所屬科目:牙醫學(二)(包括口腔病理學、牙科材料學、口腔微生物學、牙科藥理學等科目及其臨床相關知識)
9、一位 15 歲的國中生到門診來詢問有關牙齒矯正的相關事宜。你在他的根尖放射線影像 看到如圖的變化。請問最有可能的診斷為下列何者? (A) 複合性牙瘤(Complex odontoma) (B) 牙骨質瘤(Cementoblastoma) (C) 鈣化性齒源性囊腫(Calcifying odontogenic cyst) (D) 混合性牙瘤(Compound odontoma)
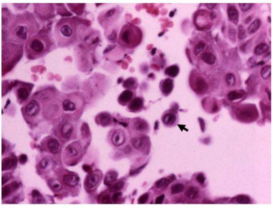
10在尋常性天疱瘡(Pemphigus vulgaris)的組織切片裡,有如附圖中箭頭所指的細胞,稱 之為何? (A) Tzanck cell (B) Reed-Sternberg cell (C) Langerhans cell (D) Sezary cell
11一位 30 歲的女性患者抱怨說她的左下側的犬齒區腫大。根尖放射線影像發現了如圖所 示的病灶。她目前因為胃潰瘍而正在服用 Zantac,同時也在追蹤觀察右邊腎臟的結石。 請問這個病例最有可能是什麼? (A) 多發性骨髓瘤(Multiple myeloma) (B) 副甲狀腺功能亢進(Hyperparathyroidism) (C) 甲狀腺功能亢進(Hyperthyroidism) (D)局部牙骨質骨性發育不全(Focal cemento-osseous dysplasia)
21一位 68 歲男性病患主訴左頰黏膜不適,出現有一表面粗糙之潰瘍性病變(圖 A),並且 伴隨左顎下淋巴結腫脹,口腔病變之活體切片檢查如圖 B 所示,其最可能之診斷為下列何者? (A) 鱗狀細胞癌 (B) 腺樣囊狀癌 (C) 黏液表皮樣癌 (D) 結核病
26一位 66 歲男性病患主訴下顎右側臼齒區不適,並且有瘻管產生,環口攝影發現病患右下第一大臼齒牙根部有一 X 光可透過區(radiolucence)(如下圖),最有可能的臨床診斷為何? (A)根尖膿腫(periapical abscess) (B)牙周囊腫(periodontal cyst) (C)外傷性骨囊腫(traumatic bone cyst) (D)牙齦囊腫(gingival cyst)
28承上題,該病患拔牙一個月後,拔牙傷口沒有痊癒,左臉麻痺感依然存在,遂到某醫學 中心牙科部就診,接受環口攝影檢查(圖 A),根據病患的病史與環口攝影檢查及切片 檢查的發現(圖 B),最有可能的診斷為下列何者? (A) 慢性骨髓炎 (B) 轉移性腎細胞癌 (C) 造釉細胞瘤 (D)鱗狀細胞癌