所屬科目:感染科
3. 一位30歲喜好爬山的男子,無任何潛在疾病,出現不明原因發燒7天,求診於診所服用cephalexin無效。到急診求診,給予抽血檢查發現WBC: 12500/uL, Neutrophil/lymphocyte: 78%/22%, AST:178 U/L, ALT:145 U/L,理學檢查有粟狀紅斑及0.5cm圓形疤痕位於生殖器上,如圖,請問最可能診斷為何? (A) Primary syphilis (B) Scrub typhus (C) Cutaneous anthrax (D) Lyme disease (E) Q fever
4. 23歲男性有多重性伴侶,且性行為無防護措施已有多年,手掌與腳掌出現許多個不痛不癢深色病灶如圖AB所示。無其他症狀,至門診就醫,請問該病人最可能是何種疾病? (A) 癬 (B) 疥瘡 (C) 金黃色葡萄球菌感染 (D) 梅毒 (E) 病毒疣
5. 心內膜炎病人出現此一病徵(如圖示),稱為 (A) Osler nodes (B) Splinter hemorrhage (C) Petechiae (D) Janeway lesion (E) Clubbing
7. 20歲病人因influenza後產生續發性肺炎住院,痰液抹片如圖所示,最可能的致病菌是: (A) Mycoplasaca pneumoniae (B) Staphylococcus aureus (C) Haemophilus influenzae (D) Klebsiella pneumoniae (E) Legionella pneumophila
10. 20歲新兵,過去身體健康,因三日咳嗽、發燒、喉嚨痛和逐漸出現多處皮疹到急診室就醫。病患並無外傷或者動物接觸史。理學檢查發現病患意識清楚,體溫攝氏39.8度,血壓98/56 mmHg,脈搏每分鐘116次,呼吸每分鐘24次。皮膚疹如圖所示。其餘理學檢查並無特異發現。請問最有可能造成感染的病原為何? (A) Aeromonas hydrophila (B) Neisseria meningitides (C) Vibrio vulnificus (D) Streptococcus pyogenes (E) Staphylococcus aureus
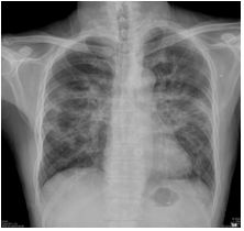
11. 27歲男性,過去身體健康良好,並無抽菸、酗酒或動物接觸史,因為二週來發燒、逐漸氣促(dyspnea)、吞嚥困難和體重減輕10公斤,來院求醫。理學檢查發現病患意識清楚,體溫攝氏38.5度,血壓120/78 mmHg,脈搏每分鐘116次,呼吸每分鐘28次。口腔內有白色斑塊,胸部理學檢查並無特別發現。胸部X-光如圖A所示。支氣管鏡檢切片的病理檢查如圖B所示。請問最有可能的病和治療配對為何? (A) Pneumocystis jirovecii-- Trimethoprim-sulfamethoxazole (B) Legionella pneumophila-- Levofloxacin (C) Cryptococcus neoformans-- Fluconazole (D) Influenza-- Oseltamivir (E) Streptococcus pneumoniae-- Azithromycin
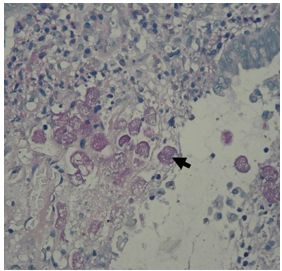
13. 39歲男性病患,過去身體健康良好。因為一週來發燒和持續性的頭痛到院就醫。理學檢查發現體溫攝氏39.0度,口腔白斑,頸部並沒有僵硬。血液檢查發現白血球7020/微毫升。電腦斷層顯示腦部水種。脊髓穿刺發現壓力>600 mmH2O,例行顯微鏡檢和生化檢查發現白血球數是0/微毫升,蛋白質34 mg/dL,染色所見如圖示。三日後,血液和脊髓液微生物培養皆報告長出黴菌。請問以下敘述何者為是? (1) 在取得病患同意後,進行愛滋病毒感染檢驗 (2) 腦壓過高,不應在後續治療中重複進行脊髓穿刺以紓解壓力 (3) 最有可能的病原是Cryptococcus neoformans (4) 目前標準的治療藥物組合是amphotericin B + flucytosine (5) 治療療程完成四週即可停藥 (A) 1+2+3 (B) 1+ 3+5 (C) 1+2+4 (D) 2+3+ 4 (E) 1+ 3+ 4
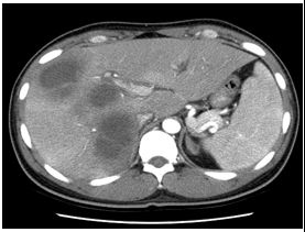
16. 二十八歲男性病患,過去身體健康。因為發燒、血便和右上腹痛多日住院。糞便例行檢查潛血4+。大腸內視鏡檢和病理學查如圖A及圖B所示;腹部電腦斷層如圖C所示。請問下列敘述何者為是? (A) 最有可能的診斷為Klebsiella pneumoniae菌血症和肝膿瘍,應即刻在超音波導引下進行抽取和投與ceftriaxone。 (B) 顯微鏡檢具有高達95%的敏感度和特異性分別出致病原。 (C) 該疾病並非法定傳染病,不需通報。 (D) 最好的治療是metronidazole或tinidazole。 (E) 十天左右的抗生素即可完治,並不需清除腸腔內病原。