙手術時,對於軟組織所造成的裂傷,下列敘述何者錯誤? (A) 最常見的是造成軟組織缺氧壞死 (B) 為避免軟組織有太大張力,翻瓣的範圍要夠廣 (C) 手術時動作須輕柔 (D) 避免施予不必要的外力
8. 山地醫療隊出發到偏遠山區從事醫療服務,裝備越輕便越好,若是要攜帶拔牙鉗,最好 選擇下列何者? (A) 150+151 (B) 89+90 (C) 53R+53L (D) 17+23
9. 下列那一種微生物(microorganism)比較不常引起齒源性感染(odontogenic infection)? (A) Aerobic gram-positive cocci (B) Aerobic gram-positive rods (C) Anaerobic gram-positive cocci (D) Anaerobic gram-negative rods
10. 下列關於立即植牙的敘述,何者錯誤? (A) 牙齒因外傷造成脫落,且拔除時不會造成齒槽骨喪失時,可以考慮馬上植入 (B) 牙齒拔除後植體植入最好必須超過牙根尖端 4 mm (C) 植體必須旋至嵴骨高度以下 2 mm (D) 如果植體與剩餘齒槽間的縫隙小於 1 mm 時,需要引導組織再生術(guided tissue regeneration)
11. 下列有關人工植牙手術的敘述,何者錯誤? (A) 人工牙根與自然牙根之間必須至少距離 0.3 毫米 (B) 人工牙根與人工牙根之間必須至少距離 3 毫米 (C) 在上顎後牙區不需要同時骨移植的單純情況下植牙,所需的骨整合(osseointegration) 時間至少要 6 個月 (D) 在上顎前牙區不需要同時骨移植的單純情況下植牙,所需的骨整合(osseointegration) 時間至少要 6 個月 共 16 頁,第 2 頁
12. 下列有關上顎無牙嵴嚴重萎縮,而必須做齒槽嵴增高術(alveolar ridge augmentation)的 敘述,何者正確? (A) 「onlay bone grafting」的術式,需要配合做「Le Fort I」的手術 (B) 「interpositional bone grafting」的術式,不需要配合做「Le Fort I」的手術 (C) 當病人的腭穹窿(palatal vault)深度尚可時,通常會選擇「interpositional bone graf 的術式 (D) 統計數據顯示『術後骨吸收量』 「interpositional : bone grafting」比「onlay bone grafting」 的來的多
13. 下列那種囊腫經剜出術(enucleation)治療後之復發率最高? (A) 根尖囊腫(periapical cyst) (B) 含齒囊腫(dentigerous cyst) (C) 齒源性角化囊腫(odontogenic keratocyst) (D) 孤立性骨囊腫(solitary bone cyst)
14. 下顎骨角含齒囊腫導致下顎骨膨脹,第一及第二大臼齒移位,下齒槽管移位,下列何處 理最不適當? (A) 囊腫造袋術(marsupialization)及自然癒合 (B) 囊腫造袋術,待縮小後剜出(enucleation) (C) 刮除術(curettage)及碘仿紗布填塞 (D) 包含邊界 1 公分正常組織的下顎骨部分切除術(partial mandibulectomy)
15. 基底細胞痣症候群(basal cell nevus syndrome)不會有下列那一個症狀? (A) 肋骨分叉 (B) 基底細胞癌 (C) 眼距過短 (D) 齒源性角化囊腫(odotogenic keratocyst)
16. 若是利用囊腫造袋術(cystic marsupialization)來對含齒囊腫做減壓治療,則下列何者並 非其缺點? (A) 無法將囊腫完全取出 (B) 無法做詳細之病理檢查 (C) 病患回家後需作沖洗清潔等居家照顧 (D) 易造成病理性骨折
17. 下列何術式可用來治療下顎前突症(mandibular prognathism)?①口內兩側垂直下顎枝 切開術(intraoral bilateral vertical ramus osteotomy);②兩側矢向劈裂骨切開術(bilateral sagittal split osteotomy) (A) 只有① (B) 只有② (C) ①② (D) ①②均不正確
18. 相對於口內下顎骨升枝垂直切開術(intraoral ,施行兩側矢向劈 vertical ramus osteotomy) 裂骨切開術(bilateral sagittal split osteotomy)有下列那項缺點? (A) 術後之穩定性較差 (B) 較易傷及下齒槽神經,導致下唇感覺異常 (C) 較易造成術後感染 (D) 術後必須施行6 到 8 週之顎間固定(intermaxillary fixation)
19. 用牽引式骨生成術(distraction osteogenesis)來造成骨生成,其理想的牽引速率為? (A) 一天兩次,每次 0.5 mm (B) 兩天一次,每次 0.5 mm (C) 兩天三次,每次 0.5 mm (D) 三天兩次,每次 0.5 mm
20. 典型之三叉神經痛,常有下列那些特徵?①陣發性劇痛,每次持續數秒至一分鐘;② 常 會因觸及引發區(trigger zone)而引起疼痛 ③常伴隨有其他神經缺陷 ; (neurologic deficits) (A) 只有①② (B) 只有①③ (C) 只有②③ (D) ①②③
21. 18 歲男性患者雙側腮腺同時腫大,已三天,體溫 39℃,下列何診斷最有可能? (A) 腮腺結石(sialolithiasis) (B) 細菌性腮腺炎(bacterial parotitis) (C) 病毒性腮腺炎(mumps) (D) 謝格連氏症候群(Sjögren’s syndrome) 是因為反覆發炎所造成之唾液腺管道上皮萎縮及反覆纖維化的疾病,其在唾
22. sialodochitis 液腺攝影上的表徵為何? (A) sausage-link pattern (B) ball-in-hand appearance (C) blossom of apple tree (D) interspersed radiolucency and radiopaque appearance
23. 切除蝦蟆腫(ranula)時常一併切除舌下腺,其原因為何? (A) 蝦蟆腫的內容物來自舌下腺 (B) 蝦蟆腫接近舌下腺 (C) 蝦蟆腫在舌下腺內 (D) 蝦蟆腫經常復發
24. 有關三大唾液腺之最,下列何者錯誤? (A) 分泌液中鈣離子濃度最高-腮腺 (B) 分泌液中鈉離子濃度最高-腮腺 (C) 最易有結石-顎下腺 (D) 分泌液中黏性最高-舌下腺
25. 在成年人使用閉合式復位術(closed reduction)固定下顎骨折,須時多久? (A) 2 週 (B) 6 週 (C) 9 週 (D) 12週
26. 下列有關顎骨骨折的治療原則,何者為最重要? (A) 固定下顎骨 (B) 軟組織縫合 (C) 對回原咬合 (D) 固定上顎骨
27. 有關牙齒受傷經固定後多久時間會穩定,下列何者錯誤? (A) 動搖的牙齒(mobile teeth)7-10 天 (B) 移位的牙齒(teeth displacement)6-8 週 (C) 牙根斷裂(root fracture)2-4 月 (D) 重植入的牙齒(replanted teeth)且牙根成熟 7-10 天
28. 下列關於唇腭裂病童唇腭裂修補手術之敘述,何者錯誤? (A) 唇裂必須先做修補,而後才修補腭裂 (B) 唇裂修補的時間,當病童全身性狀況允許時,愈早愈好 (C) 腭裂修補的時間,約在出生後 8-18 個月 (D) 軟腭與硬腭的修補不一定要同時完成
29. 一般而言,下列各種病患暈倒之原因中,何者在牙科門診中是最常見的? (A) 血管迷走神經性暈厥(vasovagal syncope) (B) 心因性暈厥(cardiac syncope) (C) 喉頭性暈厥(laryngeal syncope) (D) 低血糖性暈厥(hypoglycemic syncope)
30. 病患因急性過敏反應(acute anaphylactic reaction)引發呼吸困難並伴隨哮鳴(wheezing) , 除應確保氣道暢通及給予氧氣外,並應優先注射下列那種藥物? (A) Midazolam (B) Diphenhydramine (C) Epinephrine (D) Methylprednisolone
31. 下列腸線的使用何者正確? (A) 現在使用的腸線是用貓的腸子作成的 (B) 腸線吸收較絲線快 (C) 腸線的組織反應性較低故適用於皮膚縫合 (D) 腸線是經由水解被吸收的
32. 下列有關傷口止血(hemostasis)的方法,何者正確? (A) 含有 epinephrine 的局部麻醉劑具有止血效果,為了降低出血量,注射後可立即下刀 (B) 在出血點(bleeding point)周圍不移除液體的情況下,熱凝結(thermal coagulation)的 止血效果比較好 (C) 含有epinephrine 的局部麻醉劑具有止血效果,為了降低出血量,至少於下刀前 7 分 部注射該藥品於預定之切線部位 (D) 在出血點(bleeding point)周圍移除液體的情況下,熱凝結(thermal coagulation)的止 血效果比較差
33. 下列敘述,何者最符合皮瓣設計(flap design)的原則? (A) 使用包含大腭神經(greater palatine nerve)之腭皮瓣(palatal flap),皮瓣不會壞死 (B) 假設皮瓣底部寬(width dimension)為 x;皮瓣長度(height dimension)為 y,理想 例是 x=2y (C) 假設皮瓣底部寬(width dimension)為 x;皮瓣長度(height dimension)為 y,理想的比 例是 x=3y (D) 有大動脈供給之皮瓣,皮瓣底部(base)的寬度仍需要大於其頂端(apex)
34. 下列有關滅菌技術的敘述,何者正確? 共 16 頁,第 6 頁 (A) 對滅菌而言,乾熱法(dry heat)比濕熱法(moist heat)更有效 (B) 濕熱法(moist heat)的缺點是所需時間較長且可能損害對熱敏感的器械 (C) 使用氧化乙烯(ethylene oxide)氣體滅菌法,在溫度 50℃時 3 小時就可以有效殺死 物,包括孢子 (D) 氧化乙烯(ethylene oxide)的優點是能對多孔性材質作有效滅菌,缺點是易使器械鈍化
35. 白先生進入你的診間要求你為他拔除上下智齒,經過臨床以及 X 光片的檢查,上下智齒 皆為阻生齒,白先生的身體非常健康,體重 70 公斤重,若是以 2% lidocaine(1:100,000 epinephrine)局部麻醉拔除智齒,最大劑量不可超過幾支麻藥? (A) 2 (B) 4 (C) 8 (D) 10
36. 可以用來拔除上顎單根牙齒的通用型(universal)拔牙鉗,是幾號拔牙鉗? (A) 150 (B) 151 (C) 89 (D) 90
37. 拔除阻生的第三大臼齒最佳時機為牙根發育到: (A) 1/5 (B) 1/4 (C) 1/3-2/3 (D) 3/5-4/5
38. 若進行連續拔牙時,何者錯誤? (A) 應先拔第一大臼齒,再拔犬齒 (B) 應先拔上顎牙齒,再拔下顎牙齒 (C) 應先拔後牙,再拔前牙 (D) 應先拔犬齒,再拔第一大臼齒
39. 在身體健康下口腔內的菌叢(normal oral flora)不會形成下列何種的病變? (A) gingivitis (B) caries (C) periodontitis (D) oral ulcer
40. 下列那種抗菌藥物對厭氧菌(anaerobic)無作用? 共 16 頁,第 7 頁 (A) Penicillin G (B) metronidazole (C) clarithromycin (D) cefazolin
41. 引起齒源性感染之厭氧性革蘭陰性桿菌中,以下列何者最常見? (A) Fusobacterium spp. (B) Actinobacillus spp. (C) Clostridium spp. (D) Prevotella 及 Porphyromonas spp.
42. 過早受力將使植體周圍受結締組織所包圍,而想獲得骨整合則必須使植體植入後多久才 會有骨整合的出現? (A) 一星期 (B) 二星期 (C) 三星期 (D) 四星期
43. 在上顎竇提升其底部(sinus lift)使用自體(autogenous)骨移植物,可以獲得最多的一 級骨發生(phase I osteogenesis)的是那一種? (A) 顆粒狀髓質骨移植(particulate marrow and cancellous bone graft) (B) 塊狀骨移值(block graft) (C) 同種間骨移值(allogeneic graft) (D) 綜合骨移值(combination graft)
44. 臨床上評估牙科植體(dental implant)的成功條件,不包括下列何者? (A) 鏡檢下齒槽骨與植體間緊密接觸 (B) X 光片中齒槽骨與植體間沒有空隙 (C) 患者無不適感 (D) 口內檢查植體 immobile
45. 下列何者為真性腫瘤(true neoplasm)? (A) 牙骨質母細胞瘤(cementoblastoma) (B) 齒瘤(odontoma) (C) 化膿性肉芽腫(pyogenic granuloma) (D) 血管瘤(hemangioma)
46. 下圖所示為那一種囊腫手術步驟?
(A) 刮除術(curettage) (B) 剜出術(enucleation) (C) 切開引流(incision and drainage) (D) 造袋術(marsupialization)
47. 在 maxillary LeFort I 手術中那一個方向之上顎移動最容易導致 alar base 變寬的情形? (A) anterior and superior reposition (B) posterior reposition (C) inferior reposition (D) lateral reposition
48. 患有口腔燒灼症候群(burning mouth syndrome)之病患,最常出現疼痛之部位是: (A) 頰黏膜 (B) 下顎牙齦 (C) 硬腭 (D) 舌
49. 下列 4 種下顎骨折的部位,何者發生率較低? (A) 下顎聯合 (B) 下顎角 (C) 下顎髁 (D) 下顎枝
50. 牙醫師爲患有心肌梗塞的患者施行手術時,下列那一個注意事項錯誤? (A) 不能給予含有 epinephrine 的麻醉劑 (B) 事先給予抗焦慮藥物(anxiolytics) (C) 患者可能會伴隨有未診斷的心律不整 (D) 不一定事先要服用 nitroglycerin
51. 在 4 種過敏反應(hypersensitivity reaction)類型中,只有那一型可能會出現急性之致命 狀況? (A) 第一型(type I) (B) 第二型(type II) (C) 第三型(type III) (D) 第四型(type IV)
52. 用來診斷顳顎關節骨性黏連(bony ankylosis)最有效之放射診斷工具為何? (A) 電腦斷層掃描(CT scan) (B) 核磁共振攝影(MRI) (C) 環口攝影(TM joint view of panoramic film) (D) 顳顎關節造影(arthrography)
53(A) 星期一上午 (B) 星期二上午 (C) 星期三晚上 (D) 星期天上午
54. 承上題,拔牙前所照的環口攝影(panorex),卻意外發現病人的上下顎骨有瀰漫性放射 線透視影像(generalized rarefaction) ,經抽血檢查發現:Calcium 的濃度在正常範圍; Phosphorus 的濃度明顯上揚;Alkaline phosphotase 也上升。請問最合理的解釋為何? (A) Primary Hyperparathyroidism (B) Secondary Hyperparathyroidism (C) TertiaryHyperparathyroidism (D) Osteoporosis
55 (A) LeFort III +雙側 zygomatic complex fracture +雙側 blowout fracture (B) LeFort I +雙側 zygomatic complex fracture +雙側 blowout fracture (C) 右側 mandibular condylar neck fracture +雙側 zygomatic complex fracture +單側 blowout fracture (D) 左側 mandibular body fracture +雙側 zygomatic complex fracture +單側 blowout fracture
56. 承上題,若症狀如下:雙側臉頰腫脹、雙側眶下及上唇、鼻翼等區域麻木感,雙側眼眶 周圍瘀青、雙側眼結膜下出血、複視、咬合不正,最可能的診斷為何? (A) 雙側 zygomatic complex fracture (B) LeFort I fracture (C) 單側 zygomatic complex fracture +單側 blowout fracture (D) LeFort II +雙側 blowout fracture
57. X-ray 管球內之電子於何處產生? (A) 聚焦杯(focusing cup) (B) 含鎢之陽極 (C) 銅柱 (D) 含鎢之陰極
58. 當入射光子能量較高時(超過 70keV),入射光子與軟組織的主要作用為何? (A) Photoelectric effect (B) Compton effect (C) Pair production (D) Thompsonscattering
59. 放射線在產生的過程中由於電子束高速的碰衝鎢靶,這時會產生 X 光與熱,對於光熱比 率的敘述,下列何者正確? (A) X 光 40% 熱 60% (B) X 光 20% 熱 80% (C) X 光 10% 熱 90% (D) X 光 1% 熱 99%
60. 下列何者非超音波優於 X-ray 的優點? (A) 非游離輻射 (B) 沒有傷害性的生物效應 (C) 適合於軟組織之鑑別診斷 (D) 解析度較高
61. 關於 film speed 及鹵化銀晶體之描述,下列何者錯誤? (A) film speed 愈快,所需的 X 光 exposure 愈少 speed 與 X 光片乳劑(emulsion)中的鹵化銀晶體(silver halide crystals)的數量及 (B) film 大小有關 (C) 鹵化銀晶體愈大,film speed 愈快 (D) 目前常用的 film speed 為 C group
62. 下列何者是正子造影(positron emission tomography)所用的放射線同位素? (A) Fluorine(
18
F) (B) Iodine(
131
I) (C) Technetium(
99m
Tc) (D) Krypton(
81
K)
63. 下列有關唾液腺攝影術(sialography)的敘述,何者錯誤? (A) 腺體慢性發炎與腺管疾病是唾液腺攝影的適應症 (B) 打入的顯影藥劑約需 15c.c.左右 (C) 在沒有刺激腺體的情形下,顯影藥劑的排空時間約為 5 分鐘 (D) 腺體急性感染是禁忌症
64. 於根尖放射線影像(periapicalradiograph)上,上顎顴骨突(zygomatic process of the maxilla)之影像,最常出現於下列何處? (A) 上顎粗隆(maxillary tuberosity) (B) 上顎第一及第二大臼齒處 (C) 上顎第一及第二小臼齒處 (D) 上顎犬齒處
65.
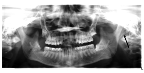
箭頭所指柱狀放射線不透光之影像為何? (A) styloid process (B) osteoma (C) fracture (D) odontoma
66. 在正常情况下,內斜嵴在第二臼齒的咬翼片可以看到其 radiopaque 之程度比外斜嵴: (A) 強 (B) 弱 (C) 相似 (D) 無法辨識
67. 關於顎下腺體窩(Submandibular gland fossa)的敘述,下列何者錯誤? (A) 為放射透性區域,內有稀疏的骨小樑結構 (B) 在臼齒區下顎舌骨嵴(mylohyoid ridge)下方 (C) 往前延伸至門齒區,往後至下顎上升枝 (D) 往下延伸至下顎骨下緣
68. 關於門齒孔(incisive foramen)在 X 光片判讀之敘述,下列何者錯誤? (A) 門齒孔會投射於兩側正中門牙間,約位於牙根長度中間或根尖三分之一位置處 (B) 它的形狀會隨個體間的差異及照射角度不同而不同 (C) 門齒孔直徑如果超過 1 公分,則懷疑可能產生囊腫 (D) 它延伸鼻腭管的兩側壁一定會顯現在 X 光片上
69. 含齒囊腫(dentigerous cyst)和該相關牙相連之部位,最常為下列何處? (A) 牙冠中 1/3 和下 1/3 交界 (B) 牙骨質牙釉質交界(cementoenamel junction) (C) 牙根上 1/3 和中 1/3 交界 (D) 牙根中 1/3 和下 1/3 交界
70. 關節造影術(arthrography)對診斷下列何種關節疾病最有幫助? (A) 關節盤穿孔(disc perforation) (B) 骨性沾黏(bony ankylosis) (C) 關節腔鈣化(joint space calcifications) (D) 關節重塑(remodeling)
71. 顎骨中柏奇特氏淋巴肉瘤(Burkitt’s lymphoma)之放射線影像,最常呈現為下列何者? (A) 界線清楚之放射線透過性病變(radiolucent lesion)(B) 界線不清楚之放射線透過性病變(radiolucent lesion) (C) 混合放射線透過性和不透過性病變(mixed radiolucent and radiopaque lesion) (D) 放射線不透過性病變(radiopaque lesion)
72. 20 歲女性患者,右臉腫疼有六個月,放射線影像呈現骨破壞,並有 sun-ray appearance, 其最可能的診斷為何?
(A) Osteogenic sarcoma (B) Osteomyelitis (C) Hemangioma (D) Ameloblastoma 歲女性患者,右臉腫疼有兩年,放射線影像呈現 multilocular 骨破壞,下列何者診斷
73.20 歲女性患者,右臉腫疼有兩年,放射線影像呈現 multilocular 骨破壞,下列何者診斷 最可能?
(A) Osteogenic sarcoma (B) Osteomyelitis (C) Hemangioma (D) Giant cell granuloma
74. 一般而言,下列何種斷層掃描射線的運動(tomographic movement)所形成的影像效果 最差? (A) 直線(linear) (B) 擺線形(hypocycloidal) (C) 圓形(circular) (D) 螺旋形(spiral)
75. 區分細微物體影像的能力會受下列何者的影響? (A) 對比解析(Contrast resolution) (B) 空間解析(Spatial resolution) (C) 平面解析(Flat resolution) (D) 矢狀解析(Sagittal resolution)
76. 下列何種輻射線具較高的 LET(Linear energy transfer)且有較大的輻射效應? 共 16 頁,第 15 頁 (A) Alpha particle (B) Electron particle (C) Photon particle (D) Neutron particle
77. 基於種種考量,特別是關於輻射防護之考量,下列 X 光片選擇中,牙醫師應使用何種速 度類之 X 光片為病人作口內根尖周放射線影像檢查? (A) B 速片 (B) C 速片 (C) D 速片 (D) E 速片
78. 下列有關顎骨鱗狀細胞癌(squamous cell carcinoma)放射線影像特徵之敘述,何者錯誤? (A) 邊緣多呈不規則狀 (B) 會侵犯上顎竇(maxillary sinus)及下齒槽神經管(inferior alveolar nerve canal) (C) 常造成牙根吸收 (D) 常因齒槽骨受侵蝕而造成牙齒浮動(floating)
79. 下列何者於使用後牙之咬翼片放射線攝影檢查最有效果? (A) 齲齒破壞程度 (B) 側根管 (C) 根管走向 (D) 牙根數目
80. 人類的身體中下列何種組織之放射線敏感度(radiosensitivity)最高? (A) liver (B) lens (C) salivary gland (D) intestine
申論題 (0)
相關試卷
115年 - 115-1 專技高考_牙醫師(二):牙醫學(四)(包括口腔顎面外科學、牙科放射線學等科目及其相關臨床實例與醫學倫理)#137358
115年 · #137358
114年 - 114-2 專技高考_牙醫師(二):牙醫學(四)(包括口腔顎面外科學、牙科放射線學等科目及其相關臨床實例與醫學倫理)#128945
114年 · #128945
114年 - 114-1 專技高考_牙醫師(二):牙醫學(四)(包括口腔顎面外科學、牙科放射線學等科目及其相關臨床實例與醫學倫理)#125098
114年 · #125098
113年 - 113-2 專技高考_牙醫師(二):牙醫學(四)(包括口腔顎面外科學、牙科放射線學等科目及其相關臨床實例與醫學倫理)#121679
113年 · #121679
113年 - 113-1 專技高考_牙醫師(二):牙醫學(四)(包括口腔顎面外科學、牙科放射線學等科目及其相關臨床實例與醫學倫理)#118730
113年 · #118730
112年 - 112-2 專技高考_牙醫師(二):牙醫學(四)(包括口腔顎面外科學、牙科放射線學等科目及其相關臨床實例與醫學倫理)#115909
112年 · #115909
112年 - 112-1 專技高考_牙醫師(二):牙醫學(四)(包括口腔顎面外科學、牙科放射線學等科目及其相關臨床實例與醫學倫理)#113155
112年 · #113155
111年 - 111-2 專技高考_牙醫師(二):牙醫學(四)(包括口腔顎面外科學、牙科放射線學等科目及其相關臨床實例與醫學倫理)#109860
111年 · #109860
111年 - 111-1 專技高考_牙醫師(二):牙醫學(四)(包括口腔顎面外科學、牙科放射線學等科目及其相關臨床實例與醫學倫理)#106178
111年 · #106178
110年 - 110-2 專技高考_牙醫師(二):牙醫學(四)(包括口腔顎面外科學、牙科放射線學等科目及其相關臨床實例與醫學倫理)#99925
110年 · #99925